HLA B Antibody (JOAN-1) - Azide and BSA Free

Images

 
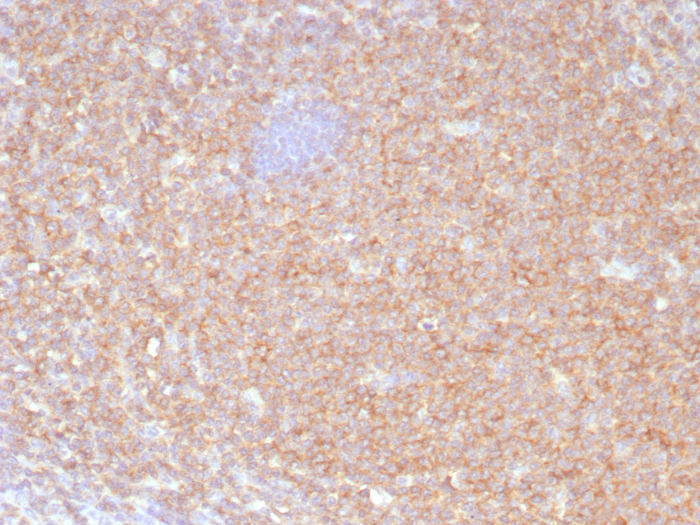
Formalin-fixed, paraffin-embedded human lymph node stained with HLA B antibody (JOAN-1). HIER: Tris/EDTA, pH9.0, 45min. Secondary: HRP-polymer, 30min. DAB, 5min.

Product Details

Summary
Reactivity HuSpecies Glossary
Applications Flow, ICC/IF, ICC/IF
Clone
JOAN-1
Clonality
Monoclonal
Host
Mouse
Conjugate
Unconjugated
Format
Azide and BSA Free
Concentration
1 mg/ml

Order Details

HLA B Antibody (JOAN-1) - Azide and BSA Free Summary

Description
1.0 mg/ml of antibody purified from Bioreactor Concentrate by Protein A/G. Prepared in 10mM PBS WITHOUT BSA & azide. Also available at 200 ug/ml WITH BSA & azide (NBP2-45000).

Antibody with azide - store at 2 to 8C. Antibody without azide - store at -20 to -80C.
Immunogen
Normal human peripheral blood lymphocytes (Uniprot: P01889)
Localization
Cell Surface
Isotype
IgG3 Kappa
Clonality
Monoclonal
Host
Mouse
Gene
HLA-B
Purity
Protein A or G purified
Innovator's Reward
Test in a species/application not listed above to receive a full credit towards a future purchase.

Applications/Dilutions

Dilutions
  • Flow Cytometry 0.5 - 1 ug/million cells in 0.1 ml
  • Immunocytochemistry/ Immunofluorescence 1-2 ug/ml
  • Immunofluorescence 0.5 - 1.0 ug/ml
Application Notes
Optimal dilution for a specific application should be determined.
Theoretical MW
45 kDa.
Disclaimer note: The observed molecular weight of the protein may vary from the listed predicted molecular weight due to post translational modifications, post translation cleavages, relative charges, and other experimental factors.

Packaging, Storage & Formulations

Storage
Store at -20 to -80C. Avoid freeze-thaw cycles.
Buffer
10 mM PBS
Preservative
No Preservative
Concentration
1 mg/ml
Purity
Protein A or G purified

Alternate Names for HLA B Antibody (JOAN-1) - Azide and BSA Free

  • ankylosing spondylitis
  • AS
  • B-4901
  • b'DT
  • Bw-22
  • Bw-4
  • Bw-41
  • Bw-44
  • Bw-45
  • Bw-46
  • Bw-47
  • Bw-48
  • Bw-50
  • Bw-52
  • Bw-53
  • Bw-54
  • Bw-55
  • Bw-56
  • Bw-57
  • Bw-58
  • Bw-60
  • HLA class I histocompatibility antigen, B alpha chain
  • HLA class I histocompatibility antigen, B-12 alpha chain
  • HLA class I histocompatibility antigen, B-21 alpha chain
  • HLA class I histocompatibility antigen, B-5 alpha chain
  • HLA class I histocompatibility antigen, B-7 alpha chain
  • HLAB
  • HLA-B
  • HLA-B27
  • HLA-B73
  • leukocyte antigen class I-B
  • lymphocyte antigen
  • major histocompatibility complex, class I, B
  • MGC111087
  • MHC class I antigen B*13
  • MHC class I antigen B*14
  • MHC class I antigen B*15
  • MHC class I antigen B*18
  • MHC class I antigen B*27
  • MHC class I antigen B*35
  • MHC class I antigen B*37
  • MHC class I antigen B*38
  • MHC class I antigen B*39
  • MHC class I antigen B*40
  • MHC class I antigen B*41
  • MHC class I antigen B*42
  • MHC class I antigen B*44
  • MHC class I antigen B*45
  • MHC class I antigen B*46
  • MHC class I antigen B*47
  • MHC class I antigen B*48
  • MHC class I antigen B*49
  • MHC class I antigen B*50
  • MHC class I antigen B*51
  • MHC class I antigen B*52
  • MHC class I antigen B*53
  • MHC class I antigen B*54
  • MHC class I antigen B*55
  • MHC class I antigen B*56
  • MHC class I antigen B*57
  • MHC class I antigen B*58
  • MHC class I antigen B*59
  • MHC class I antigen B*67
  • MHC class I antigen B*7
  • MHC class I antigen B*73
  • MHC class I antigen B*78
  • MHC class I antigen B*8
  • MHC class I antigen B*81
  • MHC class I antigen B*82
  • MHC class I antigen GN00104
  • MHC class I antigen HLA-B heavy chain
  • MHC class I antigen SHCHA
  • MHC Class I HLA heavy chain
  • MHC HLA-B cell surface glycoprotein
  • SPDA1

Background

HLA-B belongs to the HLA class I heavy chain paralogues. This class I molecule is a heterodimer consisting of a heavy chain and a light chain (beta-2 microglobulin). The heavy chain is anchored in the membrane. Class I molecules play a central role in the immune system by presenting peptides derived from the endoplasmic reticulum lumen. They are expressed in nearly all cells. The heavy chain is approximately 45 kDa and its gene contains 8 exons. Exon 1 encodes the leader peptide, exon 2 and 3 encode the alpha1 and alpha2 domains, which both bind the peptide, exon 4 encodes the alpha3 domain, exon 5 encodes the transmembrane region and exons 6 and 7 encode the cytoplasmic tail. Polymorphisms within exon 2 and exon 3 are responsible for the peptide binding specificity of each class one molecule. Typing for these polymorphisms is routinely done for bone marrow and kidney transplantation. Hundreds of HLA-B alleles have been described. [provided by RefSeq]

Limitations

This product is for research use only and is not approved for use in humans or in clinical diagnosis. Primary Antibodies are guaranteed for 1 year from date of receipt.

Customers Who Viewed This Item Also Viewed...

NB100-64775
Species: Hu
Applications: CyTOF-ready, ELISA, Flow, Func, IHC, IHC-Fr, IHC-P (-), IP
H00003126-P01
Species: Hu
Applications: ELISA, AP, PA, WB
NB120-6405
Species: Rt
Applications: B/N, CyTOF-ready, EM, ELISA, Flow-IC, Flow, ICC/IF, IHC, IHC-Fr,  IHC-P, IP
NBP2-45316
Species: Hu, Pm
Applications: Flow, ICC/IF, IHC,  IHC-P, WB
MAB1225
Species: Hu
Applications: Block, CyTOF-reported, Flow
NBP3-07168
Species: Pm, Ca, Pm, Hu, Pm, Sq
Applications: Flow, ICC/IF
NBP3-46107
Species: Hu, Mu, Rt
Applications: ELISA, IHC, WB
NBP1-58906
Species: Hu, Mu
Applications: ICC/IF, IHC, IHC-Fr,  IHC-P, WB
NBP1-49045
Species: Mu, Rt
Applications: Cell Depl, CyTOF-ready, Flow, ICC/IF, IHC, IHC-Fr,  IHC-P, IP, InhibTFunc
NB500-302
Species: Hu
Applications: ICC/IF, IHC, IHC-Fr,  IHC-P, WB
NBP2-36776
Species: Hu
Applications: ICC/IF, IHC,  IHC-P, KD, WB
NBP3-17255
Species: Hu
Applications: ICC/IF, WB
NBP2-67150
Species: Hu, Mu, Rt
Applications: IHC, IHC-Fr,  IHC-P, IP, WB
NBP1-59069
Species: Hu
Applications: ICC/IF, IHC,  IHC-P, WB
NBP2-34234
Species: Hu
Applications: ELISA, ICC/IF, IHC,  IHC-P
NBP3-35275
Species: Hu, Mu, Rt
Applications: ELISA, ICC/IF, IHC,  IHC-P, WB
AF1936
Species: Hu
Applications: IP, WB
NBP1-89985
Species: Hu, Rt
Applications: ICC/IF, IHC, IHC-Fr,  IHC-P, Simple Western, WB
AF347
Species: Hu
Applications: IHC, Neut, WB

Publications for HLA B Antibody (NBP3-11520) (0)

There are no publications for HLA B Antibody (NBP3-11520).
By submitting your publication information earn gift cards and discounts for future purchases.

Reviews for HLA B Antibody (NBP3-11520) (0)

There are no reviews for HLA B Antibody (NBP3-11520). By submitting a review you will receive an Amazon e-Gift Card or Novus Product Discount.
  • Review with no image -- $10/€7/£6/$10 CAD/¥70 Yuan/¥1110 Yen
  • Review with an image -- $25/€18/£15/$25 CAD/¥150 Yuan/¥2500 Yen

Product General Protocols

Find general support by application which include: protocols, troubleshooting, illustrated assays, videos and webinars.

Video Protocols

ICC/IF Video Protocol

FAQs for HLA B Antibody (NBP3-11520) (0)

There are no specific FAQs related to this product. Read our general customer & technical service FAQs.

Secondary Antibodies

 

Isotype Controls

Additional HLA B Products

Research Areas for HLA B Antibody (NBP3-11520)

Find related products by research area.

Blogs on HLA B

There are no specific blogs for HLA B, but you can read our latest blog posts.

Customers Who Bought This Also Bought

Contact Information

Product PDFs

Calculators

Concentration Calculator

The concentration calculator allows you to quickly calculate the volume, mass or concentration of your vial. Simply enter your mass, volume, or concentration values for your reagent and the calculator will determine the rest.

=
÷

Review this Product

Be the first to review our HLA B Antibody (JOAN-1) - Azide and BSA Free and receive a gift card or discount.

Bioinformatics

Gene Symbol HLA-B