Haptoglobin Antibody (HP/3837) - Azide and BSA Free

Images

 
Protein Array: Haptoglobin Antibody (HP/3837) - Azide and BSA Free [NBP3-14068] - Analysis of Protein Array containing more than 19,000 full-length human proteins using Haptoglobin Antibody (HP/3837).
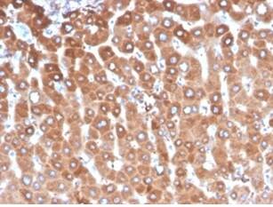
Formalin-fixed, paraffin-embedded human liver stained with Haptoglobin Antibody (HP/3837) - Azide and BSA Free at 2ug/ml.

Product Details

Summary
Reactivity HuSpecies Glossary
Applications IHC, MA
Clone
HP/3837
Clonality
Monoclonal
Host
Mouse
Conjugate
Unconjugated
Format
Azide and BSA Free
Concentration
1 mg/ml

Order Details

Haptoglobin Antibody (HP/3837) - Azide and BSA Free Summary

Description
1.0 mg/ml of antibody purified from Bioreactor Concentrate by Protein A/G. Prepared in 10mM PBS WITHOUT BSA & azide. Also available at 200 ug/ml WITH BSA & azide (NBP3-13887).

Antibody without azide - store at -20 to -80C. Antibody with azide - store at 2 to 8C. Non-hazardous.

Theoretical molecular weight: 15-18 kDa (chain); 45kDa (chain)
Immunogen
Recombinant fragment (around aa100-250) of human Haptoglobin protein (exact sequence is proprietary) (Uniprot: P00738)
Localization
Secreted. Selective granular cytoplasmic expression in liver with distinct positivity in plasma and extracellular matrix
Isotype
IgG1 Kappa
Clonality
Monoclonal
Host
Mouse
Gene
HP
Purity
Protein A or G purified
Innovator's Reward
Test in a species/application not listed above to receive a full credit towards a future purchase.

Applications/Dilutions

Dilutions
  • Immunohistochemistry-Paraffin 1-2 ug/ml
  • Protein Array
Application Notes
Immunohistochemistry (Formalin-fixed): 1-2ug/ml for 30 minutes at RT. Staining of formalin-fixed tissues requires heating tissue sections in 10mM Tris with 1mM EDTA, pH 9.0, for 45 min at 95C followed by cooling at RT for 20 minutes

Packaging, Storage & Formulations

Storage
Store at -20 to -80C. Avoid freeze-thaw cycles.
Buffer
10mM PBS
Preservative
No Preservative
Concentration
1 mg/ml
Purity
Protein A or G purified

Alternate Names for Haptoglobin Antibody (HP/3837) - Azide and BSA Free

  • binding peptide
  • BP
  • haptoglobin alpha(1S)-beta
  • haptoglobin alpha(2FS)-beta
  • Haptoglobin
  • haptoglobin, alpha polypeptide
  • haptoglobin, beta polypeptide
  • HP
  • HP-1
  • hp2-alpha
  • HP2ALPHA2
  • HPA1S
  • MGC111141
  • zonulin

Background

Haptoglobin combines with free plasma hemoglobin, preventing loss of iron through the kidneys and protecting the kidneys from damage by hemoglobin, while making the hemoglobin accessible to degradative enzymes.

Limitations

This product is for research use only and is not approved for use in humans or in clinical diagnosis. Primary Antibodies are guaranteed for 1 year from date of receipt.

Customers Who Viewed This Item Also Viewed...

MAB1455
Species: Hu
Applications: CyTOF-ready, Dual ISH-IHC, ICC, IHC, ICFlow, Simple Western, WB
2914-HT
Species: Hu
Applications: BA
DY1707
Species: Hu
Applications: ELISA
NBP3-15868
Species: Hu, Mu, Rt
Applications: ELISA, ICC/IF, IHC,  IHC-P, WB
M6000B
Species: Mu
Applications: ELISA
NBP2-37477
Species: Hu
Applications: ELISA, ICC/IF, IHC,  IHC-P, WB
NBP2-20454
Species: Hu
Applications: IHC,  IHC-P, WB
NB200-540
Species: Ec, Mu
Applications: CyTOF-ready, Flow-IC, Flow, IA, ICC/IF, IHC, IHC-Fr,  IHC-P, IP
AF5739
Species: Hu, Mu, Rt
Applications: WB
AF7007
Species: Mu
Applications: IHC, WB
MAB1417
Species: Bv, Hu, Mu
Applications: ICC, IHC
NB500-525
Species: Hu
Applications: ELISA, IHC,  IHC-P, WB
AF3398
Species: Hu, Mu, Rt
Applications: ICC, KO, Simple Western, WB
MAB1268
Species: Hu
Applications: ICC, IHC, IP, Simple Western, WB
DY417
Species: Mu
Applications: ELISA
NBP2-13075
Species: Ba, Hu, Pm, Mu, Rt
Applications: DB, ELISA, IB, ICC/IF, IHC-FrFl, IHC, IHC-Fr,  IHC-P, IP, WB

Publications for Haptoglobin Antibody (NBP3-14068) (0)

There are no publications for Haptoglobin Antibody (NBP3-14068).
By submitting your publication information earn gift cards and discounts for future purchases.

Reviews for Haptoglobin Antibody (NBP3-14068) (0)

There are no reviews for Haptoglobin Antibody (NBP3-14068). By submitting a review you will receive an Amazon e-Gift Card or Novus Product Discount.
  • Review with no image -- $10/€7/£6/$10 CAD/¥70 Yuan/¥1110 Yen
  • Review with an image -- $25/€18/£15/$25 CAD/¥150 Yuan/¥2500 Yen

Product General Protocols

Find general support by application which include: protocols, troubleshooting, illustrated assays, videos and webinars.

FAQs for Haptoglobin Antibody (NBP3-14068) (0)

There are no specific FAQs related to this product. Read our general customer & technical service FAQs.

Secondary Antibodies

 

Isotype Controls

Additional Haptoglobin Products

Research Areas for Haptoglobin Antibody (NBP3-14068)

Find related products by research area.

Blogs on Haptoglobin.

Lipopolysaccharide from gut microbiome localizes in human atherosclerotic plaques and promotes TLR4-mediated oxidative stress
By Jamshed Arslan, Pharm. D., PhD. Atherosclerosis is a chronic inflammatory condition in which plaques of fats and other substances slowly buildup on the inner walls of arteries to restrict blood flow. In atheroscle...  Read full blog post.

Customers Who Bought This Also Bought

Contact Information

Product PDFs

Calculators

Concentration Calculator

The concentration calculator allows you to quickly calculate the volume, mass or concentration of your vial. Simply enter your mass, volume, or concentration values for your reagent and the calculator will determine the rest.

=
÷

Review this Product

Be the first to review our Haptoglobin Antibody (HP/3837) - Azide and BSA Free and receive a gift card or discount.

Bioinformatics

Gene Symbol HP