GTSE1 Antibody

Images

 
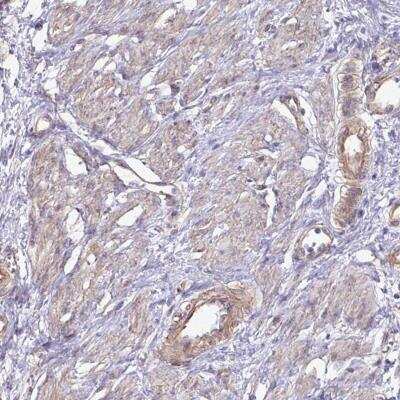
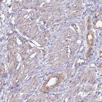
Immunohistochemistry-Paraffin: GTSE1 Antibody [NBP2-32552] - Staining of human smooth muscle shows moderate cytoplasmic positivity in smooth muscle cells.

Product Details

Summary
Product Discontinued
View other related GTSE1 Primary Antibodies

Order Details


    • Catalog Number
      NBP2-32552
    • Availability
      Product Discontinued

    Can't find what you are looking for? Use our Antibody Concierge Service & we will help you locate your antibody!

    Or feel free to contact us for alternative products.

GTSE1 Antibody Summary

Immunogen
This antibody was developed against a recombinant protein corresponding to amino acids: IPASPSRTKIPAEKESHRDVLPDKPAPGAVNVPAAGSHLGQGKRAIPVPNKLGLKKTLLKAPGSTSNLARKSSSGPVWSGASSACTSPAVGKAKSSE
Isotype
IgG
Clonality
Polyclonal
Host
Rabbit
Gene
GTSE1
Purity
Immunogen affinity purified
Innovator's Reward
Test in a species/application not listed above to receive a full credit towards a future purchase.

Applications/Dilutions

Dilutions
  • Immunohistochemistry 1:500 - 1:1000
  • Immunohistochemistry-Paraffin 1:500 - 1:1000
Application Notes
For IHC-Paraffin, HIER pH 6 retrieval is recommended.
Control Peptide
GTSE1 Protein (NBP2-32552PEP)

Packaging, Storage & Formulations

Storage
Store at 4C short term. Aliquot and store at -20C long term. Avoid freeze-thaw cycles.
Buffer
PBS (pH 7.2) and 40% Glycerol
Preservative
0.02% Sodium Azide
Purity
Immunogen affinity purified

Alternate Names for GTSE1 Antibody

  • B99
  • G2 and S phase-expressed protein 1
  • G-2 and S-phase expressed 1
  • GTSE-1
  • Protein B99 homolog

Background

GTSE1 (G-2 and S-phase expressed 1) is only expressed in the S and G2 phases of the cell cycle, where it colocalizes with cytoplasmic tubulin and microtubules. In response to DNA damage, GTSE1 accumulates in the nucleus and binds the tumor suppressor protein p53, shuttling it out of the nucleus and repressing its ability to induce apoptosis.

Limitations

This product is for research use only and is not approved for use in humans or in clinical diagnosis. Primary Antibodies are guaranteed for 1 year from date of receipt.

Customers Who Viewed This Item Also Viewed...

NB200-103
Species: Hu, Mu, Rt, Xp(-), Ye
Applications: CyTOF-ready, ELISA, Flow-IC, Flow, ICC/IF, IHC, IHC-Fr,  IHC-P, IP, WB
NBP2-29463
Species: Pm, Hu, Pm, Mu
Applications: Flow, ICC/IF, IHC,  IHC-P, WB
NBP1-76759
Species: Hu, Mu, Rt
Applications: ELISA, ICC/IF, IHC,  IHC-P, WB
NBP1-48291
Species: Hu, Mu, Rt
Applications: Flow, IHC,  IHC-P, IP, WB
AF748
Species: Hu, Mu
Applications: CyTOF-ready, Dual ISH-IHC, Flow, ICC, IHC, Simple Western, WB
NBP1-21374
Species: Hu
Applications: IHC,  IHC-P, IP, KD, WB
NBP2-46085
Species: Hu
Applications: IHC,  IHC-P, WB
AF3639
Species: Hu
Applications: ChIP, ICC, ICFlow, WB
NBP2-38278
Species: Hu
Applications: ICC/IF, IHC,  IHC-P
NBP1-87262
Species: Hu
Applications: ICC/IF, IHC,  IHC-P, KD, WB
AF6897
Species: Hu, Mu
Applications: IHC, Simple Western, WB
H00027065-M01
Species: Hu, Rt
Applications: ELISA, ICC/IF, S-ELISA, WB
AF6000
Species: Hu, Mu
Applications: IHC, Simple Western, WB
NBP2-15840
Species: Hu, Mu, Rt
Applications: ICC/IF, IHC,  IHC-P, WB
MAB4459
Species: Hu, Mu, Rt
Applications: WB
DMP900
Species: Hu
Applications: ELISA
NBP3-17510
Species: Hu
Applications: IHC,  IHC-P
NBP2-32552
Species: Hu
Applications: IHC

Publications for GTSE1 Antibody (NBP2-32552) (0)

There are no publications for GTSE1 Antibody (NBP2-32552).
By submitting your publication information earn gift cards and discounts for future purchases.

Reviews for GTSE1 Antibody (NBP2-32552) (0)

There are no reviews for GTSE1 Antibody (NBP2-32552). By submitting a review you will receive an Amazon e-Gift Card or Novus Product Discount.
  • Review with no image -- $10/€7/£6/$10 CAD/¥70 Yuan/¥1110 Yen
  • Review with an image -- $25/€18/£15/$25 CAD/¥150 Yuan/¥2500 Yen

Product General Protocols

Find general support by application which include: protocols, troubleshooting, illustrated assays, videos and webinars.

FAQs for GTSE1 Antibody (NBP2-32552) (0)

There are no specific FAQs related to this product. Read our general customer & technical service FAQs.

Secondary Antibodies

 

Isotype Controls

Additional GTSE1 Products

Research Areas for GTSE1 Antibody (NBP2-32552)

Find related products by research area.

Blogs on GTSE1

There are no specific blogs for GTSE1, but you can read our latest blog posts.

Contact Information

Product PDFs

Calculators

Concentration Calculator

The concentration calculator allows you to quickly calculate the volume, mass or concentration of your vial. Simply enter your mass, volume, or concentration values for your reagent and the calculator will determine the rest.

=
÷

Review this Product

Be the first to review our GTSE1 Antibody and receive a gift card or discount.

Bioinformatics

Gene Symbol GTSE1