Growth Hormone Antibody (JM108-09)

Images

 
Western Blot: Growth Hormone Antibody (JM108-09) [NBP2-66893] - Analysis of Growth Hormone on human placenta tissue lysates using anti- Growth Hormone antibody at 1/500 dilution.
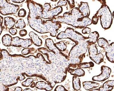
Immunohistochemistry-Paraffin: Growth Hormone Antibody (JM108-09) [NBP2-66893] - Analysis of paraffin-embedded human placenta tissue using anti-Growth Hormone antibody. The section was pre-treated using heat mediated ...read more
Immunohistochemistry-Paraffin: Growth Hormone Antibody (JM108-09) [NBP2-66893] - Analysis of paraffin-embedded human breast cancer tissue using anti-Growth Hormone antibody. Counter stained with hematoxylin.
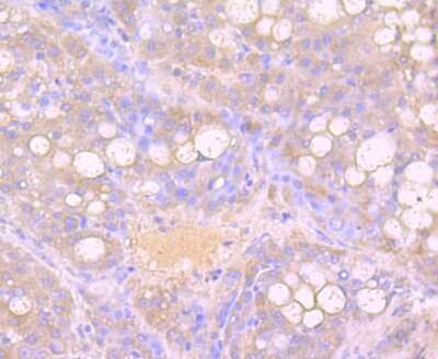
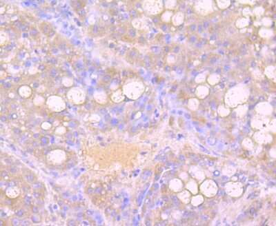
Immunohistochemistry-Paraffin: Growth Hormone Antibody (JM108-09) [NBP2-66893] - Analysis of paraffin-embedded human liver cancer tissue using anti-Growth Hormone antibody. Counter stained with hematoxylin.
Immunohistochemistry-Paraffin: Growth Hormone Antibody (JM108-09) [NBP2-66893] - Analysis of paraffin-embedded human tonsil tissue using anti-Growth Hormone antibody. Counter stained with hematoxylin.

Product Details

Summary
Product Discontinued
View other related Growth Hormone Primary Antibodies

Order Details


    • Catalog Number
      NBP2-66893
    • Availability
      Product Discontinued

    Can't find what you are looking for? Use our Antibody Concierge Service & we will help you locate your antibody!

    Or feel free to contact us for alternative products.

Growth Hormone Antibody (JM108-09) Summary

Additional Information
Recombinant Monoclonal Antibody.
Immunogen
Synthetic peptide within Human Growth Hormone aa 72-106 / 217. (SwissProt: P01241 Human)
Localization
Secreted.
Isotype
IgG
Clonality
Monoclonal
Host
Rabbit
Gene
GH1
Purity
Protein A purified
Innovator's Reward
Test in a species/application not listed above to receive a full credit towards a future purchase.

Applications/Dilutions

Dilutions
  • Immunohistochemistry
  • Immunohistochemistry-Paraffin 1:50-400
  • Immunoprecipitation
  • Western Blot 1:500

Packaging, Storage & Formulations

Storage
Store at 4C short term. Aliquot and store at -20C long term. Avoid freeze-thaw cycles.
Buffer
TBS (pH7.4), 0.05% BSA, 40% Glycerol
Preservative
0.05% Sodium Azide
Concentration
1 mg/ml
Purity
Protein A purified

Alternate Names for Growth Hormone Antibody (JM108-09)

  • GH1
  • GHB5
  • GHIGHD1B
  • GHN
  • GH-N
  • GHNGrowth hormone
  • GH-Nsomatotropin
  • growth hormone 1Pituitary growth hormone
  • Growth Hormone
  • hGH-N
  • IGHD1A
  • IGHD2
  • Somatotropin

Background

Human growth hormone (hGH) plays an important role in growth control. Its major role in stimulating body growth is to stimulate the liver and other tissues to secrete IGF-1. The effects of hGH in the body can be generally described as anabolic. It stimulates amino acid uptake and protein synthesis in muscle and other tissues. Growth Hormone (GH1) is synthesized by acidophilic or somatotropic cells of the anterior pituitary gland. Genes for growth hormone (GH) are found in a gene cluster on 17q, which consists of two growth hormone genes and three CSH genes. The GHN1 gene is transcribed exclusively in the pituitary, whereas the other 4 genes are expressed only in placental tissues. Several isoforms of GH1 exist. Human growth hormone (hGH) is also used as a reporter protein, because it is secreted from mammalian cells it can be assayed by ELISA on culture supernatant using antibodies to determine the level of expression.

Limitations

This product is for research use only and is not approved for use in humans or in clinical diagnosis. Primary Antibodies are guaranteed for 1 year from date of receipt.

Customers Who Viewed This Item Also Viewed...

AF1067
Species: Hu, Mu, Rt
Applications: ELISA, IHC, Neut, WB
291-G1
Species: Hu
Applications: BA
AF1445
Species: Mu, Rt
Applications: ELISA(Cap), ELISA(Det), ELISA(Sta), IHC, Neut, Simple Western, WB
NBP3-04850
Species: Hu, Mu, Rt
Applications: ICC/IF, WB
MAB1417
Species: Bv, Hu, Mu
Applications: ICC, IHC
H00005087-M01
Species: Hu, Pm, Mu
Applications: ChIP, ELISA, ICC/IF, IHC,  IHC-P, IP, S-ELISA, WB
NBP2-37447
Species: Hu
Applications: CyTOF-ready, ELISA, Flow, ICC/IF, IHC,  IHC-P
NB100-1533
Species: Hu, Mu, Po, Rt, Sh
Applications: Flow, ICC/IF, IHC,  IHC-P, PEP-ELISA, WB
NBP2-34014
Species: Hu
Applications: IHC,  IHC-P
DGB300
Species: Hu
Applications: ELISA
NBP2-38770
Species: Hu, Mu
Applications:  IHC-P, WB
NBP1-30475
Species: Hu, Mu
Applications: IHC,  IHC-P, IP, WB
AF1360
Species: Mu
Applications: IHC, WB
292-G2
Species: Hu
Applications: BA
MAB8200
Species: Hu, Mu
Applications: IHC
MAB1249
Species: Hu, Mu
Applications: CyTOF-ready, ICC, ICFlow
DY871
Species: Hu
Applications: ELISA
NBP2-92630
Species: Hu, Mu, Rt
Applications: ELISA, ICC/IF, IHC,  IHC-P, WB
NBP1-92273
Species: Hu, Mu
Applications: IHC,  IHC-P
NBP2-66893
Species: Hu
Applications: WB, IHC, IP

Publications for Growth Hormone Antibody (NBP2-66893) (0)

There are no publications for Growth Hormone Antibody (NBP2-66893).
By submitting your publication information earn gift cards and discounts for future purchases.

Reviews for Growth Hormone Antibody (NBP2-66893) (0)

There are no reviews for Growth Hormone Antibody (NBP2-66893). By submitting a review you will receive an Amazon e-Gift Card or Novus Product Discount.
  • Review with no image -- $10/€7/£6/$10 CAD/¥70 Yuan/¥1110 Yen
  • Review with an image -- $25/€18/£15/$25 CAD/¥150 Yuan/¥2500 Yen

Product General Protocols

Find general support by application which include: protocols, troubleshooting, illustrated assays, videos and webinars.

Video Protocols

WB Video Protocol

FAQs for Growth Hormone Antibody (NBP2-66893) (0)

There are no specific FAQs related to this product. Read our general customer & technical service FAQs.

Secondary Antibodies

 

Isotype Controls

Additional Growth Hormone Products

Research Areas for Growth Hormone Antibody (NBP2-66893)

Find related products by research area.

Blogs on Growth Hormone.

Growth hormone (GH, somatotropin, hGH, pituitary growth hormone)
GH is a member of the large family of growth factors that includes prolactin, placental lactogens, proliferins, and somatolactin. Additionally, GH is a 191-amino acid, single-chain polypeptide that is synthesized, stored, and secreted by somatotropic ...  Read full blog post.

Somatostatin Receptor 2: Treating Patients Who Cannot Stop Growing
Acromegaly is a rare life-shortening disease caused by elevated levels of growth hormone (GH) secreted by a tumor on the pituitary gland. Treatments include somatostatin analogs, which activate somatostatin receptor 2 (SSTR2), reducing GH secretion an...  Read full blog post.

Contact Information

Product PDFs

Calculators

Concentration Calculator

The concentration calculator allows you to quickly calculate the volume, mass or concentration of your vial. Simply enter your mass, volume, or concentration values for your reagent and the calculator will determine the rest.

=
÷

Review this Product

Be the first to review our Growth Hormone Antibody (JM108-09) and receive a gift card or discount.

Bioinformatics

Gene Symbol GH1