GRIM19 Antibody (JG82-33)

Images

 
Western Blot: GRIM19 Antibody (JG82-33) [NBP2-75517] - Analysis of GRIM19 on MCF-7 cell using anti-GRIM19 antibody at 1/1,000 dilution.
Immunocytochemistry/ Immunofluorescence: GRIM19 Antibody (JG82-33) [NBP2-75517] - Staining GRIM19 in HepG2 cells (green). The nuclear counter stain is DAPI (blue). Cells were fixed in paraformaldehyde, permeabilised ...read more
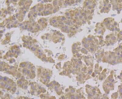
Immunohistochemistry-Paraffin: GRIM19 Antibody (JG82-33) [NBP2-75517] - Analysis of paraffin-embedded human liver tissue using anti-GRIM19 antibody. Counter stained with hematoxylin.
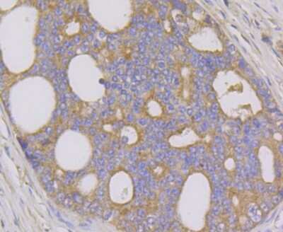
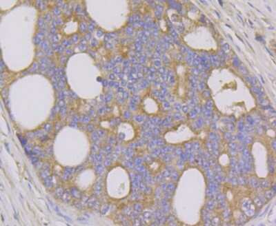
Immunohistochemistry-Paraffin: GRIM19 Antibody (JG82-33) [NBP2-75517] - Analysis of paraffin-embedded human prostate cancer tissue using anti-GRIM19 antibody. Counter stained with hematoxylin.
Immunohistochemistry-Paraffin: GRIM19 Antibody (JG82-33) [NBP2-75517] - Analysis of paraffin-embedded human kidney tissue using anti-GRIM19 antibody. Counter stained with hematoxylin.

Product Details

Summary
Product Discontinued
View other related GRIM19 Primary Antibodies

Order Details


    • Catalog Number
      NBP2-75517
    • Availability
      Product Discontinued

    Can't find what you are looking for? Use our Antibody Concierge Service & we will help you locate your antibody!

    Or feel free to contact us for alternative products.

GRIM19 Antibody (JG82-33) Summary

Additional Information
Recombinant Monoclonal Antibody.
Immunogen
Recombinant protein within Human GRIM19 aa 1-144 / 144. (SwissProt: Q9P0J0 Human)
Localization
Mitochondrion. Nucleus.
Isotype
IgG
Clonality
Monoclonal
Host
Rabbit
Gene
NDUFA13
Purity
Protein A purified
Innovator's Reward
Test in a species/application not listed above to receive a full credit towards a future purchase.

Applications/Dilutions

Dilutions
  • Immunocytochemistry/ Immunofluorescence 1:50-1:200
  • Immunohistochemistry
  • Immunohistochemistry-Paraffin 1:50-1:200
  • Western Blot 1:500-1:1000
Theoretical MW
17 kDa.
Disclaimer note: The observed molecular weight of the protein may vary from the listed predicted molecular weight due to post translational modifications, post translation cleavages, relative charges, and other experimental factors.

Packaging, Storage & Formulations

Storage
Store at 4C short term. Aliquot and store at -20C long term. Avoid freeze-thaw cycles.
Buffer
TBS (pH7.4), 0.05% BSA, 40% Glycerol
Preservative
0.05% Sodium Azide
Concentration
1 mg/ml
Purity
Protein A purified

Alternate Names for GRIM19 Antibody (JG82-33)

  • B16.6
  • CDA016
  • Cell death regulatory protein GRIM-19
  • cell death-regulatory protein GRIM19
  • CI-B16.6
  • complex I B16.6 subunit
  • Complex I-B16.6
  • FLJ58045
  • FLJ59191
  • Gene associated with retinoic and IFN-induced mortality 19 protein
  • Gene associated with retinoic and interferon-induced mortality 19 protein
  • GRIM-19CGI-39
  • GRIM19NADH-ubiquinone oxidoreductase B16.6 subunit
  • NADH dehydrogenase (ubiquinone) 1 alpha subcomplex, 13
  • NADH dehydrogenase [ubiquinone] 1 alpha subcomplex subunit 13

Background

The GRIM19 gene encodes a subunit of the mitochondrial membrane respiratory chain NADH dehydrogenase (Complex I), which functions in the transfer of electrons from NADH to the respiratory chain. The protein is required for complex I assembly and electron transf

Limitations

This product is for research use only and is not approved for use in humans or in clinical diagnosis. Primary Antibodies are guaranteed for 1 year from date of receipt.

Customers Who Viewed This Item Also Viewed...

MAB1799
Species: Hu, Mu, Rt
Applications: ICC, IP, ICFlow, KO, WB
NBP2-62720
Species: Hu
Applications: IHC,  IHC-P
8499-IF
Species: Hu
Applications: BA
NBP3-48671
Species: Hu, Mu, Rt, Ze
Applications: ICC/IF, IHC,  IHC-P, WB
NB200-103
Species: Hu, Mu, Rt, Xp(-), Ye
Applications: CyTOF-ready, ELISA, Flow-IC, Flow, ICC/IF, IHC, IHC-Fr,  IHC-P, IP, WB
NB200-106
Species: Mu, Rt
Applications: ELISA, ICC/IF, IHC, IHC-Fr,  IHC-P, WB
M6000B
Species: Mu
Applications: ELISA
NB100-524
Species: Hu, Mu
Applications: Flow-IC, Flow, ICC/IF, IHC, IHC-Fr,  IHC-P, IP, WB
NB100-56104
Species: Ca, Hu, Mu, Rt
Applications: IHC, IHC-Fr,  IHC-P, IP, WB
NB600-302
Species: Bv, Dr, Hu, Mu
Applications: ChIP, ELISA, Flow-IC, Flow, IB, ICC/IF, IHC, IHC-Fr,  IHC-P, IP, PLA, S-ELISA, Simple Western, WB
NB500-201
Species: Ca, Fe, Gp, Ha, Hu, Mu, Rt
Applications: ChIP, Dual ISH-IHC, ELISA, Flow, ICC/IF, IHC, IHC-Fr,  IHC-P, IP, KD, Simple Western, WB
NB500-201
Species: Ca, Fe, Gp, Ha, Hu, Mu, Rt
Applications: ChIP, Dual ISH-IHC, ELISA, Flow, ICC/IF, IHC, IHC-Fr,  IHC-P, IP, KD, Simple Western, WB
NBP1-31308
Species: Bv, Hu, Mu, Rt
Applications: ICC/IF, IHC,  IHC-P, Simple Western, WB
AF2894
Species: Hu, Mu
Applications: CyTOF-ready, ICFlow, Simple Western, WB
MAB414
Species: Mu
Applications: ELISA(Cap), ELISA(Det), ELISA(Sta), Neut, WB
NBP2-32840
Species: Hu, Pm, Mu, Rt
Applications: Flow, ICC/IF, IHC,  IHC-P, WB
NBP1-47668
Species: Hu, Pm, Mu, Rt
Applications: Flow, ICC/IF, IHC,  IHC-P, IP, WB
DVE00
Species: Hu
Applications: ELISA
AF1458
Species: Hu, Mu, Rt
Applications: ICC, Simple Western, WB

Publications for GRIM19 Antibody (NBP2-75517) (0)

There are no publications for GRIM19 Antibody (NBP2-75517).
By submitting your publication information earn gift cards and discounts for future purchases.

Reviews for GRIM19 Antibody (NBP2-75517) (0)

There are no reviews for GRIM19 Antibody (NBP2-75517). By submitting a review you will receive an Amazon e-Gift Card or Novus Product Discount.
  • Review with no image -- $10/€7/£6/$10 CAD/¥70 Yuan/¥1110 Yen
  • Review with an image -- $25/€18/£15/$25 CAD/¥150 Yuan/¥2500 Yen

Product General Protocols

Find general support by application which include: protocols, troubleshooting, illustrated assays, videos and webinars.

Video Protocols

WB Video Protocol
ICC/IF Video Protocol

FAQs for GRIM19 Antibody (NBP2-75517) (0)

There are no specific FAQs related to this product. Read our general customer & technical service FAQs.

Secondary Antibodies

 

Isotype Controls

Additional GRIM19 Products

Research Areas for GRIM19 Antibody (NBP2-75517)

Find related products by research area.

Blogs on GRIM19

There are no specific blogs for GRIM19, but you can read our latest blog posts.

Contact Information

Product PDFs

Calculators

Concentration Calculator

The concentration calculator allows you to quickly calculate the volume, mass or concentration of your vial. Simply enter your mass, volume, or concentration values for your reagent and the calculator will determine the rest.

=
÷

Review this Product

Be the first to review our GRIM19 Antibody (JG82-33) and receive a gift card or discount.

Bioinformatics

Gene Symbol NDUFA13