NDUFS3 Antibody (HL2097)

Images

 
Genetic Strategies: Wild-type (WT) and NDUFS3 knockout (KO) 293T cell extracts (30 ug) were separated by 12% SDS-PAGE, and the membrane was blotted with NDUFS3 antibody [HL2097] (NBP3-48671) diluted at 1:2500. ...read more
NDUFS3 antibody [HL2097] detects NDUFS3 protein by immunohistochemical analysis.Sample: Paraffin-embedded rat tissues.NDUFS3 stained by NDUFS3 antibody [HL2097] (NBP3-48671) diluted at 1:50.Antigen Retrieval: Citrate ...read more
NDUFS3 antibody [HL2097] detects NDUFS3 protein at mitochondria by immunofluorescent analysis.Sample: 293T cells were fixed in ice-cold MeOH for 5 min.Green: NDUFS3 stained by NDUFS3 antibody [HL2097] (NBP3-48671) ...read more
Whole zebrafish extract (30 ug) was separated by 12% SDS-PAGE, and the membrane was blotted with NDUFS3 antibody [HL2097] (NBP3-48671) diluted at 1:1000. The HRP-conjugated anti-rabbit IgG antibody was used to detect ...read more
Various whole cell extracts (30 ug) were separated by 12% SDS-PAGE, and the membrane was blotted with NDUFS3 antibody [HL2097] (NBP3-48671) diluted at 1:10000. The HRP-conjugated anti-rabbit IgG antibody was used to ...read more
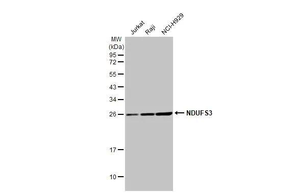
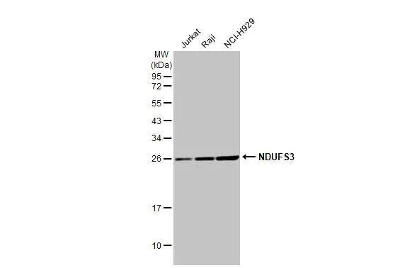
Various whole cell extracts (30 ug) were separated by 12% SDS-PAGE, and the membrane was blotted with NDUFS3 antibody [HL2097] (NBP3-48671) diluted at 1:2500. The HRP-conjugated anti-rabbit IgG antibody was used to ...read more
NDUFS3 antibody [HL2097] detects NDUFS3 protein by immunohistochemical analysis.Sample: Paraffin-embedded mouse tissues.NDUFS3 stained by NDUFS3 antibody [HL2097] (NBP3-48671) diluted at 1:50.Antigen Retrieval: Citrate ...read more
Whole Japanese medaka extract (30 ug) was separated by 12% SDS-PAGE, and the membrane was blotted with NDUFS3 antibody [HL2097] (NBP3-48671) diluted at 1:1000. The HRP-conjugated anti-rabbit IgG antibody was used to ...read more

Product Details

Summary
Reactivity Hu, Mu, Rt, ZeSpecies Glossary
Applications WB, ICC/IF, IHC
Clone
HL2097
Clonality
Monoclonal
Host
Rabbit
Conjugate
Unconjugated
Validated by:
     

Genetic Strategies

   

Order Details

NDUFS3 Antibody (HL2097) Summary

Description
Novus Biologicals Rabbit NDUFS3 Antibody (HL2097) (NBP3-48671) is a recombinant monoclonal antibody validated for use in IHC, WB and ICC/IF. All Novus Biologicals antibodies are covered by our 100% guarantee.
Additional Information
Recombinant Monoclonal Antibody
Immunogen
Recombinant fragment of human NDUFS3
Isotype
IgG
Clonality
Monoclonal
Host
Rabbit
Gene
NDUFS3
Purity
Protein A purified
Innovator's Reward
Test in a species/application not listed above to receive a full credit towards a future purchase.

Applications/Dilutions

Dilutions
  • Immunocytochemistry/ Immunofluorescence
  • Immunohistochemistry
  • Immunohistochemistry-Paraffin
  • Western Blot 1:500-1:3000

Packaging, Storage & Formulations

Storage
Store at 4C short term. Aliquot and store at -20C long term. Avoid freeze-thaw cycles.
Buffer
PBS
Preservative
No Preservative
Purity
Protein A purified

Alternate Names for NDUFS3 Antibody (HL2097)

  • CI-30
  • CI-30kD
  • complex I 30kDa subunit
  • Complex I-30kD
  • EC 1.6.5.3
  • EC 1.6.99.3
  • EC 1.6.99.5
  • NADH dehydrogenase (ubiquinone) Fe-S protein 3 (30kD) (NADH-coenzyme Qreductase)
  • NADH dehydrogenase (ubiquinone) Fe-S protein 3, 30kDa (NADH-coenzyme Qreductase)
  • NADH dehydrogenase [ubiquinone] iron-sulfur protein 3, mitochondrial
  • NADH dehydrogenase-ubiquinone 30 kDa subunit
  • NADH-ubiquinone oxidoreductase 30 kDa subunit

Background

The multisubunit NADH:ubiquinone oxidoreductase (complex I) is the first enzyme complex in the electron transport chain of mitochondria. The iron-sulfur protein (IP) fraction of complex I is made up of 7 subunits. See NDUFS1 (MIM 157655).[supplied by OMIM]

Limitations

This product is for research use only and is not approved for use in humans or in clinical diagnosis. Primary Antibodies are guaranteed for 1 year from date of receipt.

Customers Who Viewed This Item Also Viewed...

NBP1-90050
Species: Hu, Mu, Rt
Applications: ICC/IF, IHC,  IHC-P, WB
NBP1-92172
Species: Hu
Applications: ICC/IF, IHC,  IHC-P, WB
NBP1-33074
Species: Hu, Mu, Ze
Applications: IHC,  IHC-P, KO, WB
NBP1-84475
Species: Hu, Mu
Applications: IHC,  IHC-P, WB
NBP1-56520
Species: Hu, Mu
Applications: WB
NBP2-46127
Species: Hu, Mu, Rt
Applications: IHC,  IHC-P, KO, WB
AF2905
Species: Hu
Applications: ELISA, ICC, WB
NBP2-45645
Species: Hu
Applications: ICC/IF, IHC,  IHC-P, WB
NB110-60531
Species: Hu, Mu, Rt(-)
Applications: CyTOF-ready, ELISA, Flow-IC, Flow, ICC/IF, IHC,  IHC-P, IP, WB
NBP2-93743
Species: Hu, Mu, Rt
Applications: ICC/IF, WB
NBP1-31465
Species: Hu, Mu, Rt
Applications: ICC/IF, IHC,  IHC-P, WB
NBP1-85620
Species: Hu
Applications: ICC/IF, IHC,  IHC-P
NBP1-91228
Species: Hu, Rt
Applications: IHC,  IHC-P, WB
NBP1-33021
Species: Hu, Mu
Applications: ICC/IF, IHC,  IHC-P, IP, KO, WB
NB100-56618
Species: Hu, Mu
Applications: Flow-CS, Flow, ICC/IF, IHC,  IHC-P, WB
NBP1-49846
Species: Hu
Applications: IHC,  IHC-P, PEP-ELISA, WB

Publications for NDUFS3 Antibody (NBP3-48671) (0)

There are no publications for NDUFS3 Antibody (NBP3-48671).
By submitting your publication information earn gift cards and discounts for future purchases.

Reviews for NDUFS3 Antibody (NBP3-48671) (0)

There are no reviews for NDUFS3 Antibody (NBP3-48671). By submitting a review you will receive an Amazon e-Gift Card or Novus Product Discount.
  • Review with no image -- $10/€7/£6/$10 CAD/¥70 Yuan/¥1110 Yen
  • Review with an image -- $25/€18/£15/$25 CAD/¥150 Yuan/¥2500 Yen

Product General Protocols

Find general support by application which include: protocols, troubleshooting, illustrated assays, videos and webinars.

Video Protocols

WB Video Protocol
ICC/IF Video Protocol

FAQs for NDUFS3 Antibody (NBP3-48671) (0)

There are no specific FAQs related to this product. Read our general customer & technical service FAQs.

Secondary Antibodies

 

Isotype Controls

Additional NDUFS3 Products

Research Areas for NDUFS3 Antibody (NBP3-48671)

Find related products by research area.

Blogs on NDUFS3

There are no specific blogs for NDUFS3, but you can read our latest blog posts.

Customers Who Bought This Also Bought

Contact Information

Product PDFs

Calculators

Concentration Calculator

The concentration calculator allows you to quickly calculate the volume, mass or concentration of your vial. Simply enter your mass, volume, or concentration values for your reagent and the calculator will determine the rest.

=
÷

Review this Product

Be the first to review our NDUFS3 Antibody (HL2097) and receive a gift card or discount.

Bioinformatics

Gene Symbol NDUFS3