| Immunogen | Recombinant protein within Human GRB2 aa 21-217 / 217. (SwissProt: P62993 Human; SwissProt: Q60631 Mouse; SwissProt: P62994 Rat) |
| Localization | Endosome, Nucleus, Golgi apparatus. |
| Isotype | IgG2b |
| Clonality | Monoclonal |
| Host | Mouse |
| Gene | GRB2 |
| Purity | Protein G purified |
| Innovator's Reward | Test in a species/application not listed above to receive a full credit towards a future purchase. |
| Dilutions |
|
|
| Theoretical MW | 25 kDa. Disclaimer note: The observed molecular weight of the protein may vary from the listed predicted molecular weight due to post translational modifications, post translation cleavages, relative charges, and other experimental factors. |
|
| Reviewed Applications |
|
| Storage | Store at 4C short term. Aliquot and store at -20C long term. Avoid freeze-thaw cycles. |
| Buffer | PBS (pH7.4), 0.2% BSA, 50% Glycerol |
| Preservative | 0.05% Sodium Azide |
| Concentration | 2 mg/ml |
| Purity | Protein G purified |
| Images | Ratings | Applications | Species | Date | Details | ||||||||||
|---|---|---|---|---|---|---|---|---|---|---|---|---|---|---|---|
Enlarge |
reviewed by:
Verified Customer |
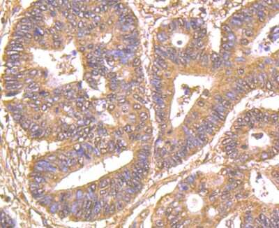
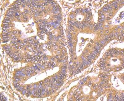
IHC-P | Mouse | 02/23/2022 |
Summary
Comments
|
Secondary Antibodies |
Isotype Controls |
Research Areas for GRB2 Antibody (NBP2-80405)Find related products by research area.
|
The concentration calculator allows you to quickly calculate the volume, mass or concentration of your vial. Simply enter your mass, volume, or concentration values for your reagent and the calculator will determine the rest.
| Gene Symbol | GRB2 |