GNL3L Antibody - BSA Free

Images

 
Independent Antibodies: Western Blot: GNL3L Antibody [NBP1-84618] - Analysis using Anti-GNL3L antibody NBP1-84618 (A) shows similar pattern to independent antibody NBP2-32660 (B).
Staining of human cerebral cortex shows strong nuclear positivity in glial cells.
Analysis in mouse cell line NIH-3T3 and rat cell line NBT-II.
Staining of human endometrium shows moderate nuclear positivity in glandular cells.
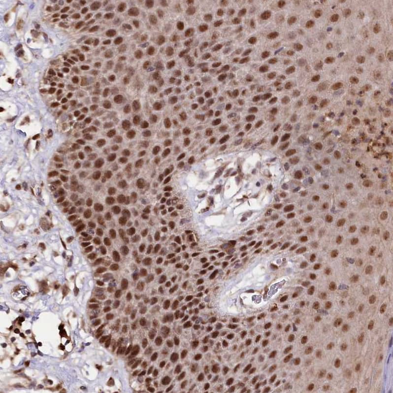
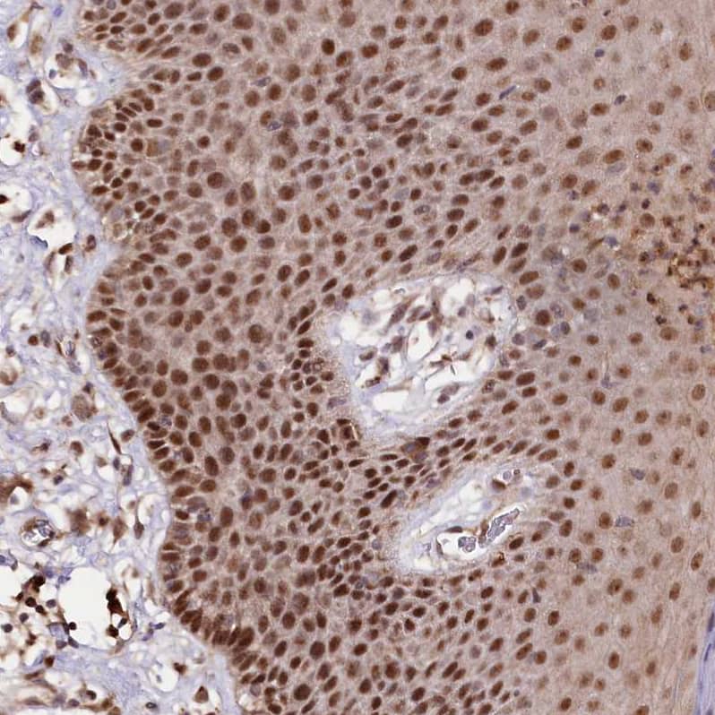
Staining of human skin shows strong nuclear positivity in squamous epithelial cells.
Staining of human pancreas shows strong nuclear positivity in exocrine glandular cells.

Product Details

Summary
Reactivity Hu, Mu, RtSpecies Glossary
Applications WB, IHC
Clonality
Polyclonal
Host
Rabbit
Conjugate
Unconjugated
Format
BSA Free
Validated by:
 

Independent Antibodies

       

Order Details

View Available Formulations
Catalog# & Formulation Size Price

GNL3L Antibody - BSA Free Summary

Description
Novus Biologicals Rabbit GNL3L Antibody - BSA Free (NBP1-84618) is a polyclonal antibody validated for use in IHC and WB. Anti-GNL3L Antibody: Cited in 1 publication. All Novus Biologicals antibodies are covered by our 100% guarantee.
Immunogen
This antibody was developed against Recombinant Protein corresponding to amino acids: HFLTAVAHRLGKKKKGGLYSQEQAAKAVLADWVSGKISFYIPPPATHTLPTHLSAEIVKEMTEVFDIED
Isotype
IgG
Clonality
Polyclonal
Host
Rabbit
Gene
GNL3L
Purity
Immunogen affinity purified
Innovator's Reward
Test in a species/application not listed above to receive a full credit towards a future purchase.

Applications/Dilutions

Dilutions
  • Immunohistochemistry 1:500 - 1:1000
  • Immunohistochemistry-Paraffin 1:500-1:1000
  • Western Blot 0.04-0.4 ug/ml
Application Notes
For IHC-Paraffin, HIER pH 6 retrieval is recommended. Immunocytochemistry/Immunofluorescence Fixation Permeabilization: Use PFA/Triton X-100.
Control Peptide
GNL3L Protein (NBP1-84618PEP)
Publications
Read Publication using NBP1-84618.

Reactivity Notes

Reactivity reported in scientific literature (PMID: 24201379)

Packaging, Storage & Formulations

Storage
Store at 4C short term. Aliquot and store at -20C long term. Avoid freeze-thaw cycles.
Buffer
PBS (pH 7.2) and 40% Glycerol
Preservative
0.02% Sodium Azide
Purity
Immunogen affinity purified

Alternate Names for GNL3L Antibody - BSA Free

  • EC 3.6.1
  • FLJ10613
  • guanine nucleotide binding protein-like 3 (nucleolar)-like
  • guanine nucleotide-binding protein-like 3-like protein
  • novel GTPase

Background

GNL3L is required for normal processing of ribosomal pre-rRNA. Required for cell proliferation. Binds GTP

Limitations

This product is for research use only and is not approved for use in humans or in clinical diagnosis. Primary Antibodies are guaranteed for 1 year from date of receipt.

Customers Who Viewed This Item Also Viewed...

AF1638
Species: Hu, Mu, Rt
Applications: ICC, Simple Western, WB
H00003845-M01
Species: Hu, Mu
Applications: ELISA, ICC/IF, IP, WB
H00051062-M03
Species: Hu, Mu, Rt
Applications: ELISA, IHC,  IHC-P, WB
NBP1-89904
Species: Hu
Applications: ICC/IF, IHC,  IHC-P
NB100-317
Species: Hu, Mu, Rt
Applications: ChIP, ChIP, Flow, ICC/IF, IHC,  IHC-P, IP, WB
NBP2-22203
Species: Hu, Pm, Mu, Rt
Applications: ELISA, Flow, ICC/IF, IHC,  IHC-P, WB
NBP2-29463
Species: Pm, Hu, Pm, Mu
Applications: Flow, ICC/IF, IHC,  IHC-P, WB
NB110-68281
Species: Hu, Pm, Mu, Rt
Applications: ELISA, Flow, ICC/IF, Simple Western, WB
NBP1-81649
Species: Hu
Applications: ICC/IF, IHC,  IHC-P, WB
AF5738
Species: Hu
Applications: ICC, KO, WB
NB200-310
Species: Hu, Pm, Mu, Rt
Applications: ChIP, IP, WB
NB100-59787
Species: Hu, Mu
Applications: Flow, IB, ICC/IF, IHC,  IHC-P, IP, KD, PLA, WB
354-BP
Species: Hu
Applications: BA
PP-H6812-00
Species: Hu
Applications: DirELISA, IHC, IP, WB
AF1230
Species: Hu, Mu, Rt
Applications: IHC, KO, WB
AF6897
Species: Hu, Mu
Applications: IHC, Simple Western, WB
NBP1-52158
Species: Bv, Hu, Mu, Rt
Applications: IHC,  IHC-P, PEP-ELISA, WB
NBP2-55709
Species: Hu
Applications: ICC/IF, WB
NB600-302
Species: Bv, Dr, Hu, Mu
Applications: ChIP, ELISA, Flow-IC, Flow, IB, ICC/IF, IHC, IHC-Fr,  IHC-P, IP, PLA, S-ELISA, Simple Western, WB
NBP1-84618
Species: Hu, Mu, Rt
Applications: WB, IHC

Publications for GNL3L Antibody (NBP1-84618)(1)

Reviews for GNL3L Antibody (NBP1-84618) (0)

There are no reviews for GNL3L Antibody (NBP1-84618). By submitting a review you will receive an Amazon e-Gift Card or Novus Product Discount.
  • Review with no image -- $10/€7/£6/$10 CAD/¥70 Yuan/¥1110 Yen
  • Review with an image -- $25/€18/£15/$25 CAD/¥150 Yuan/¥2500 Yen

Product General Protocols

Find general support by application which include: protocols, troubleshooting, illustrated assays, videos and webinars.

Video Protocols

WB Video Protocol

FAQs for GNL3L Antibody (NBP1-84618) (0)

There are no specific FAQs related to this product. Read our general customer & technical service FAQs.

Customers Who Bought This Also Bought

Contact Information

Product PDFs

Calculators

Concentration Calculator

The concentration calculator allows you to quickly calculate the volume, mass or concentration of your vial. Simply enter your mass, volume, or concentration values for your reagent and the calculator will determine the rest.

=
÷

Review this Product

Be the first to review our GNL3L Antibody - BSA Free and receive a gift card or discount.

Bioinformatics

Gene Symbol GNL3L