Glyoxalase I Antibody (CPTC-GLO1-3) - Azide and BSA Free

Images

 
Western Blot: Glyoxalase I Antibody (CPTC-GLO1-3) - Azide and BSA Free [NBP3-08556] - Western Blot Analysis of human HeLa and HePG2 cell lysates using Glyoxalase I Mouse Monoclonal Antibody (CPTC-GLO1-3).
Immunohistochemistry-Paraffin: Glyoxalase I Antibody (CPTC-GLO1-3) - Azide and BSA Free [NBP3-08556] - Formalin-fixed, paraffin-embedded human thyroid carcinoma stained with Glyoxalase I Mouse Monoclonal Antibody ...read more
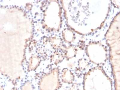
Immunohistochemistry-Paraffin: Glyoxalase I Antibody (CPTC-GLO1-3) - Azide and BSA Free [NBP3-08556] - Formalin-fixed, paraffin-embedded human prostate carcinoma stained with Glyoxalase I Mouse Monoclonal Antibody ...read more

Product Details

Summary
Reactivity HuSpecies Glossary
Applications WB, IHC
Clone
CPTC-GLO1-3
Clonality
Monoclonal
Host
Mouse
Conjugate
Unconjugated
Format
Azide and BSA Free
Concentration
1 mg/ml

Order Details

Glyoxalase I Antibody (CPTC-GLO1-3) - Azide and BSA Free Summary

Description
1.0 mg/ml of antibody purified from Bioreactor Concentrate by Protein A/G. Prepared in 10mM PBS WITHOUT BSA & azide. Also available at 200 ug/ml WITH BSA & azide (NBP3-07312).

Antibody with azide - store at 2 to 8C. Antibody without azide - store at -20 to -80C.
Immunogen
Recombinant full-length human Glyoxalase I protein (Uniprot: Q04760)
Localization
Cytoplasm
Isotype
IgG1
Clonality
Monoclonal
Host
Mouse
Gene
GLO1
Purity
Protein A or G purified
Innovator's Reward
Test in a species/application not listed above to receive a full credit towards a future purchase.

Applications/Dilutions

Dilutions
  • Immunohistochemistry-Paraffin 1-2 ug/ml
  • Western Blot 1-2 ug/ml
Application Notes
Immunohistochemistry Formalin-fixed: 1-2ug/ml for 30 minutes at RT. Staining of formalin-fixed tissues requires heating tissue sections in 10mM Tris with 1mM EDTA, pH 9.0, for 45 min at 95C followed by cooling at RT for 20 minutes.

Packaging, Storage & Formulations

Storage
Store at -20 to -80C. Avoid freeze-thaw cycles.
Buffer
10 mM PBS
Preservative
No Preservative
Concentration
1 mg/ml
Purity
Protein A or G purified

Alternate Names for Glyoxalase I Antibody (CPTC-GLO1-3) - Azide and BSA Free

  • Aldoketomutase
  • EC 4.4.1.5
  • GLO1
  • GLOD1
  • Glx I
  • GLYI
  • glyoxalase domain containing 1
  • Glyoxalase I
  • glyoxalase Ialdoketomutase
  • Ketone-aldehyde mutase
  • lactoyl glutathione lyase
  • lactoylglutathione lyase
  • Methylglyoxalase
  • S-D-lactoylglutathione methylglyoxal lyase

Background

Lactoylglutathione lyase, also known as GLO1, is a member of the glyoxalase I family that is responsible for the catalysis and formation of S-lactoyl-glutathione from methylglyoxal condensation and reduced glutatione. It is believed that inactivation of GLO1 in endothelial cells contributes to vascular complications in diabetes. GLO1 has also been shown to extend lifespan in C. elegans, and has been shown to be upregulated in malignant cells.

Limitations

This product is for research use only and is not approved for use in humans or in clinical diagnosis. Primary Antibodies are guaranteed for 1 year from date of receipt.

Customers Who Viewed This Item Also Viewed...

AF5944
Species: Hu, Mu, Rt
Applications: WB
NBP2-16374
Species: Hu, Mu, Rt, Ze
Applications: ICC/IF, IHC,  IHC-P, WB
NBP1-89985
Species: Hu, Rt
Applications: ICC/IF, IHC, IHC-Fr,  IHC-P, Simple Western, WB
H00005236-M01
Species: Bv, Hu
Applications: ELISA, ICC/IF, IP, KD, S-ELISA, WB
DHAPG0
Species: Hu
Applications: ELISA
NBP2-16684
Species: Hu, Mu, Rt
Applications: EM, IHC,  IHC-P, WB
NBP1-31589
Species: Hu, Mu
Applications: ICC/IF, IHC,  IHC-P, WB
AF3398
Species: Hu, Mu, Rt
Applications: ICC, KO, Simple Western, WB
AF5075
Species: Hu, Mu, Rt
Applications: WB
NB300-917
Species: Hu, Mu
Applications: ICC/IF, IHC,  IHC-P
NBP1-87404
Species: Hu, Mu, Rt
Applications: Flow, ICC/IF, IHC,  IHC-P, KD, WB
NB100-64775
Species: Hu
Applications: CyTOF-ready, ELISA, Flow, Func, IHC, IHC-Fr, IHC-P (-), IP
2914-HT
Species: Hu
Applications: BA
AF1936
Species: Hu
Applications: IP, WB
NBP2-61871
Species: Hu
Applications: ELISA, Flow, ICC/IF, IHC,  IHC-P, WB
NBP2-34234
Species: Hu
Applications: ELISA, ICC/IF, IHC,  IHC-P
NBP1-81838
Species: Hu, Mu
Applications: IHC,  IHC-P, WB
NBP3-08556
Species: Hu
Applications: WB, IHC

Publications for Glyoxalase I Antibody (NBP3-08556) (0)

There are no publications for Glyoxalase I Antibody (NBP3-08556).
By submitting your publication information earn gift cards and discounts for future purchases.

Reviews for Glyoxalase I Antibody (NBP3-08556) (0)

There are no reviews for Glyoxalase I Antibody (NBP3-08556). By submitting a review you will receive an Amazon e-Gift Card or Novus Product Discount.
  • Review with no image -- $10/€7/£6/$10 CAD/¥70 Yuan/¥1110 Yen
  • Review with an image -- $25/€18/£15/$25 CAD/¥150 Yuan/¥2500 Yen

Product General Protocols

Find general support by application which include: protocols, troubleshooting, illustrated assays, videos and webinars.

Video Protocols

WB Video Protocol

FAQs for Glyoxalase I Antibody (NBP3-08556) (0)

There are no specific FAQs related to this product. Read our general customer & technical service FAQs.

Secondary Antibodies

 

Isotype Controls

Additional Glyoxalase I Products

Research Areas for Glyoxalase I Antibody (NBP3-08556)

Find related products by research area.

Blogs on Glyoxalase I

There are no specific blogs for Glyoxalase I, but you can read our latest blog posts.

Customers Who Bought This Also Bought

Contact Information

Product PDFs

Calculators

Concentration Calculator

The concentration calculator allows you to quickly calculate the volume, mass or concentration of your vial. Simply enter your mass, volume, or concentration values for your reagent and the calculator will determine the rest.

=
÷

Review this Product

Be the first to review our Glyoxalase I Antibody (CPTC-GLO1-3) - Azide and BSA Free and receive a gift card or discount.

Bioinformatics

Gene Symbol GLO1