Glucose 6 phosphate isomerase Antibody (GPI/2439) - Azide and BSA Free

Images

 
Western blot analysis of Human kidney tissue lysate using Glucose 6 phosphate isomerase Antibody (GPI/2439) - Azide and BSA Free.
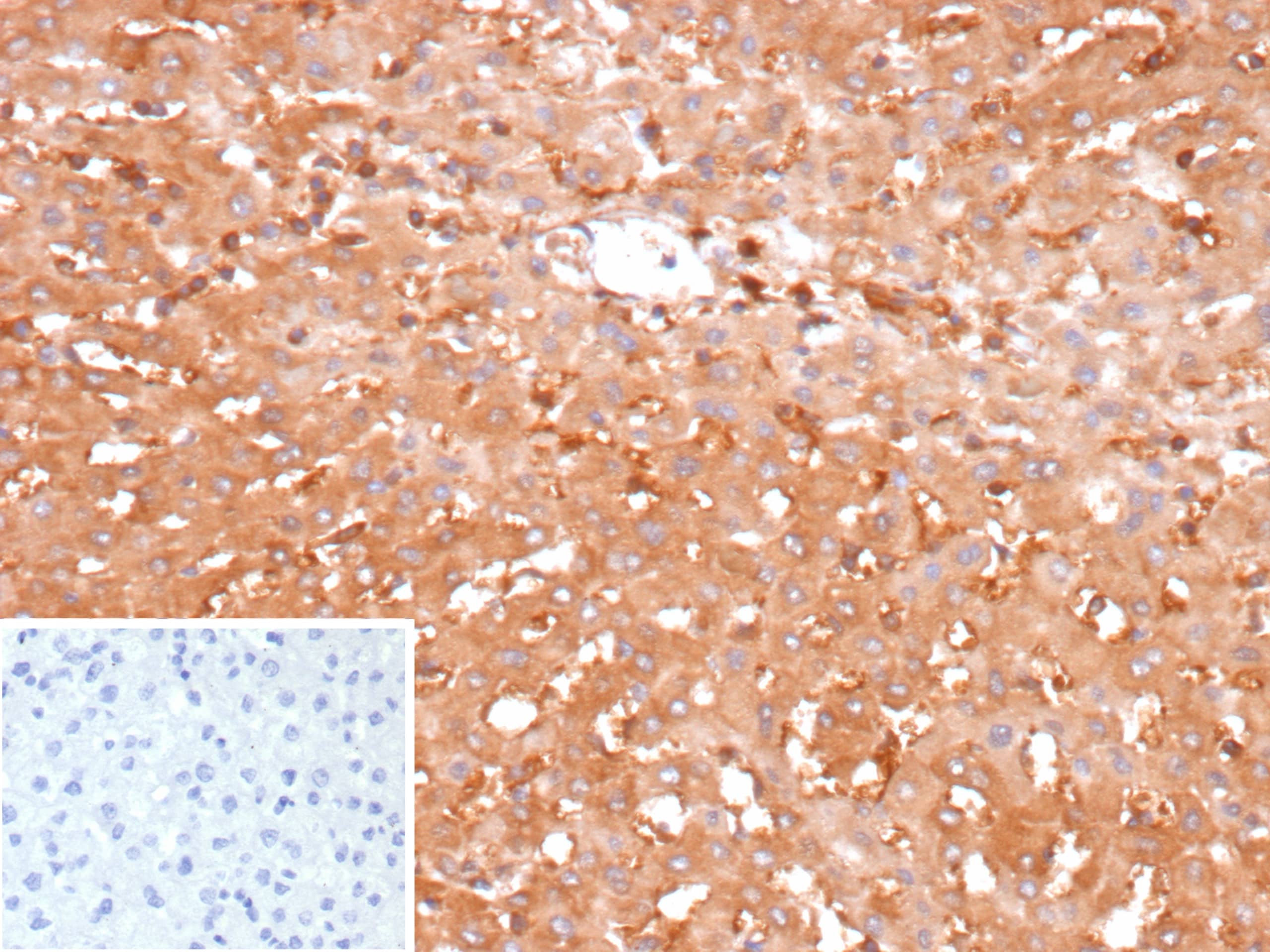
Formalin-fixed, paraffin-embedded human hepatocellular carcinoma stained with Glucose 6 phosphate isomerase Antibody (GPI/2439) - Azide and BSA Free.Inset: PBS instead of primary antibody; secondary only negative ...read more

Product Details

Summary
Reactivity HuSpecies Glossary
Applications WB, IHC
Clone
GPI/2439
Clonality
Monoclonal
Host
Mouse
Conjugate
Unconjugated
Format
Azide and BSA Free
Concentration
1 mg/ml

Order Details

View Available Formulations
Catalog# & Formulation Size Price

Glucose 6 phosphate isomerase Antibody (GPI/2439) - Azide and BSA Free Summary

Description
1.0 mg/ml of antibody purified from Bioreactor Concentrate by Protein A/G. Prepared in 10mM PBS WITHOUT BSA & azide. Also available at 200 ug/ml WITH BSA & azide (NBP3-44601).

Antibody with azide - store at 2 to 8C. Antibody without azide - store at -20 to -80C. Non-hazardous. No MSDS required.
Immunogen
Recombinant human full-length Glucose 6 phosphate isomerase protein (Uniprot: P06744).
Localization
Cytoplasm, Secreted
Isotype
IgG2b Kappa
Clonality
Monoclonal
Host
Mouse
Gene
GPI
Purity
Protein A purified
Innovator's Reward
Test in a species/application not listed above to receive a full credit towards a future purchase.

Applications/Dilutions

Dilutions
  • Immunohistochemistry : 1-2ug/ml
  • Western Blot : 2-4ug/ml
Application Notes
Immunohistochemistry: 30 min at RT. Staining of formalin-fixed tissues requires heating tissue sections in 10mM Tris with 1mM EDTA, pH 9.0, for 45 min at 95C followed by cooling at RT for 20 minutes.
Theoretical MW
55 kDa.
Disclaimer note: The observed molecular weight of the protein may vary from the listed predicted molecular weight due to post translational modifications, post translation cleavages, relative charges, and other experimental factors.

Packaging, Storage & Formulations

Storage
Store at -20 to -80C. Avoid freeze-thaw cycles.
Buffer
10 mM PBS
Preservative
No Preservative
Concentration
1 mg/ml
Purity
Protein A purified

Alternate Names for Glucose 6 phosphate isomerase Antibody (GPI/2439) - Azide and BSA Free

  • AMFGNPI
  • Autocrine motility factor
  • DKFZp686C13233
  • EC 5.3.1.9
  • glucose phosphate isomerase
  • glucose-6-phosphate isomerase
  • hexose monophosphate isomerase
  • hexosephosphate isomerase
  • neuroleukin
  • NLKSA36
  • oxoisomerase
  • PGI
  • PHI
  • Phosphoglucose isomerase
  • phosphohexomutase
  • Phosphohexose isomerase
  • phosphosaccharomutase
  • SA-36
  • Sperm antigen 36
  • sperm antigen-36

Background

Glucose 6 phosphate isomerase belongs to the GPI family whose members encode multifunctional phosphoglucose isomerase proteins involved in energy pathways. The protein encoded by this gene is a dimeric enzyme that catalyzes the reversible isomerization of glucose-6-phosphate and fructose-6-phosphate. The protein functions in different capacities inside and outside the cell. In the cytoplasm, the gene product is involved in glycolysis and gluconeogenesis, while outside the cell it functions as a neurotrophic factor for spinal and sensory neurons. Defects in this gene are the cause of nonspherocytic hemolytic anemia and a severe enzyme deficiency can be associated with hydrops fetalis, immediate neonatal death and neurological impairment.

Limitations

This product is for research use only and is not approved for use in humans or in clinical diagnosis. Primary Antibodies are guaranteed for 1 year from date of receipt.

Customers Who Viewed This Item Also Viewed...

NBP2-46349
Species: Hu
Applications: IHC,  IHC-P, WB
NBP1-31589
Species: Hu, Mu
Applications: ICC/IF, IHC,  IHC-P, WB
NBP1-32398
Species: Hu, Mu, Rt
Applications: ICC/IF, IHC,  IHC-P, IP, KD, WB
NBP1-89559
Species: Hu
Applications: IHC,  IHC-P, WB
NBP3-05078
Species: Hu, Mu, Rt
Applications: ICC/IF, IHC,  IHC-P, WB
AF2009
Species: Hu
Applications: ICC, IHC
NB500-330
Species: Hu
Applications: B/N, CyTOF-ready, Flow, IHC, IHC-Fr,  IHC-P, IP
NB100-236
Species: Hu, Mu
Applications: IB, IHC, IHC-Fr, WB
NB100-56605
Species: Av, Bv, Sh
Applications: WB
7268-CT
Species: Hu
Applications: BA
NB100-689
Species: Hu, Rt
Applications: IHC, IHC-Fr,  IHC-P, Simple Western, WB
NBP2-79843
Species: Hu
Applications: CyTOF-ready, ELISA, Flow, ICC/IF, IHC,  IHC-P, PA, WB
NB100-524
Species: Hu, Mu
Applications: Flow-IC, Flow, ICC/IF, IHC, IHC-Fr,  IHC-P, IP, WB
NBP3-48740
Species: Hu, Mu, Rt
Applications: IHC,  IHC-P, WB
NBP2-67503
Species: Hu, Mu, Rt
Applications: Flow, ICC/IF, IHC,  IHC-P, IP, WB
NBP1-32259
Species: Hu, Mu, Rt
Applications: ICC/IF, IHC,  IHC-P, KO, WB
NBP2-02043
Species: Hu, Rt
Applications: Flow, ICC/IF, IHC,  IHC-P, WB
NBP2-13760
Species: Hu
Applications: IHC,  IHC-P
NBP3-45057
Species: Hu
Applications: WB, IHC

Publications for Glucose 6 phosphate isomerase Antibody (NBP3-45057) (0)

There are no publications for Glucose 6 phosphate isomerase Antibody (NBP3-45057).
By submitting your publication information earn gift cards and discounts for future purchases.

Reviews for Glucose 6 phosphate isomerase Antibody (NBP3-45057) (0)

There are no reviews for Glucose 6 phosphate isomerase Antibody (NBP3-45057). By submitting a review you will receive an Amazon e-Gift Card or Novus Product Discount.
  • Review with no image -- $10/€7/£6/$10 CAD/¥70 Yuan/¥1110 Yen
  • Review with an image -- $25/€18/£15/$25 CAD/¥150 Yuan/¥2500 Yen

Product General Protocols

Find general support by application which include: protocols, troubleshooting, illustrated assays, videos and webinars.

Video Protocols

WB Video Protocol

FAQs for Glucose 6 phosphate isomerase Antibody (NBP3-45057) (0)

There are no specific FAQs related to this product. Read our general customer & technical service FAQs.

Secondary Antibodies

 

Isotype Controls

Additional Glucose 6 phosphate isomerase Products

Research Areas for Glucose 6 phosphate isomerase Antibody (NBP3-45057)

Find related products by research area.

Blogs on Glucose 6 phosphate isomerase

There are no specific blogs for Glucose 6 phosphate isomerase, but you can read our latest blog posts.

Customers Who Bought This Also Bought

Contact Information

Product PDFs

Calculators

Concentration Calculator

The concentration calculator allows you to quickly calculate the volume, mass or concentration of your vial. Simply enter your mass, volume, or concentration values for your reagent and the calculator will determine the rest.

=
÷

Review this Product

Be the first to review our Glucose 6 phosphate isomerase Antibody (GPI/2439) - Azide and BSA Free and receive a gift card or discount.

Bioinformatics

Gene Symbol GPI