AMFR/gp78 Antibody (HL2865)

Images

 
Orthogonal Strategies: Boiled and unboiled HepG2 whole cell and membrane extracts (30 ug) were separated by 7.5% SDS-PAGE, and the membrane was blotted with AMFR/gp78 antibody [HL2865] (NBP3-48740) diluted at ...read more
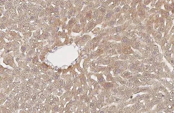
AMFR/gp78 antibody [HL2865] detects AMFR/gp78 protein by immunohistochemical analysis.Sample: Paraffin-embedded mouse liver.AMFR/gp78 stained by AMFR/gp78 antibody [HL2865] (NBP3-48740) diluted at 1:100.Antigen ...read more
Orthogonal Strategies: Boiled and unboiled mouse tissue extract (50 ug) were separated by 7.5% SDS-PAGE, and the membrane was blotted with AMFR/gp78 antibody [HL2865] (NBP3-48740) diluted at 1:1000. The ...read more
Orthogonal Strategies: Boiled and unboiled rat tissue extract (50 ug) were separated by 7.5% SDS-PAGE, and the membrane was blotted with AMFR/gp78 antibody [HL2865] (NBP3-48740) diluted at 1:1000. The ...read more

Product Details

Summary
Reactivity Hu, Mu, RtSpecies Glossary
Applications WB, IHC
Clone
HL2865
Clonality
Monoclonal
Host
Rabbit
Conjugate
Unconjugated
Validated by:
       

Orthogonal Strategies

 

Order Details

AMFR/gp78 Antibody (HL2865) Summary

Description
Novus Biologicals Rabbit AMFR/gp78 Antibody (HL2865) (NBP3-48740) is a recombinant monoclonal antibody validated for use in IHC and WB. All Novus Biologicals antibodies are covered by our 100% guarantee.
Additional Information
Recombinant Monoclonal Antibody
Immunogen
Recombinant fragment of Human AMFR/gp78.
Isotype
IgG
Clonality
Monoclonal
Host
Rabbit
Gene
AMFR
Purity
Protein A purified
Innovator's Reward
Test in a species/application not listed above to receive a full credit towards a future purchase.

Applications/Dilutions

Dilutions
  • Immunohistochemistry
  • Immunohistochemistry-Paraffin
  • Western Blot 1:500-1:3000

Packaging, Storage & Formulations

Storage
Store at 4C short term. Aliquot and store at -20C long term. Avoid freeze-thaw cycles.
Buffer
PBS
Preservative
No Preservative
Purity
Protein A purified

Alternate Names for AMFR/gp78 Antibody (HL2865)

  • AMF receptor
  • AMF receptor, isoform 1
  • AMF receptor, isoform 2
  • AMFR
  • autocrine motility factor receptor
  • Autocrine motility factor receptor, isoform 2
  • gp78
  • RING finger protein 45
  • RNF45
  • RNF45EC 6.3.2.-

Background

AMFR (Autocrine motility factor receptor, isoform 2) is specific receptor for the autocrine motility factor. AMFR possesses ubiquitin ligase activity and can target both itself and other proteins including CD3D and APOB for proteasomal degradation. AMFR mediates tumor invasion and metastasis. The protein interacts with UBE2G2/UBC7 through a region distinct from the RING finger.

Limitations

This product is for research use only and is not approved for use in humans or in clinical diagnosis. Primary Antibodies are guaranteed for 1 year from date of receipt.

Customers Who Viewed This Item Also Viewed...

NBP2-02541
Species: Hu, Pm, Mu, Pm, Rt
Applications: ICC/IF, IHC,  IHC-P, WB
NB100-1558
Species: Hu, Mu, Rt, Ze
Applications: ICC/IF, IHC, IHC-Fr, IP, WB
NBP1-89150
Species: Hu
Applications: IHC,  IHC-P, WB
H00011026-M01
Species: Hu
Applications: ELISA, WB
NBP1-31302
Species: Hu, Mu, Rt
Applications: ICC/IF, IHC,  IHC-P, KO, WB
NB100-2526
Species: Ha, Hu, Mu
Applications: ICC/IF, IHC,  IHC-P, IP, KO, WB
NBP2-46278
Species: Ca, Hu, Pm, Mu, Rt
Applications: ICC/IF, IHC,  IHC-P, WB
NB110-40591
Species: Hu
Applications: ICC/IF, IHC,  IHC-P, IP, WB
NBP2-43772
Species: Hu
Applications: ICC/IF, IHC,  IHC-P, WB
NB100-1483
Species: Hu, Mu, Rt
Applications: Flow, ICC/IF, PEP-ELISA, PLA, WB
NBP1-85311
Species: Hu, Mu, Rt
Applications: ICC/IF, IHC,  IHC-P, KD, WB
NBP2-21037
Species: Hu
Applications: IHC,  IHC-P, WB
NBP2-31361
Species: Hu
Applications: IHC,  IHC-P, WB
NBP1-81988
Species: Hu
Applications: IHC,  IHC-P
NBP2-75440
Species: Hu, Mu, Rt
Applications: Flow, ICC/IF, IHC,  IHC-P, IP, WB
NBP2-66888
Species: Hu, Mu, Rt
Applications:  IHC-P, IP, Simple Western, WB
NB100-1558
Species: Hu, Mu, Rt, Ze
Applications: ICC/IF, IHC, IHC-Fr, IP, WB
NBP3-48740
Species: Hu, Mu, Rt
Applications: WB, IHC

Publications for AMFR/gp78 Antibody (NBP3-48740) (0)

There are no publications for AMFR/gp78 Antibody (NBP3-48740).
By submitting your publication information earn gift cards and discounts for future purchases.

Reviews for AMFR/gp78 Antibody (NBP3-48740) (0)

There are no reviews for AMFR/gp78 Antibody (NBP3-48740). By submitting a review you will receive an Amazon e-Gift Card or Novus Product Discount.
  • Review with no image -- $10/€7/£6/$10 CAD/¥70 Yuan/¥1110 Yen
  • Review with an image -- $25/€18/£15/$25 CAD/¥150 Yuan/¥2500 Yen

Product General Protocols

Find general support by application which include: protocols, troubleshooting, illustrated assays, videos and webinars.

Video Protocols

WB Video Protocol

FAQs for AMFR/gp78 Antibody (NBP3-48740) (0)

There are no specific FAQs related to this product. Read our general customer & technical service FAQs.

Secondary Antibodies

 

Isotype Controls

Additional AMFR/gp78 Products

Research Areas for AMFR/gp78 Antibody (NBP3-48740)

Find related products by research area.

Blogs on AMFR/gp78

There are no specific blogs for AMFR/gp78, but you can read our latest blog posts.

Customers Who Bought This Also Bought

Contact Information

Product PDFs

Calculators

Concentration Calculator

The concentration calculator allows you to quickly calculate the volume, mass or concentration of your vial. Simply enter your mass, volume, or concentration values for your reagent and the calculator will determine the rest.

=
÷

Review this Product

Be the first to review our AMFR/gp78 Antibody (HL2865) and receive a gift card or discount.

Bioinformatics

Gene Symbol AMFR