Glucocorticoid Receptor alpha Antibody (3F1)

Images

 
Western Blot: Glucocorticoid Receptor alpha Antibody (3F1) [NBP2-75508] - Analysis of Glucocorticoid Receptor alpha on SiHa (1) and A549 (2) cell lysates using anti-Glucocorticoid Receptor alpha antibody at 1/5,000 ...read more
Immunocytochemistry/ Immunofluorescence: Glucocorticoid Receptor alpha Antibody (3F1) [NBP2-75508] - Staining Glucocorticoid Receptor alpha (green) in SiHa cells. The nuclear counter stain is DAPI (blue). Cells were ...read more
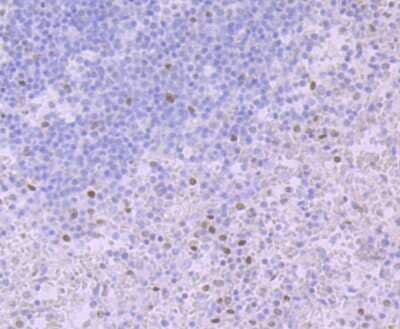
Immunohistochemistry-Paraffin: Glucocorticoid Receptor alpha Antibody (3F1) [NBP2-75508] - Analysis of paraffin-embedded human spleen tissue using anti-Glucocorticoid Receptor alpha antibody. Counter stained with ...read more
Flow Cytometry: Glucocorticoid Receptor alpha Antibody (3F1) [NBP2-75508] - Analysis of A549 cells with Glucocorticoid Receptor alpha antibody at 1/100 dilution (red) compared with an unlabelled control (cells without ...read more
Immunohistochemistry-Paraffin: Glucocorticoid Receptor alpha Antibody (3F1) [NBP2-75508] - Analysis of paraffin-embedded human breast cancer tissue using anti-Glucocorticoid Receptor alpha antibody. Counter stained with ...read more

Order Details


    • Catalog Number
      NBP2-75508
    • Availability
      Product Discontinued

    Can't find what you are looking for? Use our Antibody Concierge Service & we will help you locate your antibody!

    Or feel free to contact us for alternative products.

Glucocorticoid Receptor alpha Antibody (3F1) Summary

Immunogen
Recombinant full length protein corresponding to Human Glucocorticoid Receptor alpha. (SwissProt: P04150 Human)
Localization
Nucleus. Cytoskeleton. Mitochondrion.
Isotype
IgG2a
Clonality
Monoclonal
Host
Mouse
Gene
NR3C1
Purity
Protein G purified
Innovator's Reward
Test in a species/application not listed above to receive a full credit towards a future purchase.

Applications/Dilutions

Dilutions
  • Flow Cytometry 1:50-1:100
  • Immunocytochemistry/ Immunofluorescence 1:50-1:200
  • Immunohistochemistry
  • Immunohistochemistry-Paraffin 1:50-1:200
  • Western Blot 1:1000-1:5000
Theoretical MW
86 kDa.
Disclaimer note: The observed molecular weight of the protein may vary from the listed predicted molecular weight due to post translational modifications, post translation cleavages, relative charges, and other experimental factors.

Packaging, Storage & Formulations

Storage
Store at 4C short term. Aliquot and store at -20C long term. Avoid freeze-thaw cycles.
Buffer
PBS (pH7.4), 0.2% BSA, 50% Glycerol
Preservative
0.05% Sodium Azide
Concentration
2 mg/ml
Purity
Protein G purified

Alternate Names for Glucocorticoid Receptor alpha Antibody (3F1)

  • GCR
  • glucocorticoid receptor
  • GRGCCR
  • GRLNuclear receptor subfamily 3 group C member 1
  • nuclear receptor subfamily 3, group C, member 1 (glucocorticoid receptor)
  • nuclear receptor subfamily 3, group C, member 1

Background

Glucocorticoids are a family of steroids necessary for the regulation of energy metabolism and the immune and inflammatory responses. These compounds exert their effect through their interaction with the Glucocorticoid Receptor (GR) and that complex's subsequent association with DNA. All normal mammalian tissues examined to date have been shown to contain GR. The human GR exists in two forms, alpha and beta, which are thought to be the result of alternative splicing of a single gene. Sequence analysis indicates that alpha and beta forms of human GR are 777 and 742 amino acids long, respectively. They are identical up to residue 727, after which they diverge. After ligand binding, the 94 kDa GR alpha isoform translocates from the cytoplasm to the nucleus where it regulates gene expression. In contrast, the 90 kDa GR beta isoform does not appear to bind either glucocorticoid agonists or antagonists, and has been localized predominantly in the nucleus independent of hormone treatment in some human cell lines. Studies suggest that human GR alpha has a greater affinity for GR response elements (GREs) than GR beta only when in the ligand bound state.

Limitations

This product is for research use only and is not approved for use in humans or in clinical diagnosis. Primary Antibodies are guaranteed for 1 year from date of receipt.

Customers Who Viewed This Item Also Viewed...

AF3398
Species: Hu, Mu, Rt
Applications: ICC, KO, Simple Western, WB
NBP2-16684
Species: Hu, Mu, Rt
Applications: EM, IHC,  IHC-P, WB
NB100-1533
Species: Hu, Mu, Po, Rt, Sh
Applications: Flow, ICC/IF, IHC,  IHC-P, PEP-ELISA, WB
NB300-562
Species: Ch, Hu, Mu, Rb, Rt, Sh
Applications: B/N, Flow, ICC/IF, IHC,  IHC-P, WB
NBP2-24915
Species: Bv, Hu, Mu, Rt
Applications: IHC,  IHC-P, WB
NBP1-86616
Species: Hu
Applications: IHC,  IHC-P, WB
NBP2-58917
Species: Hu
Applications: IHC,  IHC-P, WB
7570-GH
Species: Hu
Applications: EnzAct
NBP2-67471
Species: Hu, Mu, Rt
Applications: ICC/IF, IHC,  IHC-P, WB
AF5415
Species: Hu
Applications: ICC, IHC, Simple Western, WB
NB100-56603
Species: Ca, Hu, Mu, Pm, Rt
Applications: IHC,  IHC-P, WB
NBP2-16686
Species: Hu
Applications: ICC/IF, IHC,  IHC-P, KO, WB
NBP2-49118
Species: Hu
Applications: IHC,  IHC-P
NBP2-50037
Species: Hu, Mu, Rt
Applications: ICC/IF, IHC, KO, WB
H00001392-M02
Species: Hu
Applications: ELISA, IHC,  IHC-P, S-ELISA, WB
M6000B
Species: Mu
Applications: ELISA
MAB1417
Species: Bv, Hu, Mu
Applications: ICC, IHC

Publications for Glucocorticoid Receptor alpha Antibody (NBP2-75508) (0)

There are no publications for Glucocorticoid Receptor alpha Antibody (NBP2-75508).
By submitting your publication information earn gift cards and discounts for future purchases.

Reviews for Glucocorticoid Receptor alpha Antibody (NBP2-75508) (0)

There are no reviews for Glucocorticoid Receptor alpha Antibody (NBP2-75508). By submitting a review you will receive an Amazon e-Gift Card or Novus Product Discount.
  • Review with no image -- $10/€7/£6/$10 CAD/¥70 Yuan/¥1110 Yen
  • Review with an image -- $25/€18/£15/$25 CAD/¥150 Yuan/¥2500 Yen

Product General Protocols

Find general support by application which include: protocols, troubleshooting, illustrated assays, videos and webinars.

Video Protocols

WB Video Protocol
ICC/IF Video Protocol

FAQs for Glucocorticoid Receptor alpha Antibody (NBP2-75508) (0)

There are no specific FAQs related to this product. Read our general customer & technical service FAQs.

Secondary Antibodies

 

Isotype Controls

Additional Glucocorticoid Receptor alpha Products

Research Areas for Glucocorticoid Receptor alpha Antibody (NBP2-75508)

Find related products by research area.

Blogs on Glucocorticoid Receptor alpha

There are no specific blogs for Glucocorticoid Receptor alpha, but you can read our latest blog posts.

Contact Information

Product PDFs

Calculators

Concentration Calculator

The concentration calculator allows you to quickly calculate the volume, mass or concentration of your vial. Simply enter your mass, volume, or concentration values for your reagent and the calculator will determine the rest.

=
÷

Review this Product

Be the first to review our Glucocorticoid Receptor alpha Antibody (3F1) and receive a gift card or discount.

Bioinformatics

Gene Symbol NR3C1