GLI-1 Antibody (CL12193) - Azide and BSA Free

Images

 
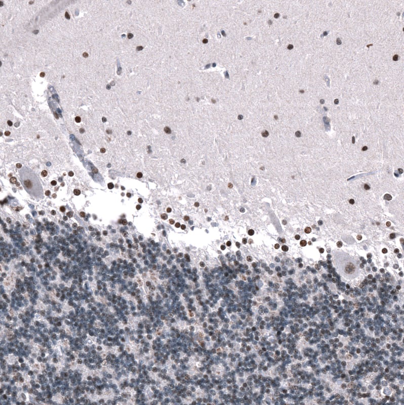
Staining of human cerebellum shows moderate nuclear positivity in Purkinje cells, as well as in neurons in molecular layer.
Staining of human liver shows no positivity in hepatocytes as expected.
Staining of human oligodendroglioma shows moderate nuclear positivity in a subset of tumor cells.
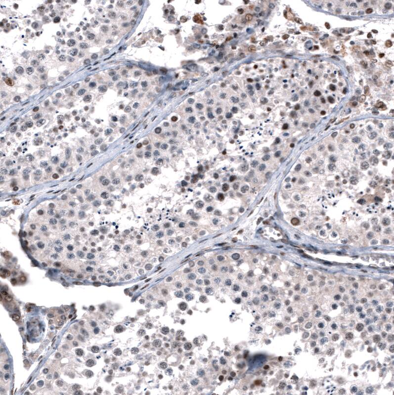
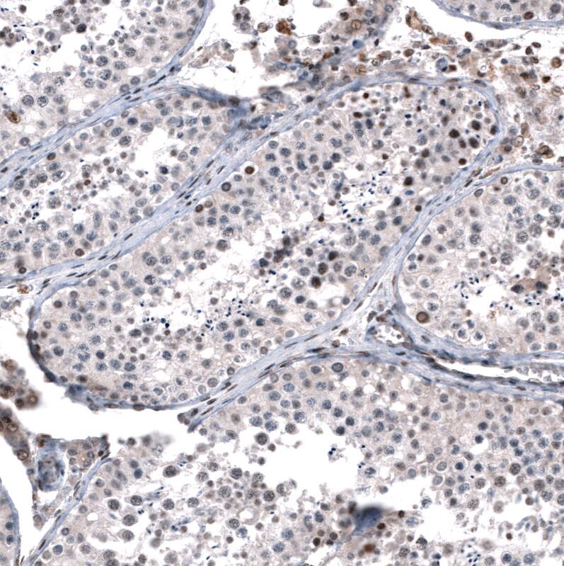
Staining of human testis shows moderate to strong nuclear positivity in a subset of cells in seminiferous ducts.
Staining of mouse cerebellum shows strong nuclear positivity in Purkinje cells.
Staining of RH-30 cells using the Anti-GLI-1 monoclonal antibody) .

Product Details

Summary
Reactivity Hu, MuSpecies Glossary
Applications ICC/IF, IHC
Clone
CL12193
Clonality
Monoclonal
Host
Mouse
Conjugate
Unconjugated
Format
Azide and BSA Free
Concentration
LYOPH

Order Details

GLI-1 Antibody (CL12193) - Azide and BSA Free Summary

Description
Novus Biologicals Mouse GLI-1 Antibody (CL12193) - Azide and BSA Free (NBP3-15131) is a monoclonal antibody validated for use in IHC and ICC/IF. All Novus Biologicals antibodies are covered by our 100% guarantee.
Immunogen
This antibody was generated using a synthetic peptide of P08151, with the exact immunogen sequence remaining proprietary.
Isotype
IgG2b
Clonality
Monoclonal
Host
Mouse
Gene
GLI1
Purity
Protein A purified
Innovator's Reward
Test in a species/application not listed above to receive a full credit towards a future purchase.

Applications/Dilutions

Dilutions
  • Immunocytochemistry/ Immunofluorescence 2-10 ug/ml
  • Immunohistochemistry-Paraffin 1:500 - 1:1000
Application Notes
For IHC-Paraffin, HIER pH 6 retrieval is recommended. Immunocytochemistry/ Immunofluorescence/IF Fixation Permeabilization: Use PFA/Triton X-100.

Packaging, Storage & Formulations

Storage
Store at 4C short term. Aliquot and store at -20C long term. Avoid freeze-thaw cycles.
Buffer
Lyophilized from a 0.2 um filtered solution in PBS with Trehalose
Preservative
No Preservative
Concentration
LYOPH
Purity
Protein A purified
Reconstitution Instructions
Centrifuge the vial of lyophilized antibody at 12,000 x g for 20 seconds. Reconstitute by adding sterile, distilled water to achieve a final antibody concentration of 1mg/ml.

Alternate Names for GLI-1 Antibody (CL12193) - Azide and BSA Free

  • GLI family zinc finger 1
  • GLI1
  • GLI-1
  • glioma-associated oncogene family zinc finger 1
  • glioma-associated oncogene homolog 1 (zinc finger protein)
  • Glioma-associated oncogene
  • GLIzinc finger protein GLI1
  • Oncogene GLI

Background

Gli1 was produced against a peptide corresponding to the carboxy-terminal region of the mouse Gli-1 protein. This region is not conserved among other gli family members, namely Gli-2 and Gli-3. Gli was termed by Kinzler et al. (1987) as 'glioma-associated oncogene' amplified in malignant gliomas. Analysis of the cloned gene demonstrates that the gene contains 5 repeats of zinc-finger sequences, which places gli in the family of Kruppel (Kr) zinc finger proteins. Northern analysis reveals that GLI is expressed in embryonal carcinoma cells but not in most adult tissue. GLI has been localized to 12q13-q14.3 by Southern blot analysis. On mouse the gene is located on chromosome 10. In mice, 3 zinc finger transcription factors, Gli-1, Gl-i2 and Gli-3, have been implicated in the transduction of Sonic hedgehog (Shh) signal. In papillary epithelium, shh, gli1 and ptc all follow similar expression patterns. Gli1 expression is central and probably sufficient for tumor development in humans.

Limitations

This product is for research use only and is not approved for use in humans or in clinical diagnosis. Primary Antibodies are guaranteed for 1 year from date of receipt.

Customers Who Viewed This Item Also Viewed...

H00002523-P01
Species: Hu
Applications: ELISA, AP, PA, WB
H00003077-M01
Species: Hu
Applications: ELISA, ICC/IF, WB
MAB41051
Species: Hu, Mu
Applications: WB
AF3635
Species: Mu
Applications: IHC, WB
NLS2666
Species: Bt, Bv, Ca, Eq, Ha, Hu, Pm, Mu, Po, Rb, Rt
Applications: ICC/IF, IHC,  IHC-P
NBP3-04509
Species: Hu, Mu, Rt
Applications: ELISA, IHC,  IHC-P, WB
AF3690
Species: Hu, Mu
Applications: ChIP, ICC, WB
AF1705
Species: Mu
Applications: IHC, WB
MAB1249
Species: Hu, Mu
Applications: CyTOF-ready, ICC, ICFlow
NBP1-87384
Species: Hu
Applications: ICC/IF, IHC,  IHC-P, WB
MAB1417
Species: Bv, Hu, Mu
Applications: ICC, IHC
NBP1-92172
Species: Hu
Applications: ICC/IF, IHC,  IHC-P, WB
NBP1-33581
Species: Hu, Mu, Rt
Applications: ELISA, ICC/IF, IHC,  IHC-P, WB
AF482
Species: Mu
Applications: IHC, WB
NBP2-33711
Species: Hu
Applications: IHC,  IHC-P
NBP1-85351
Species: Hu, Mu, Rt
Applications: ICC/IF, IHC,  IHC-P, WB
AF231
Species: Hu
Applications: CyTOF-ready, Dual ISH-IHC, ELISA(Cap), ELISA(Det), ELISA(Sta), Flow, ICC, IHC, IP, Simple Western, WB

Publications for GLI-1 Antibody (NBP3-44013) (0)

There are no publications for GLI-1 Antibody (NBP3-44013).
By submitting your publication information earn gift cards and discounts for future purchases.

Reviews for GLI-1 Antibody (NBP3-44013) (0)

There are no reviews for GLI-1 Antibody (NBP3-44013). By submitting a review you will receive an Amazon e-Gift Card or Novus Product Discount.
  • Review with no image -- $10/€7/£6/$10 CAD/¥70 Yuan/¥1110 Yen
  • Review with an image -- $25/€18/£15/$25 CAD/¥150 Yuan/¥2500 Yen

Product General Protocols

Find general support by application which include: protocols, troubleshooting, illustrated assays, videos and webinars.

Video Protocols

ICC/IF Video Protocol

FAQs for GLI-1 Antibody (NBP3-44013) (0)

There are no specific FAQs related to this product. Read our general customer & technical service FAQs.

Customers Who Bought This Also Bought

Contact Information

Product PDFs

Calculators

Concentration Calculator

The concentration calculator allows you to quickly calculate the volume, mass or concentration of your vial. Simply enter your mass, volume, or concentration values for your reagent and the calculator will determine the rest.

=
÷

Review this Product

Be the first to review our GLI-1 Antibody (CL12193) - Azide and BSA Free and receive a gift card or discount.

Bioinformatics

Gene Symbol GLI1