Frizzled-8 Antibody (JB40-16)

Images

 
Western Blot: Frizzled-8 Antibody (JB40-16) [NBP2-75493] - Analysis of Frizzled 8 on mouse lung tissue lysates using anti-Frizzled 8 antibody at 1/500 dilution.
Immunohistochemistry-Paraffin: Frizzled-8 Antibody (JB40-16) [NBP2-75493] - Analysis of paraffin-embedded human kidney tissue using anti-Frizzled 8 antibody. Counter stained with hematoxylin.
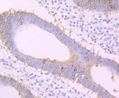
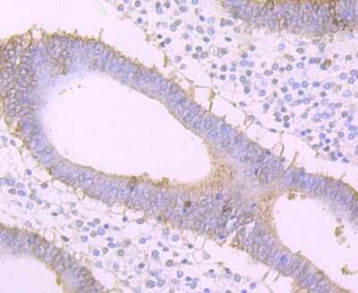
Immunohistochemistry-Paraffin: Frizzled-8 Antibody (JB40-16) [NBP2-75493] - Analysis of paraffin-embedded human uterus tissue using anti-Frizzled 8 antibody. Counter stained with hematoxylin.

Product Details

Summary
Product Discontinued
View other related Frizzled-8 Primary Antibodies

Order Details


    • Catalog Number
      NBP2-75493
    • Availability
      Product Discontinued

    Can't find what you are looking for? Use our Antibody Concierge Service & we will help you locate your antibody!

    Or feel free to contact us for alternative products.

Frizzled-8 Antibody (JB40-16) Summary

Additional Information
Recombinant Monoclonal Antibody.
Immunogen
Recombinant protein within Human Frizzled-8 aa 561-694 / 694. (SwissProt: Q9H461 Human; SwissProt: Q61091 Mouse)
Localization
Golgi apparatus. Membrane.
Isotype
IgG
Clonality
Monoclonal
Host
Rabbit
Gene
FZD8
Purity
Protein A purified
Innovator's Reward
Test in a species/application not listed above to receive a full credit towards a future purchase.

Applications/Dilutions

Dilutions
  • Immunohistochemistry
  • Immunohistochemistry-Paraffin 1:50-1:100
  • Western Blot 1:500-1:1000
Theoretical MW
73 kDa.
Disclaimer note: The observed molecular weight of the protein may vary from the listed predicted molecular weight due to post translational modifications, post translation cleavages, relative charges, and other experimental factors.

Packaging, Storage & Formulations

Storage
Store at 4C short term. Aliquot and store at -20C long term. Avoid freeze-thaw cycles.
Buffer
TBS (pH7.4), 0.05% BSA, 40% Glycerol
Preservative
0.05% Sodium Azide
Concentration
1 mg/ml
Purity
Protein A purified

Alternate Names for Frizzled-8 Antibody (JB40-16)

  • frizzled (Drosophila) homolog 8
  • frizzled 8
  • frizzled family receptor 8
  • frizzled homolog 8 (Drosophila)
  • Frizzled8
  • Frizzled-8
  • FZ-8
  • FZD8
  • hFZ8

Background

"Frizzled-8 is a receptor for Wnt proteins. Most of frizzled receptors are coupled to the beta-catenin canonical signaling pathway, which leads to the activation of disheveled proteins, inhibition of GSK-3 kinase, nuclear accumulation of beta-catenin and activation of Wnt target genes. A second signaling pathway involving PKC and calcium fluxes has been seen for some family members, but it is not yet clear if it represents a distinct pathway or if it can be integrated in the canonical pathway, as PKC seems to be required for Wnt-mediated inactivation of GSK-3 kinase. Both pathways seem to involve interactions with G-proteins. May be involved in transduction and intercellular transmission of polarity information during tissue morphogenesis and/or in differentiated tissues.

Limitations

This product is for research use only and is not approved for use in humans or in clinical diagnosis. Primary Antibodies are guaranteed for 1 year from date of receipt.

Customers Who Viewed This Item Also Viewed...

AF1120
Species: Mu
Applications: IHC, WB
AF2440
Species: Mu
Applications: IHC, WB
AF1617
Species: Hu
Applications: WB
AF198
Species: Mu
Applications: IHC, WB
NBP1-20920
Species: Hu, Mu
Applications: ICC/IF, IHC,  IHC-P, PEP-ELISA, WB
AF1526
Species: Mu
Applications: CyTOF-ready, Flow, IHC, WB
MAB194
Species: Hu, Mu
Applications: CyTOF-ready, Flow, ICC, WB
AF1001
Species: Mu
Applications: IHC
AF1329
Species: Hu, Mu, Rt
Applications: ChIP, CyTOF-ready, ICC, IHC, ICFlow, Simple Western, WB
NBP2-23659
Species: Hu, Mu, Pm
Applications: WB
NBP1-52813
Species: Hu, Rt
Applications: ICC/IF,  IHC-P, WB
AF2248
Species: Mu
Applications: IHC, WB
5439-DK
Species: Hu
Applications: BA
645-WN
Species: Hu, Mu
Applications: BA
MAB1505
Species: Hu
Applications: CyTOF-ready, Flow, ICC
AF2064
Species: Hu
Applications: Simple Western, WB
NBP2-46367
Species: Hu, Mu, Rt
Applications: IHC,  IHC-P, WB
5036-WN
Species: Hu
Applications: BA, BA
NBP1-89679
Species: Hu, Mu, Rt
Applications: ChIP-EXO-SEQ, ICC/IF, IHC, IHC-Fr,  IHC-P, WB
NBP2-75493
Species: Hu, Mu
Applications: WB, IHC

Publications for Frizzled-8 Antibody (NBP2-75493) (0)

There are no publications for Frizzled-8 Antibody (NBP2-75493).
By submitting your publication information earn gift cards and discounts for future purchases.

Reviews for Frizzled-8 Antibody (NBP2-75493) (0)

There are no reviews for Frizzled-8 Antibody (NBP2-75493). By submitting a review you will receive an Amazon e-Gift Card or Novus Product Discount.
  • Review with no image -- $10/€7/£6/$10 CAD/¥70 Yuan/¥1110 Yen
  • Review with an image -- $25/€18/£15/$25 CAD/¥150 Yuan/¥2500 Yen

Product General Protocols

Find general support by application which include: protocols, troubleshooting, illustrated assays, videos and webinars.

Video Protocols

WB Video Protocol

FAQs for Frizzled-8 Antibody (NBP2-75493) (0)

There are no specific FAQs related to this product. Read our general customer & technical service FAQs.

Contact Information

Product PDFs

Calculators

Concentration Calculator

The concentration calculator allows you to quickly calculate the volume, mass or concentration of your vial. Simply enter your mass, volume, or concentration values for your reagent and the calculator will determine the rest.

=
÷

Review this Product

Be the first to review our Frizzled-8 Antibody (JB40-16) and receive a gift card or discount.

Bioinformatics

Gene Symbol FZD8