FKBP52/FKBP4 Antibody (JG96-30)

Images

 
Western Blot: FKBP52/FKBP4 Antibody (JG96-30) [NBP2-75491] - Analysis of FKBP52 on 293 (1) and SK-Br-3 (2) cell lysate using anti-FKBP52 antibody at 1/2,000 dilution.
Immunocytochemistry/ Immunofluorescence: FKBP52/FKBP4 Antibody (JG96-30) [NBP2-75491] - Staining FKBP52 in MCF-7 cells (green). The nuclear counter stain is DAPI (blue). Cells were fixed in paraformaldehyde, ...read more
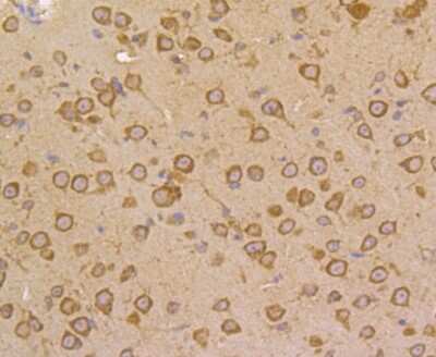
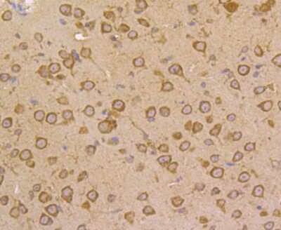
Immunohistochemistry-Paraffin: FKBP52/FKBP4 Antibody (JG96-30) [NBP2-75491] - Analysis of paraffin-embedded mouse brain tissue using anti-FKBP52 antibody. Counter stained with hematoxylin.
Flow Cytometry: FKBP52/FKBP4 Antibody (JG96-30) [NBP2-75491] - Analysis of 293T cells with FKBP52 antibody at 1/100 dilution (purple) compared with an unlabelled control (cells without incubation with primary antibody; ...read more
Immunocytochemistry/ Immunofluorescence: FKBP52/FKBP4 Antibody (JG96-30) [NBP2-75491] - Staining FKBP52 in 293T cells (green). The nuclear counter stain is DAPI (blue). Cells were fixed in paraformaldehyde, ...read more
Immunohistochemistry-Paraffin: FKBP52/FKBP4 Antibody (JG96-30) [NBP2-75491] - Analysis of paraffin-embedded human prostate cancer tissue using anti-FKBP52 antibody. Counter stained with hematoxylin.
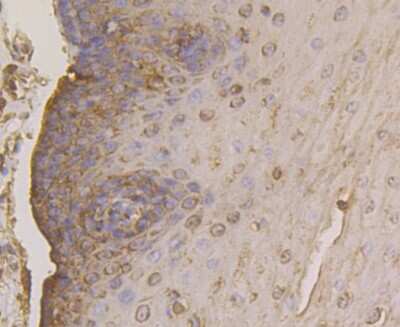
Immunohistochemistry-Paraffin: FKBP52/FKBP4 Antibody (JG96-30) [NBP2-75491] - Analysis of paraffin-embedded human esophagus tissue using anti-FKBP52 antibody. Counter stained with hematoxylin.

Product Details

Summary
Product Discontinued
View other related FKBP52/FKBP4 Primary Antibodies

Order Details


    • Catalog Number
      NBP2-75491
    • Availability
      Product Discontinued

    Can't find what you are looking for? Use our Antibody Concierge Service & we will help you locate your antibody!

    Or feel free to contact us for alternative products.

FKBP52/FKBP4 Antibody (JG96-30) Summary

Additional Information
Recombinant Monoclonal Antibody.
Immunogen
Recombinant protein within Human FKBP52/FKBP4 aa 1-132 / 459. (SwissProt: Q02790 Human)
Localization
Cytoplasm. Cytoskeleton. Microtubule. Mitochondrion. Nucleus.
Isotype
IgG
Clonality
Monoclonal
Host
Rabbit
Gene
FKBP4
Purity
Protein A purified
Innovator's Reward
Test in a species/application not listed above to receive a full credit towards a future purchase.

Applications/Dilutions

Dilutions
  • Flow Cytometry 1:50-1:100
  • Immunocytochemistry/ Immunofluorescence 1:50-1:200
  • Immunohistochemistry
  • Immunohistochemistry-Paraffin 1:50-1:200
  • Western Blot 1:1000-1:2000
Theoretical MW
52 kDa.
Disclaimer note: The observed molecular weight of the protein may vary from the listed predicted molecular weight due to post translational modifications, post translation cleavages, relative charges, and other experimental factors.

Packaging, Storage & Formulations

Storage
Store at 4C short term. Aliquot and store at -20C long term. Avoid freeze-thaw cycles.
Buffer
TBS (pH7.4), 0.05% BSA, 40% Glycerol
Preservative
0.05% Sodium Azide
Concentration
1 mg/ml
Purity
Protein A purified

Alternate Names for FKBP52/FKBP4 Antibody (JG96-30)

  • 51 kDa FK506-binding protein
  • 52 kDa FKBP
  • 59 kDa immunophilin
  • EC 5.2.1.8
  • FK506 binding protein 4, 59kDa
  • FK506-binding protein 4 (59kD)
  • FK506-binding protein 4
  • FKBP4
  • FKBP-4
  • FKBP51
  • FKBP52
  • FKBP-52
  • FKBP52T-cell FK506-binding protein, 59kD
  • FKBP59
  • FKBP5952 kDa FK506-binding protein
  • HBI
  • HSP binding immunophilin
  • Hsp56
  • HSP-binding immunophilin
  • Immunophilin FKBP52
  • p52
  • p59
  • peptidyl-prolyl cis-trans isomerase FKBP4
  • peptidylprolyl cis-trans isomerase
  • PPIase FKBP4
  • PPIase
  • rotamase

Background

Hsp90 is crucial to cellular signaling by its regulation of the folding, activity, and stability of a wide range of client proteins. These client protein complexes may also contain one or more cochaperones (1). One class of Hsp90-binding cochaperone is composed of proteins with a characteristic tetratricopeptide repeat (TPR) domain that forms an Hsp90 binding site. Among the TPR cochaperones of Hsp90 are Hop/Sti1, protein phosphatase PP5, and members of both the FK506- and cyclosporin Abinding families of immunophilins (2). FK506-binding protein 51 (FKBP51) and FKBP52 are large molecular weight immunophilins that are part of the mature glucocorticoid receptor (GR) heterocomplex (3). The N terminal domain of each protein binds FK506 and has peptidyl-prolyl isomerase (PPIase) activity that converts prolyl peptide bonds within target proteins from cis- to trans- proline. The C-terminal domains contain the TPR repeats involved in protein-protein interactions with the Hsp90 (4). Although FKBP52 and FKBP51 share approx. 75% sequence similarity, they affect hormone binding by glucocorticoid receptor in opposing manners and have different Hsp90- binding characteristics (3, 5). Also, whereas FKBP51 typically has a role with the progesterone receptor, FKBP52 has been found to be linked to the progesterone, androgen and glucocorticoid receptors (5).

Limitations

This product is for research use only and is not approved for use in humans or in clinical diagnosis. Primary Antibodies are guaranteed for 1 year from date of receipt.

Customers Who Viewed This Item Also Viewed...

NB100-56583
Species: Hu, Rb, Rt
Applications: Flow, IHC,  IHC-P, KO, Simple Western, WB
NB100-2176
Species: Hu, Mu, Rt
Applications: ChIP, ICC/IF, IHC,  IHC-P, IP, WB
AF632
Species: Hu
Applications: AgAct, Simple Western, WB
NBP1-88650
Species: Hu
Applications: IHC,  IHC-P, KD, WB
NBP2-01345
Species: Hu, Mu, Rt
Applications: Flow, ICC/IF, IHC,  IHC-P, WB
AF2699
Species: Mu
Applications: Simple Western, WB
MAB4364
Species: Rt
Applications: ICC, IHC, IP, KO, WB
AF2849
Species: Mu, Rt
Applications: WB
NBP2-02665
Species: Ca, Hu, Pm, Po, Pm, Rt
Applications: Flow, ICC/IF, IHC,  IHC-P, WB
H00001523-M01
Species: Hu, Mu, Rt
Applications: ELISA, ICC/IF, IHC,  IHC-P, IP, WB
NB120-2928
Species: Hu, Mu, Pm, Rb, Rt, Sh
Applications: ICC/IF, IHC,  IHC-P, IP, WB
NBP2-44520
Species: Ca(-), Hu, Rt(-)
Applications: Flow-IC, Flow, ICC/IF, IF, IHC,  IHC-P, MI, WB
NBP2-94469
Species: Hu, Mu, Rt
Applications: ICC/IF, IHC,  IHC-P, IP, KO, WB
NB100-74648
Species: Hu
Applications: ICC/IF, IHC,  IHC-P, IP, WB
NBP1-85841
Species: Hu
Applications: ICC/IF, IHC,  IHC-P, WB
NB500-179
Species: Hu, Ma, Mu, Po, Rt
Applications: Flow, ICC/IF, IP, KD, Simple Western, WB
NBP2-72273
Species: Hu, Mu, Rt
Applications: CyTOF-ready, Flow, ICC/IF, WB
NB300-731
Species: Gp, Hu, Mu, Rb, Rt, Sh, Ye
Applications: B/N, ChIP, Flow, GS, ICC/IF, IHC,  IHC-P, IP, WB
NBP3-32238
Species: Hu, Pm
Applications: Flow, ICC/IF, IHC,  IHC-P, WB

Publications for FKBP52/FKBP4 Antibody (NBP2-75491) (0)

There are no publications for FKBP52/FKBP4 Antibody (NBP2-75491).
By submitting your publication information earn gift cards and discounts for future purchases.

Reviews for FKBP52/FKBP4 Antibody (NBP2-75491) (0)

There are no reviews for FKBP52/FKBP4 Antibody (NBP2-75491). By submitting a review you will receive an Amazon e-Gift Card or Novus Product Discount.
  • Review with no image -- $10/€7/£6/$10 CAD/¥70 Yuan/¥1110 Yen
  • Review with an image -- $25/€18/£15/$25 CAD/¥150 Yuan/¥2500 Yen

Product General Protocols

Find general support by application which include: protocols, troubleshooting, illustrated assays, videos and webinars.

Video Protocols

WB Video Protocol
ICC/IF Video Protocol

FAQs for FKBP52/FKBP4 Antibody (NBP2-75491) (0)

There are no specific FAQs related to this product. Read our general customer & technical service FAQs.

Secondary Antibodies

 

Isotype Controls

Additional FKBP52/FKBP4 Products

Research Areas for FKBP52/FKBP4 Antibody (NBP2-75491)

Find related products by research area.

Blogs on FKBP52/FKBP4

There are no specific blogs for FKBP52/FKBP4, but you can read our latest blog posts.

Contact Information

Product PDFs

Calculators

Concentration Calculator

The concentration calculator allows you to quickly calculate the volume, mass or concentration of your vial. Simply enter your mass, volume, or concentration values for your reagent and the calculator will determine the rest.

=
÷

Review this Product

Be the first to review our FKBP52/FKBP4 Antibody (JG96-30) and receive a gift card or discount.

Bioinformatics

Gene Symbol FKBP4