Fibrinogen gamma chain Antibody (4H9)

Images

 
Western Blot: Fibrinogen gamma chain Antibody (4H9) [NBP2-37556] - Western blot analysis using FGG mAb against human FGG (AA: 210-437) recombinant protein. (Expected MW is 51.5 kDa)
Immunocytochemistry/ Immunofluorescence: Fibrinogen gamma chain Antibody (4H9) [NBP2-37556] - Immunofluorescence analysis of 3T3-L1 cells using FGG mouse mAb (green). Blue: DRAQ5 fluorescent DNA dye. Red: Actin ...read more
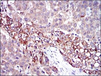
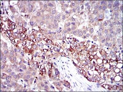
Immunohistochemistry: Fibrinogen gamma chain Antibody (4H9) [NBP2-37556] - Immunohistochemical analysis of paraffin-embedded liver cancer tissues using FGG mouse mAb with DAB staining.
Flow Cytometry: Fibrinogen gamma chain Antibody (4H9) [NBP2-37556] - Flow cytometric analysis of HepG2 cells using FGG mouse mAb (blue) and negative control (red).
Immunohistochemistry: Fibrinogen gamma chain Antibody (4H9) [NBP2-37556] - Immunohistochemical analysis of paraffin-embedded cerebellum tissues using FGG mouse mAb with DAB staining.
ELISA: Fibrinogen gamma chain Antibody (4H9) [NBP2-37556] - Red: Control Antigen (100ng); Purple: Antigen (10ng); Green: Antigen (50ng); Blue: Antigen (100ng);

Product Details

Summary
Product Discontinued
View other related Fibrinogen gamma chain Primary Antibodies

Order Details


    • Catalog Number
      NBP2-37556
    • Availability
      Product Discontinued

    Can't find what you are looking for? Use our Antibody Concierge Service & we will help you locate your antibody!

    Or feel free to contact us for alternative products.

Fibrinogen gamma chain Antibody (4H9) Summary

Immunogen
Purified recombinant fragment of human FGG expressed in E. Coli.
Isotype
IgG2a
Clonality
Monoclonal
Host
Mouse
Gene
FGG
Purity
Unpurified
Innovator's Reward
Test in a species/application not listed above to receive a full credit towards a future purchase.

Applications/Dilutions

Dilutions
  • ELISA 1:10000
  • Flow Cytometry 1:200 - 1:400
  • Immunocytochemistry/ Immunofluorescence 1:200 - 1:1000
  • Immunohistochemistry 1:200 - 1:1000
  • Immunohistochemistry-Paraffin 1:200 - 1:1000
  • Western Blot 1:500 - 1:2000
Theoretical MW
52 kDa.
Disclaimer note: The observed molecular weight of the protein may vary from the listed predicted molecular weight due to post translational modifications, post translation cleavages, relative charges, and other experimental factors.

Packaging, Storage & Formulations

Storage
Store at 4C short term. Aliquot and store at -20C long term. Avoid freeze-thaw cycles.
Buffer
Ascites
Preservative
0.03% Sodium Azide
Purity
Unpurified

Alternate Names for Fibrinogen gamma chain Antibody (4H9)

  • fibrinogen gamma chain
  • fibrinogen, gamma polypeptide

Background

The protein encoded by the Fibrinogen gamma chain gene is the gamma component of fibrinogen, a blood-borne glycoprotein comprised of three pairs of nonidentical polypeptide chains. Following vascular injury, fibrinogen is cleaved by thrombin to form fibrin which is the most abundant component of blood clots. In addition, various cleavage products of fibrinogen and fibrin regulate cell adhesion and spreading, display vasoconstrictor and chemotactic activities, and are mitogens for several cell types. Mutations in this gene lead to several disorders, including dysfibrinogenemia, hypofibrinogenemia and thrombophilia. Alternative splicing results in two transcript variants encoding different isoforms.

Limitations

This product is for research use only and is not approved for use in humans or in clinical diagnosis. Primary Antibodies are guaranteed for 1 year from date of receipt.

Customers Who Viewed This Item Also Viewed...

NBP1-90956
Species: Hu
Applications: ICC/IF, IHC,  IHC-P, WB
NBP2-80414
Species: Hu, Mu
Applications: Flow, ICC/IF, WB
NBP1-58268
Species: Hu, Mu
Applications: IHC,  IHC-P, WB
DHAPG0
Species: Hu
Applications: ELISA
M6000B
Species: Mu
Applications: ELISA
NB600-930
Species: Hu, Rt
Applications: ELISA, WB
NBP2-45562
Species: Hu, Mu, Rt
Applications: Flow, IHC,  IHC-P, WB
NBP1-91258
Species: Bv, Ca, Eq, Fe, Hu, Mu, Po, Rt
Applications: ICC/IF, IHC, IHC-Fr,  IHC-P, Simple Western, WB
MAB1455
Species: Hu
Applications: CyTOF-ready, Dual ISH-IHC, ICC, IHC, ICFlow, Simple Western, WB
NB600-586
Species: Ca, Fe, Hu, Mu
Applications: Dual ISH-IHC, ICC/IF, IHC, IHC-Fr,  IHC-P
NBP3-25459
Species: Hu, Rt
Applications: WB
NBP2-52979
Species: Hu, Mu
Applications: Flow, ICC/IF, IHC,  IHC-P, WB
MAB7616
Species: Hu
Applications: CyTOF-ready, Flow, WB
NB200-540
Species: Ec, Mu
Applications: CyTOF-ready, Flow-IC, Flow, IA, ICC/IF, IHC, IHC-Fr,  IHC-P, IP
2914-HT
Species: Hu
Applications: BA
202-IL
Species: Hu
Applications: BA
NBP2-52932
Species: Hu
Applications: IHC,  IHC-P, WB
NBP2-37556
Species: Hu
Applications: WB, ELISA, Flow, ICC/IF, IHC

Publications for Fibrinogen gamma chain Antibody (NBP2-37556) (0)

There are no publications for Fibrinogen gamma chain Antibody (NBP2-37556).
By submitting your publication information earn gift cards and discounts for future purchases.

Reviews for Fibrinogen gamma chain Antibody (NBP2-37556) (0)

There are no reviews for Fibrinogen gamma chain Antibody (NBP2-37556). By submitting a review you will receive an Amazon e-Gift Card or Novus Product Discount.
  • Review with no image -- $10/€7/£6/$10 CAD/¥70 Yuan/¥1110 Yen
  • Review with an image -- $25/€18/£15/$25 CAD/¥150 Yuan/¥2500 Yen

Product General Protocols

Find general support by application which include: protocols, troubleshooting, illustrated assays, videos and webinars.

Video Protocols

WB Video Protocol
ICC/IF Video Protocol

FAQs for Fibrinogen gamma chain Antibody (NBP2-37556) (0)

There are no specific FAQs related to this product. Read our general customer & technical service FAQs.

Secondary Antibodies

 

Isotype Controls

Additional Fibrinogen gamma chain Products

Research Areas for Fibrinogen gamma chain Antibody (NBP2-37556)

Find related products by research area.

Blogs on Fibrinogen gamma chain.

CD11b Expression, Leukocyte Adhesion and the Innate Immune System
What is CD11b?CD11b is an integrin family member which pairs with CD18 to form the CR3 heterodimer. CD11b is expressed on the surface of many leukocytes including monocytes, neutrophils, natural killer cells, granulocytes and macrophages, as well as o...  Read full blog post.

Contact Information

Product PDFs

Calculators

Concentration Calculator

The concentration calculator allows you to quickly calculate the volume, mass or concentration of your vial. Simply enter your mass, volume, or concentration values for your reagent and the calculator will determine the rest.

=
÷

Review this Product

Be the first to review our Fibrinogen gamma chain Antibody (4H9) and receive a gift card or discount.

Bioinformatics

Gene Symbol FGG