FGF-23 Antibody (FGF23/132) - Azide and BSA Free

Images

 
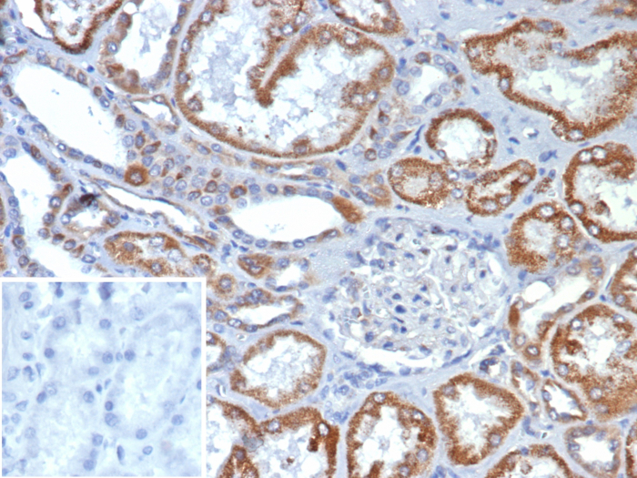
IHC analysis of formalin-fixed, paraffin-embedded human kidney stained using FGF-23 antibody (FGF23/132) at 2ug/ml in PBS for 30min RT. Inset: PBS instead of primary antibody; secondary only negative control.

Product Details

Summary
Reactivity HuSpecies Glossary
Applications IHC
Clone
FGF23/132
Clonality
Monoclonal
Host
Mouse
Conjugate
Unconjugated
Format
Azide and BSA Free
Concentration
1 mg/ml

Order Details

FGF-23 Antibody (FGF23/132) - Azide and BSA Free Summary

Description
Positive Controls: Human kidney tissue.

Antibody with azide - store at 2 to 8C. Antibody without azide - store at -20 to -80C. Non-hazardous. No MSDS required.
Immunogen
Recombinant full-length human FGF-23 protein
Localization
Secreted (extracellular)
Isotype
IgG
Clonality
Monoclonal
Host
Mouse
Gene
FGF23
Purity
Protein A or G purified
Innovator's Reward
Test in a species/application not listed above to receive a full credit towards a future purchase.

Applications/Dilutions

Dilutions
  • Immunohistochemistry-Paraffin 1-2 ug/ml
Application Notes
Immunohistochemistry (Formalin-fixed): 1-2ug/ml for 30 minutes. at RT. Staining of formalin-fixed tissues requires heating tissue sections in 10mM Tris with 1mM EDTA, pH 9.0, for 45 min at 95C followed by cooling at RT for 20 minutes.

Optimal dilution for a specific application should be determined.

Packaging, Storage & Formulations

Storage
Store at -20 to -70C. Avoid freeze-thaw cycles.
Buffer
10mM PBS
Preservative
No Preservative
Concentration
1 mg/ml
Purity
Protein A or G purified

Alternate Names for FGF-23 Antibody (FGF23/132) - Azide and BSA Free

  • ADHR
  • FGF23
  • FGF-23
  • fibroblast growth factor 23
  • HPDR2
  • HYPF
  • phosphatonin
  • PHPTC
  • tumor-derived hypophosphatemia inducing factor
  • Tumor-derived hypophosphatemia-inducing factor

Limitations

This product is for research use only and is not approved for use in humans or in clinical diagnosis. Primary Antibodies are guaranteed for 1 year from date of receipt.

Customers Who Viewed This Item Also Viewed...

MAB7665
Species: Hu
Applications: IHC, WB
NBP1-86713
Species: Hu
Applications: IHC,  IHC-P
8090-ZN
Species: Hu
Applications: EnzAct
AF1819
Species: Mu
Applications: ELISA, IHC, WB
AF4386
Species: Mu
Applications: IHC, WB
NBP1-84073
Species: Hu
Applications: ChIP-EXO-SEQ, ICC/IF, IHC,  IHC-P
NBP2-57362
Species: Hu
Applications: ICC/IF, WB
H00001594-Q01
Species: Hu
Applications: ELISA, AP, PA, WB
AF6150
Species: Mu
Applications: WB
NBP2-16756
Species: Hu, Mu, Rt
Applications: ICC/IF, IHC, IHC-Fr,  IHC-P, WB
MAB1268
Species: Hu
Applications: ICC, IHC, IP, Simple Western, WB
NBP2-42216
Species: Hu, Mu
Applications: Flow, ICC/IF, IHC,  IHC-P, IP, WB
H00002263-M01
Species: Bv, Hu
Applications: ELISA, ICC/IF, IHC,  IHC-P, S-ELISA, WB
1827-SF/CF
Species: Hu
Applications: BA
NB600-1287
Species: Ca, Hu, Mu, Rb, Rt
Applications: CyTOF-ready, Flow, ICC/IF, IHC,  IHC-P, IP, WB
NBP1-81933
Species: Hu
Applications: IHC,  IHC-P
NBP3-20779
Species: Hu
Applications: IHC

Publications for FGF-23 Antibody (NBP3-20779) (0)

There are no publications for FGF-23 Antibody (NBP3-20779).
By submitting your publication information earn gift cards and discounts for future purchases.

Reviews for FGF-23 Antibody (NBP3-20779) (0)

There are no reviews for FGF-23 Antibody (NBP3-20779). By submitting a review you will receive an Amazon e-Gift Card or Novus Product Discount.
  • Review with no image -- $10/€7/£6/$10 CAD/¥70 Yuan/¥1110 Yen
  • Review with an image -- $25/€18/£15/$25 CAD/¥150 Yuan/¥2500 Yen

Product General Protocols

Find general support by application which include: protocols, troubleshooting, illustrated assays, videos and webinars.

FAQs for FGF-23 Antibody (NBP3-20779) (0)

There are no specific FAQs related to this product. Read our general customer & technical service FAQs.

Customers Who Bought This Also Bought

Contact Information

Product PDFs

Calculators

Concentration Calculator

The concentration calculator allows you to quickly calculate the volume, mass or concentration of your vial. Simply enter your mass, volume, or concentration values for your reagent and the calculator will determine the rest.

=
÷

Review this Product

Be the first to review our FGF-23 Antibody (FGF23/132) - Azide and BSA Free and receive a gift card or discount.

Bioinformatics

Gene Symbol FGF23