FABP3/H-FABP Antibody (JU73-03)

Images

 
Western Blot: FABP3/H-FABP Antibody (JU73-03) [NBP2-75485] - Analysis of Cardiac FABP3 on rat heart tissue lysate using anti-cardiac FABP3 antibody at 1:500 dilution.
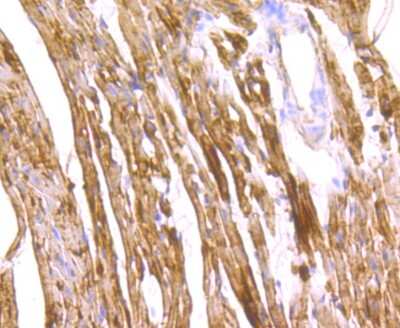
Immunohistochemistry-Paraffin: FABP3/H-FABP Antibody (JU73-03) [NBP2-75485] - Analysis of paraffin-embedded rat heart tissue using anti- Cardiac FABP3 antibody. Counter stained with hematoxylin.
Immunohistochemistry-Paraffin: FABP3/H-FABP Antibody (JU73-03) [NBP2-75485] - Analysis of paraffin-embedded mouse heart tissue using anti- Cardiac FABP3 antibody. Counter stained with hematoxylin.

Product Details

Summary
Product Discontinued
View other related FABP3/H-FABP Primary Antibodies

Order Details


    • Catalog Number
      NBP2-75485
    • Availability
      Product Discontinued

    Can't find what you are looking for? Use our Antibody Concierge Service & we will help you locate your antibody!

    Or feel free to contact us for alternative products.

FABP3/H-FABP Antibody (JU73-03) Summary

Additional Information
Recombinant Monoclonal Antibody.
Immunogen
Synthetic peptide within Human FABP3/H-FABP aa 1-50 / 133. (SwissProt: P11404 Mouse; SwissProt: P07483 Rat)
Localization
Cytoplasm.
Isotype
IgG
Clonality
Monoclonal
Host
Rabbit
Gene
FABP3
Purity
Protein A purified
Innovator's Reward
Test in a species/application not listed above to receive a full credit towards a future purchase.

Applications/Dilutions

Dilutions
  • Immunohistochemistry
  • Immunohistochemistry-Frozen
  • Immunohistochemistry-Paraffin 1:50-1:200
  • Western Blot 1:500
Application Notes
This FABP3/H-FABP Antibody (JU73-03) is validated for IHC-Fr from a verified customer review.
Theoretical MW
15 kDa.
Disclaimer note: The observed molecular weight of the protein may vary from the listed predicted molecular weight due to post translational modifications, post translation cleavages, relative charges, and other experimental factors.
Reviewed Applications
Read 1 Review rated 5
using
NBP2-75485 in the following applications:

Packaging, Storage & Formulations

Storage
Store at 4C short term. Aliquot and store at -20C long term. Avoid freeze-thaw cycles.
Buffer
TBS (pH7.4), 0.05% BSA, 40% Glycerol
Preservative
0.05% Sodium Azide
Concentration
1 mg/ml
Purity
Protein A purified

Alternate Names for FABP3/H-FABP Antibody (JU73-03)

  • FABP11
  • FABP3
  • fatty acid binding protein 11
  • fatty acid binding protein 3, muscle and heart (mammary-derived growthinhibitor)
  • Fatty acid-binding protein 3
  • Fatty acid-binding protein 3, muscle
  • fatty acid-binding protein, heart
  • Heart-type fatty acid-binding protein
  • HFABP
  • H-FABP
  • H-FABPM-FABP
  • Mammary-derived growth inhibitor
  • MDGI
  • Muscle fatty acid-binding protein
  • O-FABP

Background

Fatty Acid Binding Protein (FABP) is a small cytosolic protein responsible for the transport and deposition of fatty acids inside the cell. Several different isoforms of FABP are expressed in different tissue types. Cardiac isoform of FABP (cFABP) is expressed mainly in cardiac muscle tissue and in significantly lower concentration in skeletal muscles.

Limitations

This product is for research use only and is not approved for use in humans or in clinical diagnosis. Primary Antibodies are guaranteed for 1 year from date of receipt.

Customers Who Viewed This Item Also Viewed...

AF3166
Species: Hu
Applications: IHC, Simple Western, WB
AF1476
Species: Hu, Mu, Rt
Applications: IHC, KO, Simple Western, WB
NB110-2546
Species: Hu, Mu
Applications: Flow, AP, IA, IHC,  IHC-P, IP, S-ELISA, WB
NBP1-87695
Species: Hu, Mu, Rt
Applications: ICC/IF, IHC,  IHC-P, WB
AF1443
Species: Mu, Rt
Applications: ICC, IHC, Simple Western, WB
NBP2-16708
Species: Hu, Mu, Rt
Applications: ICC/IF, IHC,  IHC-P, KO, WB
NB400-144
Species: Av, Bv, Hu, Mu, Po, Pm, Rb, Rt
Applications: ICC/IF, IHC, IHC-Fr,  IHC-P, WB
MAB1417
Species: Bv, Hu, Mu
Applications: ICC, IHC
NBP2-22106
Species: Hu, Mu, Rt
Applications: IHC,  IHC-P, IP, WB
MAB1455
Species: Hu
Applications: CyTOF-ready, Dual ISH-IHC, ICC, IHC, ICFlow, Simple Western, WB
NBP1-90276
Species: Hu, Mu
Applications: ICC/IF, IHC,  IHC-P, WB
NBP1-92089
Species: Hu
Applications: IHC,  IHC-P, WB
NBP1-90260
Species: Hu, Mu, Rt
Applications: ICC/IF, IHC,  IHC-P, WB
DY1857
Species: Mu
Applications: ELISA
NB100-2564
Species: Hu
Applications: WB

Publications for FABP3/H-FABP Antibody (NBP2-75485) (0)

There are no publications for FABP3/H-FABP Antibody (NBP2-75485).
By submitting your publication information earn gift cards and discounts for future purchases.

Review for FABP3/H-FABP Antibody (NBP2-75485) (1) 51

Average Rating: 5
(Based on 1 review)
We have 1 review tested in 1 species: Mouse.

Reviews using NBP2-75485:
Filter by Applications
IHC-Fr
(1)
All Applications
Filter by Species
Mouse
(1)
All Species
Images Ratings Applications Species Date Details
Immunohistochemistry-Frozen FABP3/H-FABP NBP2-75485
Enlarge
5
reviewed by:
Verified Customer
IHC-Fr Mouse 08/31/2021
View

Summary

ApplicationImmunohistochemistry-Frozen
Sample TestedBrain (cerebral cortex)
SpeciesMouse
LotJU73-03

Comments

Comments***Bio-Techne Response: This review was submitted through the legacy Novus Innovators Program, reflecting a new species or application tested on a primary antibody.***

Product General Protocols

Find general support by application which include: protocols, troubleshooting, illustrated assays, videos and webinars.

Video Protocols

WB Video Protocol

FAQs for FABP3/H-FABP Antibody (NBP2-75485) (0)

There are no specific FAQs related to this product. Read our general customer & technical service FAQs.

Contact Information

Product PDFs

Calculators

Concentration Calculator

The concentration calculator allows you to quickly calculate the volume, mass or concentration of your vial. Simply enter your mass, volume, or concentration values for your reagent and the calculator will determine the rest.

=
÷

Recent Reviews

5
5
1
4
0
3
0
2
0
1
0

Verified Customer
08/31/2021
Application: IHC-Fr
Species: Mouse

Bioinformatics

Gene Symbol FABP3