EZH2/KMT6 Antibody (CL11915) - Azide and BSA Free

Images

 
Orthogonal Strategies: Analysis in human testis and cerebral cortex tissues using NBP3-44326 antibody. Corresponding EZH2/KMT6 RNA-seq data are presented for the same tissues.
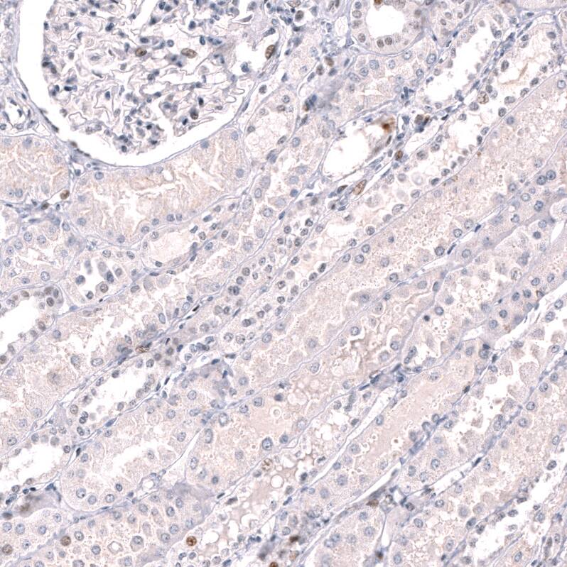
Staining of human kidney shows mainly absence of positivity in cells in tubules as expected.
Staining of human glioblastoma multiforme shows strong nuclear positivity in tumor cells.
Staining of human cerebral cortex shows no positivity in neurons as expected.
Staining of human lymph node shows moderate to strong nuclear positivity in lymphoid cells.
Staining of human oligodendroglioma shows strong nuclear positivity in tumor cells.
Staining of U-251 cells using the Anti-EZH2/KMT6 monoclonal antibody, showing specific staining in nucleoplasm in green. Microtubule probe is visualized in red.
Analysis in human cell line MOLT-4.
Staining of human testis shows strong nuclear positivity in cells in seminiferous ducts.

Product Details

Summary
Reactivity HuSpecies Glossary
Applications WB, ICC/IF, IHC
Clone
CL11915
Clonality
Monoclonal
Host
Mouse
Conjugate
Unconjugated
Format
Azide and BSA Free
Concentration
LYOPH
Validated by:
       

Orthogonal Strategies

 

Order Details

EZH2/KMT6 Antibody (CL11915) - Azide and BSA Free Summary

Description
Novus Biologicals Mouse EZH2/KMT6 Antibody (CL11915) - Azide and BSA Free (NBP3-21204) is a monoclonal antibody validated for use in IHC, WB and ICC/IF. All Novus Biologicals antibodies are covered by our 100% guarantee.
Immunogen
This antibody was generated using a synthetic peptide of Q15910, with the exact immunogen sequence remaining proprietary.
Isotype
IgG2b
Clonality
Monoclonal
Host
Mouse
Gene
EZH2
Purity
Protein A purified
Innovator's Reward
Test in a species/application not listed above to receive a full credit towards a future purchase.

Applications/Dilutions

Dilutions
  • Immunocytochemistry/ Immunofluorescence 2-10 ug/ml
  • Immunohistochemistry-Paraffin 1:200 - 1:500
  • Western Blot 1 ug/ml
Application Notes
Immunocytochemistry/ Immunofluorescence/IF Fixation Permeabilization: Use PFA/Triton X-100. For IHC-Paraffin, HIER pH 6 retrieval is recommended.

Packaging, Storage & Formulations

Storage
Store at 4C short term. Aliquot and store at -20C long term. Avoid freeze-thaw cycles.
Buffer
Lyophilized from a 0.2 um filtered solution in PBS with Trehalose
Preservative
No Preservative
Concentration
LYOPH
Purity
Protein A purified
Reconstitution Instructions
Centrifuge the vial of lyophilized antibody at 12,000 x g for 20 seconds. Reconstitute by adding sterile, distilled water to achieve a final antibody concentration of 1mg/ml.

Alternate Names for EZH2/KMT6 Antibody (CL11915) - Azide and BSA Free

  • EC 2.1.1
  • EC 2.1.1.43
  • enhancer of zeste (Drosophila) homolog 2
  • enhancer of zeste 2
  • enhancer of zeste homolog 2 (Drosophila)
  • Enhancer of zeste homolog 2
  • ENX1
  • ENX-1KMT6EZH1KMT6A
  • EZH2
  • histone-lysine N-methyltransferase EZH2
  • KMT6
  • Lysine N-methyltransferase 6
  • MGC9169

Background

KMT6 / EZH2 encodes a member of the Polycomb-group (PcG) family. PcG family members form multimeric protein complexes, which are involved in maintaining the transcriptional repressive state of genes over successive cell generations. This protein associates with the embryonic ectoderm development protein, the VAV1 oncoprotein, and the X-linked nuclear protein. This protein may play a role in the hematopoietic and central nervous systems. Two transcript variants encoding distinct isoforms have been identified for this gene. [provided by RefSeq]

Limitations

This product is for research use only and is not approved for use in humans or in clinical diagnosis. Primary Antibodies are guaranteed for 1 year from date of receipt.

Customers Who Viewed This Item Also Viewed...

NB500-171
Species: Hu, I, Mu, Rt, Xp, Ye
Applications: ChIP, IB, ICC/IF, IHC,  IHC-P, Single-Cell Western, WB
AF5827
Species: Hu, Mu
Applications: WB
NB200-106
Species: Mu, Rt
Applications: ELISA, ICC/IF, IHC, IHC-Fr,  IHC-P, WB
MAB4184
Species: Hu, Mu
Applications: ICC, IP, WB
NBP1-96140
Species: Hu, Mu
Applications: ChIP, Flow-IC, Flow, ICC/IF, IP, WB
NB200-103
Species: Hu, Mu, Rt, Xp(-), Ye
Applications: CyTOF-ready, ELISA, Flow-IC, Flow, ICC/IF, IHC, IHC-Fr,  IHC-P, IP, WB
H00171023-M05
Species: Hu
Applications: ELISA, IP, WB
NBP2-32104
Species: Hu, Rt
Applications: IHC,  IHC-P, IP, WB
NBP2-29463
Species: Pm, Hu, Pm, Mu
Applications: Flow, ICC/IF, IHC,  IHC-P, WB
AF748
Species: Hu, Mu
Applications: CyTOF-ready, Dual ISH-IHC, Flow, ICC, IHC, Simple Western, WB
NB100-56519
Species: Bv, Hu, Mu, Po, Rt, Sh
Applications: ChIP, CyTOF-ready, Flow-IC, Flow, ICC/IF, IHC-FrFl, IHC, IHC-Fr,  IHC-P, IP, KD, Simple Western, WB
NBP2-59451
Species: Hu
Applications: ELISA, Flow, ICC/IF, MiAr, Simple Western, WB
NBP1-88856
Species: Hu, Mu, Rt
Applications: IHC,  IHC-P, WB
DKK300
Species: Hu
Applications: ELISA
NBP1-96140
Species: Hu, Mu
Applications: ChIP, Flow-IC, Flow, ICC/IF, IP, WB
NB100-56603
Species: Ca, Hu, Mu, Pm, Rt
Applications: IHC,  IHC-P, WB
NB100-56340
Species: Hu, Mu, Rt
Applications: IHC, IHC-Fr,  IHC-P, KO, Simple Western, WB
NBP3-44326
Species: Hu
Applications: WB, ICC/IF, IHC

Publications for EZH2/KMT6 Antibody (NBP3-44326) (0)

There are no publications for EZH2/KMT6 Antibody (NBP3-44326).
By submitting your publication information earn gift cards and discounts for future purchases.

Reviews for EZH2/KMT6 Antibody (NBP3-44326) (0)

There are no reviews for EZH2/KMT6 Antibody (NBP3-44326). By submitting a review you will receive an Amazon e-Gift Card or Novus Product Discount.
  • Review with no image -- $10/€7/£6/$10 CAD/¥70 Yuan/¥1110 Yen
  • Review with an image -- $25/€18/£15/$25 CAD/¥150 Yuan/¥2500 Yen

Product General Protocols

Find general support by application which include: protocols, troubleshooting, illustrated assays, videos and webinars.

Video Protocols

WB Video Protocol
ICC/IF Video Protocol

FAQs for EZH2/KMT6 Antibody (NBP3-44326) (0)

There are no specific FAQs related to this product. Read our general customer & technical service FAQs.

Secondary Antibodies

 

Isotype Controls

Additional EZH2/KMT6 Products

Research Areas for EZH2/KMT6 Antibody (NBP3-44326)

Find related products by research area.

Blogs on EZH2/KMT6

There are no specific blogs for EZH2/KMT6, but you can read our latest blog posts.

Customers Who Bought This Also Bought

Contact Information

Product PDFs

Calculators

Concentration Calculator

The concentration calculator allows you to quickly calculate the volume, mass or concentration of your vial. Simply enter your mass, volume, or concentration values for your reagent and the calculator will determine the rest.

=
÷

Review this Product

Be the first to review our EZH2/KMT6 Antibody (CL11915) - Azide and BSA Free and receive a gift card or discount.

Bioinformatics

Gene Symbol EZH2