Enolase 2/Neuron-specific Enolase Antibody

Images

 
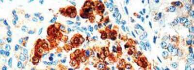
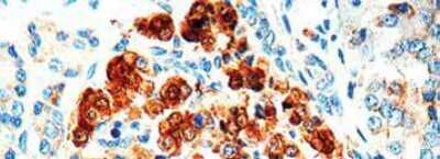
Immunohistochemistry-Paraffin: Enolase 2/Neuron-specific Enolase Antibody [NB120-834] - Formalin fixed paraffin embedded human pancreas stained with Enolase 2/Neuron-specific Enolase antibody (NB120-834).
Immunohistochemistry-Paraffin: Enolase 2/Neuron-specific Enolase Antibody [NB120-834] - Staining of Human pancreas

Order Details


    • Catalog Number
      NB120-834
    • Availability
      Product Discontinued

    Can't find what you are looking for? Use our Antibody Concierge Service & we will help you locate your antibody!

    Or feel free to contact us for alternative products.

Enolase 2/Neuron-specific Enolase Antibody Summary

Immunogen
Neuron specific enolase (gamma-gamma isoenzyme) isolated from bovine brain.
Localization
Cytoplasmic
Marker
Neuronal Marker
Specificity
This antibody reacts with human isoenzymes of neuron specific enolase containing gamma subunits. It gives a specific staining in neurons of the brain, islets of Langerhans in pancreas, and in peripheral nerves of the skin. No staining with other tissue types has been seen.
Isotype
IgG
Clonality
Polyclonal
Host
Rabbit
Gene
ENO2
Purity
Whole Antiserum
Innovator's Reward
Test in a species/application not listed above to receive a full credit towards a future purchase.

Applications/Dilutions

Dilutions
  • Immunohistochemistry 1:10-1:500
  • Immunohistochemistry-Frozen 1:10-1:500
  • Immunohistochemistry-Paraffin 1:10-1:500
Application Notes
IHC-P: recommended pretreatment of citrate buffer, pH 6.0. Recommended incubation time of 30 min at RT.
Control
Enolase 2/Neuron-specific Enolase Overexpression Lysate

Packaging, Storage & Formulations

Storage
Store at 4C.
Buffer
Whole Antiserum
Preservative
0.05% Sodium Azide
Purity
Whole Antiserum

Notes

This product is available in a small concetrated size as well as a larger pre-dilute size. The larger can be used neat without further dilution.

Alternate Names for Enolase 2/Neuron-specific Enolase Antibody

  • 2-phospho-D-glycerate hydrolyase
  • 2-phospho-D-glycerate hydro-lyase
  • EC 4.2.1.11
  • ENO2
  • enolase 2 (gamma, neuronal)
  • Enolase 2
  • gamma-Enolase
  • Neural enolase
  • neuron specific gamma enolase
  • neurone-specific enolase
  • Neuronspecific Enolase
  • Neuron-specific enolase
  • NSE

Background

Enolase is a glycolytic enzyme catalyzing the reaction pathway between 2 phospho glycerate and phosphoenol pyruvate. In mammals, enolase molecules are dimers composed of three distinct subunits (alpha, beta and gamma). The alpha subunit is expressed in most tissues and the beta subunit only in muscle. The gamma subunit is expressed primarily in neurons, in normal and in neoplastic neuroendocrine cells. NSE (neuron specific enolase) is found in elevated concentrations in plasma in certain neoplasias. These include pediatric neuroblastoma and small cell lung cancer. Coexpression of NSE and chromogranin A is common in neuroendocrine neoplasms.

Limitations

This product is for research use only and is not approved for use in humans or in clinical diagnosis. Primary Antibodies are guaranteed for 1 year from date of receipt.

Customers Who Viewed This Item Also Viewed...

H00002023-M01
Species: Fe, Hu
Applications: ELISA, Flow, Func, ICC/IF, IHC,  IHC-P, IP, WB
NB300-141
Species: Bv, Ch, Eq, Gp, Hu, Mu, Po, Rb, Rt
Applications: ICC/IF, IHC, IHC-Fr,  IHC-P, Simple Western, WB
NB300-653
Species: Ch, Fe, Hu, Pm, Mu, Rt
Applications: ELISA, ICC/IF, IHC, IHC-Fr,  IHC-P, IP, WB
NB300-223
Species: Bv, Ca, Ch, Eq, Hu, Mu, Po, Rt
Applications: ICC/IF, IHC, IHC-Fr,  IHC-P, WB
NB120-15160
Species: Hu, Mu, Rt
Applications: ICC/IF, IHC,  IHC-P, WB
NBP1-87102
Species: Hu, Mu, Rt
Applications: ICC/IF, IHC,  IHC-P, WB
NBP2-34594
Species: Hu, Pm
Applications: CyTOF-ready, Flow, ICC/IF, IHC,  IHC-P
AF4478
Species: Hu
Applications: IHC, WB
NBP3-41306
Species: Hu, Mu, Rt
Applications: WB
AF3844
Species: Hu, Mu
Applications: IHC
7954-GM/CF
Species: Hu
Applications: BA
NBP2-42388
Species: Hu
Applications: ICC/IF, IHC,  IHC-P, KD, WB
NB120-14817
Species: Hu, Rt
Applications: ICC/IF, IHC, S-ELISA, WB
NBP1-87103
Species: Hu, Mu
Applications: IHC,  IHC-P, WB
NB120-22711
Species: Hu, Mu
Applications: ELISA, Flow, ICC/IF, IHC, IHC-Fr,  IHC-P
NBP2-37447
Species: Hu
Applications: CyTOF-ready, ELISA, Flow, ICC/IF, IHC,  IHC-P
NBP3-03282
Species: Hu, Mu, Rt
Applications: ELISA, ICC/IF, IHC,  IHC-P, WB
NBP2-46349
Species: Hu
Applications: IHC,  IHC-P, WB
NB600-717
Species: Bv
Applications: ELISA, ICC/IF, IHC, IHC-Fr,  IHC-P, RIA, RI, WB
NB120-834
Species: Hu, Bv
Applications: IHC

Publications for Enolase 2/Neuron-specific Enolase Antibody (NB120-834) (0)

There are no publications for Enolase 2/Neuron-specific Enolase Antibody (NB120-834).
By submitting your publication information earn gift cards and discounts for future purchases.

Reviews for Enolase 2/Neuron-specific Enolase Antibody (NB120-834) (0)

There are no reviews for Enolase 2/Neuron-specific Enolase Antibody (NB120-834). By submitting a review you will receive an Amazon e-Gift Card or Novus Product Discount.
  • Review with no image -- $10/€7/£6/$10 CAD/¥70 Yuan/¥1110 Yen
  • Review with an image -- $25/€18/£15/$25 CAD/¥150 Yuan/¥2500 Yen

Product General Protocols

Find general support by application which include: protocols, troubleshooting, illustrated assays, videos and webinars.

FAQs for Enolase 2/Neuron-specific Enolase Antibody (NB120-834) (0)

There are no specific FAQs related to this product. Read our general customer & technical service FAQs.

Contact Information

Product PDFs

Calculators

Concentration Calculator

The concentration calculator allows you to quickly calculate the volume, mass or concentration of your vial. Simply enter your mass, volume, or concentration values for your reagent and the calculator will determine the rest.

=
÷

Review this Product

Be the first to review our Enolase 2/Neuron-specific Enolase Antibody and receive a gift card or discount.

Bioinformatics

Gene Symbol ENO2
Entrez