EN1/Engrailed 1 Antibody

Images

 
Immunohistochemistry-Paraffin: EN1/Engrailed 1 Antibody [NBP2-57757] - Staining of human pancreas shows no positivity in exocrine glandular cells as expected.
Immunohistochemistry-Paraffin: EN1/Engrailed 1 Antibody [NBP2-57757] - Staining of human skin shows strong nuclear positivity in sweat glands.
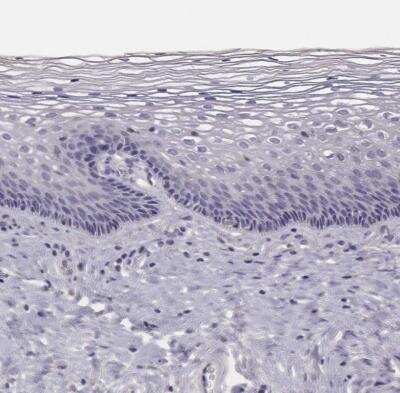
Immunohistochemistry-Paraffin: EN1/Engrailed 1 Antibody [NBP2-57757] - Staining of human cervix, uterine shows no postivity in squamous epithelial cells as expected.
Immunohistochemistry-Paraffin: EN1/Engrailed 1 Antibody [NBP2-57757] - Staining of human kidney shows no positivity in cells in tubules as expected.

Product Details

Summary
Product Discontinued
View other related EN1/Engrailed 1 Primary Antibodies

Order Details


    • Catalog Number
      NBP2-57757
    • Availability
      Product Discontinued

    Can't find what you are looking for? Use our Antibody Concierge Service & we will help you locate your antibody!

    Or feel free to contact us for alternative products.

EN1/Engrailed 1 Antibody Summary

Immunogen
This antibody was developed against a recombinant protein corresponding to the following amino acid sequence: GAQGTKYPEHGNPAILLMGSANG
Isotype
IgG
Clonality
Polyclonal
Host
Rabbit
Gene
EN1
Purity
Affinity purified
Innovator's Reward
Test in a species/application not listed above to receive a full credit towards a future purchase.

Applications/Dilutions

Dilutions
  • Immunohistochemistry 1:20 - 1:50
  • Immunohistochemistry-Paraffin 1:20 - 1:50
Application Notes
For IHC-Paraffin, HIER pH 6 retrieval is recommended.
Publications
Read Publication using NBP2-57757.

Reactivity Notes

Mouse 87%, Rat 87%

Packaging, Storage & Formulations

Storage
Store at 4C short term. Aliquot and store at -20C long term. Avoid freeze-thaw cycles.
Buffer
PBS (pH 7.2) and 40% Glycerol
Preservative
0.02% Sodium Azide
Purity
Affinity purified

Alternate Names for EN1/Engrailed 1 Antibody

  • engrailed homeobox 1
  • engrailed homolog 1
  • Homeobox protein en-1
  • homeobox protein engrailed-1
  • hu-En-1

Background

Homeobox-containing genes are thought to have a role in controlling development. In Drosophila, the 'engrailed' (en) gene plays an important role during development in segmentation, where it is required for the formation of posterior compartments. Different mutations in the mouse homologs, En1 and En2, produced different developmental defects that frequently are lethal. The human engrailed homologs 1 and 2 encode homeodomain-containing proteins and have been implicated in the control of pattern formation during development of the central nervous system.

Limitations

This product is for research use only and is not approved for use in humans or in clinical diagnosis. Primary Antibodies are guaranteed for 1 year from date of receipt.

Customers Who Viewed This Item Also Viewed...

423-F8
Species: Hu, Mu
Applications: BA
NB100-2814
Species: Hu, Mu
Applications: ICC/IF, PEP-ELISA, WB
NBP1-51575
Species: Hu, Mu
Applications: ELISA, Flow, ICC/IF, IHC,  IHC-P, WB
AF3364
Species: Hu
Applications: ICC, IHC, WB
AF2156
Species: Hu, Mu
Applications: ICC, IHC, WB
NB300-109
Species: Ch, Dr, Hu, I, Ma, Mu, Rt
Applications: Dual ISH-IHC, ICC/IF, IHC-FrFl, IHC-WhMt, IHC, IHC-Fr,  IHC-P, KO, Simple Western, WB
AF1979
Species: Hu
Applications: ICC, IHC, Simple Western, WB
NBP2-85481
Species: Hu
Applications: IHC,  IHC-P, WB
NBP2-48480
Species: Hu
Applications: Flow-CS, Flow, IHC, IHC-Fr,  IHC-P
NB100-55393
Species: Hu, Mu
Applications: ICC/IF, IHC,  IHC-P, PEP-ELISA, WB
NBP2-20913
Species: Hu, Mu
Applications: IHC,  IHC-P, WB
NBP1-36970
Species: Hu, Mu, Rt
Applications: IHC,  IHC-P, PEP-ELISA
AF8150
Species: Hu
Applications: ICC, ICFlow, Simple Western, WB
314-BP
Species: Hu
Applications: BA, BA
355-BM
Species: Hu, Mu, Rt
Applications: BA
MAB3487
Species: Hu, Mu
Applications: Flow, ICC, IHC, mIF, Simple Western, WB
NBP2-57757
Species: Hu
Applications: IHC

Publications for EN1/Engrailed 1 Antibody (NBP2-57757)(1)

Reviews for EN1/Engrailed 1 Antibody (NBP2-57757) (0)

There are no reviews for EN1/Engrailed 1 Antibody (NBP2-57757). By submitting a review you will receive an Amazon e-Gift Card or Novus Product Discount.
  • Review with no image -- $10/€7/£6/$10 CAD/¥70 Yuan/¥1110 Yen
  • Review with an image -- $25/€18/£15/$25 CAD/¥150 Yuan/¥2500 Yen

Product General Protocols

Find general support by application which include: protocols, troubleshooting, illustrated assays, videos and webinars.

FAQs for EN1/Engrailed 1 Antibody (NBP2-57757) (0)

There are no specific FAQs related to this product. Read our general customer & technical service FAQs.

Secondary Antibodies

 

Isotype Controls

Additional EN1/Engrailed 1 Products

Array NBP2-57757

Research Areas for EN1/Engrailed 1 Antibody (NBP2-57757)

Find related products by research area.

Blogs on EN1/Engrailed 1

There are no specific blogs for EN1/Engrailed 1, but you can read our latest blog posts.

Contact Information

Product PDFs

Calculators

Concentration Calculator

The concentration calculator allows you to quickly calculate the volume, mass or concentration of your vial. Simply enter your mass, volume, or concentration values for your reagent and the calculator will determine the rest.

=
÷

Review this Product

Be the first to review our EN1/Engrailed 1 Antibody and receive a gift card or discount.

Bioinformatics

Gene Symbol EN1