ELAVL2 Antibody (CL15329) - Azide and BSA Free

Images

 
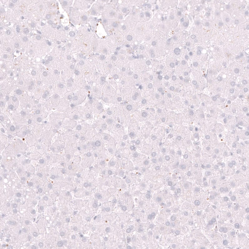
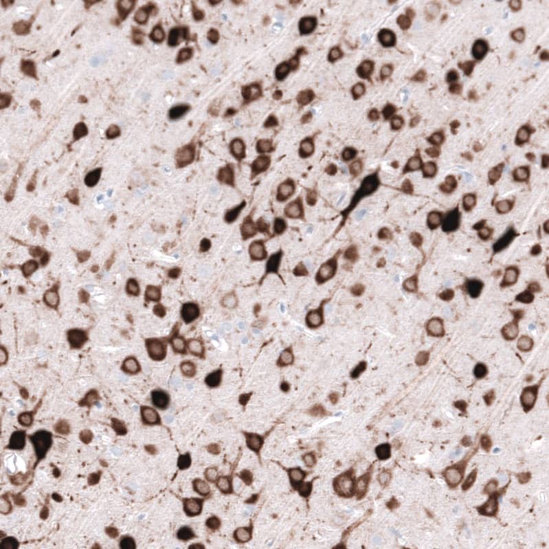
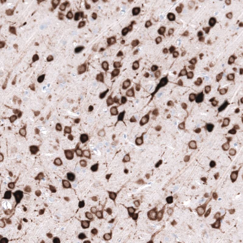
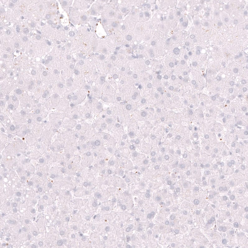
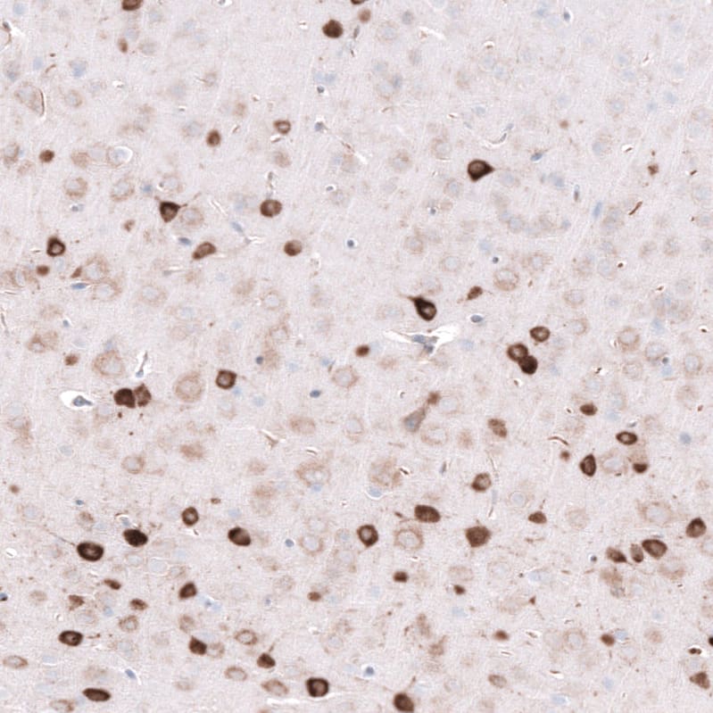
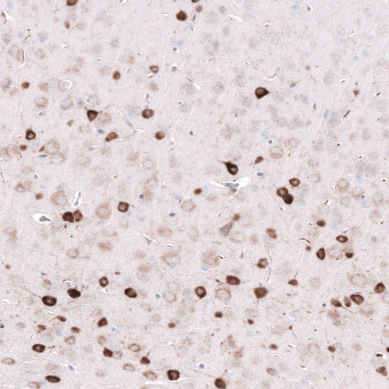
Orthogonal Strategies: Analysis in human cerebral cortex and liver tissues using NBP3-44322 antibody. Corresponding ELAVL2 RNA-seq data are presented for the same tissues.
Staining of human cerebellum shows strong cytoplasmic positivity in a subset of neurons in the granular layer.
Staining of human cerebral cortex shows strong cytoplasmic positivity in neurons.
Staining of human liver shows no positivity in hepatocytes as expected.
Staining of rat hippocampus shows strong cytoplasmic positivity in neurons in the dentate gyrus.
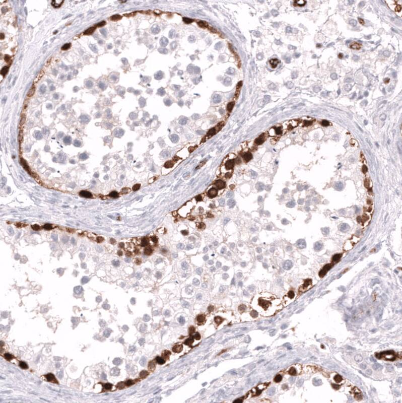
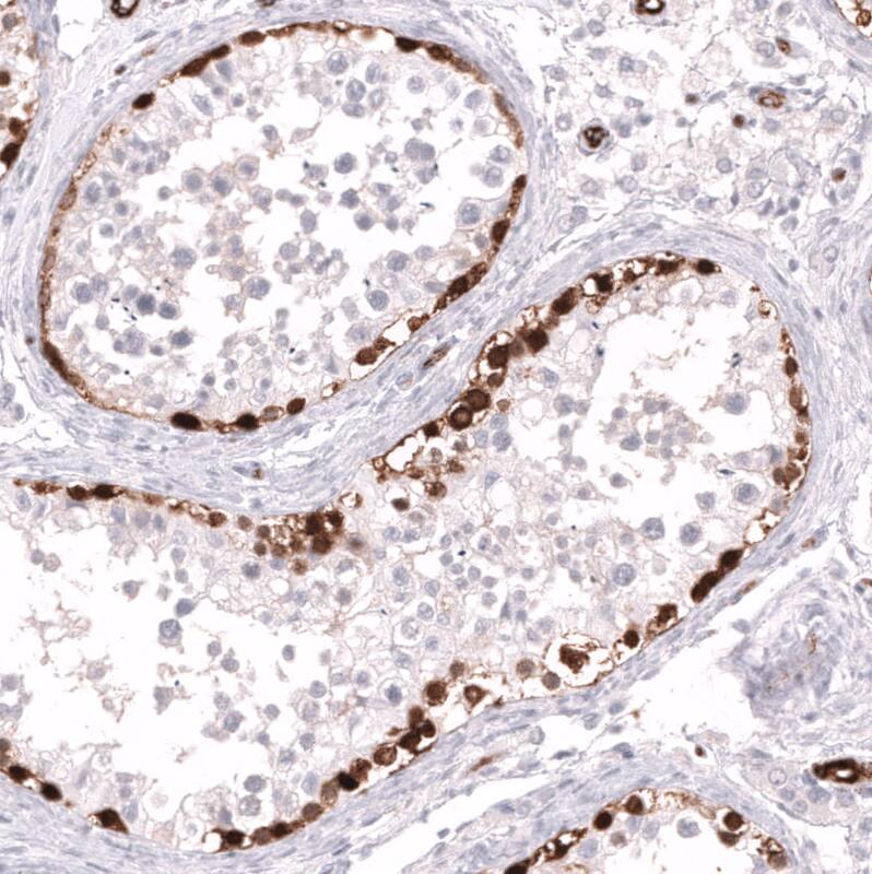
Staining of human testis shows strong cytoplasmic positivity in a subset of cells in seminiferous ducts.
Staining of mouse cerebral cortex shows strong cytoplasmic positivity in neurons.
Analysis in human cell line SCLC-21H.
Staining of rat cerebral cortex shows strong cytoplasmic positivity in neurons.

Product Details

Summary
Reactivity Hu, Mu, RtSpecies Glossary
Applications WB, IHC
Clone
CL15329
Clonality
Monoclonal
Host
Mouse
Conjugate
Unconjugated
Format
Azide and BSA Free
Concentration
LYOPH
Validated by:
       

Orthogonal Strategies

 

Order Details

ELAVL2 Antibody (CL15329) - Azide and BSA Free Summary

Description
Novus Biologicals Mouse ELAVL2 Antibody (CL15329) - Azide and BSA Free (NBP3-43662) is a monoclonal antibody validated for use in IHC and WB. All Novus Biologicals antibodies are covered by our 100% guarantee.
Immunogen
This antibody was generated using a synthetic peptide of Q12926, with the exact immunogen sequence remaining proprietary.
Isotype
IgG1
Clonality
Monoclonal
Host
Mouse
Gene
ELAVL2
Purity
Protein A purified
Innovator's Reward
Test in a species/application not listed above to receive a full credit towards a future purchase.

Applications/Dilutions

Dilutions
  • Immunohistochemistry-Paraffin 1:500-1:1000
  • Western Blot 1 ug/ml
Application Notes
For IHC-Paraffin, HIER pH 6 retrieval is recommended.

Packaging, Storage & Formulations

Storage
Store at 4C short term. Aliquot and store at -20C long term. Avoid freeze-thaw cycles.
Buffer
Lyophilized from a 0.2 um filtered solution in PBS with Trehalose
Preservative
No Preservative
Concentration
LYOPH
Purity
Protein A purified
Reconstitution Instructions
Centrifuge the vial of lyophilized antibody at 12,000 x g for 20 seconds. Reconstitute by adding sterile, distilled water to achieve a final antibody concentration of 1mg/ml.

Alternate Names for ELAVL2 Antibody (CL15329) - Azide and BSA Free

  • ELAV (embryonic lethal, abnormal vision, Drosophila)-like 2 (Hu antigen B)
  • ELAV-like neuronal protein 1
  • ELAV-like protein 2
  • HELN1
  • HEL-N1
  • Hu-antigen B
  • HuB
  • HUBELAV (embryonic lethal, abnormal vision, Drosophila)-like 2
  • Nervous system-specific RNA-binding protein Hel-N1

Background

Hu-antigen B (HuB), ELAV-like protein 2, ELAV-like neuronal protein 1, Nervous system-specific RNA binding protein Hel-N1 is a transcription factor belonging to the ELAV family of RNP proteins. It binds RNA and seems to recognize a GAAA motif and is neuronal specific.

Limitations

This product is for research use only and is not approved for use in humans or in clinical diagnosis. Primary Antibodies are guaranteed for 1 year from date of receipt.

Customers Who Viewed This Item Also Viewed...

H00001996-M01
Species: Hu, Mu, Rt
Applications: ELISA, ICC/IF, IHC,  IHC-P, KD, S-ELISA, WB
NBP3-13367
Species: Mu, Rt
Applications: ICC/IF, IHC, IHC-Fr,  IHC-P, WB
H00001994-M02
Species: Hu
Applications: ELISA, ICC/IF, IHC,  IHC-P, S-ELISA, WB
NB110-39113
Species: Hu, Mu, Rb, Rt
Applications: ChIP, ChIP, Flow-IC, Flow, ICC/IF, IHC, IHC-Fr,  IHC-P, In vitro, Simple Western, WB
NB600-302
Species: Bv, Dr, Hu, Mu
Applications: ChIP, ELISA, Flow-IC, Flow, IB, ICC/IF, IHC, IHC-Fr,  IHC-P, IP, PLA, S-ELISA, Simple Western, WB
NBP2-50037
Species: Hu, Mu, Rt
Applications: ICC/IF, IHC, KO, WB
MAB4375
Species: Hu, Mu, Rt
Applications: IHC
NB200-106
Species: Mu, Rt
Applications: ELISA, ICC/IF, IHC, IHC-Fr,  IHC-P, WB
NB200-109
Species: Hu, Mu
Applications: ChIP, ChIP, CyTOF-ready, Flow, GS, ICC/IF, IP, WB
AF4377
Species: Hu, Mu
Applications: ICC, Simple Western, WB
AF1230
Species: Hu, Mu, Rt
Applications: IHC, KO, WB
NB120-22711
Species: Hu, Mu
Applications: ELISA, Flow, ICC/IF, IHC, IHC-Fr,  IHC-P
DVE00
Species: Hu
Applications: ELISA
NBP2-45603
Species: Hu, Mu, Rt
Applications: Flow, IHC,  IHC-P, WB
NBP1-84022
Species: Hu
Applications: ICC/IF, IHC,  IHC-P, WB
NBP2-29463
Species: Pm, Hu, Pm, Mu
Applications: Flow, ICC/IF, IHC,  IHC-P, WB
NBP2-67471
Species: Hu, Mu, Rt
Applications: ICC/IF, IHC,  IHC-P, WB

Publications for ELAVL2 Antibody (NBP3-44322) (0)

There are no publications for ELAVL2 Antibody (NBP3-44322).
By submitting your publication information earn gift cards and discounts for future purchases.

Reviews for ELAVL2 Antibody (NBP3-44322) (0)

There are no reviews for ELAVL2 Antibody (NBP3-44322). By submitting a review you will receive an Amazon e-Gift Card or Novus Product Discount.
  • Review with no image -- $10/€7/£6/$10 CAD/¥70 Yuan/¥1110 Yen
  • Review with an image -- $25/€18/£15/$25 CAD/¥150 Yuan/¥2500 Yen

Product General Protocols

Find general support by application which include: protocols, troubleshooting, illustrated assays, videos and webinars.

Video Protocols

WB Video Protocol

FAQs for ELAVL2 Antibody (NBP3-44322) (0)

There are no specific FAQs related to this product. Read our general customer & technical service FAQs.

Secondary Antibodies

 

Isotype Controls

Additional ELAVL2 Products

Research Areas for ELAVL2 Antibody (NBP3-44322)

Find related products by research area.

Blogs on ELAVL2

There are no specific blogs for ELAVL2, but you can read our latest blog posts.

Customers Who Bought This Also Bought

Contact Information

Product PDFs

Calculators

Concentration Calculator

The concentration calculator allows you to quickly calculate the volume, mass or concentration of your vial. Simply enter your mass, volume, or concentration values for your reagent and the calculator will determine the rest.

=
÷

Review this Product

Be the first to review our ELAVL2 Antibody (CL15329) - Azide and BSA Free and receive a gift card or discount.

Bioinformatics

Gene Symbol ELAVL2