eIF5A Antibody (SC60-09)

Images

 
Western Blot: eIF5A Antibody (SC60-09) [NBP2-67591] - Western blot analysis of eIF5A on different lysates. Proteins were transferred to a PVDF membrane and blocked with 5% BSA in PBS for 1 hour at room temperature. The ...read more
Immunocytochemistry/ Immunofluorescence: eIF5A Antibody (SC60-09) [NBP2-67591] - Staining eIF5A in HepG2 cells (green). The nuclear counter stain is DAPI (blue). Cells were fixed in paraformaldehyde, permeabilised with ...read more
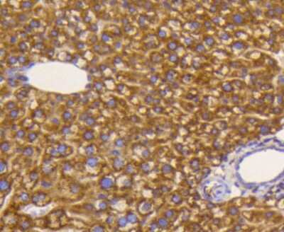
Immunohistochemistry-Paraffin: eIF5A Antibody (SC60-09) [NBP2-67591] - Analysis of paraffin-embedded mouse liver tissue using anti-eIF5A antibody. Counter stained with hematoxylin.
Flow Cytometry: eIF5A Antibody (SC60-09) [NBP2-67591] - Analysis of Jurkat cells with eIF5A antibody at 1/50 dilution (red) compared with an unlabelled control (cells without incubation with primary antibody; black). ...read more
Western Blot: eIF5A Antibody (SC60-09) [NBP2-67591] - Analysis of eIF5A on different lysates using anti-eIF5A antibody at 1/1,000 dilution. Positive control: Lane 1: Jurkat Lane 2: MCF-7
Immunocytochemistry/ Immunofluorescence: eIF5A Antibody (SC60-09) [NBP2-67591] - Staining eIF5A in Hela cells (green). The nuclear counter stain is DAPI (blue). Cells were fixed in paraformaldehyde, permeabilised with ...read more
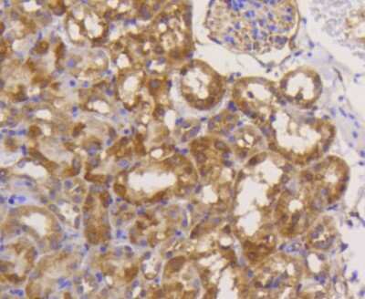
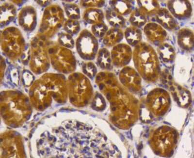
Immunohistochemistry-Paraffin: eIF5A Antibody (SC60-09) [NBP2-67591] - Analysis of paraffin-embedded human kidney tissue using anti-eIF5A antibody. Counter stained with hematoxylin.
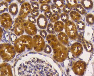
Immunohistochemistry-Paraffin: eIF5A Antibody (SC60-09) [NBP2-67591] - Analysis of paraffin-embedded mouse kidney tissue using anti-eIF5A antibody. Counter stained with hematoxylin.

Product Details

Summary
Product Discontinued
View other related eIF5A Primary Antibodies

Order Details


    • Catalog Number
      NBP2-67591
    • Availability
      Product Discontinued

    Can't find what you are looking for? Use our Antibody Concierge Service & we will help you locate your antibody!

    Or feel free to contact us for alternative products.

eIF5A Antibody (SC60-09) Summary

Additional Information
Recombinant Monoclonal Antibody.
Immunogen
Synthetic peptide within N-terminal human eIF5A (SwissProt: P63241 Human; SwissProt: P63242 Mouse; SwissProt: Q3T1J1 Rat)
Localization
Cytoplasm, Nucleus, Endoplasmic reticulum membrane.
Isotype
IgG
Clonality
Monoclonal
Host
Rabbit
Gene
EIF5A
Purity
Protein A purified
Innovator's Reward
Test in a species/application not listed above to receive a full credit towards a future purchase.

Applications/Dilutions

Dilutions
  • Flow Cytometry 1:50-1:100
  • Immunocytochemistry/ Immunofluorescence 1:100-1:500
  • Immunohistochemistry
  • Immunohistochemistry-Paraffin 1:50-1:200
  • Immunoprecipitation
  • Western Blot 1:500-1:2000

Packaging, Storage & Formulations

Storage
Store at 4C short term. Aliquot and store at -20C long term. Avoid freeze-thaw cycles.
Buffer
TBS (pH7.4), 0.05% BSA, 40% Glycerol
Preservative
0.05% Sodium Azide
Concentration
1 mg/ml
Purity
Protein A purified

Alternate Names for eIF5A Antibody (SC60-09)

  • eIF4D
  • eIF-4D
  • eIF5A
  • EIF-5A
  • EIF5A1
  • eIF-5A1
  • eIF-5A-1
  • eIF5AI
  • Eukaryotic initiation factor 5A isoform 1
  • eukaryotic initiation factor 5A
  • eukaryotic translation initiation factor 5A
  • eukaryotic translation initiation factor 5A-1
  • MGC104255
  • MGC99547
  • Rev-binding Factor

Background

The human eukaryotic translation initiation factor 5A (eIF5A) is an 18 kDa protein. eIF5A precursor [(ec-eIF-5A(lys)] is the only cellular protein known to contain a specific lysine residue which is transformed into the unique amino acid hypusine [N-(4-amino-2-hydroxybutyl)-lysine] by a series of post translational reactions. eIF5A promotes the formation of the first peptide bond during the initial stage of protein synthesis.

Limitations

This product is for research use only and is not approved for use in humans or in clinical diagnosis. Primary Antibodies are guaranteed for 1 year from date of receipt.

Customers Who Viewed This Item Also Viewed...

NBP1-82648
Species: Hu
Applications: ICC/IF, IHC,  IHC-P, WB
NBP1-91994
Species: Hu
Applications: IHC,  IHC-P, WB
NBP1-85943
Species: Hu, Mu, Rt
Applications: ICC/IF, IHC,  IHC-P, WB
NBP2-32887
Species: Hu, Mu, Rt
Applications: Flow, ICC/IF, IHC,  IHC-P, WB
NB200-103
Species: Hu, Mu, Rt, Xp(-), Ye
Applications: CyTOF-ready, ELISA, Flow-IC, Flow, ICC/IF, IHC, IHC-Fr,  IHC-P, IP, WB
NBP3-16866
Species: Hu, Mu, Rt
Applications: ICC/IF, IHC,  IHC-P, WB
236-EG
Species: Hu
Applications: BA
NBP2-16311
Species: Hu, Mu, Rt
Applications: IHC,  IHC-P, WB
NBP1-87094
Species: Hu
Applications: ICC/IF, IHC,  IHC-P
NB500-106
Species: Ch, Dr, Fi, Hu, Mar, Mu, Po, Pm, Rb, Rt, Ye, Ze
Applications: ChIP, ChIP, ELISA, Flow, ICC/IF, IHC-FrFl, IHC, IHC-Fr,  IHC-P, IP, Simple Western, WB
NBP1-86636
Species: Hu, Rt
Applications: ICC/IF, IHC,  IHC-P, WB
NBP2-61656
Species: Hu
Applications: ELISA, Flow, ICC/IF, IHC,  IHC-P, WB
NBP2-92880
Species: Hu, Mu, Rt
Applications: ICC/IF, IHC,  IHC-P, WB
NBP1-85808
Species: Hu, Mu, Rt
Applications: IHC,  IHC-P, WB
NBP1-83164
Species: Hu
Applications: IHC,  IHC-P, WB
NBP1-85393
Species: Hu
Applications: ICC/IF, IHC,  IHC-P

Publications for eIF5A Antibody (NBP2-67591) (0)

There are no publications for eIF5A Antibody (NBP2-67591).
By submitting your publication information earn gift cards and discounts for future purchases.

Reviews for eIF5A Antibody (NBP2-67591) (0)

There are no reviews for eIF5A Antibody (NBP2-67591). By submitting a review you will receive an Amazon e-Gift Card or Novus Product Discount.
  • Review with no image -- $10/€7/£6/$10 CAD/¥70 Yuan/¥1110 Yen
  • Review with an image -- $25/€18/£15/$25 CAD/¥150 Yuan/¥2500 Yen

Product General Protocols

Video Protocols

WB Video Protocol
ICC/IF Video Protocol

FAQs for eIF5A Antibody (NBP2-67591) (0)

There are no specific FAQs related to this product. Read our general customer & technical service FAQs.

Secondary Antibodies

 

Isotype Controls

Additional eIF5A Products

Research Areas for eIF5A Antibody (NBP2-67591)

Find related products by research area.

Blogs on eIF5A

There are no specific blogs for eIF5A, but you can read our latest blog posts.

Contact Information

Product PDFs

Calculators

Concentration Calculator

The concentration calculator allows you to quickly calculate the volume, mass or concentration of your vial. Simply enter your mass, volume, or concentration values for your reagent and the calculator will determine the rest.

=
÷

Review this Product

Be the first to review our eIF5A Antibody (SC60-09) and receive a gift card or discount.

Bioinformatics

Gene Symbol EIF5A