DNAJC7 Antibody - BSA Free

Images

 
Immunocytochemistry/ Immunofluorescence: DNAJC7 Antibody [NBP1-86920] - Immunofluorescent staining of human cell line U-251 MG shows localization to nucleoplasm & cytosol.
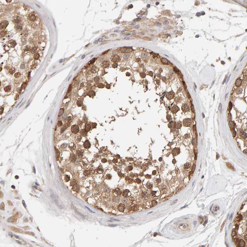
Staining of human testis shows strong cytoplasmic positivity in cells in seminiferous ducts.
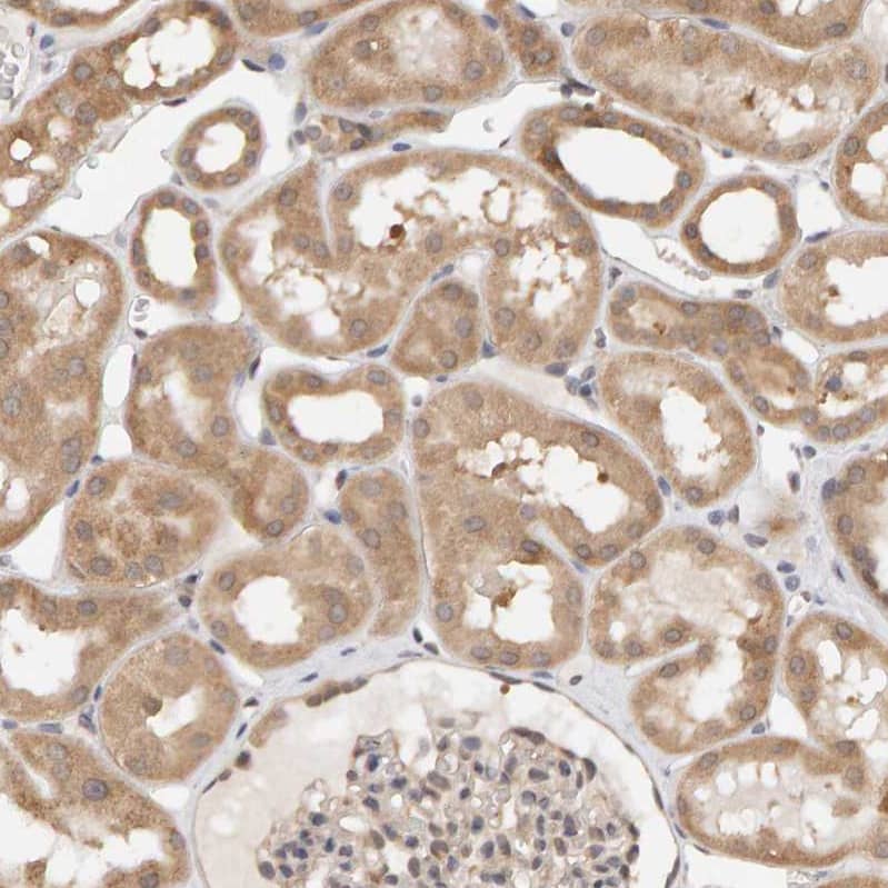
Staining of human kidney shows moderate cytoplasmic positivity in cells in tubules.
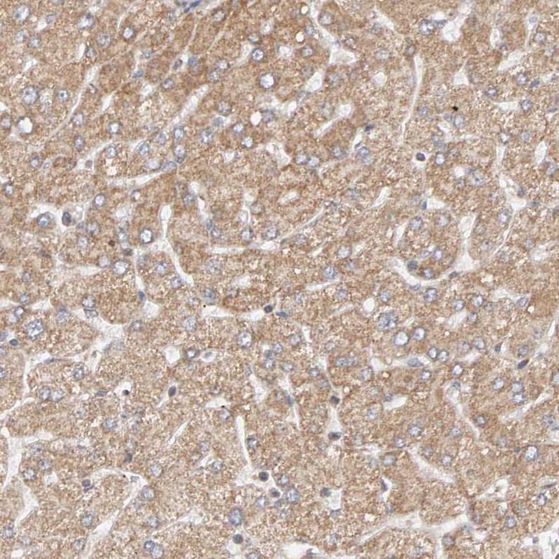
Staining of human liver shows moderate cytoplasmic positivity in hepatocytes.
Staining of human colon shows strong cytoplasmic positivity in glandular cells.
Analysis in human cell line HEK 293.

Product Details

Summary
Reactivity Hu, Mu, RtSpecies Glossary
Applications WB, ICC/IF, IHC
Clonality
Polyclonal
Host
Rabbit
Conjugate
Unconjugated
Format
BSA Free

Order Details

DNAJC7 Antibody - BSA Free Summary

Description
Novus Biologicals Rabbit DNAJC7 Antibody - BSA Free (NBP1-86920) is a polyclonal antibody validated for use in IHC, WB and ICC/IF. All Novus Biologicals antibodies are covered by our 100% guarantee.
Immunogen
This antibody was developed against Recombinant Protein corresponding to amino acids: ATLMMLGRFREALGDAQQSVRLDDSFVRGHLREGKCHLSLGNAMAACRSFQRALELDHKNAQAQQEFKNANAVME
Predicted Species
Mouse (100%), Rat (100%). Backed by our 100% Guarantee.
Isotype
IgG
Clonality
Polyclonal
Host
Rabbit
Gene
DNAJC7
Purity
Immunogen affinity purified
Innovator's Reward
Test in a species/application not listed above to receive a full credit towards a future purchase.

Applications/Dilutions

Dilutions
  • Immunocytochemistry/ Immunofluorescence 0.25-2 ug/ml
  • Immunohistochemistry 1:20 - 1:50
  • Immunohistochemistry-Paraffin 1:20 - 1:50
  • Western Blot 0.04-0.4 ug/ml
Application Notes
For IHC-Paraffin, HIER pH 6 retrieval is recommended. Immunocytochemistry/Immunofluorescence Fixation Permeabilization: Use PFA/Triton X-100.
Control Peptide
DNAJC7 Protein (NBP1-86920PEP)

Packaging, Storage & Formulations

Storage
Store at 4C short term. Aliquot and store at -20C long term. Avoid freeze-thaw cycles.
Buffer
PBS (pH 7.2) and 40% Glycerol
Preservative
0.02% Sodium Azide
Purity
Immunogen affinity purified

Alternate Names for DNAJC7 Antibody - BSA Free

  • DANJC7
  • DJ11
  • DnaJ (Hsp40) homolog, subfamily C, member 7
  • tetratricopeptide repeat domain 2
  • Tetratricopeptide repeat protein 2
  • TPR repeat protein 2
  • TPR2DJC7
  • TTC2dnaJ homolog subfamily C member 7

Background

DNAJC7 belongs to the evolutionarily conserved DNAJ/HSP40 family of proteins, which regulate molecular chaperone activity by stimulating ATPase activity. DNAJ proteins may have up to 3 distinct domains: a conserved 70-amino acid J domain, usually at the N terminus; a glycine/phenylalanine (G/F)-rich region; and a cysteine-rich domain containing 4 motifs resembling a zinc finger domain (Ohtsuka and Hata, 2000 [PubMed 11147971]).[supplied by OMIM]

Limitations

This product is for research use only and is not approved for use in humans or in clinical diagnosis. Primary Antibodies are guaranteed for 1 year from date of receipt.

Customers Who Viewed This Item Also Viewed...

NB100-2866
Species: Hu
Applications: ICC/IF, IP, KD, WB
NBP1-86921
Species: Hu
Applications: ICC/IF, IHC,  IHC-P, WB
NBP1-81696
Species: Hu, Mu, Rt
Applications: ICC/IF, IHC,  IHC-P, WB
NB120-2928
Species: Hu, Mu, Pm, Rb, Rt, Sh
Applications: ICC/IF, IHC,  IHC-P, IP, WB
NBP2-03433
Species: Ca, Hu, Mu, Rt
Applications: Flow, ICC/IF, IHC,  IHC-P, WB
H00010963-M01
Species: Hu, Mu
Applications: ELISA, ICC/IF, IHC,  IHC-P, IP, S-ELISA, WB
NBP2-02996
Species: Ca, Hu, Pm, Mu, Rt
Applications: Flow, ICC/IF, IHC,  IHC-P, WB
PP-H4417-00
Species: Hu
Applications: DirELISA, IP, WB
NBP1-97503
Species: Bv, Ca, Ch, Gp, Ha, Hu, Mu, Md, Po, Pm, Rb, Rt, Sh, Xp
Applications: IHC,  IHC-P, IP, WB
AF5415
Species: Hu
Applications: ICC, IHC, Simple Western, WB
H00010049-M01
Species: Hu
Applications: ELISA, ICC/IF (-), IHC, WB
NBP2-47427
Species: Ca, Hu
Applications: ICC/IF, IHC,  IHC-P, WB
NB300-731
Species: Gp, Hu, Mu, Rb, Rt, Sh, Ye
Applications: B/N, ChIP, Flow, GS, ICC/IF, IHC,  IHC-P, IP, WB
NB100-56098
Species: Ca, Hu, Mu, Rt
Applications: IHC,  IHC-P, IP, WB
NBP2-01020
Species: Hu, Mu
Applications: Flow, ICC/IF, IHC,  IHC-P, WB
M6000B
Species: Mu
Applications: ELISA
NB300-155
Species: Hu, Mu, Rt
Applications: ICC/IF, IHC, IHC-Fr,  IHC-P, WB
NBP1-31164
Species: Hu
Applications: ICC/IF, WB
NB120-13600
Species: Hu
Applications: ICC/IF, IHC,  IHC-P, IP, WB
NBP2-13266
Species: Hu
Applications: ICC/IF, IHC,  IHC-P

Publications for DNAJC7 Antibody (NBP1-86920) (0)

There are no publications for DNAJC7 Antibody (NBP1-86920).
By submitting your publication information earn gift cards and discounts for future purchases.

Reviews for DNAJC7 Antibody (NBP1-86920) (0)

There are no reviews for DNAJC7 Antibody (NBP1-86920). By submitting a review you will receive an Amazon e-Gift Card or Novus Product Discount.
  • Review with no image -- $10/€7/£6/$10 CAD/¥70 Yuan/¥1110 Yen
  • Review with an image -- $25/€18/£15/$25 CAD/¥150 Yuan/¥2500 Yen

Product General Protocols

Find general support by application which include: protocols, troubleshooting, illustrated assays, videos and webinars.

Video Protocols

WB Video Protocol
ICC/IF Video Protocol

FAQs for DNAJC7 Antibody (NBP1-86920) (0)

There are no specific FAQs related to this product. Read our general customer & technical service FAQs.

Customers Who Bought This Also Bought

Contact Information

Product PDFs

Calculators

Concentration Calculator

The concentration calculator allows you to quickly calculate the volume, mass or concentration of your vial. Simply enter your mass, volume, or concentration values for your reagent and the calculator will determine the rest.

=
÷

Review this Product

Be the first to review our DNAJC7 Antibody - BSA Free and receive a gift card or discount.

Bioinformatics

Gene Symbol DNAJC7