Cytokeratin 8 Antibody (C-43) - Azide and BSA Free

Images

 
Western Blot: Cytokeratin 8 Antibody (C-43) - Azide and BSA Free [NBP3-11481] - Western Blot analysis of HCT116 cell lysate using using Cytokeratin 8 antibody (C-43).
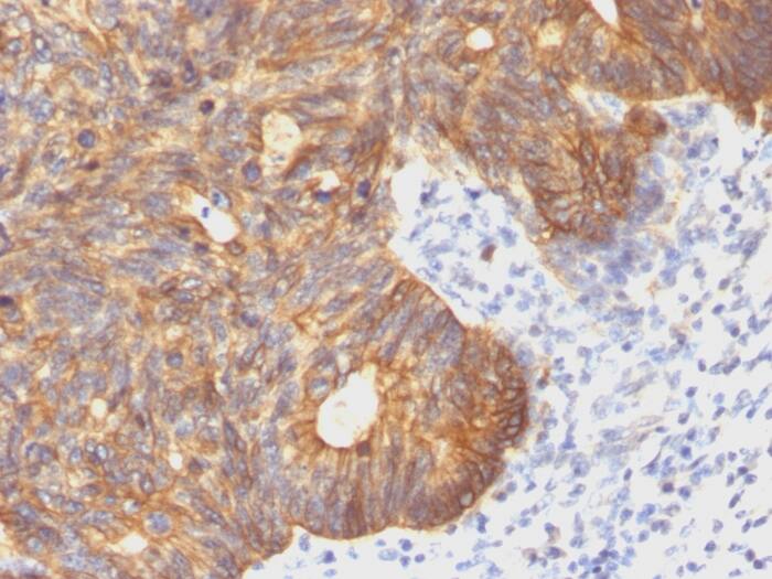
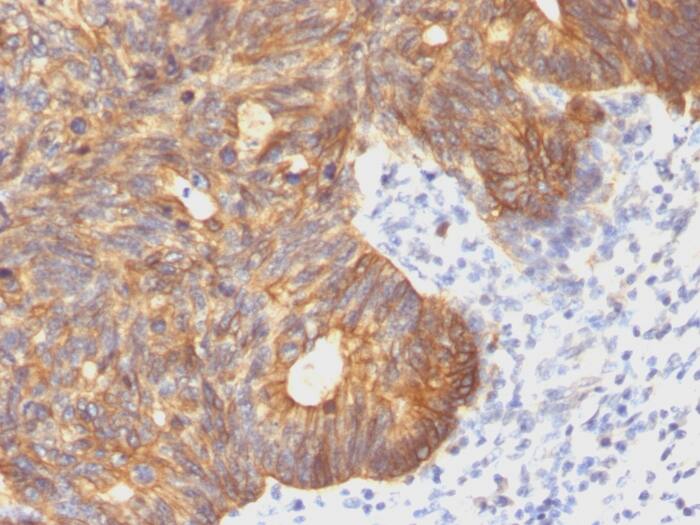
Formalin-fixed, paraffin-embedded human Colon Carcinoma stained with Cytokeratin 8 Antibody (C-43) - Azide and BSA Free.

Product Details

Summary
Reactivity Hu, Po, Bv, Rb, Sh, Ch(-), Mu(-), Rt(-), Xp(-)Species Glossary
Applications WB, ICC/IF, IHC, ICC/IF
Clone
C-43
Clonality
Monoclonal
Host
Mouse
Conjugate
Unconjugated
Format
Azide and BSA Free
Concentration
1 mg/ml

Order Details

Cytokeratin 8 Antibody (C-43) - Azide and BSA Free Summary

Description
1.0 mg/ml of antibody purified from Bioreactor Concentrate by Protein A/G. Prepared in 10mM PBS WITHOUT BSA & azide. Also available at 200 ug/ml WITH BSA & azide (NBP2-44938).

Antibody with azide - store at 2 to 8C. Antibody without azide - store at -20 to -80C.
Immunogen
Cytoskeletal preparation from HeLa cells
Localization
Cytoplasmic
Specificity
Cytokeratin 8 (CK8) belongs to the type II (or B or basic) subfamily of high molecular weight cytokeratins and exists in combination with cytokeratin 18 (CK18). CK8 is primarily found in the non-squamous epithelia and is present in majority of adenocarcinomas and ductal carcinomas. It is absent in squamous cell carcinomas. Hepatocellular carcinomas are defined by the use of antibodies that recognize only cytokeratin 8 and 18. CK8 exists on several types of normal and neoplastic epithelia, including many ductal and glandular epithelia such as colon, stomach, small intestine, trachea, and esophagus as well as in transitional epithelium. Anti-CK8 does not react with skeletal muscle or nerve cells. Epithelioid sarcoma, chordoma, and adamantinoma show strong positivity corresponding to that of simple epithelia (with antibodies against CK8, CK18 and CK19). Reportedly, anti-CK8 is useful for the differentiation of lobular ('ring-like, perinuclear') from ductal ('peripheral-predominant') carcinoma of the breast.
Isotype
IgG1 Kappa
Clonality
Monoclonal
Host
Mouse
Gene
KRT8
Purity
Protein A or G purified
Innovator's Reward
Test in a species/application not listed above to receive a full credit towards a future purchase.

Applications/Dilutions

Dilutions
  • Immunocytochemistry/ Immunofluorescence 1-2 ug/ml
  • Immunofluorescence 1 - 2 ug/ml
  • Immunohistochemistry
  • Immunohistochemistry-Paraffin 0.5 - 1.0 ug/ml
  • Western Blot
Application Notes
Immunohistochemistry (Formalin-fixed): 1-2ug/ml for 30 min at RT. Staining of formalin-fixed tissues requires heating tissue sections in 10mM Tris with 1mM EDTA, pH 9.0, for 45 min at 95C followed by cooling at RT for 20 minutes.
Optimal dilution for a specific application should be determined.
Theoretical MW
52.5 kDa.
Disclaimer note: The observed molecular weight of the protein may vary from the listed predicted molecular weight due to post translational modifications, post translation cleavages, relative charges, and other experimental factors.

Reactivity Notes

Does not react with Mouse, Rat, Chicken or Xenopus laevis.

Packaging, Storage & Formulations

Storage
Store at -20 to -80C. Avoid freeze-thaw cycles.
Buffer
10 mM PBS
Preservative
No Preservative
Concentration
1 mg/ml
Purity
Protein A or G purified

Alternate Names for Cytokeratin 8 Antibody (C-43) - Azide and BSA Free

  • CARD2
  • CK8
  • CK-8
  • CYK8
  • Cytokeratin 8
  • Cytokeratin-8
  • EndoA
  • K2C8
  • K8
  • keratin 8
  • keratin, type II cytoskeletal 8
  • keratin-8
  • KO
  • KRT8
  • Type-II keratin Kb8

Background

Cytokeratins are a subfamily of intermediate filaments and characterized by remarkable biochemical diversity. Cytokeratins are represented in epithelial tissues by at least 20 different polypeptides, molecular weight between 40 kDa and 68 kDa. The individual cytokeratin polypeptides are designated 1 to 20 and divided into the type I (acidic cytokeratins 9-20) and type II (basic to neutral cytokeratins 1-8) families.

Limitations

This product is for research use only and is not approved for use in humans or in clinical diagnosis. Primary Antibodies are guaranteed for 1 year from date of receipt.

Customers Who Viewed This Item Also Viewed...

MAB7619
Species: Hu
Applications: ICC, IHC, Simple Western, WB
NB100-687
Species: Hu, Mu, Rt
Applications: Flow, ICC/IF, IHC,  IHC-P, Simple Western, WB
NB300-223
Species: Bv, Ca, Ch, Eq, Hu, Mu, Po, Rt
Applications: ICC/IF, IHC, IHC-Fr,  IHC-P, WB
NBP2-47940
Species: Hu
Applications: CyTOF-ready, Flow, ICC/IF, IF, IHC,  IHC-P, Simple Western, WB
NBP2-34270
Species: Hu, Mu, Rt
Applications: Flow, ICC/IF, IHC, IHC-Fr,  IHC-P, Simple Western
NBP2-61931
Species: Hu, Rt
Applications: Flow, ICC/IF, IHC,  IHC-P, WB
NBP1-85632
Species: Hu
Applications: ICC/IF, IHC,  IHC-P
NBP1-85630
Species: Hu
Applications: IHC,  IHC-P, WB
NBP2-67309
Species: Hu, Rt
Applications: Flow, ICC/IF, IHC,  IHC-P, IP, WB
NBP2-61736
Species: Hu, Pm, Mu, Rt
Applications: ELISA, Flow, IHC,  IHC-P, WB
NBP3-15261
Species: Hu, Mu, Rt
Applications: ICC/IF, IHC,  IHC-P, WB
AF3844
Species: Hu, Mu
Applications: IHC
NBP2-29429
Species: Bv, Ca, Ch, Hu, Pm, Mu, Rb, Rt, Re, Ze
Applications: COMET, CyTOF-reported, Dual ISH-IHC, Flow-IC, Flow, ICC/IF, IHC, IHC-Fr,  IHC-P, mIF, Single-Cell Western, WB
MAB1455
Species: Hu
Applications: CyTOF-ready, Dual ISH-IHC, ICC, IHC, ICFlow, Simple Western, WB
NB120-22711
Species: Hu, Mu
Applications: ELISA, Flow, ICC/IF, IHC, IHC-Fr,  IHC-P
MAB1368
Species: Hu, Mu
Applications: CyTOF-ready, ICC, ICFlow, KO, Simple Western, WB
NB200-103
Species: Hu, Mu, Rt, Xp(-), Ye
Applications: CyTOF-ready, ELISA, Flow-IC, Flow, ICC/IF, IHC, IHC-Fr,  IHC-P, IP, WB
NBP3-11481
Species: Hu, Po, Bv, Rb, Sh, Ch(-), Mu(-), Rt(-), Xp(-)
Applications: WB, ICC/IF, IHC, ICC/IF

Publications for Cytokeratin 8 Antibody (NBP3-11481) (0)

There are no publications for Cytokeratin 8 Antibody (NBP3-11481).
By submitting your publication information earn gift cards and discounts for future purchases.

Reviews for Cytokeratin 8 Antibody (NBP3-11481) (0)

There are no reviews for Cytokeratin 8 Antibody (NBP3-11481). By submitting a review you will receive an Amazon e-Gift Card or Novus Product Discount.
  • Review with no image -- $10/€7/£6/$10 CAD/¥70 Yuan/¥1110 Yen
  • Review with an image -- $25/€18/£15/$25 CAD/¥150 Yuan/¥2500 Yen

Product General Protocols

Find general support by application which include: protocols, troubleshooting, illustrated assays, videos and webinars.

Video Protocols

WB Video Protocol
ICC/IF Video Protocol

FAQs for Cytokeratin 8 Antibody (NBP3-11481) (0)

There are no specific FAQs related to this product. Read our general customer & technical service FAQs.

Secondary Antibodies

 

Isotype Controls

Additional Cytokeratin 8 Products

Research Areas for Cytokeratin 8 Antibody (NBP3-11481)

Find related products by research area.

Blogs on Cytokeratin 8.

Cytokeratin 18 - A Intermediate Filament Cyotskeletal Component
Keratins, also called cytokeratins, are a family of filamentous structural proteins that form the intermediate filaments within epithelial cells. Keratins are differentially expressed depending on both the epithelial cell origin and degree of differen...  Read full blog post.

Customers Who Bought This Also Bought

Contact Information

Product PDFs

Calculators

Concentration Calculator

The concentration calculator allows you to quickly calculate the volume, mass or concentration of your vial. Simply enter your mass, volume, or concentration values for your reagent and the calculator will determine the rest.

=
÷

Review this Product

Be the first to review our Cytokeratin 8 Antibody (C-43) - Azide and BSA Free and receive a gift card or discount.

Bioinformatics

Gene Symbol KRT8