Cytokeratin 7 Antibody (CL8725) - Azide and BSA Free

Images

 
Staining of human breast cancer shows strong cytoplasmic positivity in tumor cells.
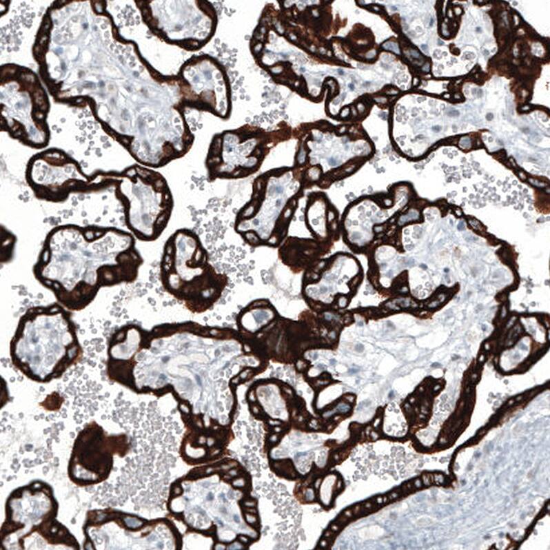
Orthogonal Strategies: Analysis in human placenta and skeletal muscle tissues using NBP3-44036 antibody. Corresponding Cytokeratin 7 RNA-seq data are presented for the same tissues.
Staining of human placenta shows strong cytoplasmic positivity in trophoblastic cells.
Staining of human prostate shows strong cytoplasmic positivity in glandular cells.
Staining of human skeletal muscle shows no positivity in myocytes as expected.
Analysis in human cell line RT-4.

Product Details

Summary
Reactivity HuSpecies Glossary
Applications WB, IHC
Clone
CL8725
Clonality
Monoclonal
Host
Mouse
Conjugate
Unconjugated
Format
Azide and BSA Free
Concentration
LYOPH
Validated by:
       

Orthogonal Strategies

 

Order Details

Cytokeratin 7 Antibody (CL8725) - Azide and BSA Free Summary

Description
Novus Biologicals Mouse Cytokeratin 7 Antibody (CL8725) - Azide and BSA Free (NBP2-88919) is a monoclonal antibody validated for use in IHC and WB. All Novus Biologicals antibodies are covered by our 100% guarantee.
Immunogen
This antibody was generated using a recombinant protein sequence of P08729, with the exact immunogen sequence remaining proprietary.
Isotype
IgG1
Clonality
Monoclonal
Host
Mouse
Gene
KRT7
Purity
Protein A purified
Innovator's Reward
Test in a species/application not listed above to receive a full credit towards a future purchase.

Applications/Dilutions

Dilutions
  • Immunohistochemistry-Paraffin 1:500 - 1:1000
  • Western Blot 1 ug/ml
Application Notes
For IHC-Paraffin, HIER pH 6 retrieval is recommended.

Packaging, Storage & Formulations

Storage
Store at 4C short term. Aliquot and store at -20C long term. Avoid freeze-thaw cycles.
Buffer
Lyophilized from a 0.2 um filtered solution in PBS with Trehalose
Preservative
No Preservative
Concentration
LYOPH
Purity
Protein A purified
Reconstitution Instructions
Centrifuge the vial of lyophilized antibody at 12,000 x g for 20 seconds. Reconstitute by adding sterile, distilled water to achieve a final antibody concentration of 1mg/ml.

Alternate Names for Cytokeratin 7 Antibody (CL8725) - Azide and BSA Free

  • CK7
  • CK-7
  • Cytokeratin 7
  • cytokeratin-7
  • K2C7
  • K7
  • K7keratin, 55K type II cytoskeletal
  • keratin 7
  • keratin, type II cytoskeletal 7
  • keratin-7
  • MGC129731
  • MGC3625
  • sarcolectin
  • SCLkeratin, simple epithelial type I, K7
  • type II mesothelial keratin K7
  • Type-II keratin Kb7

Limitations

This product is for research use only and is not approved for use in humans or in clinical diagnosis. Primary Antibodies are guaranteed for 1 year from date of receipt.

Customers Who Viewed This Item Also Viewed...

NBP2-67309
Species: Hu, Rt
Applications: Flow, ICC/IF, IHC,  IHC-P, IP, WB
NB100-687
Species: Hu, Mu, Rt
Applications: Flow, ICC/IF, IHC,  IHC-P, Simple Western, WB
NB300-223
Species: Bv, Ca, Ch, Eq, Hu, Mu, Po, Rt
Applications: ICC/IF, IHC, IHC-Fr,  IHC-P, WB
NB120-22711
Species: Hu, Mu
Applications: ELISA, Flow, ICC/IF, IHC, IHC-Fr,  IHC-P
NBP1-85630
Species: Hu
Applications: IHC,  IHC-P, WB
NBP1-85632
Species: Hu
Applications: ICC/IF, IHC,  IHC-P
NBP2-01488
Species: Hu, Mu, Rt
Applications: Flow, ICC/IF, IHC,  IHC-P, WB
NBP2-44501
Species: Hu, Mu, Rt
Applications: Flow, ICC/IF, IF, IHC,  IHC-P
NBP2-16094
Species: Hu, Mu, Ze
Applications: ICC/IF, IHC-WhMt, IHC,  IHC-P, KO, WB
AF1126
Species: Mu
Applications: ELISA(Cap), ELISA(Det), ELISA(Sta), IHC, IP, WB
NBP2-34594
Species: Hu, Pm
Applications: CyTOF-ready, Flow, ICC/IF, IHC,  IHC-P
AF4478
Species: Hu
Applications: IHC, WB
NBP3-41306
Species: Hu, Mu, Rt
Applications: WB
NBP2-34270
Species: Hu, Mu, Rt
Applications: Flow, ICC/IF, IHC, IHC-Fr,  IHC-P, Simple Western
NBP3-27122
Species: Hu
Applications: ELISA, Flow, ICC/IF, IHC,  IHC-P, WB
NBP1-47492
Species: Pm, Hu
Applications: ChIP, ELISA, ICC/IF, IHC,  IHC-P, WB
NB200-103
Species: Hu, Mu, Rt, Xp(-), Ye
Applications: CyTOF-ready, ELISA, Flow-IC, Flow, ICC/IF, IHC, IHC-Fr,  IHC-P, IP, WB
NBP1-84854
Species: Hu, Mu, Rt
Applications: ICC/IF, IHC,  IHC-P, KD, WB
NBP2-61931
Species: Hu, Rt
Applications: Flow, ICC/IF, IHC,  IHC-P, WB
NBP3-44036
Species: Hu
Applications: WB, IHC

Publications for Cytokeratin 7 Antibody (NBP3-44036) (0)

There are no publications for Cytokeratin 7 Antibody (NBP3-44036).
By submitting your publication information earn gift cards and discounts for future purchases.

Reviews for Cytokeratin 7 Antibody (NBP3-44036) (0)

There are no reviews for Cytokeratin 7 Antibody (NBP3-44036). By submitting a review you will receive an Amazon e-Gift Card or Novus Product Discount.
  • Review with no image -- $10/€7/£6/$10 CAD/¥70 Yuan/¥1110 Yen
  • Review with an image -- $25/€18/£15/$25 CAD/¥150 Yuan/¥2500 Yen

Product General Protocols

Find general support by application which include: protocols, troubleshooting, illustrated assays, videos and webinars.

Video Protocols

WB Video Protocol

FAQs for Cytokeratin 7 Antibody (NBP3-44036) (0)

There are no specific FAQs related to this product. Read our general customer & technical service FAQs.

Secondary Antibodies

 

Isotype Controls

Additional Cytokeratin 7 Products

Research Areas for Cytokeratin 7 Antibody (NBP3-44036)

Find related products by research area.

Blogs on Cytokeratin 7

There are no specific blogs for Cytokeratin 7, but you can read our latest blog posts.

Customers Who Bought This Also Bought

Contact Information

Product PDFs

Calculators

Concentration Calculator

The concentration calculator allows you to quickly calculate the volume, mass or concentration of your vial. Simply enter your mass, volume, or concentration values for your reagent and the calculator will determine the rest.

=
÷

Review this Product

Be the first to review our Cytokeratin 7 Antibody (CL8725) - Azide and BSA Free and receive a gift card or discount.

Bioinformatics

Gene Symbol KRT7