Cytochrome P450 2A6 Antibody

Images

 
Orthogonal Strategies: Immunohistochemistry-Paraffin: Cytochrome P450 2A6 Antibody [NBP2-33485] - Analysis in human liver and skeletal muscle tissues using NBP2-33485 antibody. Corresponding Cytochrome P450 2A6 ...read more
Immunohistochemistry-Paraffin: Cytochrome P450 2A6 Antibody [NBP2-33485] - Staining of human skeletal muscle shows no positivity in myocytes as expected.
Immunohistochemistry-Paraffin: Cytochrome P450 2A6 Antibody [NBP2-33485] - Staining of human liver shows strong ctyoplasmic positivity in hepatocytes.
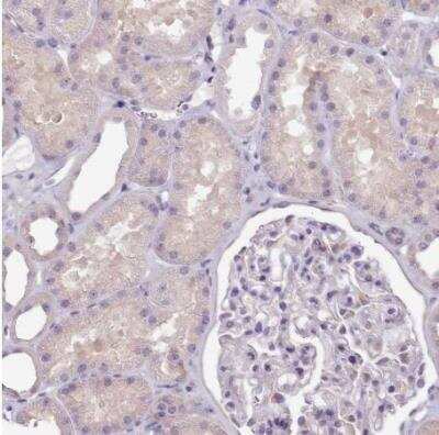
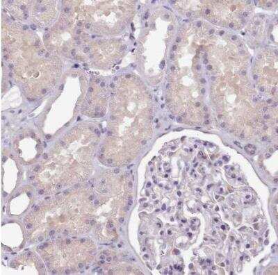
Immunohistochemistry-Paraffin: Cytochrome P450 2A6 Antibody [NBP2-33485] - Staining of human kidney shows ver weak cytoplasmic positivity in cells in tubules as expected.
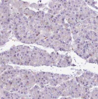
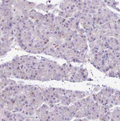
Immunohistochemistry-Paraffin: Cytochrome P450 2A6 Antibody [NBP2-33485] - Staining of human pancreas shows no positivity in exocrine glandular cells as expected.
Simple Western: Cytochrome P450 2A6 Antibody [NBP2-33485] - Lane view shows a specific band for Cytochrome P450 2A6 in Liver lysate using 20 ug/mL. Electropherogram image of corresponding Simple Western lane view at WES ...read more

Product Details

Summary
Product Discontinued
View other related Cytochrome P450 2A6 Primary Antibodies
Validated by:
       

Orthogonal Strategies

 

Order Details


    • Catalog Number
      NBP2-33485
    • Availability
      Product Discontinued

    Can't find what you are looking for? Use our Antibody Concierge Service & we will help you locate your antibody!

    Or feel free to contact us for alternative products.

Cytochrome P450 2A6 Antibody Summary

Immunogen
This antibody was developed against a recombinant protein corresponding to amino acids: QEEAGFLIDALRGTGGANIDPTFFLSR
Isotype
IgG
Clonality
Polyclonal
Host
Rabbit
Gene
CYP2A6
Purity
Immunogen affinity purified
Innovator's Reward
Test in a species/application not listed above to receive a full credit towards a future purchase.

Applications/Dilutions

Dilutions
  • Immunohistochemistry 1:200 - 1:500
  • Immunohistochemistry-Paraffin 1:200 - 1:500
  • Simple Western 1:25
Application Notes
For IHC-Paraffin, HIER pH 6 retrieval is recommended. See Simple Western Antibody Database for Simple Western validation: tested in liver lysates; separated by size; antibody dilution of 1:25; Apparent MW in kDa on Simple Western was ~55 kDa

Packaging, Storage & Formulations

Storage
Store at 4C short term. Aliquot and store at -20C long term. Avoid freeze-thaw cycles.
Buffer
PBS (pH 7.2) and 40% Glycerol
Preservative
0.02% Sodium Azide
Purity
Immunogen affinity purified

Alternate Names for Cytochrome P450 2A6 Antibody

  • Coumarin 7-hydroxylase
  • CPA6
  • CYP2A3P450C2A
  • CYP2AEC 1.14.14.1
  • CYPIIA6
  • cytochrome P450 2A6
  • Cytochrome P450 IIA3
  • Cytochrome P450(I)
  • cytochrome P450, family 2, subfamily A, polypeptide 6
  • cytochrome P450, subfamily IIA (phenobarbital-inducible), polypeptide 6
  • flavoprotein-linked monooxygenase
  • P450PB
  • xenobiotic monooxygenase

Limitations

This product is for research use only and is not approved for use in humans or in clinical diagnosis. Primary Antibodies are guaranteed for 1 year from date of receipt.

Customers Who Viewed This Item Also Viewed...

NBP2-37502
Species: Hu
Applications: CyTOF-ready, ELISA, Flow, ICC/IF, IHC,  IHC-P, WB
NBP1-85367
Species: Hu, Mu, Rt
Applications: ICC/IF, IHC,  IHC-P, WB
NBP2-02563
Species: Hu
Applications: Flow, ICC/IF, IHC,  IHC-P, WB
NBP2-01397
Species: Hu
Applications: Flow, ICC/IF, IHC,  IHC-P, WB
NBP2-01800
Species: Ca, Hu, Pm, Mu, Rt
Applications: Flow, ICC/IF, IHC,  IHC-P, WB
NBP1-91818
Species: Hu
Applications: IHC,  IHC-P, WB
NBP3-10546
Species: Hu
Applications: WB
NB100-74398
Species: Hu, Mu, Pm, Rt
Applications: ICC/IF, IHC,  IHC-P, WB
NBP1-88054
Species: Hu
Applications: IHC,  IHC-P, WB
NBP1-62400
Species: Hu
Applications: WB
NBP1-68885
Species: Hu
Applications: IHC, WB
NBP2-92808
Species: Hu, Mu, Rt
Applications: WB
H00001556-P01
Species: Hu
Applications: ELISA, AP, PA, PAGE, WB
NBP2-24722
Species: Hu
Applications: IHC,  IHC-P, In vitro, WB
H00004595-M01
Species: Hu, Mu
Applications: ELISA, ICC/IF, IHC,  IHC-P, IP, KD, WB
H00001549-P01
Species: Hu
Applications: ELISA, AP, PA, WB
NBP3-16735
Species: Hu, Mu, Rt
Applications: ELISA, ICC/IF, IHC,  IHC-P, WB
NBP1-88927
Species: Hu, Mu
Applications: ICC/IF, IHC,  IHC-P
NBP1-33751
Species: Hu
Applications: IHC,  IHC-P, WB
NBP2-33485
Species: Hu
Applications: Simple Western, IHC

Publications for Cytochrome P450 2A6 Antibody (NBP2-33485) (0)

There are no publications for Cytochrome P450 2A6 Antibody (NBP2-33485).
By submitting your publication information earn gift cards and discounts for future purchases.

Reviews for Cytochrome P450 2A6 Antibody (NBP2-33485) (0)

There are no reviews for Cytochrome P450 2A6 Antibody (NBP2-33485). By submitting a review you will receive an Amazon e-Gift Card or Novus Product Discount.
  • Review with no image -- $10/€7/£6/$10 CAD/¥70 Yuan/¥1110 Yen
  • Review with an image -- $25/€18/£15/$25 CAD/¥150 Yuan/¥2500 Yen

Product General Protocols

Find general support by application which include: protocols, troubleshooting, illustrated assays, videos and webinars.

FAQs for Cytochrome P450 2A6 Antibody (NBP2-33485) (0)

There are no specific FAQs related to this product. Read our general customer & technical service FAQs.

Secondary Antibodies

 

Isotype Controls

Additional Cytochrome P450 2A6 Products

Research Areas for Cytochrome P450 2A6 Antibody (NBP2-33485)

Find related products by research area.

Blogs on Cytochrome P450 2A6

There are no specific blogs for Cytochrome P450 2A6, but you can read our latest blog posts.

Contact Information

Product PDFs

Calculators

Concentration Calculator

The concentration calculator allows you to quickly calculate the volume, mass or concentration of your vial. Simply enter your mass, volume, or concentration values for your reagent and the calculator will determine the rest.

=
÷

Review this Product

Be the first to review our Cytochrome P450 2A6 Antibody and receive a gift card or discount.

Bioinformatics

Gene Symbol CYP2A6
Uniprot