Cysteinyl Leukotriene R2/CysLTR2 Antibody Summary
| Immunogen |
Synthetic 15 amino acid peptide from 2nd extracellular domain of human Cysteinyl Leukotriene R2/CysLTR2. |
| Localization |
Integral membrane protein. |
| Specificity |
Human CYSLTR2 / CYSLT2. BLAST analysis of the peptide immunogen showed no homology with other human proteins, except TLR4 (47%). |
| Predicted Species |
Primate (100%). Backed by our 100% Guarantee. |
| Isotype |
IgG |
| Clonality |
Polyclonal |
| Host |
Rabbit |
| Gene |
CYSLTR2 |
| Purity |
Immunogen affinity purified |
| Innovator's Reward |
Test in a species/application not listed above to receive a full credit towards a future purchase. |
Applications/Dilutions
| Dilutions |
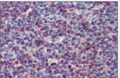
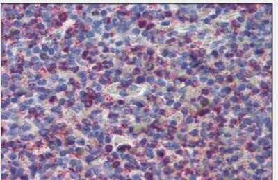
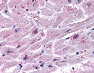
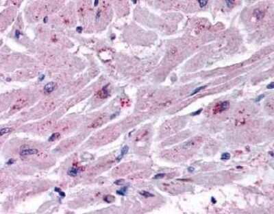
- Immunohistochemistry
- Immunohistochemistry-Paraffin 4 - 36 ug/ml
|
Reactivity Notes
Predicted cross-reactivity based on sequence identity: Gorilla (100%), Gibbon (100%), Monkey (87%), Marmoset (87%).
Packaging, Storage & Formulations
| Storage |
Store at 4C short term. Aliquot and store at -20C long term. Avoid freeze-thaw cycles. |
| Buffer |
PBS |
| Preservative |
0.1% Sodium Azide |
| Concentration |
1.0 mg/ml |
| Purity |
Immunogen affinity purified |
Alternate Names for Cysteinyl Leukotriene R2/CysLTR2 Antibody
Background
Cysteinyl leukotriene receptor 2 (CysLT2) is a Chemoattractant Receptor that binds neutrophil chemoattractants such as cysteinyl leukotrienes. These ligands have potent proinflammatory activity and are implicated in many features of asthma including edema, bronchial constriction, and hyperreactivity (Bisgaard et al., 2000). Activation of cysteinyl leukotriene receptor 2 induces cell contraction and/or relaxation. CysLT2 expression has been reported in adrenal medulla, blood, brain, heart, kidney, lung, lymph node, ovary, placenta, prostate, pulmonary artery and vein, small intestine, and spleen. ESTs have been isolated from human kidney and liver/spleen libraries.
Limitations
This product is for research use only and is not approved for use in humans or in clinical diagnosis. Primary Antibodies are
guaranteed for 1 year from date of receipt.
Customers Who Viewed This Item Also Viewed...
Species: Hu
Applications: IHC, IHC-P, WB
Species: Hu, Mu
Applications: ICC/IF, KD, Simple Western, WB
Species: Hu
Applications: BA
Species: Hu, Mu
Applications: ICC/IF, KD, Simple Western, WB
Species: Hu, Mu
Applications: Flow-IC, Flow, IHC, IHC-P, IP, WB
Species: Hu
Applications: BA
Species: Mu
Applications: ELISA
Species: Hu
Applications: WB
Species: Hu
Applications: BA
Species: Hu
Applications: ELISA, ICC/IF, IHC, IHC-P
Species: Mu
Applications: ELISA
Species: Hu, Pm
Applications: Flow, IHC, IHC-P, WB
Species: Hu, Mu, Rt
Applications: IHC, KO, WB
Species: Hu, Mu, Rt
Applications: Flow, ICC/IF, IHC, IHC-P, PEP-ELISA
Species: Hu
Applications: WB
Species: Ch, Mu
Applications: ELISA, IHC, Single-Cell Western, WB
Species: Hu, Mu, Rt
Applications: ELISA, ICC/IF, WB
Species: Hu, Pm
Applications: IHC
Publications for Cysteinyl Leukotriene R2/CysLTR2 Antibody (NLS3305) (0)
There are no publications for Cysteinyl Leukotriene R2/CysLTR2 Antibody (NLS3305).
By submitting your publication information earn gift cards and discounts for future purchases.
Reviews for Cysteinyl Leukotriene R2/CysLTR2 Antibody (NLS3305) (0)
There are no reviews for Cysteinyl Leukotriene R2/CysLTR2 Antibody (NLS3305).
By submitting a review you will receive an Amazon e-Gift Card or Novus Product Discount.
- Review with no image -- $10/€7/£6/$10 CAD/¥70 Yuan/¥1110 Yen
- Review with an image -- $25/€18/£15/$25 CAD/¥150 Yuan/¥2500 Yen
Product General Protocols
View specific protocols for Cysteinyl Leukotriene R2/CysLTR2 Antibody (NLS3305):
Find general support by application which include: protocols, troubleshooting, illustrated assays, videos and webinars.
FAQs for Cysteinyl Leukotriene R2/CysLTR2 Antibody (NLS3305) (0)
Secondary Antibodies
| |
Isotype Controls
|
Additional Cysteinyl Leukotriene R2/CysLTR2 Products
Research Areas for Cysteinyl Leukotriene R2/CysLTR2 Antibody (NLS3305)
Find related products by research area.
|
Blogs on Cysteinyl Leukotriene R2/CysLTR2