Cyclin B2 Antibody (SD2045)

Images

 
Western Blot: Cyclin B2 Antibody (SD2045) [NBP2-67749] - Western blot analysis of Cyclin B2 on different lysates. Proteins were transferred to a PVDF membrane and blocked with 5% BSA in PBS for 1 hour at room ...read more
Immunocytochemistry/ Immunofluorescence: Cyclin B2 Antibody (SD2045) [NBP2-67749] - Staining Cyclin B2 in PC-12 cells (green). The nuclear counter stain is DAPI (blue). Cells were fixed in paraformaldehyde, ...read more
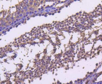
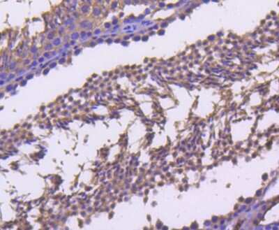
Immunohistochemistry-Paraffin: Cyclin B2 Antibody (SD2045) [NBP2-67749] - Analysis of paraffin-embedded mouse testis tissue using anti-Cyclin B2 antibody. Counter stained with hematoxylin.
Western Blot: Cyclin B2 Antibody (SD2045) [NBP2-67749] - Analysis of Cyclin B2 on different lysates using anti-Cyclin B2 antibody at 1/1,000 dilution. Positive control: Lane 1: Hela Lane 2: K562
Immunocytochemistry/ Immunofluorescence: Cyclin B2 Antibody (SD2045) [NBP2-67749] - Staining Cyclin B2 in Hela cells (green). The nuclear counter stain is DAPI (blue). Cells were fixed in paraformaldehyde, permeabilised ...read more
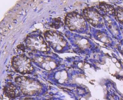
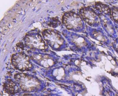
Immunohistochemistry-Paraffin: Cyclin B2 Antibody (SD2045) [NBP2-67749] - Analysis of paraffin-embedded mouse colon tissue using anti-Cyclin B2 antibody. Counter stained with hematoxylin.

Product Details

Summary
Product Discontinued
View other related Cyclin B2 Primary Antibodies

Order Details


    • Catalog Number
      NBP2-67749
    • Availability
      Product Discontinued

    Can't find what you are looking for? Use our Antibody Concierge Service & we will help you locate your antibody!

    Or feel free to contact us for alternative products.

Cyclin B2 Antibody (SD2045) Summary

Additional Information
Recombinant Monoclonal Antibody.
Immunogen
Recombinant protein within Human Cyclin B2 aa 1-102 / 398. (SwissProt: O95067 Human; SwissProt: P30276 Mouse; Entrez Gene:363088 Rat)
Localization
Centrosome, microtubule cytoskeleton, cytosol, nucleus, cyclin-dependent protein kinase holoenzyme complex, cytoplasm, host cell nucleus, membrane.
Isotype
IgG
Clonality
Monoclonal
Host
Rabbit
Gene
CCNB2
Purity
Protein A purified
Innovator's Reward
Test in a species/application not listed above to receive a full credit towards a future purchase.

Applications/Dilutions

Dilutions
  • Immunocytochemistry/ Immunofluorescence 1:50-1:200
  • Immunohistochemistry
  • Immunohistochemistry-Paraffin 1:50-1:200
  • Immunoprecipitation
  • Western Blot 1:500-1:1000

Packaging, Storage & Formulations

Storage
Store at 4C short term. Aliquot and store at -20C long term. Avoid freeze-thaw cycles.
Buffer
TBS (pH7.4), 0.05% BSA, 40% Glycerol
Preservative
0.05% Sodium Azide
Concentration
1 mg/ml
Purity
Protein A purified

Alternate Names for Cyclin B2 Antibody (SD2045)

  • CCNB2
  • Cyclin B2
  • G2/mitotic-specific cyclin-B2
  • HsT17299

Limitations

This product is for research use only and is not approved for use in humans or in clinical diagnosis. Primary Antibodies are guaranteed for 1 year from date of receipt.

Customers Who Viewed This Item Also Viewed...

AF6000
Species: Hu, Mu
Applications: IHC, Simple Western, WB
NBP1-85729
Species: Hu, Mu, Rt
Applications: ICC/IF, IHC,  IHC-P, WB
NBP2-33466
Species: Hu
Applications: ICC/IF, IHC,  IHC-P, WB
MAB32652
Species: Hu
Applications: CyTOF-ready, ELISA, Flow, KO
MAB4459
Species: Hu, Mu, Rt
Applications: WB
NBP1-31330
Species: Hu, Pm, Mu, Rt
Applications: ICC/IF, IHC,  IHC-P, IP, WB
NB500-106
Species: Ch, Dr, Fi, Hu, Mar, Mu, Po, Pm, Rb, Rt, Ye, Ze
Applications: ChIP, ChIP, ELISA, Flow, ICC/IF, IHC-FrFl, IHC, IHC-Fr,  IHC-P, IP, Simple Western, WB
NBP2-00776
Species: Ca, Hu, Pm, Mu, Rt
Applications: Flow, ICC/IF, IHC,  IHC-P, WB
NBP2-29463
Species: Pm, Hu, Pm, Mu
Applications: Flow, ICC/IF, IHC,  IHC-P, WB
NBP2-47525
Species: Hu
Applications: IHC,  IHC-P, WB
NBP1-86241
Species: Hu
Applications: IHC,  IHC-P, WB
NB200-103
Species: Hu, Mu, Rt, Xp(-), Ye
Applications: CyTOF-ready, ELISA, Flow-IC, Flow, ICC/IF, IHC, IHC-Fr,  IHC-P, IP, WB
NBP2-45184
Species: Hu, Mu, Rt
Applications: Flow, ICC/IF, IHC,  IHC-P, WB
MAB7046
Species: Hu
Applications: IHC, WB
NBP2-14243
Species: Hu, Mu
Applications: ICC/IF, IHC,  IHC-P, Simple Western, WB
NBP2-32840
Species: Hu, Pm, Mu, Rt
Applications: Flow, ICC/IF, IHC,  IHC-P, WB
NB100-59828
Species: Hu, Mu
Applications: IHC,  IHC-P, IP, WB
AF1555
Species: Hu
Applications: WB
NB500-171
Species: Hu, I, Mu, Rt, Xp, Ye
Applications: ChIP, IB, ICC/IF, IHC,  IHC-P, Single-Cell Western, WB
NBP2-46085
Species: Hu
Applications: IHC,  IHC-P, WB

Publications for Cyclin B2 Antibody (NBP2-67749) (0)

There are no publications for Cyclin B2 Antibody (NBP2-67749).
By submitting your publication information earn gift cards and discounts for future purchases.

Reviews for Cyclin B2 Antibody (NBP2-67749) (0)

There are no reviews for Cyclin B2 Antibody (NBP2-67749). By submitting a review you will receive an Amazon e-Gift Card or Novus Product Discount.
  • Review with no image -- $10/€7/£6/$10 CAD/¥70 Yuan/¥1110 Yen
  • Review with an image -- $25/€18/£15/$25 CAD/¥150 Yuan/¥2500 Yen

Product General Protocols

Find general support by application which include: protocols, troubleshooting, illustrated assays, videos and webinars.

Video Protocols

WB Video Protocol
ICC/IF Video Protocol

FAQs for Cyclin B2 Antibody (NBP2-67749) (0)

There are no specific FAQs related to this product. Read our general customer & technical service FAQs.

Secondary Antibodies

 

Isotype Controls

Additional Cyclin B2 Products

Research Areas for Cyclin B2 Antibody (NBP2-67749)

Find related products by research area.

Blogs on Cyclin B2

There are no specific blogs for Cyclin B2, but you can read our latest blog posts.

Contact Information

Product PDFs

Calculators

Concentration Calculator

The concentration calculator allows you to quickly calculate the volume, mass or concentration of your vial. Simply enter your mass, volume, or concentration values for your reagent and the calculator will determine the rest.

=
÷

Review this Product

Be the first to review our Cyclin B2 Antibody (SD2045) and receive a gift card or discount.

Bioinformatics

Gene Symbol CCNB2