COX4 Antibody (CL3497) - Azide and BSA Free

Images

 
Staining of human fallopian tube shows strong cytoplasmic positivity in epithelial cells.
Staining of human kidney shows strong cytoplasmic positivity in renal tubules and glomerulus cells.
Staining of human liver shows strong cytoplasmic positivity in hepatocytes.
Staining of human prostate shows strong cytoplasmic immunoreactivity in epithelial cells.
Genetic Strategies: Analysis in U-251MG cells transfected with control siRNA, target specific siRNA probe #1 and #2, using Anti-COX4 antibody. Remaining relative intensity is presented. Loading control: ...read more
Staining of human stomach shows strong cytoplasmic immunoreactivity in glandular epithelium cells.
Staining of MCF7 cells using the Anti-COX4 monoclonal antibody) .
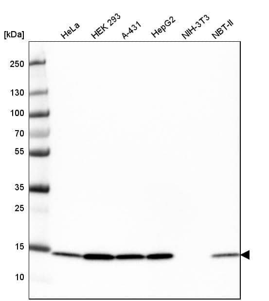
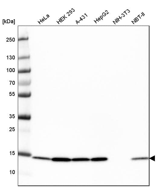
Analysis in human cell line HeLa, human cell line HEK 293, human cell line A-431, human cell line HepG2, mouse cell line NIH-3T3 and rat cell line NBT-II.

Product Details

Summary
Reactivity Hu, Mu, RtSpecies Glossary
Applications WB, ICC/IF, IHC
Clone
CL3497
Clonality
Monoclonal
Host
Mouse
Conjugate
Unconjugated
Format
Azide and BSA Free
Concentration
LYOPH
Validated by:
     

Genetic Strategies

   

Order Details

COX4 Antibody (CL3497) - Azide and BSA Free Summary

Description
Novus Biologicals Mouse COX4 Antibody (CL3497) - Azide and BSA Free (NBP2-78718) is a monoclonal antibody validated for use in IHC, WB and ICC/IF. All Novus Biologicals antibodies are covered by our 100% guarantee.
Immunogen
This antibody was generated using a recombinant protein sequence of P13073, with the exact immunogen sequence remaining proprietary.
Isotype
IgG1
Clonality
Monoclonal
Host
Mouse
Gene
COX4I1
Purity
Protein A purified
Innovator's Reward
Test in a species/application not listed above to receive a full credit towards a future purchase.

Applications/Dilutions

Dilutions
  • Immunocytochemistry/ Immunofluorescence 2-10 ug/ml
  • Immunohistochemistry-Paraffin 1:5000 - 1:10000
  • Western Blot 1 ug/ml
Application Notes
For IHC-Paraffin, HIER pH 6 retrieval is recommended. For Immunocytochemistry/ Immunofluorescence/IF, PFA/Triton X-100 is recommended for fixation/permeabilization.

Packaging, Storage & Formulations

Storage
Store at 4C short term. Aliquot and store at -20C long term. Avoid freeze-thaw cycles.
Buffer
Lyophilized from a 0.2 um filtered solution in PBS with Trehalose
Preservative
No Preservative
Concentration
LYOPH
Purity
Protein A purified
Reconstitution Instructions
Centrifuge the vial of lyophilized antibody at 12,000 x g for 20 seconds. Reconstitute by adding sterile, distilled water to achieve a final antibody concentration of 1mg/ml.

Alternate Names for COX4 Antibody (CL3497) - Azide and BSA Free

  • COX IV-1
  • COX4
  • COX4-1
  • COX4COXIV
  • COX4I2
  • Cytochrome c oxidase polypeptide IV
  • cytochrome c oxidase subunit 4 isoform 1, mitochondrial
  • cytochrome c oxidase subunit IV isoform 1cytochrome c oxidase subunit IV
  • MGC72016

Background

COX IV (cytochrome c oxidase subunit IV isoform 1) plays a pivotal role in respiratory function and assembly of the enzyme complex. This protein is known to have interactions with MT-CO2, MCL1, TMBIM4, MT-CO1 and TH1L. COX IV has been studied in relation to anemia, Huntington's disease, Alzheimer's disease, neuronitis, pancreatitis and several other diseases and disorders.

Limitations

This product is for research use only and is not approved for use in humans or in clinical diagnosis. Primary Antibodies are guaranteed for 1 year from date of receipt.

Customers Who Viewed This Item Also Viewed...

NBP1-32550
Species: Hu, Mu, Ze
Applications: ICC/IF, IHC,  IHC-P, Simple Western, WB
NB100-56503
Species: Dr, Hu, Mu, Rb, Rt
Applications: Flow-CS, Flow-IC, Flow, IB, ICC/IF, IHC,  IHC-P, Simple Western, WB
NBP3-47534
Species: Hu, Mu
Applications: ELISA, IHC, WB
NBP2-59438
Species: Hu
Applications: ELISA, ICC/IF, WB
NBP1-89125
Species: Hu, Mu
Applications: ChIP-EXO-SEQ, ICC/IF, IHC,  IHC-P, KD, WB
NBP1-71648
Species: Hu, Mu(-)
Applications: ICC/IF, IHC,  IHC-P, Simple Western, WB
H00084701-M01
Species: Bv, Hu, Mu, Rt
Applications: ELISA, IB, IHC,  IHC-P, IP, WB
NBP1-85500
Species: Hu, Mu
Applications: ICC/IF, IHC,  IHC-P, Simple Western, WB
NBP2-43648
Species: Hu, Mu, Rt, Ze
Applications: ICC/IF, IHC,  IHC-P, WB
NB100-689
Species: Hu, Rt
Applications: IHC, IHC-Fr,  IHC-P, Simple Western, WB
NBP1-04676
Species: Gt, Ha, Hu, Mu, Po, Rt, Sh, Sq
Applications: ChIP, ChIP, Flow-IC, Flow, ICC/IF, IHC, IHC-Fr,  IHC-P, IP, KD, KO, Simple Western, WB
NBP2-92927
Species: Hu, Mu, Rt
Applications: ELISA, ICC/IF, IHC,  IHC-P, IP, WB
NBP2-93792
Species: Hu, Mu, Rt
Applications: ICC/IF, IHC,  IHC-P, WB
MAB1417
Species: Bv, Hu, Mu
Applications: ICC, IHC
NB600-232
Species: Hu, Mu
Applications: ChIP, IHC,  IHC-P, IP, WB
NBP1-49533
Species: Hu, Mu, Pl, Rt
Applications: Flow-IC, Flow, ICC/IF, IHC,  IHC-P, KD, WB
NBP1-77397
Species: Hu, Mu
Applications: Flow, IB, ICC/IF, IHC,  IHC-P, KD, Simple Western, WB
NBP3-43962
Species: Hu, Mu, Rt
Applications: WB, ICC/IF, IHC

Publications for COX4 Antibody (NBP3-43962) (0)

There are no publications for COX4 Antibody (NBP3-43962).
By submitting your publication information earn gift cards and discounts for future purchases.

Reviews for COX4 Antibody (NBP3-43962) (0)

There are no reviews for COX4 Antibody (NBP3-43962). By submitting a review you will receive an Amazon e-Gift Card or Novus Product Discount.
  • Review with no image -- $10/€7/£6/$10 CAD/¥70 Yuan/¥1110 Yen
  • Review with an image -- $25/€18/£15/$25 CAD/¥150 Yuan/¥2500 Yen

Product General Protocols

Find general support by application which include: protocols, troubleshooting, illustrated assays, videos and webinars.

Video Protocols

WB Video Protocol
ICC/IF Video Protocol

FAQs for COX4 Antibody (NBP3-43962) (0)

There are no specific FAQs related to this product. Read our general customer & technical service FAQs.

Secondary Antibodies

 

Isotype Controls

Additional COX4 Products

Research Areas for COX4 Antibody (NBP3-43962)

Find related products by research area.

Blogs on COX4.

The Importance of the COX IV Antibody to Apoptosis Research
COX IV isoform 1 is a nuclear-encoded polypeptide chain of the Cytochrome C Oxidase enzyme, located on the mitochondrial inner membrane. Owing to its widespread distribution in human and mammalian tissues, COX IV antibodies are widely used as loading ...  Read full blog post.

Customers Who Bought This Also Bought

Contact Information

Product PDFs

Calculators

Concentration Calculator

The concentration calculator allows you to quickly calculate the volume, mass or concentration of your vial. Simply enter your mass, volume, or concentration values for your reagent and the calculator will determine the rest.

=
÷

Review this Product

Be the first to review our COX4 Antibody (CL3497) - Azide and BSA Free and receive a gift card or discount.

Bioinformatics

Gene Symbol COX4I1