COX11 Antibody - BSA Free

Images

 
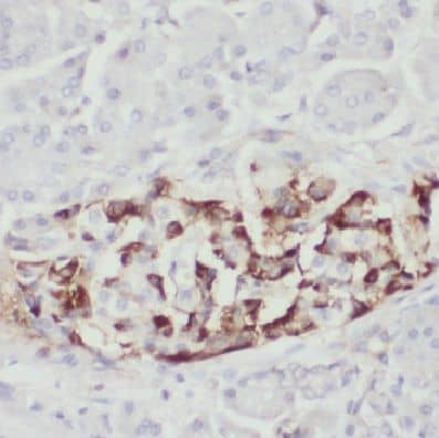
Immunohistochemistry: COX11 Antibody - BSA Free [NBP3-47544] - Immunohistochemistry of paraffin-embedded human pancreas cancer using (COX11 antibody) at dilution of 1:50
Western Blot: COX11 Antibody - BSA Free [NBP3-47544] - Mouse liver tissue were subjected to SDS PAGE followed by western blot with (COX11 antibody) at dilution of 1:3000

Product Details

Summary
Reactivity Hu, Mu, RtSpecies Glossary
Applications WB, ELISA, IHC
Clonality
Polyclonal
Host
Rabbit
Conjugate
Unconjugated
Format
BSA Free

Order Details

COX11 Antibody - BSA Free Summary

Description
Novus Biologicals Rabbit COX11 Antibody - BSA Free (NBP3-47544) is a polyclonal antibody validated for use in IHC, WB and ELISA. All Novus Biologicals antibodies are covered by our 100% guarantee.
Immunogen
COX11 homolog, cytochrome c oxidase assembly protein(yeast). (Uniprot# Q9Y6N1)
Isotype
IgG
Clonality
Polyclonal
Host
Rabbit
Gene
COX11
Purity
Immunogen affinity purified
Innovator's Reward
Test in a species/application not listed above to receive a full credit towards a future purchase.

Applications/Dilutions

Dilutions
  • ELISA
  • Immunohistochemistry 1:20-1:200
  • Western Blot 1:500-1:2000
Theoretical MW
31 kDa.
Disclaimer note: The observed molecular weight of the protein may vary from the listed predicted molecular weight due to post translational modifications, post translation cleavages, relative charges, and other experimental factors.

Packaging, Storage & Formulations

Storage
Store at -20C. Avoid freeze-thaw cycles.
Buffer
PBS, 50% Glycerol, pH (7.3)
Preservative
0.02% Sodium Azide
Purity
Immunogen affinity purified

Alternate Names for COX11 Antibody - BSA Free

  • COX11 (yeast) homolog, cytochrome c oxidase assembly protein
  • COX11 cytochrome c oxidase assembly homolog (yeast)
  • COX11 homolog, cytochrome c oxidase assembly protein
  • COX11P
  • cytochrome c oxidase assembly protein COX11, mitochondrial
  • cytochrome c oxidase subunit 11

Limitations

This product is for research use only and is not approved for use in humans or in clinical diagnosis. Primary Antibodies are guaranteed for 1 year from date of receipt.

Customers Who Viewed This Item Also Viewed...

NB100-56503
Species: Dr, Hu, Mu, Rb, Rt
Applications: Flow-CS, Flow-IC, Flow, IB, ICC/IF, IHC,  IHC-P, Simple Western, WB
NBP1-87073
Species: Hu
Applications: IHC,  IHC-P, WB
NBP2-99469
Species: Hu
Applications:  IHC-P, IP, WB
NBP1-77274
Species: Hu
Applications: ELISA, ICC/IF, IHC,  IHC-P, WB
NBP2-59438
Species: Hu
Applications: ELISA, ICC/IF, WB
NBP1-86322
Species: Hu
Applications: ICC/IF, IHC,  IHC-P, WB
NBP3-47534
Species: Hu, Mu
Applications: ELISA, IHC, WB
NBP1-32550
Species: Hu, Mu, Ze
Applications: ICC/IF, IHC,  IHC-P, Simple Western, WB
NBP2-45165
Species: Ch, Hu
Applications: ELISA, ICC/IF, IHC,  IHC-P, PA, WB
NBP1-87850
Species: Hu
Applications: IHC,  IHC-P
H00002263-M01
Species: Bv, Hu
Applications: ELISA, ICC/IF, IHC,  IHC-P, S-ELISA, WB
NBP3-35454
Species: Hu, Mu, Rt
Applications: ELISA, ICC/IF, IHC,  IHC-P, WB
NBP1-74048
Species: Hu, Mu
Applications: ELISA, IHC,  IHC-P, IP, WB
NBP2-24915
Species: Bv, Hu, Mu, Rt
Applications: IHC,  IHC-P, WB
NBP3-35253
Species: Hu, Mu, Rt
Applications: ELISA, ICC/IF, IHC,  IHC-P, IP, WB
NBP1-89663
Species: Hu
Applications: ICC/IF, IHC,  IHC-P
NBP1-85500
Species: Hu, Mu
Applications: ICC/IF, IHC,  IHC-P, Simple Western, WB
NBP2-59376
Species: Hu, Mu, Rt
Applications: ICC/IF, IHC,  IHC-P, IP, WB
NBP3-02962
Species: Hu, Mu, Rt
Applications: ICC/IF, IHC,  IHC-P, WB
NB120-2938
Species: Bv, Hu, Mu
Applications: IHC,  IHC-P, WB

Publications for COX11 Antibody (NBP3-47544) (0)

There are no publications for COX11 Antibody (NBP3-47544).
By submitting your publication information earn gift cards and discounts for future purchases.

Reviews for COX11 Antibody (NBP3-47544) (0)

There are no reviews for COX11 Antibody (NBP3-47544). By submitting a review you will receive an Amazon e-Gift Card or Novus Product Discount.
  • Review with no image -- $10/€7/£6/$10 CAD/¥70 Yuan/¥1110 Yen
  • Review with an image -- $25/€18/£15/$25 CAD/¥150 Yuan/¥2500 Yen

Product General Protocols

Find general support by application which include: protocols, troubleshooting, illustrated assays, videos and webinars.

Video Protocols

WB Video Protocol

FAQs for COX11 Antibody (NBP3-47544) (0)

There are no specific FAQs related to this product. Read our general customer & technical service FAQs.

Secondary Antibodies

 

Isotype Controls

Additional COX11 Products

Research Areas for COX11 Antibody (NBP3-47544)

Find related products by research area.

Blogs on COX11

There are no specific blogs for COX11, but you can read our latest blog posts.

Customers Who Bought This Also Bought

Contact Information

Product PDFs

Calculators

Concentration Calculator

The concentration calculator allows you to quickly calculate the volume, mass or concentration of your vial. Simply enter your mass, volume, or concentration values for your reagent and the calculator will determine the rest.

=
÷

Review this Product

Be the first to review our COX11 Antibody - BSA Free and receive a gift card or discount.

Bioinformatics

Gene Symbol COX11