Cortactin Antibody (SC61-08)

Images

 
Western Blot: Cortactin Antibody (SC61-08) [NBP2-67632] - Western blot analysis of Cortactin on different lysates. Proteins were transferred to a PVDF membrane and blocked with 5% BSA in PBS for 1 hour at room ...read more
Immunocytochemistry/ Immunofluorescence: Cortactin Antibody (SC61-08) [NBP2-67632] - Staining Cortactin in PC-3M cells (green). The nuclear counter stain is DAPI (blue). Cells were fixed in paraformaldehyde, ...read more
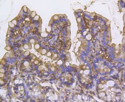
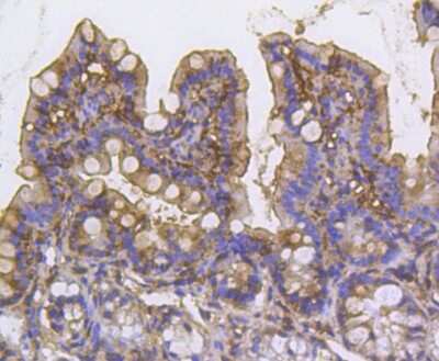
Immunohistochemistry-Paraffin: Cortactin Antibody (SC61-08) [NBP2-67632] - Analysis of paraffin-embedded mouse colon tissue using anti-Cortactin antibody. Counter stained with hematoxylin.
Flow Cytometry: Cortactin Antibody (SC61-08) [NBP2-67632] - Analysis of Hela cells with Cortactin antibody at 1/50 dilution (red) compared with an unlabelled control (cells without incubation with primary antibody; ...read more
Western Blot: Cortactin Antibody (SC61-08) [NBP2-67632] - Analysis of Cortactin on different lysates using anti-Cortactin antibody at 1/1,000 dilution. Positive control: Lane 1: Hela Lane 2: NIH/3T3 Lane 3: A431
Immunocytochemistry/ Immunofluorescence: Cortactin Antibody (SC61-08) [NBP2-67632] - Staining Cortactin in A431 cells (green). The nuclear counter stain is DAPI (blue). Cells were fixed in paraformaldehyde, ...read more
Immunocytochemistry/ Immunofluorescence: Cortactin Antibody (SC61-08) [NBP2-67632] - Staining Cortactin in Hela cells (green). The nuclear counter stain is DAPI (blue). Cells were fixed in paraformaldehyde, ...read more
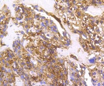
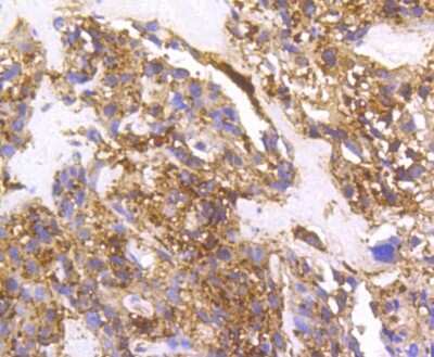
Immunohistochemistry-Paraffin: Cortactin Antibody (SC61-08) [NBP2-67632] - Analysis of paraffin-embedded human breast carcinoma tissue using anti-Cortactin antibody. Counter stained with hematoxylin.
Immunohistochemistry-Paraffin: Cortactin Antibody (SC61-08) [NBP2-67632] - Analysis of paraffin-embedded human tonsil tissue using anti-Cortactin antibody. Counter stained with hematoxylin.

Product Details

Summary
Product Discontinued
View other related Cortactin Primary Antibodies

Order Details


    • Catalog Number
      NBP2-67632
    • Availability
      Product Discontinued

    Can't find what you are looking for? Use our Antibody Concierge Service & we will help you locate your antibody!

    Or feel free to contact us for alternative products.

Cortactin Antibody (SC61-08) Summary

Additional Information
Recombinant Monoclonal Antibody.
Immunogen
Synthetic peptide within Human Cortactin aa 34-67 / 550. (SwissProt: Q14247 Human; SwissProt: Q60598 Mouse; Unigene:107869 Rat)
Localization
Cytoplasm, Cell projection, Membrane.
Isotype
IgG
Clonality
Monoclonal
Host
Rabbit
Gene
CTTN
Purity
Protein A purified
Innovator's Reward
Test in a species/application not listed above to receive a full credit towards a future purchase.

Applications/Dilutions

Dilutions
  • Flow Cytometry 1:50-1:100
  • Immunocytochemistry/ Immunofluorescence 1:100-1:500
  • Immunohistochemistry
  • Immunohistochemistry-Paraffin 1:50-1:200
  • Immunoprecipitation
  • Western Blot 1:500-1:5000

Packaging, Storage & Formulations

Storage
Store at 4C short term. Aliquot and store at -20C long term. Avoid freeze-thaw cycles.
Buffer
TBS (pH7.4), 0.05% BSA, 40% Glycerol
Preservative
0.05% Sodium Azide
Concentration
1 mg/ml
Purity
Protein A purified

Alternate Names for Cortactin Antibody (SC61-08)

  • 1110020L01Rik
  • Amplaxin
  • Cortactin
  • CTTN
  • ems1 sequence (mammary tumor and squamous cell carcinoma-associated (p80/85 srcsubstrate)
  • EMS1
  • EMS1amplaxin
  • FLJ34459
  • Oncogene EMS1
  • src substrate cortactin

Background

Immunocytochemistry reveals that in epithelial cells, the human cortactin protein is localized mainly in the cytoplasm and, to a very low extent, in protruding leading lamellae of the cell. However, in carcinoma cells that constitutively overexpress cortactin accumulates in the podosome-like adherens junctions associated with the cell-substratum contact sites. Overexpression and concomitant accumulation of the Cortactin protein in the cell-substratum contact sites might, therefore, contribute to the invasive potential of these tumor cells (1). In cells derived from breast carcinomas and squamous carcinomas of the head and neck, DNA amplification of a particular tyrosine kinase substrate region results in overexpression of cortactin. Overexpression is accompanied by a partial redistribution of cortactin from the cytoplasm into cell-matrix contact sites (2).

Limitations

This product is for research use only and is not approved for use in humans or in clinical diagnosis. Primary Antibodies are guaranteed for 1 year from date of receipt.

Customers Who Viewed This Item Also Viewed...

AF2685
Species: Hu
Applications: IHC, Simple Western, WB
H00010097-M01
Species: Hu
Applications: ELISA, IHC,  IHC-P, S-ELISA, WB
NBP2-32840
Species: Hu, Pm, Mu, Rt
Applications: Flow, ICC/IF, IHC,  IHC-P, WB
AF1444
Species: Mu
Applications: IHC, WB
NBP1-30955
Species: Hu, Mu
Applications: ICC/IF, IHC,  IHC-P, WB
NBP3-16424
Species: Hu, Mu, Rt
Applications: ICC/IF, IHC,  IHC-P, WB
MAB4467
Species: Hu
Applications: IHC, KO, Simple Western, WB
AF231
Species: Hu
Applications: CyTOF-ready, Dual ISH-IHC, ELISA(Cap), ELISA(Det), ELISA(Sta), Flow, ICC, IHC, IP, Simple Western, WB
NBP1-82512
Species: Hu, Mu, Rt
Applications: ICC/IF, IHC,  IHC-P, KD, Simple Western, WB
1206-F3
Species: Hu
Applications: BA
AF887
Species: Hu, Mu, Rt
Applications: CyTOF-ready, IHC, ICFlow, Simple Western, WB
NB300-996
Species: Hu
Applications: Flow, ICC/IF, IHC,  IHC-P, PEP-ELISA, WB
236-EG
Species: Hu
Applications: BA
AF4259
Species: Hu, Mu, Rt
Applications: ICC, Simple Western, WB
235-F4
Species: Hu
Applications: BA
H00003059-M02
Species: Hu
Applications: ELISA, IHC,  IHC-P, KD, PLA, S-ELISA, WB
NB100-91266
Species: Hu, Mu, Rt
Applications: ICC/IF, IHC, IHC-Fr,  IHC-P, WB
NBP2-12913
Species: Hu, Mu, Rt
Applications: ICC/IF, IHC,  IHC-P, IP, MiAr, WB
NBP2-22203
Species: Hu, Pm, Mu, Rt
Applications: ELISA, Flow, ICC/IF, IHC,  IHC-P, WB
AF1230
Species: Hu, Mu, Rt
Applications: IHC, KO, WB

Publications for Cortactin Antibody (NBP2-67632) (0)

There are no publications for Cortactin Antibody (NBP2-67632).
By submitting your publication information earn gift cards and discounts for future purchases.

Reviews for Cortactin Antibody (NBP2-67632) (0)

There are no reviews for Cortactin Antibody (NBP2-67632). By submitting a review you will receive an Amazon e-Gift Card or Novus Product Discount.
  • Review with no image -- $10/€7/£6/$10 CAD/¥70 Yuan/¥1110 Yen
  • Review with an image -- $25/€18/£15/$25 CAD/¥150 Yuan/¥2500 Yen

Product General Protocols

Video Protocols

WB Video Protocol
ICC/IF Video Protocol

FAQs for Cortactin Antibody (NBP2-67632) (0)

There are no specific FAQs related to this product. Read our general customer & technical service FAQs.

Secondary Antibodies

 

Isotype Controls

Additional Cortactin Products

Research Areas for Cortactin Antibody (NBP2-67632)

Find related products by research area.

Blogs on Cortactin

There are no specific blogs for Cortactin, but you can read our latest blog posts.

Contact Information

Product PDFs

Calculators

Concentration Calculator

The concentration calculator allows you to quickly calculate the volume, mass or concentration of your vial. Simply enter your mass, volume, or concentration values for your reagent and the calculator will determine the rest.

=
÷

Review this Product

Be the first to review our Cortactin Antibody (SC61-08) and receive a gift card or discount.

Bioinformatics

Gene Symbol CTTN