COA5 Antibody - BSA Free

Images

 
Immunocytochemistry/ Immunofluorescence: COA5 Antibody [NBP2-31690] - Immunofluorescent staining of human cell line MCF7 shows localization to mitochondria.
Immunohistochemistry-Paraffin: COA5 Antibody [NBP2-31690] - Staining of human kidney shows strong cytoplasmic positivity in cells in tubules
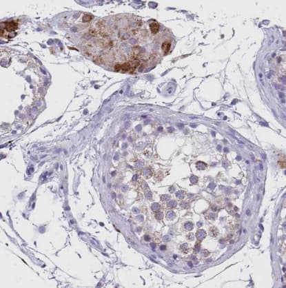
Staining of human testis shows moderate granular cytoplasmic positivity in Leydig cells.
Staining of human small intestine shows moderate cytoplasmic granular positivity in glandular cells.
Staining of human fallopian tube shows moderate cytoplasmic granular positivity in glandular cells.

Product Details

Summary
Reactivity HuSpecies Glossary
Applications ICC/IF, IHC
Clonality
Polyclonal
Host
Rabbit
Conjugate
Unconjugated
Format
BSA Free

Order Details

View Available Formulations
Catalog# & Formulation Size Price

COA5 Antibody - BSA Free Summary

Description
Novus Biologicals Rabbit COA5 Antibody - BSA Free (NBP2-31690) is a polyclonal antibody validated for use in IHC and ICC/IF. All Novus Biologicals antibodies are covered by our 100% guarantee.
Immunogen
This antibody was developed against a recombinant protein corresponding to amino acids: PKYYEDKPQGGACAGLKEDLGACLLQSDCVVQEGKSPRQCLKEGYCNSLKYAFFECKRSVLDNRARFR
Isotype
IgG
Clonality
Polyclonal
Host
Rabbit
Gene
COA5
Purity
Immunogen affinity purified
Innovator's Reward
Test in a species/application not listed above to receive a full credit towards a future purchase.

Applications/Dilutions

Dilutions
  • Immunocytochemistry/ Immunofluorescence 0.25-2 ug/ml
  • Immunohistochemistry 1:50 - 1:200
  • Immunohistochemistry-Paraffin 1:50 - 1:200
Application Notes
For IHC-Paraffin, HIER pH 6 retrieval is recommended. ICC/IF,Fixation Permeabilization: Use PFA/Triton X-100.
Control Peptide
COA5 Protein (NBP2-31690PEP)

Reactivity Notes

Immunogen displays the following percentage of sequence identity for non-tested species: Mouse (81%), Rat (81%)

Packaging, Storage & Formulations

Storage
Store at 4C short term. Aliquot and store at -20C long term. Avoid freeze-thaw cycles.
Buffer
PBS (pH 7.2) and 40% Glycerol
Preservative
0.02% Sodium Azide
Purity
Immunogen affinity purified

Alternate Names for COA5 Antibody - BSA Free

  • chromosome 2 open reading frame 64
  • FLJ27524,6330578E17Rik
  • hypothetical protein LOC493753
  • MGC52110

Limitations

This product is for research use only and is not approved for use in humans or in clinical diagnosis. Primary Antibodies are guaranteed for 1 year from date of receipt.

Customers Who Viewed This Item Also Viewed...

NBP1-32550
Species: Hu, Mu, Ze
Applications: ICC/IF, IHC,  IHC-P, Simple Western, WB
NB100-56503
Species: Dr, Hu, Mu, Rb, Rt
Applications: Flow-CS, Flow-IC, Flow, IB, ICC/IF, IHC,  IHC-P, Simple Western, WB
NBP2-59438
Species: Hu
Applications: ELISA, ICC/IF, WB
NBP3-47534
Species: Hu, Mu
Applications: ELISA, IHC, WB
NB100-689
Species: Hu, Rt
Applications: IHC, IHC-Fr,  IHC-P, Simple Western, WB
NBP1-85500
Species: Hu, Mu
Applications: ICC/IF, IHC,  IHC-P, Simple Western, WB
NBP2-92927
Species: Hu, Mu, Rt
Applications: ELISA, ICC/IF, IHC,  IHC-P, IP, WB
H00084701-M01
Species: Bv, Hu, Mu, Rt
Applications: ELISA, IB, IHC,  IHC-P, IP, WB
NBP2-31863
Species: Hu
Applications: ICC/IF, IHC,  IHC-P, WB
NB110-39115
Species: Bv, Dr, Hu, I, Mu, Ma-Op, Po, Pm, Rt
Applications: ChIP, ICC/IF, IHC,  IHC-P, KD, Simple Western, WB
NBP1-82769
Species: Hu
Applications: ICC/IF, IHC,  IHC-P
NBP3-35859
Species: Hu, Mu, Rt
Applications: ELISA, ICC/IF, WB
NBP1-97507
Species: Bv, Ca, Hu, Mu, Rt
Applications: Flow, ICC/IF, IHC,  IHC-P, Simple Western, WB
NBP3-47544
Species: Hu, Mu, Rt
Applications: ELISA, IHC, WB
NBP3-17592
Species: Hu
Applications: IHC,  IHC-P
NBP2-24915
Species: Bv, Hu, Mu, Rt
Applications: IHC,  IHC-P, WB
NBP3-48071
Species: Hu, Mu, Rt
Applications: ELISA, IHC, WB
NBP1-58359
Species: Hu
Applications: IHC,  IHC-P, WB
NBP2-25160
Species: Bv, Ca, Eq, Hu, Mu, Po, Rt
Applications: ICC/IF, IHC, WB
NBP2-14613
Species: Hu
Applications: IHC,  IHC-P

Publications for COA5 Antibody (NBP2-31690) (0)

There are no publications for COA5 Antibody (NBP2-31690).
By submitting your publication information earn gift cards and discounts for future purchases.

Reviews for COA5 Antibody (NBP2-31690) (0)

There are no reviews for COA5 Antibody (NBP2-31690). By submitting a review you will receive an Amazon e-Gift Card or Novus Product Discount.
  • Review with no image -- $10/€7/£6/$10 CAD/¥70 Yuan/¥1110 Yen
  • Review with an image -- $25/€18/£15/$25 CAD/¥150 Yuan/¥2500 Yen

Product General Protocols

Find general support by application which include: protocols, troubleshooting, illustrated assays, videos and webinars.

Video Protocols

ICC/IF Video Protocol

FAQs for COA5 Antibody (NBP2-31690) (0)

There are no specific FAQs related to this product. Read our general customer & technical service FAQs.

Customers Who Bought This Also Bought

Contact Information

Product PDFs

Calculators

Concentration Calculator

The concentration calculator allows you to quickly calculate the volume, mass or concentration of your vial. Simply enter your mass, volume, or concentration values for your reagent and the calculator will determine the rest.

=
÷

Review this Product

Be the first to review our COA5 Antibody - BSA Free and receive a gift card or discount.

Bioinformatics

Gene Symbol COA5
Uniprot