CLIP170 Antibody (CL4851) - Azide and BSA Free

Images

 
Staining of human cerebellum shows moderate cytoplasmic immunoreactivity in a subset of neuronal cells.
Staining of A549 cells using the Anti-CLIP170 monoclonal antibody) .
Staining of human cervix shows strong cytoplasmic positivity in squamous epithelial cells.
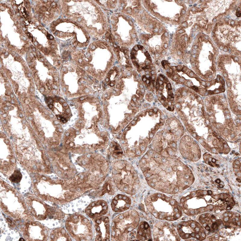
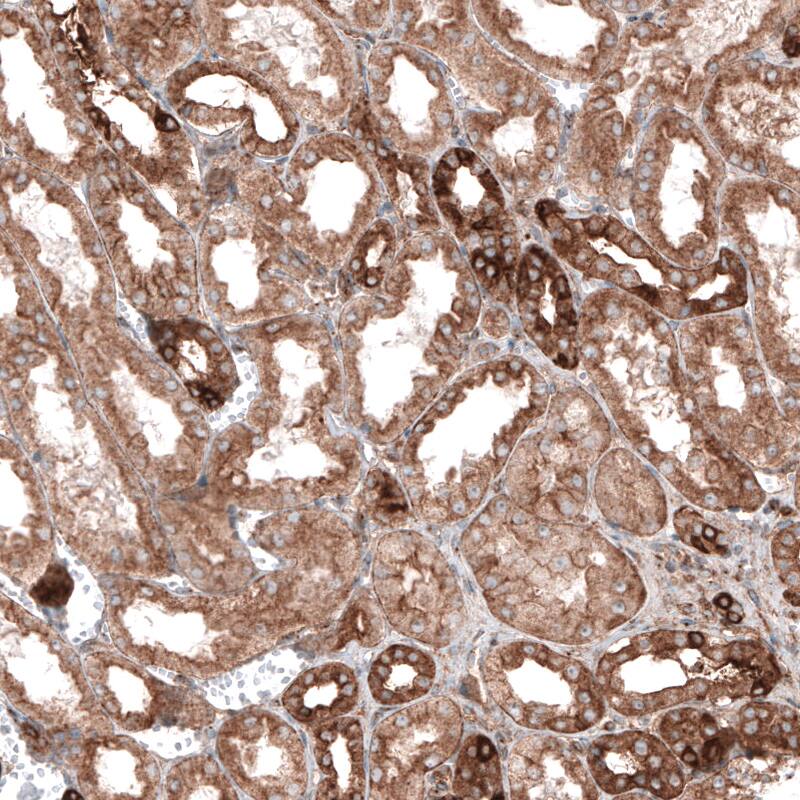
Staining of human kidney shows moderate to strong cytoplasmic immunoreactivity in renal tubules.
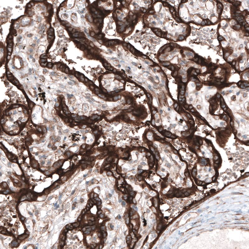
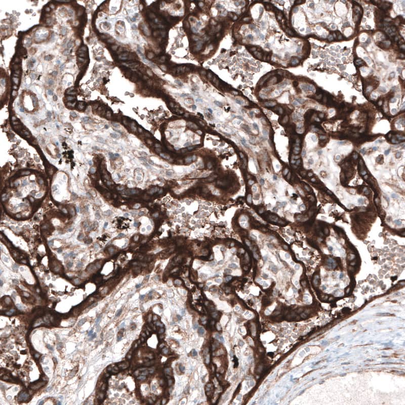
Staining of human placenta shows strong cytoplasmic immunoreactivity in trophoblast.
Analysis in human cell line HDLM-2 and human cell line U-2197.

Product Details

Summary
Reactivity HuSpecies Glossary
Applications WB, ICC/IF, IHC
Clone
CL4851
Clonality
Monoclonal
Host
Mouse
Conjugate
Unconjugated
Format
Azide and BSA Free
Concentration
LYOPH

Order Details

CLIP170 Antibody (CL4851) - Azide and BSA Free Summary

Description
Novus Biologicals Mouse CLIP170 Antibody (CL4851) - Azide and BSA Free (NBP2-61144) is a monoclonal antibody validated for use in IHC, WB and ICC/IF. All Novus Biologicals antibodies are covered by our 100% guarantee.
Immunogen
This antibody was generated using a recombinant protein sequence of P30622, with the exact immunogen sequence remaining proprietary.
Isotype
IgG1
Clonality
Monoclonal
Host
Mouse
Gene
CLIP1
Purity
Protein A purified
Innovator's Reward
Test in a species/application not listed above to receive a full credit towards a future purchase.

Applications/Dilutions

Dilutions
  • Immunocytochemistry/ Immunofluorescence 2-10 ug/ml
  • Immunohistochemistry-Paraffin 1:10000 - 1:20000
  • Western Blot 1 ug/ml
Application Notes
For IHC-Paraffin, HIER pH 6 retrieval is recommended. Immunocytochemistry/ Immunofluorescence/IF Fixation/Permeabilization: PFA/Triton X-100.

Packaging, Storage & Formulations

Storage
Store at 4C short term. Aliquot and store at -20C long term. Avoid freeze-thaw cycles.
Buffer
Lyophilized from a 0.2 um filtered solution in PBS with Trehalose
Preservative
No Preservative
Concentration
LYOPH
Purity
Protein A purified
Reconstitution Instructions
Centrifuge the vial of lyophilized antibody at 12,000 x g for 20 seconds. Reconstitute by adding sterile, distilled water to achieve a final antibody concentration of 1mg/ml.

Alternate Names for CLIP170 Antibody (CL4851) - Azide and BSA Free

  • CAP-GLY domain containing linker protein 1
  • CLIP
  • CLIP170
  • CLIP-170Reed-Sternberg intermediate filament-associated protein
  • CYLN1MGC131604
  • cytoplasmic linker 1
  • Cytoplasmic linker protein 1
  • Cytoplasmic linker protein 170 alpha-2
  • Reed-Steinberg cell-expressed intermediate filament-associated protein
  • restin (Reed-Steinberg cell-expressed intermediate filament-associated protein)
  • Restin
  • RSNCAP-Gly domain-containing linker protein 1

Limitations

This product is for research use only and is not approved for use in humans or in clinical diagnosis. Primary Antibodies are guaranteed for 1 year from date of receipt.

Customers Who Viewed This Item Also Viewed...

NB100-1533
Species: Hu, Mu, Po, Rt, Sh
Applications: Flow, ICC/IF, IHC,  IHC-P, PEP-ELISA, WB
AF4090
Species: Hu
Applications: IHC, IP, Neut, WB
NBP1-30027
Species: Hu, Mu, Rt
Applications: ICC/IF, IHC,  IHC-P, WB
AF1513
Species: Mu
Applications: CyTOF-ready, Flow, IHC, IP, Simple Western, WB
NBP1-84928
Species: Hu, Mu, Rt
Applications: ICC/IF, IHC,  IHC-P, WB
NBP1-85010
Species: Hu
Applications: IHC,  IHC-P
NBP2-00714
Species: Hu
Applications: Flow, ICC/IF, IHC,  IHC-P, WB
NBP3-48144
Species: Hu, Mu
Applications: ELISA, ICC/IF, IHC, WB
NBP3-47536
Species: Hu, Mu, Rt
Applications: ELISA, IHC, WB
MAB1368
Species: Hu, Mu
Applications: CyTOF-ready, ICC, ICFlow, KO, Simple Western, WB
NBP1-86856
Species: Hu, Mu, Rt
Applications: IHC,  IHC-P, WB
DAN00
Species: Hu
Applications: ELISA
H00008826-M01
Species: Hu
Applications: ELISA, ICC/IF, IHC,  IHC-P, KD, S-ELISA, WB
AF3398
Species: Hu, Mu, Rt
Applications: ICC, KO, Simple Western, WB
NBP1-85569
Species: Hu
Applications: IHC,  IHC-P, WB
AF3667
Species: Hu, Mu
Applications: Dual ISH-IHC, ICC, IHC, Simple Western, WB
NBP3-44109
Species: Hu
Applications: WB, ICC/IF, IHC

Publications for CLIP170 Antibody (NBP3-44109) (0)

There are no publications for CLIP170 Antibody (NBP3-44109).
By submitting your publication information earn gift cards and discounts for future purchases.

Reviews for CLIP170 Antibody (NBP3-44109) (0)

There are no reviews for CLIP170 Antibody (NBP3-44109). By submitting a review you will receive an Amazon e-Gift Card or Novus Product Discount.
  • Review with no image -- $10/€7/£6/$10 CAD/¥70 Yuan/¥1110 Yen
  • Review with an image -- $25/€18/£15/$25 CAD/¥150 Yuan/¥2500 Yen

Product General Protocols

Find general support by application which include: protocols, troubleshooting, illustrated assays, videos and webinars.

Video Protocols

WB Video Protocol
ICC/IF Video Protocol

FAQs for CLIP170 Antibody (NBP3-44109) (0)

There are no specific FAQs related to this product. Read our general customer & technical service FAQs.

Secondary Antibodies

 

Isotype Controls

Additional CLIP170 Products

Research Areas for CLIP170 Antibody (NBP3-44109)

Find related products by research area.

Blogs on CLIP170

There are no specific blogs for CLIP170, but you can read our latest blog posts.

Customers Who Bought This Also Bought

Contact Information

Product PDFs

Calculators

Concentration Calculator

The concentration calculator allows you to quickly calculate the volume, mass or concentration of your vial. Simply enter your mass, volume, or concentration values for your reagent and the calculator will determine the rest.

=
÷

Review this Product

Be the first to review our CLIP170 Antibody (CL4851) - Azide and BSA Free and receive a gift card or discount.

Bioinformatics

Gene Symbol CLIP1