Claudin-3 Antibody (CL13130) - Azide and BSA Free

Images

 
Orthogonal Strategies: Analysis in human prostate and placenta tissues using NBP3-44366 antibody. Corresponding Claudin-3 RNA-seq data are presented for the same tissues.
Staining of human colon shows strong membranous positivity in glandular cells.
Staining of human colorectal cancer shows strong membranous positivity in tumor cells.
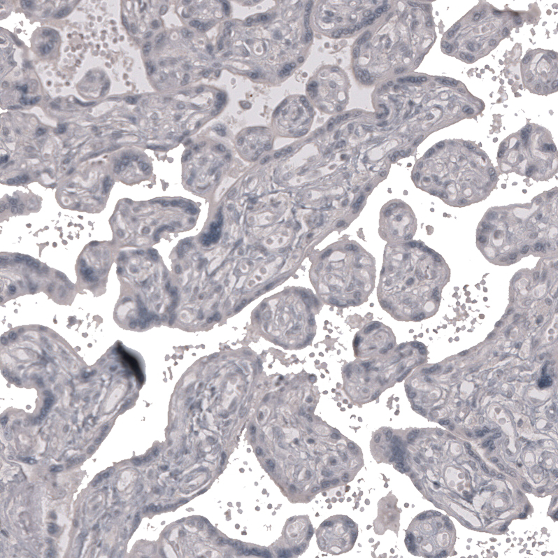
Staining of human placenta shows no positivity in trophoblastic cells as expected.
Staining of human ovarian cancer (clear cell carcinoma) shows strong membranous positivity in tumor cells.
Staining of human ovarian cancer (papillary carcinoma) shows strong membranous positivity in tumor cells.
Staining of human prostate shows strong membranous positivity in glandular cells.
Staining of human ovarian cancer (endometrioid carcinoma) shows strong membranous positivity in tumor cells.
Orthogonal Strategies: Analysis in human cell line MCF-7 and human cell line SK-MEL-30.
Staining of MCF-7 cells using the Anti-Claudin-3 monoclonal antibody) .

Product Details

Summary
Reactivity HuSpecies Glossary
Applications WB, ICC/IF, IHC
Clone
CL13130
Clonality
Monoclonal
Host
Mouse
Conjugate
Unconjugated
Format
Azide and BSA Free
Concentration
LYOPH
Validated by:
       

Orthogonal Strategies

 

Order Details

Claudin-3 Antibody (CL13130) - Azide and BSA Free Summary

Description
Novus Biologicals Mouse Claudin-3 Antibody (CL13130) - Azide and BSA Free (NBP3-18555) is a monoclonal antibody validated for use in IHC, WB and ICC/IF. All Novus Biologicals antibodies are covered by our 100% guarantee.
Immunogen
This antibody was generated using a synthetic peptide of O15551, with the exact immunogen sequence remaining proprietary.
Isotype
IgG1
Clonality
Monoclonal
Host
Mouse
Gene
CLDN3
Purity
Protein A purified
Innovator's Reward
Test in a species/application not listed above to receive a full credit towards a future purchase.

Applications/Dilutions

Dilutions
  • Immunocytochemistry/ Immunofluorescence 2-10 ug/ml
  • Immunohistochemistry-Paraffin 1:500 - 1:1000
  • Western Blot 1 ug/ml
Application Notes
For use with IHC-Paraffin, HIER pH 6 retrieval is recommended. For use with Immunocytochemistry/ Immunofluorescence/IF, PFA/Triton X-100 is recommended for fixation/permeabilization.

Packaging, Storage & Formulations

Storage
Store at 4C short term. Aliquot and store at -20C long term. Avoid freeze-thaw cycles.
Buffer
Lyophilized from a 0.2 um filtered solution in PBS with Trehalose
Preservative
No Preservative
Concentration
LYOPH
Purity
Protein A purified
Reconstitution Instructions
Centrifuge the vial of lyophilized antibody at 12,000 x g for 20 seconds. Reconstitute by adding sterile, distilled water to achieve a final antibody concentration of 1mg/ml.

Alternate Names for Claudin-3 Antibody (CL13130) - Azide and BSA Free

  • C7orf1
  • claudin 3
  • Claudin3
  • Claudin-3
  • CLDN3
  • Clostridium perfringens enterotoxin receptor 2
  • CPE-R 2
  • CPE-R2
  • CPETR2
  • CPETR2CPE-receptor 2
  • HRVP1
  • Rat ventral prostate.1 protein homolog
  • RVP1
  • ventral prostate.1 protein homolog
  • ventral prostate.1-like protein

Background

The Claudin superfamily consists of many structurally related proteins in humans. These proteins are important structural and functional components of tight junctions in paracellular transport. Claudins are located in both epithelial and endothelial cells in all tight junction-bearing tissues. Three classes of proteins are known to localize to tight junctions, including the Claudins, Occludin and junction adhesion molecule (JAM). Claudins, which consist of four transmembrane domains and two extracellular loops, make up tight junction strands. Claudin expression is highly restricted to specfic regions of different tissues and variations of Claudin expression may have an important role in transcellular transport through tight junctions. In rat liver, claudin-3 is uniformly expressed, whereas in the pancreas, claudin-3 is expressed in junctions of the duct epithelia and junctions of acinar cells. Claudin-3 binds the peptide toxin Clostridium perfringens enterotoxin (CPE) at the cell surface via the second extracellular loop of claudin-3. The gene encoding human claudin-3 maps to chromosome 7q11.23.

Limitations

This product is for research use only and is not approved for use in humans or in clinical diagnosis. Primary Antibodies are guaranteed for 1 year from date of receipt.

Customers Who Viewed This Item Also Viewed...

MAB4219
Species: Hu
Applications: CyTOF-ready, Flow
H00009076-M01
Species: Hu, Pm, Mu
Applications: ELISA, Flow, ICC/IF, IHC,  IHC-P, IP, WB
NBP2-92405
Species: Hu, Mu, Rt
Applications: WB
NBP2-92846
Species: Hu, Mu, Rt
Applications: ELISA, ICC/IF, IHC,  IHC-P, WB
NBP1-87402
Species: Hu, Mu, Rt
Applications: ELISA, IHC,  IHC-P, KD, WB
NBP1-85047
Species: Hu, Mu, Po, Rt
Applications: ICC/IF, IHC,  IHC-P, Simple Western, WB
NBP1-87402
Species: Hu, Mu, Rt
Applications: ELISA, IHC,  IHC-P, KD, WB
AF3587
Species: Hu
Applications: CyTOF-ready, ICC, IHC, IP, ICFlow, WB
AF748
Species: Hu, Mu
Applications: CyTOF-ready, Dual ISH-IHC, Flow, ICC, IHC, Simple Western, WB
NBP1-82470
Species: Hu, Mu
Applications: IHC,  IHC-P, WB
236-EG
Species: Hu
Applications: BA
NBP1-59157
Species: Hu, Po
Applications: IHC,  IHC-P, WB
NBP2-32002
Species: Hu
Applications: IHC,  IHC-P
NB100-56603
Species: Ca, Hu, Mu, Pm, Rt
Applications: IHC,  IHC-P, WB
NBP2-49230
Species: Hu
Applications: ICC/IF, IHC,  IHC-P, WB
AF231
Species: Hu
Applications: CyTOF-ready, Dual ISH-IHC, ELISA(Cap), ELISA(Det), ELISA(Sta), Flow, ICC, IHC, IP, Simple Western, WB
NB120-11197
Species: Hu, Mu
Applications: Flow-IC, Flow, ICC/IF (-), IHC, IHC-Fr,  IHC-P, WB

Publications for Claudin-3 Antibody (NBP3-44366) (0)

There are no publications for Claudin-3 Antibody (NBP3-44366).
By submitting your publication information earn gift cards and discounts for future purchases.

Reviews for Claudin-3 Antibody (NBP3-44366) (0)

There are no reviews for Claudin-3 Antibody (NBP3-44366). By submitting a review you will receive an Amazon e-Gift Card or Novus Product Discount.
  • Review with no image -- $10/€7/£6/$10 CAD/¥70 Yuan/¥1110 Yen
  • Review with an image -- $25/€18/£15/$25 CAD/¥150 Yuan/¥2500 Yen

Product General Protocols

Find general support by application which include: protocols, troubleshooting, illustrated assays, videos and webinars.

Video Protocols

WB Video Protocol
ICC/IF Video Protocol

FAQs for Claudin-3 Antibody (NBP3-44366) (0)

There are no specific FAQs related to this product. Read our general customer & technical service FAQs.

Secondary Antibodies

 

Isotype Controls

Additional Claudin-3 Products

Research Areas for Claudin-3 Antibody (NBP3-44366)

Find related products by research area.

Blogs on Claudin-3

There are no specific blogs for Claudin-3, but you can read our latest blog posts.

Customers Who Bought This Also Bought

Contact Information

Product PDFs

Calculators

Concentration Calculator

The concentration calculator allows you to quickly calculate the volume, mass or concentration of your vial. Simply enter your mass, volume, or concentration values for your reagent and the calculator will determine the rest.

=
÷

Review this Product

Be the first to review our Claudin-3 Antibody (CL13130) - Azide and BSA Free and receive a gift card or discount.

Bioinformatics

Gene Symbol CLDN3