CDC5L Antibody (JJ091-05)

Images

 
Western Blot: CDC5L Antibody (JJ091-05) [NBP2-67901] - Analysis of CDC5L on different lysates using anti-CDC5L antibody at 1/1,000 dilution. Positive control: Lane 1: Hela Lane 2: Jurkat
Immunocytochemistry/ Immunofluorescence: CDC5L Antibody (JJ091-05) [NBP2-67901] - Staining CDC5L in NIH/3T3 cells (green). The nuclear counter stain is DAPI (blue). Cells were fixed in paraformaldehyde, permeabilised ...read more
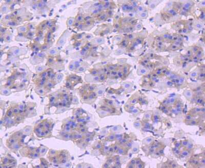
Immunohistochemistry-Paraffin: CDC5L Antibody (JJ091-05) [NBP2-67901] - Immunohistochemical analysis of paraffin-embedded mouse stomach tissue using anti-CDC5L antibody. Counter stained with hematoxylin.
Immunocytochemistry/ Immunofluorescence: CDC5L Antibody (JJ091-05) [NBP2-67901] - Staining CDC5L in 293T cells (green). The nuclear counter stain is DAPI (blue). Cells were fixed in paraformaldehyde, permeabilised with ...read more
Immunocytochemistry/ Immunofluorescence: CDC5L Antibody (JJ091-05) [NBP2-67901] - Staining CDC5L in Hela cells (green). The nuclear counter stain is DAPI (blue). Cells were fixed in paraformaldehyde, permeabilised with ...read more
Immunocytochemistry/ Immunofluorescence: CDC5L Antibody (JJ091-05) [NBP2-67901] - Staining CDC5L in HepG2 cells (green). The nuclear counter stain is DAPI (blue). Cells were fixed in paraformaldehyde, permeabilised with ...read more
Immunocytochemistry/ Immunofluorescence: CDC5L Antibody (JJ091-05) [NBP2-67901] - Staining CDC5L in SH-SY-5Y cells (green). The nuclear counter stain is DAPI (blue). Cells were fixed in paraformaldehyde, permeabilised ...read more
Immunocytochemistry/ Immunofluorescence: CDC5L Antibody (JJ091-05) [NBP2-67901] - Staining CDC5L in MCF-7 cells (green). The nuclear counter stain is DAPI (blue). Cells were fixed in paraformaldehyde, permeabilised with ...read more
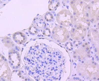
Immunohistochemistry-Paraffin: CDC5L Antibody (JJ091-05) [NBP2-67901] - Analysis of paraffin-embedded human kidney tissue using anti-CDC5L antibody. Counter stained with hematoxylin.
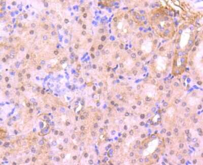
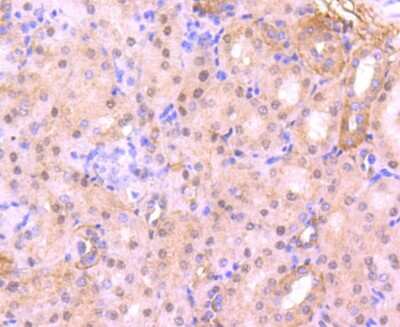
Immunohistochemistry-Paraffin: CDC5L Antibody (JJ091-05) [NBP2-67901] - Analysis of paraffin-embedded mouse kidney tissue using anti-CDC5L antibody. Counter stained with hematoxylin.
Immunohistochemistry-Paraffin: CDC5L Antibody (JJ091-05) [NBP2-67901] - Analysis of paraffin-embedded mouse lung tissue using anti-CDC5L antibody. Counter stained with hematoxylin.

Product Details

Summary
Product Discontinued
View other related CDC5L Primary Antibodies

Order Details


    • Catalog Number
      NBP2-67901
    • Availability
      Product Discontinued

    Can't find what you are looking for? Use our Antibody Concierge Service & we will help you locate your antibody!

    Or feel free to contact us for alternative products.

CDC5L Antibody (JJ091-05) Summary

Additional Information
Recombinant Monoclonal Antibody.
Immunogen
Synthetic peptide within human CDC5L aa 320-370. (SwissProt: Q99459 Human; SwissProt: Q6A068 Mouse; SwissProt:O08837 Rat)
Localization
Cytoplasm, Nucleus, Spliceosome.
Isotype
IgG
Clonality
Monoclonal
Host
Rabbit
Gene
CDC5L
Purity
Protein A purified
Innovator's Reward
Test in a species/application not listed above to receive a full credit towards a future purchase.

Applications/Dilutions

Dilutions
  • Immunocytochemistry/ Immunofluorescence 1:50-1:200
  • Immunohistochemistry
  • Immunohistochemistry-Paraffin 1:50-1:200
  • Western Blot 1:500-1:2000

Packaging, Storage & Formulations

Storage
Store at 4C short term. Aliquot and store at -20C long term. Avoid freeze-thaw cycles.
Buffer
TBS (pH7.4), 0.05% BSA, 40% Glycerol
Preservative
0.05% Sodium Azide
Concentration
1 mg/ml
Purity
Protein A purified

Alternate Names for CDC5L Antibody (JJ091-05)

  • CDC5 (cell division cycle 5, S. pombe, homolog)-like
  • CDC5 cell division cycle 5-like (S. pombe)
  • CDC5
  • Cdc5-like protein
  • Cdc5-related protein
  • CEF1
  • cell division cycle 5-like protein
  • dJ319D22.1 (CDC5-like protein)
  • dJ319D22.1
  • hCDC5
  • KIAA0432
  • PCDC5RPCDC5-LIKE
  • Pombe cdc5-related protein

Background

CDC5L is encoded by this gene shares a significant similarity with Schizosaccharomyces pombe cdc5 gene product, which is a cell cycle regulator important for G2/M transition. This protein has been demonstrated to act as a positive regulator of cell cycle G2/M progression. It was also found to be an essential component of a non-snRNA spliceosome, which contains at least five additional protein factors and is required for the second catalytic step of pre-mRNA splicing. [provided by RefSeq]

Limitations

This product is for research use only and is not approved for use in humans or in clinical diagnosis. Primary Antibodies are guaranteed for 1 year from date of receipt.

Customers Who Viewed This Item Also Viewed...

NBP1-48291
Species: Hu, Mu, Rt
Applications: Flow, IHC,  IHC-P, IP, WB
MAB4457
Species: Hu, Mu, Rt
Applications: WB
NBP3-35253
Species: Hu, Mu, Rt
Applications: ELISA, ICC/IF, IHC,  IHC-P, IP, WB
NBP2-82991
Species: Hu
Applications: IHC,  IHC-P, WB
NB100-91662
Species: Hu, Mu, Rt
Applications: Flow, ICC/IF, IHC,  IHC-P, Simple Western, WB
AF4885
Species: Mu
Applications: IP, WB
NBP1-85729
Species: Hu, Mu, Rt
Applications: ICC/IF, IHC,  IHC-P, WB
NBP1-77310
Species: Hu
Applications: ELISA, ICC/IF, IHC,  IHC-P, WB
NBP1-06556
Species: Hu, Mu
Applications: ICC/IF, IHC,  IHC-P, IP, WB
H00009700-M01
Species: Hu, Mu
Applications: ELISA, ICC/IF, IHC,  IHC-P, WB
NBP1-80306
Species: Av, Hu
Applications: ICC/IF, IHC,  IHC-P, KD, WB
NBP2-71688
Species: Ca, Hu, Mu, Rt
Applications: CyTOF-ready, Flow, ICC/IF, IHC,  IHC-P, IP, WB
NB100-308
Species: Hu, Mu
Applications: Func, ICC/IF, IP, In vitro, KO, WB
NB500-106
Species: Ch, Dr, Fi, Hu, Mar, Mu, Po, Pm, Rb, Rt, Ye, Ze
Applications: ChIP, ChIP, ELISA, Flow, ICC/IF, IHC-FrFl, IHC, IHC-Fr,  IHC-P, IP, Simple Western, WB
NB100-59828
Species: Hu, Mu
Applications: IHC,  IHC-P, IP, WB
NBP3-12251
Species: Hu, Mu, Rt
Applications: ELISA, ICC/IF, IHC,  IHC-P, IP, WB
NBP2-33867
Species: Hu
Applications: ICC/IF, IHC,  IHC-P, KD, WB
NBP2-86653
Species: Hu
Applications: IHC,  IHC-P, WB

Publications for CDC5L Antibody (NBP2-67901) (0)

There are no publications for CDC5L Antibody (NBP2-67901).
By submitting your publication information earn gift cards and discounts for future purchases.

Reviews for CDC5L Antibody (NBP2-67901) (0)

There are no reviews for CDC5L Antibody (NBP2-67901). By submitting a review you will receive an Amazon e-Gift Card or Novus Product Discount.
  • Review with no image -- $10/€7/£6/$10 CAD/¥70 Yuan/¥1110 Yen
  • Review with an image -- $25/€18/£15/$25 CAD/¥150 Yuan/¥2500 Yen

Product General Protocols

Find general support by application which include: protocols, troubleshooting, illustrated assays, videos and webinars.

Video Protocols

WB Video Protocol
ICC/IF Video Protocol

FAQs for CDC5L Antibody (NBP2-67901) (0)

There are no specific FAQs related to this product. Read our general customer & technical service FAQs.

Contact Information

Product PDFs

Calculators

Concentration Calculator

The concentration calculator allows you to quickly calculate the volume, mass or concentration of your vial. Simply enter your mass, volume, or concentration values for your reagent and the calculator will determine the rest.

=
÷

Review this Product

Be the first to review our CDC5L Antibody (JJ091-05) and receive a gift card or discount.

Bioinformatics

Gene Symbol CDC5L