CDC2/CDK1 Antibody (SM01-44) Summary
| Additional Information |
Recombinant Monoclonal Antibody. |
| Immunogen |
Synthetic peptide within Human CDC2/CDK1 aa 1-50 / 297. (SwissProt: P06493 Human; SwissProt: P11440 Mouse; SwissProt: P39951 Rat) |
| Localization |
Cytoplasm, Nucleus, Mitochondrion. |
| Isotype |
IgG |
| Clonality |
Monoclonal |
| Host |
Rabbit |
| Gene |
CDK1 |
| Purity |
Protein A purified |
| Innovator's Reward |
Test in a species/application not listed above to receive a full credit towards a future purchase. |
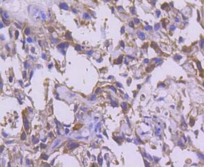
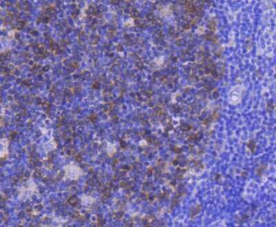
Applications/Dilutions
| Dilutions |
- Immunocytochemistry/ Immunofluorescence 1:50-1:200
- Immunohistochemistry
- Immunohistochemistry-Paraffin 1:50-1:200
- Immunoprecipitation
- Western Blot 1:1000-1:2000
|
Packaging, Storage & Formulations
| Storage |
Store at 4C short term. Aliquot and store at -20C long term. Avoid freeze-thaw cycles. |
| Buffer |
TBS (pH7.4), 0.05% BSA, 40% Glycerol |
| Preservative |
0.05% Sodium Azide |
| Concentration |
1 mg/ml |
| Purity |
Protein A purified |
Alternate Names for CDC2/CDK1 Antibody (SM01-44)
Background
The cell division control protein cdc2, also known as cyclin-dependent kinase 1 (Cdk1) or p34/cdk1, plays a key role in the control of the eukaryotic cell cycle, where it is required for entry into S-phase and mitosis. Cdc2 exists as a complex with both cyclin A and cyclin B. The best characterized of these associations is the Cdc2 p34 cyclin B complex, which is required for the G2 to M phase transition. Activation of Cdc2 is controlled at several steps including cyclin binding and phosphorylation of threonine 161. However, the critical regulatory step in activating cdc2 during progression into mitosis appears to be dephosphorylation of Tyr15 and Tyr14. Phosphorylation at Tyr15 and inhibition of Cdc2 is carried out by WEE1 and MIK protein kinases while Tyr15 dephosphorylation and activation of Cdc2 is carried out by the cdc25 phosphatase. The isoform CDC2deltaT is found in breast cancer tissues. Furthermore, cdc2/Cdk1 is a key mediator of neuronal cell death in brain development and degeneration.
Limitations
This product is for research use only and is not approved for use in humans or in clinical diagnosis. Primary Antibodies are
guaranteed for 1 year from date of receipt.
Customers Who Viewed This Item Also Viewed...
Species: Hu, Mu
Applications: IHC, Simple Western, WB
Species: Ca, Hu, Pm, Mu, Rt
Applications: Flow, ICC/IF, IHC, IHC-P, WB
Species: Pm, Hu, Pm, Mu
Applications: Flow, ICC/IF, IHC, IHC-P, WB
Species: Hu, Mu, Rt
Applications: WB
Species: Ch, Dr, Fi, Hu, Mar, Mu, Po, Pm, Rb, Rt, Ye, Ze
Applications: ChIP, ChIP, ELISA, Flow, ICC/IF, IHC-FrFl, IHC, IHC-Fr, IHC-P, IP, Simple Western, WB
Species: Hu, Mu, Rt, Xp(-), Ye
Applications: CyTOF-ready, ELISA, Flow-IC, Flow, ICC/IF, IHC, IHC-Fr, IHC-P, IP, WB
Species: Hu
Applications: IHC, IHC-P, WB
Species: Hu, Rt
Applications: ELISA, ICC/IF, S-ELISA, WB
Species: Hu
Applications: ELISA, ICC/IF, IHC, IHC-P, S-ELISA, WB
Species: Bv, Hu, Mu, Rt
Applications: ICC/IF, IHC, IHC-P, Simple Western, WB
Species: Hu
Applications: IHC, IHC-P, WB
Species: Hu, Mu
Applications: IHC, IHC-P, IP, WB
Species: Hu
Applications: ICC/IF, IHC, IHC-P, WB
Species: Hu, Mu, Rt
Applications: Flow, ICC/IF, IHC, IHC-P, WB
Species: Hu, Mu
Applications: IHC, IHC-P, WB
Species: Hu
Applications: CyTOF-ready, ELISA, Flow, KO
Species: Hu, Mu, Rt
Applications: Flow, IHC, IHC-P, IP, WB
Species: Hu
Applications: ICC/IF, IHC, IHC-P
Species: Hu, Mu, Rt
Applications: IHC, KO, WB
Species: Ca, Hu, Mu, Rt
Applications: IHC, IHC-P, IP, WB
Publications for CDC2/CDK1 Antibody (NBP2-67438) (0)
There are no publications for CDC2/CDK1 Antibody (NBP2-67438).
By submitting your publication information earn gift cards and discounts for future purchases.
Reviews for CDC2/CDK1 Antibody (NBP2-67438) (0)
There are no reviews for CDC2/CDK1 Antibody (NBP2-67438).
By submitting a review you will receive an Amazon e-Gift Card or Novus Product Discount.
- Review with no image -- $10/€7/£6/$10 CAD/¥70 Yuan/¥1110 Yen
- Review with an image -- $25/€18/£15/$25 CAD/¥150 Yuan/¥2500 Yen
Product General Protocols
Find general support by application which include: protocols, troubleshooting, illustrated assays, videos and webinars.
Video Protocols
FAQs for CDC2/CDK1 Antibody (NBP2-67438) (0)
Secondary Antibodies
| |
Isotype Controls
|
Additional CDC2/CDK1 Products
Research Areas for CDC2/CDK1 Antibody (NBP2-67438)
Find related products by research area.
|
Blogs on CDC2/CDK1