CDC2/CDK1 Antibody (SM01-44)

Images

 
Western Blot: CDC2/CDK1 Antibody (SM01-44) [NBP2-66764] - Analysis of CDK1 on Jurkat cells lysates using anti-CDK1 antibody at 1/1,000 dilution.
Immunocytochemistry/ Immunofluorescence: CDC2/CDK1 Antibody (SM01-44) [NBP2-66764] - Staining CDK1 in HepG2 cells (red). The nuclear counter stain is DAPI (blue). Cells were fixed in paraformaldehyde, permeabilised with ...read more
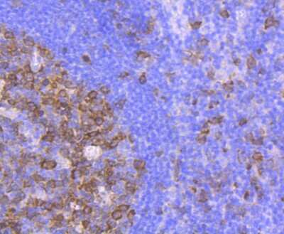
Immunohistochemistry-Paraffin: CDC2/CDK1 Antibody (SM01-44) [NBP2-66764] - Analysis of paraffin-embedded human tonsil tissue using anti-CDK1 antibody. Counter stained with hematoxylin.
Flow Cytometry: CDC2/CDK1 Antibody (SM01-44) [NBP2-66764] - Analysis of Jurkat cells with CDK1 antibody at 1/50 dilution (red) compared with an unlabelled control (cells without incubation with primary antibody; black). ...read more
Immunocytochemistry/ Immunofluorescence: CDC2/CDK1 Antibody (SM01-44) [NBP2-66764] - Staining CDK1 in Hela cells (red). The nuclear counter stain is DAPI (blue). Cells were fixed in paraformaldehyde, permeabilised with ...read more
Immunocytochemistry/ Immunofluorescence: CDC2/CDK1 Antibody (SM01-44) [NBP2-66764] - Staining CDK1 in HepG2 cells (red). The nuclear counter stain is DAPI (blue). Cells were fixed in paraformaldehyde, permeabilised with ...read more
Immunohistochemistry-Paraffin: CDC2/CDK1 Antibody (SM01-44) [NBP2-66764] - Analysis of paraffin-embedded human breast carcinoma tissue using anti-CDK1 antibody. Counter stained with hematoxylin.

Product Details

Summary
Product Discontinued
View other related CDC2/CDK1 Primary Antibodies

Order Details


    • Catalog Number
      NBP2-66764
    • Availability
      Product Discontinued

    Can't find what you are looking for? Use our Antibody Concierge Service & we will help you locate your antibody!

    Or feel free to contact us for alternative products.

CDC2/CDK1 Antibody (SM01-44) Summary

Additional Information
Recombinant Monoclonal Antibody.
Immunogen
Full length protein
Localization
Nucleus, Cytoplasm, Mitochondrion.
Isotype
IgG
Clonality
Monoclonal
Host
Rabbit
Gene
CDK1
Purity
Protein A purified
Innovator's Reward
Test in a species/application not listed above to receive a full credit towards a future purchase.

Applications/Dilutions

Dilutions
  • Flow Cytometry 1:50-1:100
  • Immunocytochemistry/ Immunofluorescence 1:50-1:200
  • Immunohistochemistry 1:50-1:200
  • Immunohistochemistry-Paraffin 1:50-1:200
  • Western Blot 1:1000-1:5000

Packaging, Storage & Formulations

Storage
Store at 4C short term. Aliquot and store at -20C long term. Avoid freeze-thaw cycles.
Buffer
TBS (pH7.4), 1%BSA, 40%Glycerol
Preservative
0.05% Sodium Azide
Concentration
1 mg/ml
Purity
Protein A purified

Alternate Names for CDC2/CDK1 Antibody (SM01-44)

  • CDC2
  • CDC28A
  • CDC2MGC111195
  • CDK1
  • cell cycle controller CDC2
  • Cell division control protein 2 homolog
  • Cell division protein kinase 1
  • cyclin-dependent kinase 1
  • DKFZp686L20222
  • EC 2.7.11.22
  • EC 2.7.11.23
  • G1 to S and G2 to M
  • p34 protein kinase
  • P34CDC2

Background

The cell division control protein cdc2, also known as cyclin-dependent kinase 1 (Cdk1) or p34/cdk1, plays a key role in the control of the eukaryotic cell cycle, where it is required for entry into S-phase and mitosis. Cdc2 exists as a complex with both cyclin A and cyclin B. The best characterized of these associations is the Cdc2 p34 cyclin B complex, which is required for the G2 to M phase transition. Activation of Cdc2 is controlled at several steps including cyclin binding and phosphorylation of threonine 161. However, the critical regulatory step in activating cdc2 during progression into mitosis appears to be dephosphorylation of Tyr15 and Tyr14. Phosphorylation at Tyr15 and inhibition of Cdc2 is carried out by WEE1 and MIK protein kinases while Tyr15 dephosphorylation and activation of Cdc2 is carried out by the cdc25 phosphatase. The isoform CDC2deltaT is found in breast cancer tissues. Furthermore, cdc2/Cdk1 is a key mediator of neuronal cell death in brain development and degeneration.

Limitations

This product is for research use only and is not approved for use in humans or in clinical diagnosis. Primary Antibodies are guaranteed for 1 year from date of receipt.

Customers Who Viewed This Item Also Viewed...

AF6000
Species: Hu, Mu
Applications: IHC, Simple Western, WB
NBP2-00776
Species: Ca, Hu, Pm, Mu, Rt
Applications: Flow, ICC/IF, IHC,  IHC-P, WB
NBP2-29463
Species: Pm, Hu, Pm, Mu
Applications: Flow, ICC/IF, IHC,  IHC-P, WB
MAB4459
Species: Hu, Mu, Rt
Applications: WB
NB500-106
Species: Ch, Dr, Fi, Hu, Mar, Mu, Po, Pm, Rb, Rt, Ye, Ze
Applications: ChIP, ChIP, ELISA, Flow, ICC/IF, IHC-FrFl, IHC, IHC-Fr,  IHC-P, IP, Simple Western, WB
NB200-103
Species: Hu, Mu, Rt, Xp(-), Ye
Applications: CyTOF-ready, ELISA, Flow-IC, Flow, ICC/IF, IHC, IHC-Fr,  IHC-P, IP, WB
NBP2-46085
Species: Hu
Applications: IHC,  IHC-P, WB
H00027065-M01
Species: Hu, Rt
Applications: ELISA, ICC/IF, S-ELISA, WB
H00000902-M01
Species: Hu
Applications: ELISA, ICC/IF, IHC,  IHC-P, S-ELISA, WB
NBP1-31308
Species: Bv, Hu, Mu, Rt
Applications: ICC/IF, IHC,  IHC-P, Simple Western, WB
NBP2-87539
Species: Hu
Applications: IHC,  IHC-P, WB
NB100-464
Species: Hu, Mu
Applications: IHC,  IHC-P, IP, WB
NBP1-87905
Species: Hu
Applications: ICC/IF, IHC,  IHC-P, WB
NBP2-45184
Species: Hu, Mu, Rt
Applications: Flow, ICC/IF, IHC,  IHC-P, WB
NBP1-33506
Species: Hu, Mu
Applications: IHC,  IHC-P, WB
MAB32652
Species: Hu
Applications: CyTOF-ready, ELISA, Flow, KO
NBP1-48291
Species: Hu, Mu, Rt
Applications: Flow, IHC,  IHC-P, IP, WB
NBP1-85727
Species: Hu
Applications: ICC/IF, IHC,  IHC-P
AF1230
Species: Hu, Mu, Rt
Applications: IHC, KO, WB
NB100-56098
Species: Ca, Hu, Mu, Rt
Applications: IHC,  IHC-P, IP, WB

Publications for CDC2/CDK1 Antibody (NBP2-66764) (0)

There are no publications for CDC2/CDK1 Antibody (NBP2-66764).
By submitting your publication information earn gift cards and discounts for future purchases.

Reviews for CDC2/CDK1 Antibody (NBP2-66764) (0)

There are no reviews for CDC2/CDK1 Antibody (NBP2-66764). By submitting a review you will receive an Amazon e-Gift Card or Novus Product Discount.
  • Review with no image -- $10/€7/£6/$10 CAD/¥70 Yuan/¥1110 Yen
  • Review with an image -- $25/€18/£15/$25 CAD/¥150 Yuan/¥2500 Yen

Product General Protocols

Find general support by application which include: protocols, troubleshooting, illustrated assays, videos and webinars.

Video Protocols

WB Video Protocol
ICC/IF Video Protocol

FAQs for CDC2/CDK1 Antibody (NBP2-66764) (0)

There are no specific FAQs related to this product. Read our general customer & technical service FAQs.

Contact Information

Product PDFs

Calculators

Concentration Calculator

The concentration calculator allows you to quickly calculate the volume, mass or concentration of your vial. Simply enter your mass, volume, or concentration values for your reagent and the calculator will determine the rest.

=
÷

Review this Product

Be the first to review our CDC2/CDK1 Antibody (SM01-44) and receive a gift card or discount.

Bioinformatics

Gene Symbol CDK1