CD99 Antibody (JF0991)

Images

 
Western Blot: CD99 Antibody (JF0991) [NBP2-67019] - Analysis of CD99 on THP-1 cells lysates using anti-CD99 antibody at 1/1,000 dilution.
Immunocytochemistry/ Immunofluorescence: CD99 Antibody (JF0991) [NBP2-67019] - Staining CD99 in PC-3M cells (red). The nuclear counter stain is DAPI (blue). Cells were fixed in paraformaldehyde, permeabilised with 0.25% ...read more
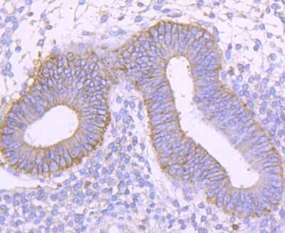
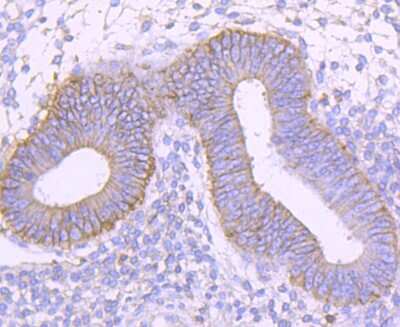
Immunohistochemistry-Paraffin: CD99 Antibody (JF0991) [NBP2-67019] - Analysis of paraffin-embedded human uterus tissue using anti-CD99 antibody. Counter stained with hematoxylin.
Flow Cytometry: CD99 Antibody (JF0991) [NBP2-67019] - Analysis of Jurkat cells with CD99 antibody at 1/50 dilution (red) compared with an unlabelled control (cells without incubation with primary antibody; black). Alexa ...read more
Immunocytochemistry/ Immunofluorescence: CD99 Antibody (JF0991) [NBP2-67019] - Staining CD99 in Hela cells (red). The nuclear counter stain is DAPI (blue). Cells were fixed in paraformaldehyde, permeabilised with 0.25% ...read more
Immunocytochemistry/ Immunofluorescence: CD99 Antibody (JF0991) [NBP2-67019] - Staining CD99 in PANC-1 cells (red). The nuclear counter stain is DAPI (blue). Cells were fixed in paraformaldehyde, permeabilised with ...read more
Immunohistochemistry-Paraffin: CD99 Antibody (JF0991) [NBP2-67019] - Analysis of paraffin-embedded human pancreas tissue using anti-CD99 antibody. Counter stained with hematoxylin.
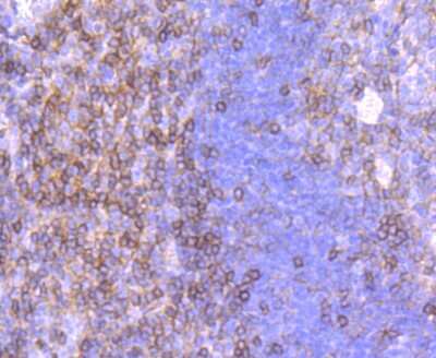
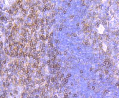
Immunohistochemistry-Paraffin: CD99 Antibody (JF0991) [NBP2-67019] - Analysis of paraffin-embedded human tonsil tissue using anti-CD99 antibody. Counter stained with hematoxylin.

Product Details

Summary
Product Discontinued
View other related CD99 Primary Antibodies

Order Details


    • Catalog Number
      NBP2-67019
    • Availability
      Product Discontinued

    Can't find what you are looking for? Use our Antibody Concierge Service & we will help you locate your antibody!

    Or feel free to contact us for alternative products.

CD99 Antibody (JF0991) Summary

Additional Information
Recombinant Monoclonal Antibody.
Immunogen
Recombinant protein within Human CD99 aa 1-130 / 185. (SwissProt: P14209 Human)
Localization
Membrane.
Isotype
IgG
Clonality
Monoclonal
Host
Rabbit
Gene
CD99
Purity
Protein A purified
Innovator's Reward
Test in a species/application not listed above to receive a full credit towards a future purchase.

Applications/Dilutions

Dilutions
  • Flow Cytometry 1:50-1:100
  • Immunocytochemistry/ Immunofluorescence 1:50-1:200
  • Immunohistochemistry
  • Immunohistochemistry-Paraffin 1:50-1:200
  • Immunoprecipitation
  • Western Blot 1:1000-1:2000

Packaging, Storage & Formulations

Storage
Store at 4C short term. Aliquot and store at -20C long term. Avoid freeze-thaw cycles.
Buffer
TBS (pH7.4), 0.05% BSA, 40% Glycerol
Preservative
0.05% Sodium Azide
Concentration
1 mg/ml
Purity
Protein A purified

Alternate Names for CD99 Antibody (JF0991)

  • 12E7
  • CD99 antigenY homolog
  • CD99 molecule
  • CD99
  • E2 antigen
  • HBA71
  • MIC2 (monoclonal 12E7)
  • MIC2
  • MIC2Y
  • MSK5X
  • pilr-1
  • PILR-L
  • Protein MIC2
  • surface antigen MIC2
  • T-cell surface glycoprotein E2

Background

CD99 is encoded by this gene is a cell surface glycoprotein involved in leukocyte migration, T-cell adhesion, ganglioside GM1 and transmembrane protein transport, and T-cell death by a caspase-independent pathway. In addition, the encoded protein may have the ability to rearrange the actin cytoskeleton and may also act as an oncosuppressor in osteosarcoma. Cyclophilin A binds to CD99 and may act as a signaling regulator of CD99. This gene is found in the pseudoautosomal region of chromosomes X and Y and escapes X-chromosome inactivation. Two transcript variants encoding different isoforms have been found for this gene. [provided by RefSeq]

Limitations

This product is for research use only and is not approved for use in humans or in clinical diagnosis. Primary Antibodies are guaranteed for 1 year from date of receipt.

Customers Who Viewed This Item Also Viewed...

NB100-524
Species: Hu, Mu
Applications: Flow-IC, Flow, ICC/IF, IHC, IHC-Fr,  IHC-P, IP, WB
NBP2-79843
Species: Hu
Applications: CyTOF-ready, ELISA, Flow, ICC/IF, IHC,  IHC-P, PA, WB
7268-CT
Species: Hu
Applications: BA
NB300-223
Species: Bv, Ca, Ch, Eq, Hu, Mu, Po, Rt
Applications: ICC/IF, IHC, IHC-Fr,  IHC-P, WB
AF4117
Species: Rt
Applications: IHC, WB
NB200-182
Species: Hu, Mu
Applications: IHC,  IHC-P, IP, Simple Western, WB
AF3844
Species: Hu, Mu
Applications: IHC
NB110-58870
Species: Hu, Mu, Rt
Applications: ICC/IF, IHC, KD, Simple Western, WB
NB100-56098
Species: Ca, Hu, Mu, Rt
Applications: IHC,  IHC-P, IP, WB
NB300-653
Species: Ch, Fe, Hu, Pm, Mu, Rt
Applications: ELISA, ICC/IF, IHC, IHC-Fr,  IHC-P, IP, WB
NB120-22711
Species: Hu, Mu
Applications: ELISA, Flow, ICC/IF, IHC, IHC-Fr,  IHC-P
AF2408
Species: Hu, Mu
Applications: CyTOF-ready, Flow, ICC, KO, Simple Western, WB
AF1356
Species: Hu, Mu
Applications: CyTOF-ready, Dual ISH-IHC, Flow, IHC, Simple Western, WB
NBP1-84854
Species: Hu, Mu, Rt
Applications: ICC/IF, IHC,  IHC-P, KD, WB
NBP2-67309
Species: Hu, Rt
Applications: Flow, ICC/IF, IHC,  IHC-P, IP, WB
AF114
Species: Mu
Applications: CyTOF-ready, Flow, ICC, IHC, WB
NBP1-87102
Species: Hu, Mu, Rt
Applications: ICC/IF, IHC,  IHC-P, WB
NBP1-87103
Species: Hu, Mu
Applications: IHC,  IHC-P, WB
AF1126
Species: Mu
Applications: ELISA(Cap), ELISA(Det), ELISA(Sta), IHC, IP, WB
NBP2-31368
Species: Hu
Applications: ICC/IF, IHC,  IHC-P, WB

Publications for CD99 Antibody (NBP2-67019) (0)

There are no publications for CD99 Antibody (NBP2-67019).
By submitting your publication information earn gift cards and discounts for future purchases.

Reviews for CD99 Antibody (NBP2-67019) (0)

There are no reviews for CD99 Antibody (NBP2-67019). By submitting a review you will receive an Amazon e-Gift Card or Novus Product Discount.
  • Review with no image -- $10/€7/£6/$10 CAD/¥70 Yuan/¥1110 Yen
  • Review with an image -- $25/€18/£15/$25 CAD/¥150 Yuan/¥2500 Yen

Product General Protocols

Video Protocols

WB Video Protocol
ICC/IF Video Protocol

FAQs for CD99 Antibody (NBP2-67019) (0)

There are no specific FAQs related to this product. Read our general customer & technical service FAQs.

Secondary Antibodies

 

Isotype Controls

Additional CD99 Products

Research Areas for CD99 Antibody (NBP2-67019)

Find related products by research area.

Blogs on CD99

There are no specific blogs for CD99, but you can read our latest blog posts.

Contact Information

Product PDFs

Calculators

Concentration Calculator

The concentration calculator allows you to quickly calculate the volume, mass or concentration of your vial. Simply enter your mass, volume, or concentration values for your reagent and the calculator will determine the rest.

=
÷

Review this Product

Be the first to review our CD99 Antibody (JF0991) and receive a gift card or discount.

Bioinformatics

Gene Symbol CD99