CD5 Antibody (CL12420) - Azide and BSA Free

Images

 
Orthogonal Strategies: Analysis in human lymph node and skeletal muscle tissues using NBP3-44269 antibody. Corresponding CD5 RNA-seq data are presented for the same tissues.
Staining of A-431 cells using the Anti-CD5 monoclonal antibody, showing localization in plasma membrane in green. Microtubule- and nuclear probes are visualized in red and blue, respectively.
Staining of human chronic lymphocytic leukemia shows strong membranous positivity in tumor cells.
Staining of human lymph node shows strong membranous positivity in germinal and non-germinal center cells.
Staining of human skeletal muscle shows no positivity in myocytes as expected.
Analysis in human cell line MOLT-4.
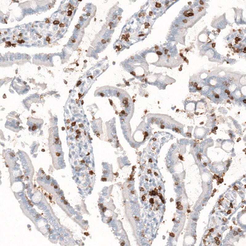
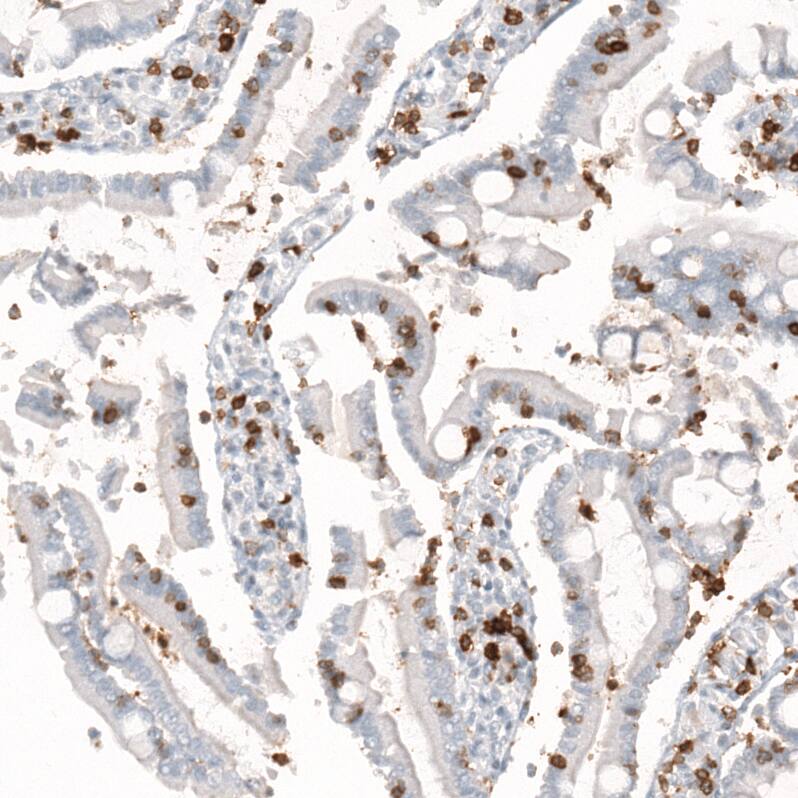
Staining of human small intestine shows strong membranous positivity in lymphoid cells.

Product Details

Summary
Reactivity HuSpecies Glossary
Applications WB, ICC/IF, IHC
Clone
CL12420
Clonality
Monoclonal
Host
Mouse
Conjugate
Unconjugated
Format
Azide and BSA Free
Concentration
LYOPH
Validated by:
       

Orthogonal Strategies

 

Order Details

CD5 Antibody (CL12420) - Azide and BSA Free Summary

Description
Novus Biologicals Mouse CD5 Antibody (CL12420) - Azide and BSA Free (NBP3-21215) is a monoclonal antibody validated for use in IHC, WB and ICC/IF. All Novus Biologicals antibodies are covered by our 100% guarantee.
Immunogen
This antibody was generated using a synthetic peptide of P06127, with the exact immunogen sequence remaining proprietary.
Isotype
IgG2a
Clonality
Monoclonal
Host
Mouse
Gene
CD5
Purity
Protein A purified
Innovator's Reward
Test in a species/application not listed above to receive a full credit towards a future purchase.

Applications/Dilutions

Dilutions
  • Immunocytochemistry/ Immunofluorescence 2-10 ug/ml
  • Immunohistochemistry-Paraffin 1:1000- 1:2500
  • Western Blot 1 ug/ml
Application Notes
Immunocytochemistry/ Immunofluorescence/IF Fixation Permeabilization: Use PFA/Triton X-100. For IHC-Paraffin, HIER pH 6 retrieval is recommended.

Packaging, Storage & Formulations

Storage
Store at 4C short term. Aliquot and store at -20C long term. Avoid freeze-thaw cycles.
Buffer
Lyophilized from a 0.2 um filtered solution in PBS with Trehalose
Preservative
No Preservative
Concentration
LYOPH
Purity
Protein A purified
Reconstitution Instructions
Centrifuge the vial of lyophilized antibody at 12,000 x g for 20 seconds. Reconstitute by adding sterile, distilled water to achieve a final antibody concentration of 1mg/ml.

Alternate Names for CD5 Antibody (CL12420) - Azide and BSA Free

  • CD5 antigen (p56-62)
  • CD5 antigen
  • CD5 molecule
  • CD5
  • LEU1T-cell surface glycoprotein CD5
  • Lymphocyte antigen T1/Leu-1
  • T1

Background

In humans, CD5 is a 55kDa T lymphocyte single chain transmembrane glycoprotein. It is present on all mature T lymphocytes, on most thymocytes and on many T cell leukemias and lymphomas. It reacts with a subpopulation of activated B cells. CD5/Lyt1 antigen is a monomeric type I transmembrane glycoprotein expressed on thymocytes, T lymphocytes, and a subset of B lymphocytes, but not on natural killer (NK) cells. It has been identified as the major ligand of the B cell antigen CD72. The frequency of CD5+ B cells exhibits strain dependent variation, and the phenotypic, anatomical, functional, developmental, and pathological characteristics of the CD5+ B cells suggest that they may represent a distinct lineage, known as B1 cells. Binding of CD5 on the T cell surface can augment alloantigen or mitogen induced lymphocyte proliferation and induces increased cytosolic free calcium, IL2 secretion, and IL2R expression. It has been proposed that CD5 negatively regulates signal transduction mediated by the T cell and B cell receptors.

Limitations

This product is for research use only and is not approved for use in humans or in clinical diagnosis. Primary Antibodies are guaranteed for 1 year from date of receipt.

Customers Who Viewed This Item Also Viewed...

7268-CT
Species: Hu
Applications: BA
NBP2-79843
Species: Hu
Applications: CyTOF-ready, ELISA, Flow, ICC/IF, IHC,  IHC-P, PA, WB
NB100-524
Species: Hu, Mu
Applications: Flow-IC, Flow, ICC/IF, IHC, IHC-Fr,  IHC-P, IP, WB
NB600-1441
Species: Ca, Hu, Mu, Po
Applications: Flow, ICC/IF, IHC, IHC-Fr,  IHC-P, KD
NBP1-19371
Species: Ca, Hu, Mu, Po, Rb, Rt
Applications: Dual ISH-IHC, Flow, ICC/IF, IHC, IHC-Fr,  IHC-P, Simple Western, WB
NBP1-49045
Species: Mu, Rt
Applications: Cell Depl, CyTOF-ready, Flow, ICC/IF, IHC, IHC-Fr,  IHC-P, IP, InhibTFunc
NBP2-54591
Species: Hu
Applications: CyTOF-ready, Flow, ICC/IF, IHC,  IHC-P, PA
NBP2-67309
Species: Hu, Rt
Applications: Flow, ICC/IF, IHC,  IHC-P, IP, WB
NBP2-25196
Species: Hu, Mu
Applications: CyTOF-ready, Flow, ICC/IF, In vitro, WB
NBP2-25200
Species: Hu
Applications: B/N, Flow, IHC, IHC-Fr, WB
AF1126
Species: Mu
Applications: ELISA(Cap), ELISA(Det), ELISA(Sta), IHC, IP, WB
202-IL
Species: Hu
Applications: BA
NBP2-37368
Species: Hu
Applications: CyTOF-ready, ELISA, Flow, IMC, IHC,  IHC-P, WB
AF114
Species: Mu
Applications: CyTOF-ready, Flow, ICC, IHC, WB
AF123
Species: Hu
Applications: Block, ICC, WB
NBP2-32840
Species: Hu, Pm, Mu, Rt
Applications: Flow, ICC/IF, IHC,  IHC-P, WB
DR2A00
Species: Hu
Applications: ELISA
DY417
Species: Mu
Applications: ELISA
6507-IL/CF
Species: Hu
Applications: BA
H00003669-M01
Species: Hu
Applications: ELISA, ICC/IF, S-ELISA, WB

Publications for CD5 Antibody (NBP3-44269) (0)

There are no publications for CD5 Antibody (NBP3-44269).
By submitting your publication information earn gift cards and discounts for future purchases.

Reviews for CD5 Antibody (NBP3-44269) (0)

There are no reviews for CD5 Antibody (NBP3-44269). By submitting a review you will receive an Amazon e-Gift Card or Novus Product Discount.
  • Review with no image -- $10/€7/£6/$10 CAD/¥70 Yuan/¥1110 Yen
  • Review with an image -- $25/€18/£15/$25 CAD/¥150 Yuan/¥2500 Yen

Product General Protocols

Find general support by application which include: protocols, troubleshooting, illustrated assays, videos and webinars.

Video Protocols

WB Video Protocol
ICC/IF Video Protocol

FAQs for CD5 Antibody (NBP3-44269) (0)

There are no specific FAQs related to this product. Read our general customer & technical service FAQs.

Secondary Antibodies

 

Isotype Controls

Additional CD5 Products

Research Areas for CD5 Antibody (NBP3-44269)

Find related products by research area.

Blogs on CD5.

How To Identify B Cell Subsets Using Flow Cytometry
By Victoria OsinskiUsing Flow Cytometry to Identify B Cell SubsetsIdentifying cellular subsets by flow cytometry requires careful and thorough planning in order to ensure the correct subset of cells are identified...  Read full blog post.

Customers Who Bought This Also Bought

Contact Information

Product PDFs

Calculators

Concentration Calculator

The concentration calculator allows you to quickly calculate the volume, mass or concentration of your vial. Simply enter your mass, volume, or concentration values for your reagent and the calculator will determine the rest.

=
÷

Review this Product

Be the first to review our CD5 Antibody (CL12420) - Azide and BSA Free and receive a gift card or discount.

Bioinformatics

Gene Symbol CD5