CD3 epsilon Antibody (SY0239)

Images

 
Western Blot: CD3 epsilon Antibody (SY0239) [NBP2-67428] - Analysis of CD3 epsilon on different lysates. Proteins were transferred to a PVDF membrane and blocked with 5% BSA in PBS for 1 hour at room temperature. The ...read more
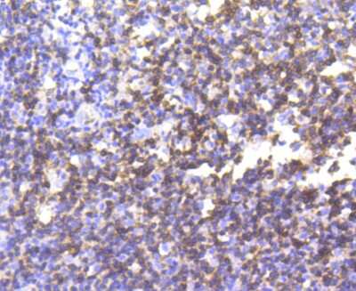
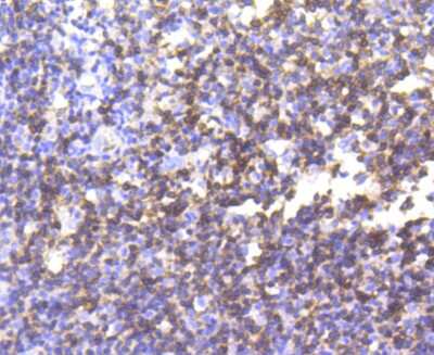
Immunohistochemistry-Paraffin: CD3 epsilon Antibody (SY0239) [NBP2-67428] - Immunohistochemical analysis of paraffin-embedded human tonsil tissue using anti-CD3 epsilon antibody. The section was pre-treated using heat ...read more
Flow Cytometry: CD3 epsilon Antibody (SY0239) [NBP2-67428] - Analysis of Jurkat cells with CD3 epsilon antibody at 1/50 dilution (blue) compared with an unlabelled control (cells without incubation with primary ...read more
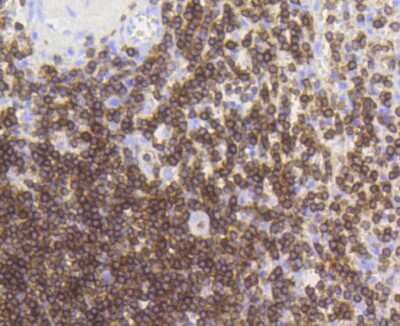
Immunohistochemistry-Paraffin: CD3 epsilon Antibody (SY0239) [NBP2-67428] - Analysis of paraffin-embedded human spleen tissue using anti-CD3 epsilon antibody. Counter stained with hematoxylin.
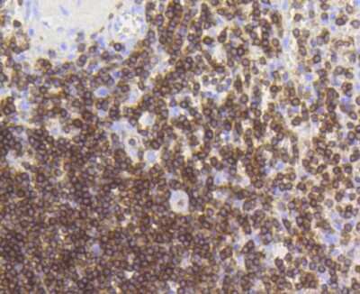
Immunohistochemistry-Paraffin: CD3 epsilon Antibody (SY0239) [NBP2-67428] - Analysis of paraffin-embedded human tonsil tissue using anti-CD3 epsilon antibody. Counter stained with hematoxylin.

Product Details

Summary
Product Discontinued
View other related CD3 epsilon Primary Antibodies

Order Details


    • Catalog Number
      NBP2-67428
    • Availability
      Product Discontinued

    Can't find what you are looking for? Use our Antibody Concierge Service & we will help you locate your antibody!

    Or feel free to contact us for alternative products.

CD3 epsilon Antibody (SY0239) Summary

Additional Information
Recombinant Monoclonal Antibody.
Immunogen
Synthetic peptide within human CD3 epsilon aa 153-203 (Cytoplasmic). (SwissProt: P07766 Human)
Localization
Cell membrane.
Isotype
IgG
Clonality
Monoclonal
Host
Rabbit
Gene
CD3E
Purity
Protein A purified
Innovator's Reward
Test in a species/application not listed above to receive a full credit towards a future purchase.

Applications/Dilutions

Dilutions
  • Flow Cytometry 1:50-1:100
  • Immunohistochemistry
  • Immunohistochemistry-Paraffin 1:50-1:200
  • Immunoprecipitation
  • Western Blot 1:500-1:2000

Packaging, Storage & Formulations

Storage
Store at 4C short term. Aliquot and store at -20C long term. Avoid freeze-thaw cycles.
Buffer
TBS (pH7.4), 0.05% BSA, 40% Glycerol
Preservative
0.05% Sodium Azide
Concentration
1 mg/ml
Purity
Protein A purified

Alternate Names for CD3 epsilon Antibody (SY0239)

  • CD3 epsilon
  • CD3e antigen
  • CD3e antigen, epsilon polypeptide (TiT3 complex)
  • CD3e molecule, epsilon (CD3-TCR complex)
  • CD3e
  • CD3-epsilon
  • FLJ18683
  • T3E
  • T-cell antigen receptor complex, epsilon subunit of T3
  • T-cell surface antigen T3/Leu-4 epsilon chain
  • T-cell surface glycoprotein CD3 epsilon chain
  • TCRE

Background

CD3 epsilon is a subunit of CD3. T cell activation through the antigen receptor (TCR) involves the cytoplasmic tails of the CD3 subunits: CD3 gamma, CD3 delta, CD3 epsilon and CD3 zeta. These CD3 subunits are structurally related members of the immunoglobulins super family encoded by closely linked genes on human chromosome 11. The CD3 components have long cytoplasmic tails that associate with cytoplasmic signal transduction molecules. This association is mediated at least in part by a double tyrosine based motif present in a single copy in the CD3 subunits. CD3 may play a role in TCR induced growth arrest, cell survival and proliferation. The CD3 antigen is present on 68-82% of normal peripheral blood lymphocytes, 65-85% of thymocytes and Purkinje cells in the cerebellum. It is never expressed on B or NK cells. Decreased percentages of T lymphocytes may be observed in some autoimmune diseases.

Limitations

This product is for research use only and is not approved for use in humans or in clinical diagnosis. Primary Antibodies are guaranteed for 1 year from date of receipt.

Customers Who Viewed This Item Also Viewed...

NB600-1441
Species: Ca, Hu, Mu, Po
Applications: Flow, ICC/IF, IHC, IHC-Fr,  IHC-P, KD
202-IL
Species: Hu
Applications: BA
NBP1-49045
Species: Mu, Rt
Applications: Cell Depl, CyTOF-ready, Flow, ICC/IF, IHC, IHC-Fr,  IHC-P, IP, InhibTFunc
NBP1-19371
Species: Ca, Hu, Mu, Po, Rb, Rt
Applications: Dual ISH-IHC, Flow, ICC/IF, IHC, IHC-Fr,  IHC-P, Simple Western, WB
MAB7297
Species: Mu
Applications: CyTOF-reported, Flow
7268-CT
Species: Hu
Applications: BA
NBP2-32636
Species: Hu
Applications: IHC,  IHC-P, Simple Western, WB
AF3709
Species: Hu
Applications: IHC, Simple Western, WB
NBP2-79843
Species: Hu
Applications: CyTOF-ready, ELISA, Flow, ICC/IF, IHC,  IHC-P, PA, WB
NB100-524
Species: Hu, Mu
Applications: Flow-IC, Flow, ICC/IF, IHC, IHC-Fr,  IHC-P, IP, WB
NBP2-76399
Species: Hu
Applications: Flow, ICC/IF, IHC,  IHC-P, IP, mIF, Simple Western, WB
MAB7500
Species: Hu
Applications: ICC, WB
485-MI
Species: Mu
Applications: BA
AF114
Species: Mu
Applications: CyTOF-ready, Flow, ICC, IHC, WB
AF2408
Species: Hu, Mu
Applications: CyTOF-ready, Flow, ICC, KO, Simple Western, WB
NB100-65265
Species: Hu, Mu(-), Rt(-)
Applications: IHC, IHC-Fr, IP
NBP2-27104
Species: Hu, Mu, Pm
Applications: IHC,  IHC-P, WB

Publications for CD3 epsilon Antibody (NBP2-67428) (0)

There are no publications for CD3 epsilon Antibody (NBP2-67428).
By submitting your publication information earn gift cards and discounts for future purchases.

Reviews for CD3 epsilon Antibody (NBP2-67428) (0)

There are no reviews for CD3 epsilon Antibody (NBP2-67428). By submitting a review you will receive an Amazon e-Gift Card or Novus Product Discount.
  • Review with no image -- $10/€7/£6/$10 CAD/¥70 Yuan/¥1110 Yen
  • Review with an image -- $25/€18/£15/$25 CAD/¥150 Yuan/¥2500 Yen

Product General Protocols

Find general support by application which include: protocols, troubleshooting, illustrated assays, videos and webinars.

Video Protocols

WB Video Protocol

FAQs for CD3 epsilon Antibody (NBP2-67428) (0)

There are no specific FAQs related to this product. Read our general customer & technical service FAQs.

Contact Information

Product PDFs

Calculators

Concentration Calculator

The concentration calculator allows you to quickly calculate the volume, mass or concentration of your vial. Simply enter your mass, volume, or concentration values for your reagent and the calculator will determine the rest.

=
÷

Review this Product

Be the first to review our CD3 epsilon Antibody (SY0239) and receive a gift card or discount.

Bioinformatics

Gene Symbol CD3E