CD20 Antibody (rMS4A1/8044) - Azide and BSA Free

Images

 
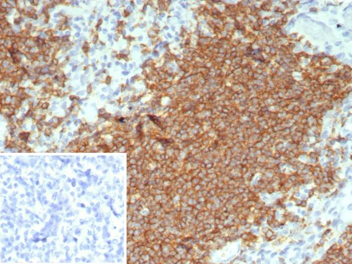
Immunohistochemistry-Paraffin: CD20 Antibody (rMS4A1/8044) - Azide and BSA Free [NBP3-24142] - Formalin-fixed, paraffin-embedded human tonsil stained with CD20 Antibody (rMS4A1/8044). Inset: PBS instead of primary ...read more
Western Blot Analysis of Raji cell lysate using CD20 Antibody (rMS4A1/8044) - Azide and BSA Free.
Western Blot Analysis of Raji cell lysate using CD20 Antibody (rMS4A1/8044) - Azide and BSA Free.

Product Details

Summary
Reactivity HuSpecies Glossary
Applications IHC
Clone
rMS4A1/8044
Clonality
Monoclonal
Host
Mouse
Conjugate
Unconjugated
Format
Azide and BSA Free
Concentration
1 mg/ml

Order Details

CD20 Antibody (rMS4A1/8044) - Azide and BSA Free Summary

Description
Antibody without azide - store at -20 to -80C.
Additional Information
Recombinant Monoclonal Antibody
Immunogen
Recombinant fragment (around aa200-297) of human CD20 protein (exact sequence is proprietary)
Localization
Cell Surface
Marker
B-Cell Marker
Specificity
This monoclonal antibody can be used for immunophenotyping of leukemia and malignant cells, B lymphocyte detection in peripheral blood and B cell localization in tissues. It reacts with the majority of B-cells present in peripheral blood and lymphoid tissues and their derived lymphomas. In lymphoid tissue, germinal center blasts and B-immunoblasts are particularly reactive. It is a reliable antibody for ascribing a B-cell phenotype in known lymphoid tissues. Rarely, CD20-positive T-cell lymphomas have been reported. Reactivity has also been noted with Reed-Sternberg cells in cases of Hodgkin s disease, particularly of lymphocyte predominant type.
Isotype
IgG1 Kappa
Clonality
Monoclonal
Host
Mouse
Gene
MS4A1
Purity
Protein A purified
Innovator's Reward
Test in a species/application not listed above to receive a full credit towards a future purchase.

Applications/Dilutions

Dilutions
  • Immunohistochemistry-Paraffin 1-2ug/ml
Application Notes
Immunohistochemistry-Paraffin: 1-2ug/ml for 30 minutes at RT. Staining of formalin-fixed tissues requires heating tissue sections in 10mM Tris with 1mM EDTA, pH 9.0, for 45 min at 95C followed by cooling at RT for 20 minutes. Optimal dilution for a specific application should be determined.

Packaging, Storage & Formulations

Storage
Store at -20 to -80C. Avoid freeze-thaw cycles.
Buffer
10mM PBS
Preservative
No Preservative
Concentration
1 mg/ml
Purity
Protein A purified

Alternate Names for CD20 Antibody (rMS4A1/8044) - Azide and BSA Free

  • B1
  • B-lymphocyte antigen CD20
  • B-lymphocyte cell-surface antigen B1
  • B-lymphocyte surface antigen B1
  • Bp35
  • Bp35MGC3969
  • CD20 antigen
  • CD20 receptor
  • CD20
  • CD20S7
  • CVID5
  • LEU-16
  • Leukocyte surface antigen Leu-16
  • Ly-44
  • Membrane-spanning 4-domains subfamily A member 1
  • membrane-spanning 4-domains, subfamily A, member 1
  • MS4A1
  • MS4A2
  • S7

Background

CD20 is a non-glycosylated phosphoprotein that is expressed on the surface of normal and malignant B cells and functions in mediating calcium transport and B cell differentiation (1,2). CD20 is encoded by the membrane-spanning 4-domain family A member 1 (MS4A1) gene and, in humans, is located on chromosome 11q12 (1). The CD20 protein is 297 amino acids (aa) in length with a theoretical molecular weight (MW) of 33 kDa (1,2). Structurally, the CD20 protein has four membrane-spanning domains, two extracellular loop domains, and intracellular N- and C-terminal domains (1,2). CD20 is expressed at specific stages of B cell maturation including pre-B cells, mature naive and activated B cells, and memory B cells, but is absent from plasmablasts and plasma cells (1,3,4). Expression of CD20 is often increased on malignant B cells associated with various B cell disorders such as chronic lymphocytic leukemia (CLL), multiple sclerosis (MS), and rheumatoid arthritis (2-4). Anti-CD20 monoclonal antibody (mAb)-based therapies have become an appealing target for treating these immune-related disorders and cancers (1-5). Rituximab, a chimeric mAb, was the first FDA approved CD20 monoclonal antibody for the treatment of non-Hodgkin's lymphoma that is now commonly used to treat MS (2,3). Since its initial approval in 1997, several other chimeric and humanized anti-CD20 mAbs have been developed including Ofatumumab, Ublituximab, and Obinutuzumab (1-5). B cell depletion via CD20 mAbs can occur under different mechanisms such as antibody-dependent cellular cytotoxicity (ADCC), antibody-dependent cellular phagocytosis (ADCP), complement-dependent cytotoxicity (CDC), and direct induction of apoptosis (1-4). Many ongoing studies are focused on combination therapies with CD20 mAbs as an addition to chemotherapy, B cell receptor (BCR) signaling inhibitors, or BH3 mimetics (1,2,4). Additionally, the effects of bispecific antibodies and CD20 chimeric antigen receptor (CAR) T cell therapies are under investigation for the treatment of B cell malignancies (4,5).

References

1. Pavlasova G, Mraz M. The regulation and function of CD20: an "enigma" of B-cell biology and targeted therapy. Haematologica. 2020; 105(6):1494-1506. https://doi.org/10.3324/haematol.2019.243543

2. Payandeh Z, Bahrami AA, Hoseinpoor R, et al. The applications of anti-CD20 antibodies to treat various B cells disorders. Biomed Pharmacother. 2019; 109:2415-2426. https://doi.org/10.1016/j.biopha.2018.11.121

3. Margoni M, Preziosa P, Filippi M, Rocca MA. Anti-CD20 therapies for multiple sclerosis: current status and future perspectives. J Neurol. 2022; 269(3):1316-1334. https://doi.org/10.1007/s00415-021-10744-x

4. Klein C, Jamois C, Nielsen T. Anti-CD20 treatment for B-cell malignancies: current status and future directions. Expert Opin Biol Ther. 2021; 21(2):161-181. https://doi.org/10.1080/14712598.2020.1822318

5. Sharman JP. Targeting CD20: teaching an old dog new tricks. Hematology Am Soc Hematol Educ Program. 2019; 2019(1):273-278. https://doi.org/10.1182/hematology.2019000031

Limitations

This product is for research use only and is not approved for use in humans or in clinical diagnosis. Primary Antibodies are guaranteed for 1 year from date of receipt.

Customers Who Viewed This Item Also Viewed...

NBP2-38449
Species: Hu
Applications: ICC/IF, IHC,  IHC-P
NB600-1441
Species: Ca, Hu, Mu, Po
Applications: Flow, ICC/IF, IHC, IHC-Fr,  IHC-P, KD
7268-CT
Species: Hu
Applications: BA
NBP2-79843
Species: Hu
Applications: CyTOF-ready, ELISA, Flow, ICC/IF, IHC,  IHC-P, PA, WB
NB100-524
Species: Hu, Mu
Applications: Flow-IC, Flow, ICC/IF, IHC, IHC-Fr,  IHC-P, IP, WB
NBP2-25196
Species: Hu, Mu
Applications: CyTOF-ready, Flow, ICC/IF, In vitro, WB
AF6457
Species: Hu
Applications: WB
NBP1-89342
Species: Hu, Mu
Applications: ICC/IF, IHC,  IHC-P, IP, WB
NBP2-45946
Species: Ca, Hu, Pm, Mu, Rt
Applications: ICC/IF, IHC,  IHC-P, WB
NBP2-45570
Species: Hu, Mu, Rt
Applications: Flow, IHC,  IHC-P, WB
NBP2-67150
Species: Hu, Mu, Rt
Applications: IHC, IHC-Fr,  IHC-P, IP, WB
NBP1-59069
Species: Hu
Applications: ICC/IF, IHC,  IHC-P, WB
NBP3-17255
Species: Hu
Applications: ICC/IF, WB
AF1126
Species: Mu
Applications: ELISA(Cap), ELISA(Det), ELISA(Sta), IHC, IP, WB
AF114
Species: Mu
Applications: CyTOF-ready, Flow, ICC, IHC, WB
NBP1-19371
Species: Ca, Hu, Mu, Po, Rb, Rt
Applications: Dual ISH-IHC, Flow, ICC/IF, IHC, IHC-Fr,  IHC-P, Simple Western, WB
NBP2-70360
Species: Hu
Applications: CyTOF-ready, Flow, IMC, ICC/IF, IHC,  IHC-P, WB
NBP1-49045
Species: Mu, Rt
Applications: Cell Depl, CyTOF-ready, Flow, ICC/IF, IHC, IHC-Fr,  IHC-P, IP, InhibTFunc
NBP2-36776
Species: Hu
Applications: ICC/IF, IHC,  IHC-P, KD, WB

Publications for CD20 Antibody (NBP3-24142) (0)

There are no publications for CD20 Antibody (NBP3-24142).
By submitting your publication information earn gift cards and discounts for future purchases.

Reviews for CD20 Antibody (NBP3-24142) (0)

There are no reviews for CD20 Antibody (NBP3-24142). By submitting a review you will receive an Amazon e-Gift Card or Novus Product Discount.
  • Review with no image -- $10/€7/£6/$10 CAD/¥70 Yuan/¥1110 Yen
  • Review with an image -- $25/€18/£15/$25 CAD/¥150 Yuan/¥2500 Yen

Product General Protocols

Find general support by application which include: protocols, troubleshooting, illustrated assays, videos and webinars.

FAQs for CD20 Antibody (NBP3-24142) (0)

There are no specific FAQs related to this product. Read our general customer & technical service FAQs.

Secondary Antibodies

 

Isotype Controls

Additional CD20 Products

Research Areas for CD20 Antibody (NBP3-24142)

Find related products by research area.

Blogs on CD20.

Unlocking the Potential of Biosimilars in Immuno-Oncology
By Jennifer Jones, M.S.Biosimilar Antibodies: Imitation Meets InnovationIn the ever-evolving medical landscape, a new class of pharmaceuticals is emerging as a game-changer, poised to transform the way we approach...  Read full blog post.

Antigen-loss relapse after successful CAR-T therapy; What do we do now?
By Jacqueline Carrico, BS, MD Tumor cell mechanisms driving tolerance to CAR-T Despite very promising results of CAR-T therapy in acute lymphoblastic leukemia, B-ALL, antigen-loss relapse has arisen as a major chall...  Read full blog post.

CD20 (Cluster of differentiation 20, Membrane-spanning 4-domains subfamily A member 1 (MS4A1), CVID5, B-lymphocyte surface antigen B1)
CD20 is a human B-lymphocyte surface molecule that spans the membrane four times and is expressed on both normal and malignant cells. The CD20 antigen displays a unique expression pattern among hematopoietic cells - it is present on human pre B-ly...  Read full blog post.

Customers Who Bought This Also Bought

Contact Information

Product PDFs

Calculators

Concentration Calculator

The concentration calculator allows you to quickly calculate the volume, mass or concentration of your vial. Simply enter your mass, volume, or concentration values for your reagent and the calculator will determine the rest.

=
÷

Review this Product

Be the first to review our CD20 Antibody (rMS4A1/8044) - Azide and BSA Free and receive a gift card or discount.

Bioinformatics

Gene Symbol MS4A1