Cathepsin B Antibody [Biotin]

Images

 
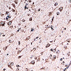
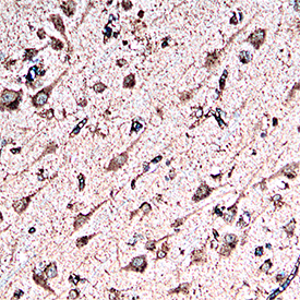
Cathepsin B was detected in immersion fixed paraffin-embedded sections of human brain cortex using Goat Anti-Human Cathepsin B Biotinylated Antigen Affinity-purified Polyclonal Antibody (Catalog # BAF953) at ...read more

Product Details

Summary
Reactivity HuSpecies Glossary
Applications WB, IHC, ELISA(Det)
Clonality
Polyclonal
Host
Goat
Conjugate
Biotin
Concentration
LYOPH

Order Details

Cathepsin B Antibody [Biotin] Summary

Immunogen
Mouse myeloma cell line NS0-derived recombinant human Cathepsin B
Arg18-Ile339
Accession # P07858
Specificity
Detects human Cathepsin B in ELISAs and Western blots. In sandwich immunoassays, less than 0.2% cross-reactivity with recombinant human (rh) Cathepsin A, C, D, E, L, S, V, X/Z/P, rhCystatin C, D, SA, recombinant mouse (rm) Cystatin C, D, SA, and rmCathepsin B is observed.
Source
N/A
Isotype
IgG
Clonality
Polyclonal
Host
Goat
Gene
CTSB
Purity Statement
Antigen Affinity-purified
Innovator's Reward
Test in a species/application not listed above to receive a full credit towards a future purchase.

Applications/Dilutions

Dilutions
  • ELISA Capture (Matched Antibody Pair) 2-8 ug/mL
  • ELISA Detection (Matched Antibody Pair) 0.1-0.4 ug/mL
  • ELISA Standard (Matched Pair)
  • Immunohistochemistry 5-15 ug/mL
  • Western Blot 0.1 ug/mL
Application Notes
ELISA Capture: Human Pro-Cathepsin B Antibody (Catalog # MAB2176)
ELISA Detection: Human Cathepsin B Biotinylated Antibody (Catalog # BAF953)
Standard: Recombinant Human Cathepsin B (Catalog # 953CY)
Readout System
Publications
Read Publication using
BAF953 in the following applications:

Packaging, Storage & Formulations

Storage
Use a manual defrost freezer and avoid repeated freeze-thaw cycles.
  • 12 months from date of receipt, -20 to -70 °C as supplied.
  • 1 month, 2 to 8 °C under sterile conditions after reconstitution.
  • 6 months, -20 to -70 °C under sterile conditions after reconstitution.
Buffer
Lyophilized from a 0.2 μm filtered solution in PBS with BSA as a carrier protein.
Preservative
No Preservative
Concentration
LYOPH
Reconstitution Instructions
Reconstitute at 0.2 mg/mL in sterile PBS.

Notes

This product is produced by and ships from R&D Systems, Inc., a Bio-Techne brand.

Alternate Names for Cathepsin B Antibody [Biotin]

  • APP secretase
  • APPS
  • Cathepsin B
  • Cathepsin B1
  • CPSBamyloid precursor protein secretase
  • CTSB
  • cysteine protease
  • EC 3.4.22
  • EC 3.4.22.1

Background

Cathepsin B is the first described member of the family of lysosomal cysteine proteases (1). Cathepsin B possesses both endopeptidase and exopeptidase activities, in the latter case acting as a peptidyl-dipeptidase. It is known to process a number of proteins, including pro and active caspases, prorenin, and secretory leucoprotease inhibitor (SLPI) (2-4). Therefore, Cathepsin B may play a role in activation and inactivation of caspases, activation of renin and inactivation of SLPI, the key steps in apoptosis, angiotensin production, and progression of emphysema, respectively. Because of its increased levels and redistribution of the enzyme in human and animal tumors, Cathepsin B may also have role in invasion and metastasis (5).

In addition to lysosome, Cathepsin B can be secreted or associated with plasma membrane, cytoplasm, and nucleus. It is synthesized as a preproenzyme. Following removal of the signal peptide, the inactive proenzyme undergoes further modifications including removal of the pro region to result in the active enzyme (1).

  1. Mort, J.S. (2004) in Handbook of Proteolytic Enzymes. Barrett, A.J. et al. (eds): Academic Press, San Diego, p. 1079.
  2. Vancompernolle, K. et al. (1998) FEBS Lett. 438:150.
  3. Jutras, I. and T.L. Reudelhuber (1999) FEBS Lett. 443:48.
  4. Taggart, C.C. et al. (2001) J. Biol. Chem. 276:33345.
  5. Bergquin, I.M. and B.F. Sloane (1996) Adv. Exp. Med. Biol. 389:281.

Limitations

This product is for research use only and is not approved for use in humans or in clinical diagnosis. Primary Antibodies are guaranteed for 1 year from date of receipt.

Customers Who Viewed This Item Also Viewed...

AF952
Species: Hu
Applications: ELISA(Cap), ELISA(Det), ELISA(Sta), IHC, IP, WB
AF1029
Species: Mu
Applications: ICC, IHC, IP, WB
AF1013
Species: Mu
Applications: IHC, IP, WB
MSCTC0
Species: Mu, Rt
Applications: ELISA
H00001513-M01
Species: Hu
Applications: ELISA, ICC/IF, IHC,  IHC-P, WB
AF1183
Species: Hu
Applications: ELISA(Cap), ELISA(Det), ELISA(Sta), IHC, IP, Neut, WB
1310-SE
Species: Hu
Applications: EnzAct
AF1286
Species: Hu
Applications: IHC, IP, Simple Western, WB
NB600-930
Species: Hu, Rt
Applications: ELISA, WB
AF1034
Species: Mu, Rt
Applications: IHC, Simple Western, WB
MAB1455
Species: Hu
Applications: CyTOF-ready, Dual ISH-IHC, ICC, IHC, ICFlow, Simple Western, WB
NBP2-13075
Species: Ba, Hu, Pm, Mu, Rt
Applications: DB, ELISA, IB, ICC/IF, IHC-FrFl, IHC, IHC-Fr,  IHC-P, IP, WB
NBP2-12446
Species: Hu, Mu, Rt
Applications: Flow, ICC/IF, IHC, IHC-Fr,  IHC-P, IM, IP, KD, WB
DY4517-05
Species: Mu
Applications: ELISA
MAB1417
Species: Bv, Hu, Mu
Applications: ICC, IHC
BAF953
Species: Hu
Applications: WB, IHC, ELISA(Det)

Publications for Cathepsin B Antibody (BAF953)(1)

We have publications tested in 1 confirmed species: Human.

We have publications tested in 1 application: ELISA Detection.


Filter By Application
ELISA Detection
(1)
All Applications
Filter By Species
Human
(1)
All Species

Reviews for Cathepsin B Antibody (BAF953) (0)

There are no reviews for Cathepsin B Antibody (BAF953). By submitting a review you will receive an Amazon e-Gift Card or Novus Product Discount.
  • Review with no image -- $10/€7/£6/$10 CAD/¥70 Yuan/¥1110 Yen
  • Review with an image -- $25/€18/£15/$25 CAD/¥150 Yuan/¥2500 Yen

Product General Protocols

Find general support by application which include: protocols, troubleshooting, illustrated assays, videos and webinars.

Video Protocols

WB Video Protocol

FAQs for Cathepsin B Antibody (BAF953) (0)

There are no specific FAQs related to this product. Read our general customer & technical service FAQs.

Secondary Antibodies

 

Isotype Controls

Additional Cathepsin B Products

Blogs on Cathepsin B.

Cathepsin B - a lysosomal protease with potential of an important drug target in neurological diseases and cancer
Cathepsins are a family of lysosomal proteases (serine, aspartic and cysteine proteases) that acts in conjunction with lipases and nucleases to degrade biological macromolecules in the lysosomes (1). While most cathepsins are ubiquitously expressed...  Read full blog post.

Caspase 11: A novel non-canonical inflammasomes
Cell death via apoptosis is a key cellular function triggered by the cell death receptor family and their ligands. This regulated process then transmits downstream signals through adaptor molecules ending with the caspase cysteine proteases. Caspas...  Read full blog post.

Customers Who Bought This Also Bought

Contact Information

Product PDFs

Calculators

Concentration Calculator

The concentration calculator allows you to quickly calculate the volume, mass or concentration of your vial. Simply enter your mass, volume, or concentration values for your reagent and the calculator will determine the rest.

=
÷

Review this Product

Be the first to review our Cathepsin B Antibody [Biotin] and receive a gift card or discount.

Bioinformatics

Gene Symbol CTSB
Uniprot