Caspase 5 Antibody (SD203-2)

Images

 
Immunocytochemistry/ Immunofluorescence: Caspase 5 Antibody (SD203-2) [NBP2-67757] - Staining Caspase 5 in SHG-44 cells (green). The nuclear counter stain is DAPI (blue). Cells were fixed in paraformaldehyde, ...read more
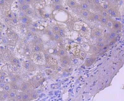
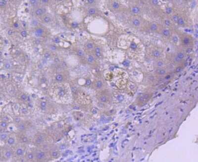
Immunohistochemistry-Paraffin: Caspase 5 Antibody (SD203-2) [NBP2-67757] - Analysis of paraffin-embedded human liver tissue using anti-Caspase 5 antibody. Counter stained with hematoxylin.
Immunocytochemistry/ Immunofluorescence: Caspase 5 Antibody (SD203-2) [NBP2-67757] - Staining Caspase 5 in A549 cells (green). The nuclear counter stain is DAPI (blue). Cells were fixed in paraformaldehyde, ...read more
Immunocytochemistry/ Immunofluorescence: Caspase 5 Antibody (SD203-2) [NBP2-67757] - Staining Caspase 5 in Hela cells (green). The nuclear counter stain is DAPI (blue). Cells were fixed in paraformaldehyde, ...read more

Product Details

Summary
Product Discontinued
View other related Caspase 5 Primary Antibodies

Order Details


    • Catalog Number
      NBP2-67757
    • Availability
      Product Discontinued

    Can't find what you are looking for? Use our Antibody Concierge Service & we will help you locate your antibody!

    Or feel free to contact us for alternative products.

Caspase 5 Antibody (SD203-2) Summary

Additional Information
Recombinant Monoclonal Antibody.
Immunogen
Synthetic peptide within Human Caspase 5 aa 1-50 / 434. (SwissProt: P51878 Human)
Localization
NLRP1 inflammasome complex, cytoplasm.
Isotype
IgG
Clonality
Monoclonal
Host
Rabbit
Gene
CASP5
Purity
Protein A purified
Innovator's Reward
Test in a species/application not listed above to receive a full credit towards a future purchase.

Applications/Dilutions

Dilutions
  • Immunocytochemistry/ Immunofluorescence 1:50-1:200
  • Immunohistochemistry
  • Immunohistochemistry-Paraffin 1:50-1:200
  • Immunoprecipitation
  • Western Blot 1:500-1:1000
Control
Jurkat Staurosporine Treated / Untreated Cell Lysate

Packaging, Storage & Formulations

Storage
Store at 4C short term. Aliquot and store at -20C long term. Avoid freeze-thaw cycles.
Buffer
TBS (pH7.4), 0.05% BSA, 40% Glycerol
Preservative
0.05% Sodium Azide
Concentration
1 mg/ml
Purity
Protein A purified

Alternate Names for Caspase 5 Antibody (SD203-2)

  • CASP5
  • CASP-5
  • caspase 5, apoptosis-related cysteine peptidase
  • caspase 5, apoptosis-related cysteine protease
  • Caspase5
  • Caspase-5
  • EC 3.4.22
  • EC 3.4.22.58
  • ICE(rel)III
  • ICE(rel)-III
  • ICEREL-III
  • ICH3
  • ICH-3
  • MGC141966
  • Protease ICH-3
  • Protease TY
  • TY protease

Background

Caspases are a family of cytosolic aspartate-specific cysteine proteases involved in the initiation and execution of apoptosis. Caspase-5 (ICH-3, ICEREL-III, TY protease) is a member of the caspase-1 subfamily and it is an upstream mediator of apoptosis. Caspase-5 is highly expressed in lung, liver, and skeletal muscle, and similar to Caspase-4, its overexpression can induce cellular apoptosis (1). A tetramer, Caspase-5 separates into two subunits of a 20kda (p20) and 10kda (p10) after activation. In vitro, Caspase-5 can be cleaved by GranB, a major player in Cytotoxic T lymphocytes (CTL) induced apoptosis (2). In vivo, the Caspase-5 expression is elevated by LPS and IFNg. Caspase-5 induced apoptosis can be inhibited by CrmA and Bcl-2. Caspase-5 has also been implicated in cellular inflammatory response and in the microsatelite mutator pathway for cancer (3).

Limitations

This product is for research use only and is not approved for use in humans or in clinical diagnosis. Primary Antibodies are guaranteed for 1 year from date of receipt.

Customers Who Viewed This Item Also Viewed...

NB100-56565
Species: Hu, Mu, Rt
Applications: ICC/IF, IHC, IHC-Fr,  IHC-P, Simple Western, WB
NB120-10454
Species: Bv, Hu, Mu, Rt
Applications: ELISA, Flow, IB, ICC/IF, IHC, IHC-Fr,  IHC-P, IP, KD, KO, MiAr, WB
H00001523-M01
Species: Hu, Mu, Rt
Applications: ELISA, ICC/IF, IHC,  IHC-P, IP, WB
NBP1-94105
Species: Hu, Mu, Rt
Applications: ICC/IF, IHC,  IHC-P, WB
NB100-1002
Species: Hu
Applications: ICC/IF, PEP-ELISA, WB
AF820
Species: Hu, Mu
Applications: ICC, IHC, KO, Simple Western, WB
NB100-56116
Species: Ma, Hu, Mu, Rt
Applications: Flow, ICC/IF, IHC, IHC-Fr,  IHC-P, IP, Simple Western, WB
NBP3-24587
Species: Hu
Applications: ICC/IF, IHC,  IHC-P, WB
NB100-56114
Species: Ca, Hu, Mu, Rt
Applications: ICC/IF, IHC, IHC-Fr,  IHC-P, IP, WB
AF4117
Species: Rt
Applications: IHC, WB
NBP1-78977
Species: Hu, Mu, Rt
Applications: Flow-IC, Flow, ICC/IF, IHC,  IHC-P, IM, IP, Simple Western, WB
NBP2-12446
Species: Hu, Mu, Rt
Applications: Flow, ICC/IF, IHC, IHC-Fr,  IHC-P, IM, IP, KD, WB
NBP1-54899
Species: Hu, Rt
Applications: ICC/IF, IHC, IHC-Fr, WB
NBP1-83319
Species: Hu, Mu, Rt
Applications: ICC/IF, IHC,  IHC-P, WB
NB100-56118
Species: Ca, Ma, Hu, Mu, Rt
Applications: Flow-IC, ICC/IF, IHC, IHC-Fr,  IHC-P, IP, WB
NB100-56529
Species: Hu, Mu, Rt
Applications: IHC,  IHC-P, WB

Publications for Caspase 5 Antibody (NBP2-67757) (0)

There are no publications for Caspase 5 Antibody (NBP2-67757).
By submitting your publication information earn gift cards and discounts for future purchases.

Reviews for Caspase 5 Antibody (NBP2-67757) (0)

There are no reviews for Caspase 5 Antibody (NBP2-67757). By submitting a review you will receive an Amazon e-Gift Card or Novus Product Discount.
  • Review with no image -- $10/€7/£6/$10 CAD/¥70 Yuan/¥1110 Yen
  • Review with an image -- $25/€18/£15/$25 CAD/¥150 Yuan/¥2500 Yen

Product General Protocols

Find general support by application which include: protocols, troubleshooting, illustrated assays, videos and webinars.

Video Protocols

WB Video Protocol
ICC/IF Video Protocol

FAQs for Caspase 5 Antibody (NBP2-67757) (0)

There are no specific FAQs related to this product. Read our general customer & technical service FAQs.

Control Lysate(s)

Secondary Antibodies

 

Isotype Controls

Additional Caspase 5 Products

Research Areas for Caspase 5 Antibody (NBP2-67757)

Find related products by research area.

Blogs on Caspase 5.

CARD & NFKB Antibodies for Apoptosis Research
Apoptosis is one of the main types of programmed cell death which involves a cascade of biochemical events leading to specific cell morphology characteristics and ultimately death of cells.Caspases play crucial roles in modulating cellular signaling...  Read full blog post.

Caspase Antibodies as Cancer Biomarkers
We at Novus Biologicals are one of the leading antibody suppliers for products targeted to apoptosis. These products are regularly used by cancer research groups - apoptosis is fundamental to developing therapies that will kill tumor cells. Caspase pr...  Read full blog post.

Contact Information

Product PDFs

Calculators

Concentration Calculator

The concentration calculator allows you to quickly calculate the volume, mass or concentration of your vial. Simply enter your mass, volume, or concentration values for your reagent and the calculator will determine the rest.

=
÷

Review this Product

Be the first to review our Caspase 5 Antibody (SD203-2) and receive a gift card or discount.

Bioinformatics

Gene Symbol CASP5