CASD1 Antibody - BSA Free

Images

 
Immunocytochemistry/ Immunofluorescence: CASD1 Antibody [NBP1-91750] - Immunofluorescent staining of human cell line U-2 OS shows localization to nucleoplasm.
Immunohistochemistry-Paraffin: CASD1 Antibody [NBP1-91750] - Staining of human placenta shows strong cytoplasmic positivity in decidua cells.
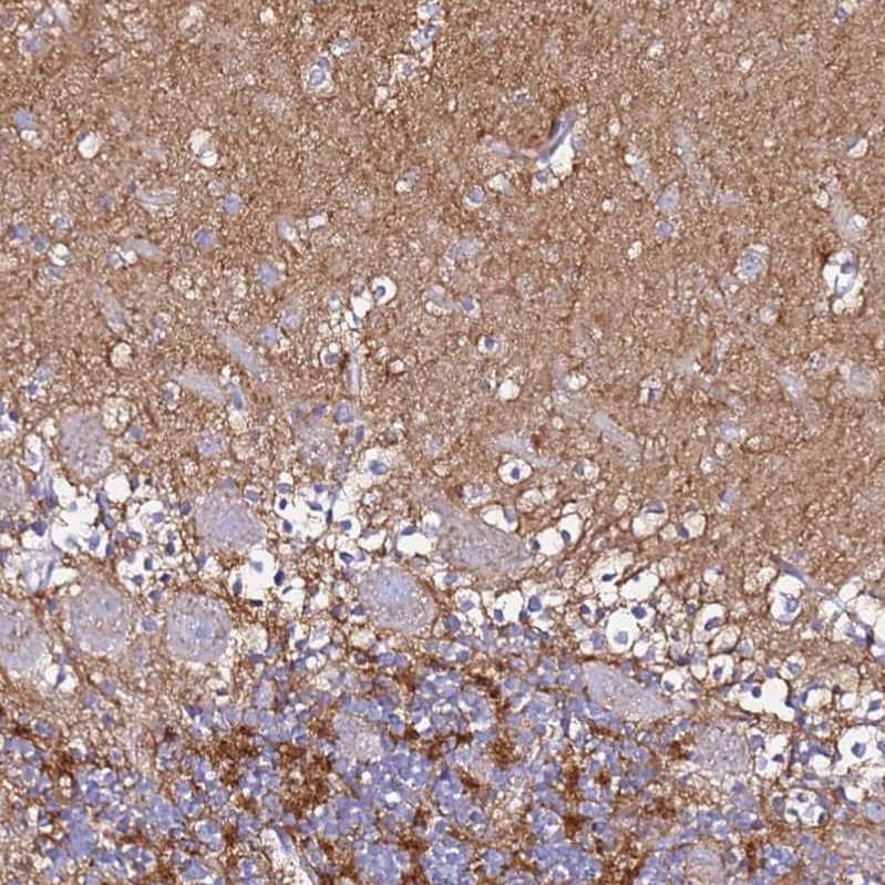
Staining of human cerebellum shows strong cytoplasmic positivity in neuropil.
Staining of human cerebral cortex shows strong cytoplasmic positivity in neuropil.
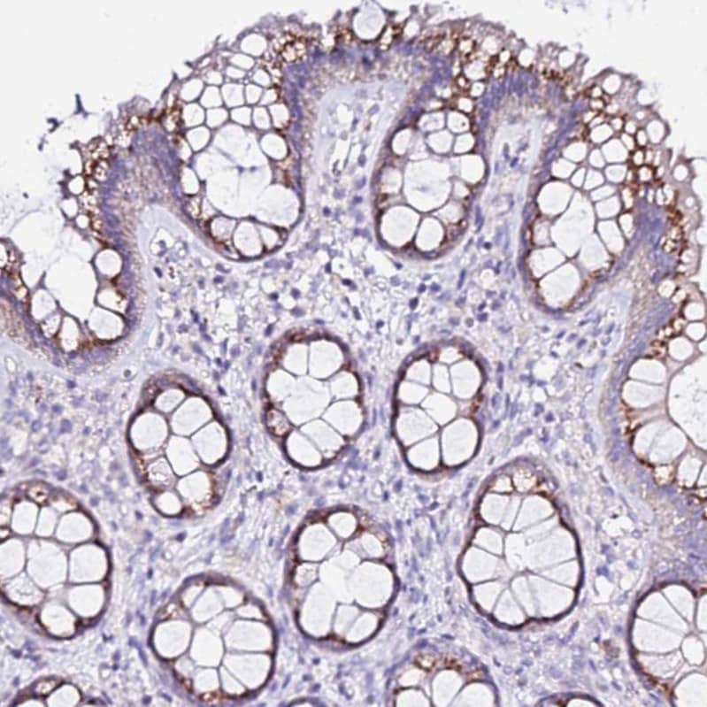
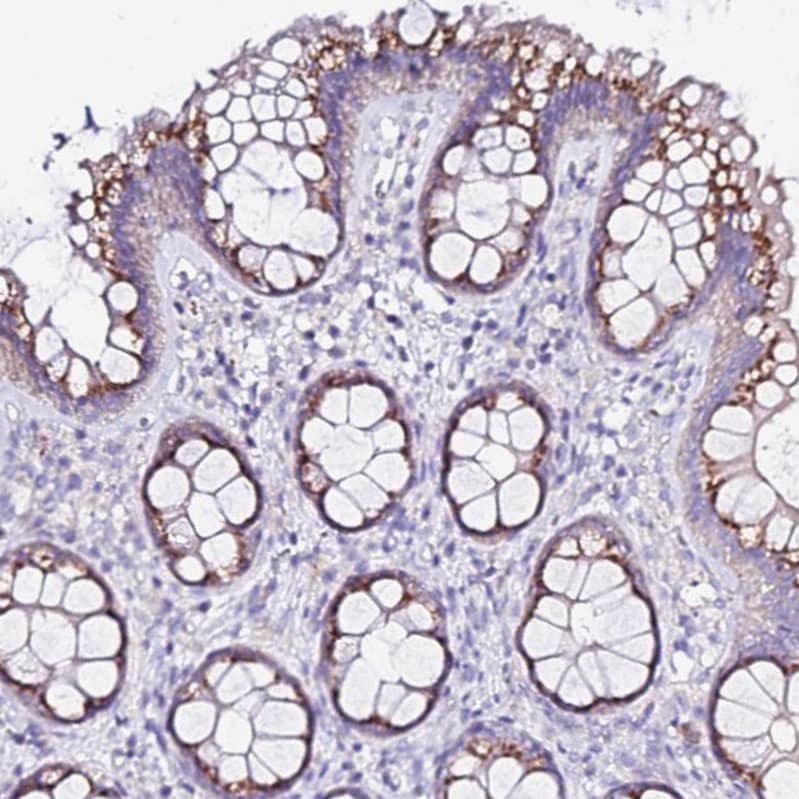
Staining of human colon shows moderate cytoplasmic granular positivity in glandular cells.
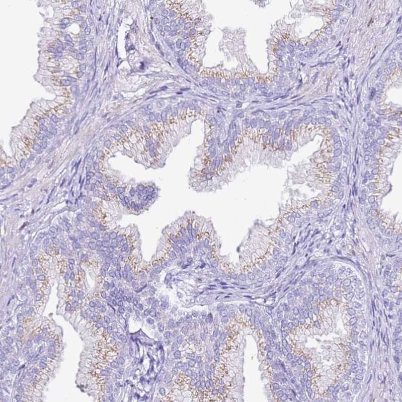
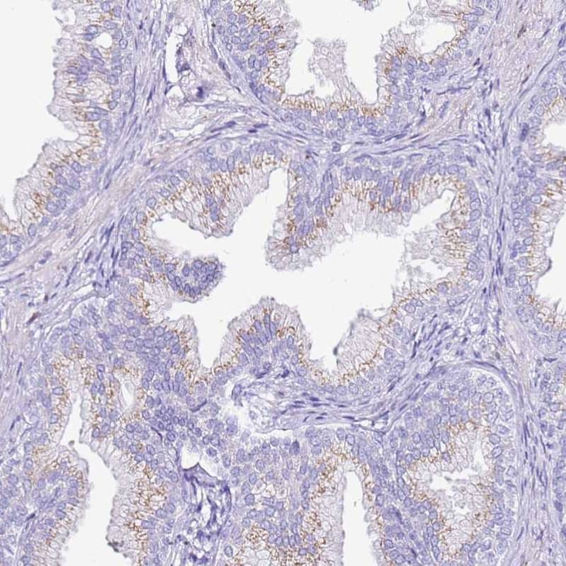
Staining of human prostate shows moderate cytoplasmic granular positivity in glandular cells.

Product Details

Summary
Reactivity Hu, Mu, RtSpecies Glossary
Applications ICC/IF, IHC
Clonality
Polyclonal
Host
Rabbit
Conjugate
Unconjugated
Format
BSA Free

Order Details

View Available Formulations
Catalog# & Formulation Size Price

CASD1 Antibody - BSA Free Summary

Description
Novus Biologicals Rabbit CASD1 Antibody - BSA Free (NBP1-91750) is a polyclonal antibody validated for use in IHC and ICC/IF. All Novus Biologicals antibodies are covered by our 100% guarantee.
Immunogen
This antibody was developed against Recombinant Protein corresponding to amino acids: SIAKPHVIVAGAATWSIKIHNGSSEALSQYKMNITSIAPLLEKLAKTSDVYWVLQDPVYEDLLSENRKMITNEKIDAY
Predicted Species
Mouse (95%), Rat (95%). Backed by our 100% Guarantee.
Isotype
IgG
Clonality
Polyclonal
Host
Rabbit
Gene
CASD1
Purity
Immunogen affinity purified
Innovator's Reward
Test in a species/application not listed above to receive a full credit towards a future purchase.

Applications/Dilutions

Dilutions
  • Immunocytochemistry/ Immunofluorescence 0.25-2 ug/ml
  • Immunohistochemistry 1:200 - 1:500
  • Immunohistochemistry-Paraffin 1:200 - 1:500
Application Notes
For IHC-Paraffin, HIER pH 6 retrieval is recommended. Immunocytochemistry/Immunofluorescence Fixation Permeabilization: Use PFA/Triton X-100.
Control Peptide
CASD1 Protein (NBP1-91750PEP)

Packaging, Storage & Formulations

Storage
Store at 4C short term. Aliquot and store at -20C long term. Avoid freeze-thaw cycles.
Buffer
PBS (pH 7.2) and 40% Glycerol
Preservative
0.02% Sodium Azide
Purity
Immunogen affinity purified

Alternate Names for CASD1 Antibody - BSA Free

  • C7orf12O-acetyltransferase
  • CAS1 domain containing 1
  • CAS1 domain-containing protein 1
  • FLJ21213
  • FLJ21879
  • FLJ41901
  • NBLA04196
  • WUGSC:H_GS542D18.2

Limitations

This product is for research use only and is not approved for use in humans or in clinical diagnosis. Primary Antibodies are guaranteed for 1 year from date of receipt.

Customers Who Viewed This Item Also Viewed...

NBP2-59311
Species: Hu, Mu, Rt
Applications: ICC/IF, IHC, WB
NBP1-33751
Species: Hu
Applications: IHC,  IHC-P, WB
NBP1-92167
Species: Hu
Applications: ICC/IF, IHC,  IHC-P, WB
NBP2-88192
Species: Hu
Applications: IHC,  IHC-P, WB
NBP2-13641
Species: Hu
Applications: IHC,  IHC-P
NBP1-46191
Species: Dr, Hu, Mu
Applications: IP, WB
NBP3-45311
Species: Hu, Mu, Rt
Applications: ELISA, IHC, IP, , WB
NBP3-12251
Species: Hu, Mu, Rt
Applications: ELISA, ICC/IF, IHC,  IHC-P, IP, WB
NBP1-81010
Species: Hu, Mu
Applications: ICC/IF, IHC,  IHC-P
NBP1-85311
Species: Hu, Mu, Rt
Applications: ICC/IF, IHC,  IHC-P, KD, WB
NBP1-83239
Species: Bv, Hu
Applications: IHC,  IHC-P, WB
NBP1-30475
Species: Hu, Mu
Applications: IHC,  IHC-P, IP, WB
NBP2-02563
Species: Hu
Applications: Flow, ICC/IF, IHC,  IHC-P, WB
NBP1-81838
Species: Hu, Mu
Applications: IHC,  IHC-P, WB
NBP1-86616
Species: Hu
Applications: IHC,  IHC-P, WB
NBP2-29429
Species: Bv, Ca, Ch, Hu, Pm, Mu, Rb, Rt, Re, Ze
Applications: CyTOF-reported, Dual ISH-IHC, Flow-IC, Flow, ICC/IF, IHC, IHC-Fr,  IHC-P, Single-Cell Western, WB
AF2656
Species: Hu
Applications: IHC, WB
NBP1-91750
Species: Hu, Mu, Rt
Applications: ICC/IF, IHC

Publications for CASD1 Antibody (NBP1-91750) (0)

There are no publications for CASD1 Antibody (NBP1-91750).
By submitting your publication information earn gift cards and discounts for future purchases.

Reviews for CASD1 Antibody (NBP1-91750) (0)

There are no reviews for CASD1 Antibody (NBP1-91750). By submitting a review you will receive an Amazon e-Gift Card or Novus Product Discount.
  • Review with no image -- $10/€7/£6/$10 CAD/¥70 Yuan/¥1110 Yen
  • Review with an image -- $25/€18/£15/$25 CAD/¥150 Yuan/¥2500 Yen

Product General Protocols

Find general support by application which include: protocols, troubleshooting, illustrated assays, videos and webinars.

Video Protocols

ICC/IF Video Protocol

FAQs for CASD1 Antibody (NBP1-91750) (0)

There are no specific FAQs related to this product. Read our general customer & technical service FAQs.

Customers Who Bought This Also Bought

Contact Information

Product PDFs

Calculators

Concentration Calculator

The concentration calculator allows you to quickly calculate the volume, mass or concentration of your vial. Simply enter your mass, volume, or concentration values for your reagent and the calculator will determine the rest.

=
÷

Review this Product

Be the first to review our CASD1 Antibody - BSA Free and receive a gift card or discount.

Bioinformatics

Gene Symbol CASD1