Carbonic Anhydrase IV/CA4 Antibody (565112)

Images

 
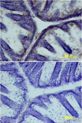
Carbonic Anhydrase IV was detected in perfusion fixed frozen sections of mouse small intestine using Mouse Carbonic Anhydrase IV Monoclonal Antibody (Catalog # MAB2414) at 25 µg/mL overnight at 4 °C. Tissue was ...read more
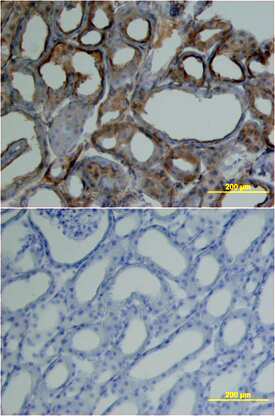
Carbonic Anhydrase IV was detected in perfusion fixed frozen sections of mouse kidney using Mouse Carbonic Anhydrase IV Monoclonal Antibody (Catalog # MAB2414) at 25 µg/mL overnight at 4 °C. Tissue was stained using ...read more

Product Details

Summary
Product Discontinued
View other related Carbonic Anhydrase IV/CA4 Primary Antibodies

Order Details


    • Catalog Number
      MAB2414
    • Availability
      Product Discontinued

    Can't find what you are looking for? Use our Antibody Concierge Service & we will help you locate your antibody!

    Or feel free to contact us for alternative products.

Carbonic Anhydrase IV/CA4 Antibody (565112) Summary

Immunogen

Mouse myeloma cell line NS0-derived recombinant mouse Carbonic Anhydrase IV


Glu18-Ser277
Accession # Q64444
Specificity
Detects mouse CA4 in direct ELISAs. In direct ELISAs, no cross-reactivity with recombinant human CA1, 2, 3, 4, 5A, 5B, 6, 7, 8, 9, 10, 11, 12, 13, 14, recombinant mouse CA9, 12, or 14 is observed.
Source
N/A
Isotype
IgG2b
Clonality
Monoclonal
Host
Rat
Gene
CA4
Purity Statement
Protein A or G purified from hybridoma culture supernatant
Innovator's Reward
Test in a species/application not listed above to receive a full credit towards a future purchase.

Applications/Dilutions

Dilutions
  • Immunohistochemistry 8-25 ug/mL

Packaging, Storage & Formulations

Storage
Use a manual defrost freezer and avoid repeated freeze-thaw cycles.
  • 12 months from date of receipt, -20 to -70 °C as supplied.
  • 1 month, 2 to 8 °C under sterile conditions after reconstitution.
  • 6 months, -20 to -70 °C under sterile conditions after reconstitution.
Buffer
Lyophilized from a 0.2 μm filtered solution in PBS with Trehalose. *Small pack size (SP) is supplied either lyophilized or as a 0.2 µm filtered solution in PBS.
Preservative
No Preservative
Concentration
LYOPH
Reconstitution Instructions
Sterile PBS to a final concentration of 0.5 mg/mL.

Notes

This product is produced by and ships from R&D Systems, Inc., a Bio-Techne brand.

Alternate Names for Carbonic Anhydrase IV/CA4 Antibody (565112)

  • CA4
  • CAIV
  • CA-IV
  • Car4
  • Carbonate dehydratase IV
  • carbonic anhydrase 4
  • Carbonic Anhydrase IV
  • carbonic anhydrase IVRP17
  • carbonic dehydratase IV
  • EC 4.2.1.1
  • retinitis pigmentosa 17 (autosomal dominant)
  • RP17

Background

Carbonic Anhydrase IV (CA4) is a 32 kDa GPI-anchored membrane zinc metalloenzyme that is involved in bicarbonate transport and pH regulation. CA4 is expressed on the luminal surfaces of renal proximal tubules and pulmonary and retinal capillaries. Loss of function mutation of CA4 function is associated with retinal degeneration. Mature mouse and human CA4 share 55% amino acid sequence identity.

Limitations

This product is for research use only and is not approved for use in humans or in clinical diagnosis. Primary Antibodies are guaranteed for 1 year from date of receipt.

Customers Who Viewed This Item Also Viewed...

NBP1-88191
Species: Hu, Mu
Applications: IHC,  IHC-P, WB
AF2185
Species: Hu, Mu, Rt
Applications: IP, WB
NB600-919
Species: Hu, Mu
Applications: ELISA, IHC, IHC-Fr,  IHC-P, Simple Western, WB
NB300-141
Species: Bv, Ch, Eq, Gp, Hu, Mu, Po, Rb, Rt
Applications: ICC/IF, IHC, IHC-Fr,  IHC-P, Simple Western, WB
NBP2-13075
Species: Ba, Hu, Pm, Mu, Rt
Applications: DB, ELISA, IB, ICC/IF, IHC-FrFl, IHC, IHC-Fr,  IHC-P, IP, WB
DBD00
Species: Hu
Applications: ELISA
NBP2-32020
Species: Hu
Applications: IHC,  IHC-P
NBP1-89330
Species: Hu
Applications: IHC,  IHC-P
NBP1-90299
Species: Hu
Applications: ICC/IF, IHC, IHC-Fr,  IHC-P, WB
NBP3-06290
Species: Hu
Applications: IHC,  IHC-P
NBP1-31329
Species: Hu, Mu, Rt
Applications: ICC/IF, IHC, IHC-Fr,  IHC-P, WB
NBP2-50037
Species: Hu, Mu, Rt
Applications: ICC/IF, IHC, KO, WB
NBP2-67702
Species: Hu, Mu, Rt
Applications: ICC/IF, IHC, IHC-Fr,  IHC-P, WB
NB110-41404
Species: Bv, Hu, Mu, Rt
Applications: ICC/IF, IHC, WB
NB100-417
Species: Hu, Mu, Pl, Rt
Applications: ChIP, Dual ISH-IHC, ELISA, Flow, GS, IB, ICC/IF, IHC, IHC-Fr,  IHC-P, IP, MiAr, PLA, Simple Western, WB
NB300-731
Species: Gp, Hu, Mu, Rb, Rt, Sh, Ye
Applications: B/N, ChIP, Flow, GS, ICC/IF, IHC,  IHC-P, IP, WB
NBP2-21590
Species: Hu, Mu
Applications: ICC/IF, IHC-Fr, Simple Western, WB
MAB2414
Species: Mu
Applications: IHC

Publications for Carbonic Anhydrase IV/CA4 Antibody (MAB2414) (0)

There are no publications for Carbonic Anhydrase IV/CA4 Antibody (MAB2414).
By submitting your publication information earn gift cards and discounts for future purchases.

Reviews for Carbonic Anhydrase IV/CA4 Antibody (MAB2414) (0)

There are no reviews for Carbonic Anhydrase IV/CA4 Antibody (MAB2414). By submitting a review you will receive an Amazon e-Gift Card or Novus Product Discount.
  • Review with no image -- $10/€7/£6/$10 CAD/¥70 Yuan/¥1110 Yen
  • Review with an image -- $25/€18/£15/$25 CAD/¥150 Yuan/¥2500 Yen

FAQs for Carbonic Anhydrase IV/CA4 Antibody (MAB2414) (0)

There are no specific FAQs related to this product. Read our general customer & technical service FAQs.

Contact Information

Product PDFs

Calculators

Concentration Calculator

The concentration calculator allows you to quickly calculate the volume, mass or concentration of your vial. Simply enter your mass, volume, or concentration values for your reagent and the calculator will determine the rest.

=
÷

Review this Product

Be the first to review our Carbonic Anhydrase IV/CA4 Antibody (565112) and receive a gift card or discount.

Bioinformatics

Gene Symbol CA4
Uniprot