Calponin 1 Antibody (CNN1/832 + CALP) - Azide and BSA Free

Images

 
Immunocytochemistry/ Immunofluorescence: Calponin 1 Antibody (CNN1/832 + CALP) - Azide and BSA Free [NBP2-47758] - Analysis of PFA-fixed K562 cells labeling Calponin using Calponin 1 Antibody (CNN1/832 + CALP) followed ...read more
Immunohistochemistry-Paraffin: Calponin 1 Antibody (CNN1/832 + CALP) - Azide and BSA Free [NBP2-47758] - Rat Uterus stained with Calponin-1 Monoclonal Antibody (CNN1/832 + CALP).
Flow Cytometry: Calponin 1 Antibody (CNN1/832 + CALP) - Azide and BSA Free [NBP2-47758] - Analysis of PFA-fixed K562 cells using Calponin 1 Antibody (CNN1/832 + CALP) followed by Goat anti-Mouse IgG-CF488 (Blue); ...read more
Immunohistochemistry-Paraffin: Calponin 1 Antibody (CNN1/832 + CALP) - Azide and BSA Free [NBP2-47758] - Human Uterus stained with Calponin-1 Monoclonal Antibody (CNN1/832 + CALP).
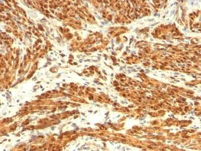
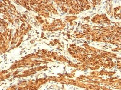
Immunohistochemistry-Paraffin: Calponin 1 Antibody (CNN1/832 + CALP) - Azide and BSA Free [NBP2-47758] - Human Breast Carcinoma stained with Calponin-1 Monoclonal Antibody (CNN1/832 + CALP).

Product Details

Summary
Reactivity Hu, RtSpecies Glossary
Applications Flow, ICC/IF, IHC, CyTOF-ready, ICC/IF
Clone
CNN1/832 + CALP
Clonality
Monoclonal
Host
Mouse
Conjugate
Unconjugated
Format
Azide and BSA Free
Concentration
1.0 mg/ml

Order Details

Calponin 1 Antibody (CNN1/832 + CALP) - Azide and BSA Free Summary

Description
1.0 mg/ml of antibody purified from Bioreactor Concentrate by Protein A/G. Prepared in 10mM PBS WITHOUT BSA & azide. Also available at 200 ug/ml WITH BSA & azide (NBP2-44482).

Antibody with azide - store at 2 to 8C. Antibody without azide - store at -20 to -80C.
Immunogen
Recombinant full-length human Calponin 1 protein (Calponin 1/832); Crude human uterus extract (CALP) (Uniprot: P51911)
Localization
Cytoplasmic
Marker
Smooth Muscle Marker
Specificity
Multiple isoelectric variants of calponin have been identified, however only two molecular weight isoforms exist; a 34kDa form and a 29kDa form. Expression of the 29kDa form, I-calponin, is primarily restricted to muscle of the urogenital tract, whereas the higher molecular weight variant has been demonstrated in vascular and visceral smooth muscle. In Western blotting, this monoclonal antibody reacts with only the 34kDa form of calponin in extracts of human aortic medial smooth muscle and is unreactive with fibroblast extracts of cultivated human foreskin. Calponin is a calmodulin, F-actin and tropomyosin binding protein, which is thought to be involved in the regulation of smooth muscle contraction. Calponin expression is restricted to smooth muscle cells and has been shown to be a marker of the differentiated (contractile) phenotype of developing smooth muscle.
Isotype
IgG1 Kappa
Clonality
Monoclonal
Host
Mouse
Gene
CNN1
Purity
Protein A or G purified
Innovator's Reward
Test in a species/application not listed above to receive a full credit towards a future purchase.

Applications/Dilutions

Dilutions
  • CyTOF-ready
  • Flow Cytometry 0.5 - 1 ug/million cells in 0.1 ml
  • Immunocytochemistry/ Immunofluorescence
  • Immunofluorescence 1 - 2 ug/ml
  • Immunohistochemistry
  • Immunohistochemistry-Paraffin 0.5 - 1.0 ug/ml
Application Notes
Immunohistochemistry (Formalin-fixed): 1-2ug/ml for 30 minutes at RT. Staining of formalin-fixed tissues requires heating tissue sections in 1mM EDTA, pH 7.5-8.5, for 45 min at 95C followed by cooling at RT for 20 minutes.
Optimal dilution for a specific application should be determined.
Theoretical MW
34 kDa.
Disclaimer note: The observed molecular weight of the protein may vary from the listed predicted molecular weight due to post translational modifications, post translation cleavages, relative charges, and other experimental factors.

Packaging, Storage & Formulations

Storage
Store at -20 to -80C. Avoid freeze-thaw cycles.
Buffer
10 mM PBS
Preservative
No Preservative
Concentration
1.0 mg/ml
Purity
Protein A or G purified

Alternate Names for Calponin 1 Antibody (CNN1/832 + CALP) - Azide and BSA Free

  • Basic calponin
  • Calponin 1
  • calponin 1, basic, smooth muscle
  • Calponin H1
  • Calponin H1, smooth muscle
  • calponins, basic
  • CNN1
  • Sm-Calp
  • SMCC
  • SMCCcalponin-1

Background

Calponin is a smooth muscle specific, actin-, tropomyosin- and calmodulin-binding protein thought to be involved in regulation of actomyosin as well as the regulation or modulation of contraction (1). Calponin binds filamentous actin (F-actin) through two distinct sites ABS1 and ABS2, with an affinity in the low micromolar range (2) Immunoreactivity for calponin, along with alpha-smooth muscle actin and smooth muscle myosin heavy chains, confirms the known neoplastic myoepithelial component of adenoid cystic carcinomas and epithelial-myoepithelial carcinomas. The consistently positive staining pattern in adenoid cystic carcinomas may be diagnostically useful in discriminating histologically similar but consistently negative polymorphous low-grade adenocarcinomas (3).

Limitations

This product is for research use only and is not approved for use in humans or in clinical diagnosis. Primary Antibodies are guaranteed for 1 year from date of receipt.

Customers Who Viewed This Item Also Viewed...

NB100-2574
Species: Hu, Mu
Applications: IHC,  IHC-P, IP, KD, WB
NBP1-85885
Species: Hu, Mu, Rt
Applications: IHC,  IHC-P, WB
DCDL40
Species: Hu
Applications: ELISA
H00000054-D01P
Species: Hu, Mu
Applications: IHC,  IHC-P, WB
1129-ER
Species: Hu
Applications: BA
MAB3277
Species: Hu, Mu, Rt
Applications: ICC, KO, WB
NBP1-87315
Species: Hu
Applications: IHC,  IHC-P
H00057410-M02
Species: Hu, Mu, Rt
Applications: ELISA, S-ELISA, WB
NB600-507
Species: Hu, Mu, Rt
Applications: IHC,  IHC-P, KD, PEP-ELISA, WB
NBP3-05055
Species: Hu, Mu, Rt
Applications: WB
NBP2-14871
Species: Mu, Rt
Applications: ICC/IF, WB
NB120-2860
Species: Ba, Bv, Ch, Hu, Mu, Rt
Applications: ELISA, Flow, ICC/IF, IHC,  IHC-P, WB
NBP2-15669
Species: Mu, Rt, Ze
Applications: IHC-WhMt, IHC, WB
AF3628
Species: Hu, Mu, Rt
Applications: CyTOF-ready, Flow, ICC, IHC, Simple Western, WB
NBP3-13785
Species: Hu
Applications: ELISA, Flow, ICC/IF,  IHC-P, IP, PA, WB
NBP2-34270
Species: Hu, Mu, Rt
Applications: Flow, ICC/IF, IHC, IHC-Fr,  IHC-P, Simple Western
NBP1-91189
Species: Hu, Mu(-)
Applications: ICC/IF, IHC,  IHC-P, WB (-)
MAB1455
Species: Hu
Applications: CyTOF-ready, Dual ISH-IHC, ICC, IHC, ICFlow, Simple Western, WB

Publications for Calponin 1 Antibody (NBP2-47758) (0)

There are no publications for Calponin 1 Antibody (NBP2-47758).
By submitting your publication information earn gift cards and discounts for future purchases.

Reviews for Calponin 1 Antibody (NBP2-47758) (0)

There are no reviews for Calponin 1 Antibody (NBP2-47758). By submitting a review you will receive an Amazon e-Gift Card or Novus Product Discount.
  • Review with no image -- $10/€7/£6/$10 CAD/¥70 Yuan/¥1110 Yen
  • Review with an image -- $25/€18/£15/$25 CAD/¥150 Yuan/¥2500 Yen

Product General Protocols

Find general support by application which include: protocols, troubleshooting, illustrated assays, videos and webinars.

Video Protocols

ICC/IF Video Protocol

FAQs for Calponin 1 Antibody (NBP2-47758) (0)

There are no specific FAQs related to this product. Read our general customer & technical service FAQs.

Secondary Antibodies

 

Isotype Controls

Additional Calponin 1 Products

Research Areas for Calponin 1 Antibody (NBP2-47758)

Find related products by research area.

Blogs on Calponin 1

There are no specific blogs for Calponin 1, but you can read our latest blog posts.

Customers Who Bought This Also Bought

Contact Information

Product PDFs

Calculators

Concentration Calculator

The concentration calculator allows you to quickly calculate the volume, mass or concentration of your vial. Simply enter your mass, volume, or concentration values for your reagent and the calculator will determine the rest.

=
÷

Review this Product

Be the first to review our Calponin 1 Antibody (CNN1/832 + CALP) - Azide and BSA Free and receive a gift card or discount.

Bioinformatics

Gene Symbol CNN1