Cadherin-13 Antibody (CL15368) - Azide and BSA Free

Images

 
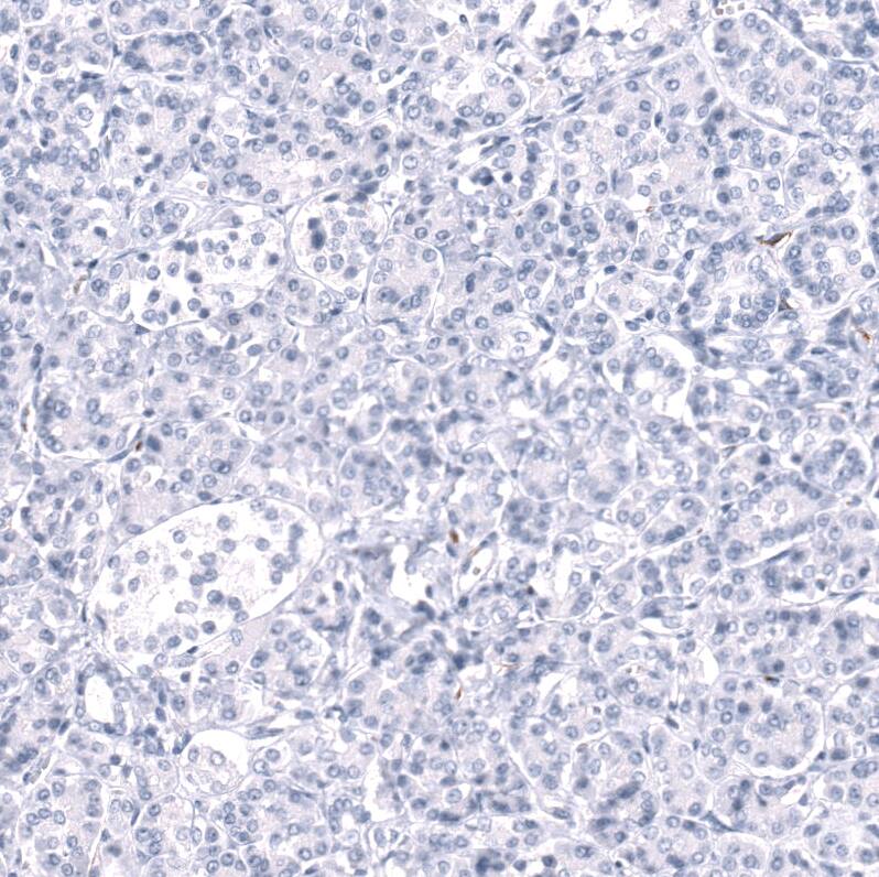
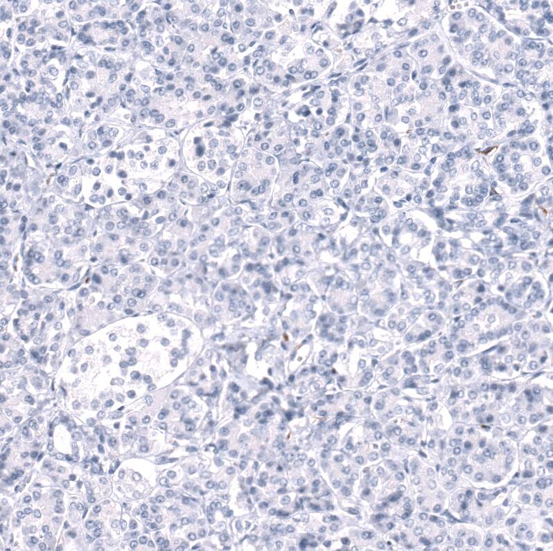
Orthogonal Strategies: Analysis in human cerebral cortex and pancreas tissues using NBP3-44172 antibody. Corresponding Cadherin-13 RNA-seq data are presented for the same tissues.
Staining of human cerebral cortex shows moderate to strong positivity in neuropil.
Staining of human endometrium shows strong membranous positivity in stromal cells.
Staining of human kidney shows strong positivity in endothelial cells.
Staining of human heart muscle shows strong membranous positivity in cardiomyocytes.
Staining of human pancreas shows no positivity in exocrine glandular cells as expected.
Analysis in human cell line U-138MG.

Product Details

Summary
Reactivity HuSpecies Glossary
Applications WB, IHC
Clone
CL15368
Clonality
Monoclonal
Host
Mouse
Conjugate
Unconjugated
Format
Azide and BSA Free
Concentration
LYOPH
Validated by:
       

Orthogonal Strategies

 

Order Details

Cadherin-13 Antibody (CL15368) - Azide and BSA Free Summary

Description
Novus Biologicals Mouse Cadherin-13 Antibody (CL15368) - Azide and BSA Free (NBP3-43666) is a monoclonal antibody validated for use in IHC and WB. All Novus Biologicals antibodies are covered by our 100% guarantee.
Immunogen
This antibody was generated using a recombinant protein sequence of P55290, with the exact immunogen sequence remaining proprietary.
Isotype
IgG1
Clonality
Monoclonal
Host
Mouse
Gene
CDH13
Purity
Protein A purified
Innovator's Reward
Test in a species/application not listed above to receive a full credit towards a future purchase.

Applications/Dilutions

Dilutions
  • Immunohistochemistry-Paraffin 1:1000-1:2500
  • Western Blot 1 ug/ml
Application Notes
For IHC-Paraffin, HIER pH 6 retrieval is recommended.

Packaging, Storage & Formulations

Storage
Store at 4C short term. Aliquot and store at -20C long term. Avoid freeze-thaw cycles.
Buffer
Lyophilized from a 0.2 um filtered solution in PBS with Trehalose
Preservative
No Preservative
Concentration
LYOPH
Purity
Protein A purified
Reconstitution Instructions
Centrifuge the vial of lyophilized antibody at 12,000 x g for 20 seconds. Reconstitute by adding sterile, distilled water to achieve a final antibody concentration of 1mg/ml.

Alternate Names for Cadherin-13 Antibody (CL15368) - Azide and BSA Free

  • cadherin 13, H-cadherin (heart)
  • Cadherin13
  • Cadherin-13
  • CDH13
  • CDHHT-cadherin
  • H-Cadherin
  • Heart cadherin
  • heart-cadherin
  • P105
  • T-cad
  • T-Cadherin
  • Truncated cadherin
  • truncated-cadherin

Background

The H Cadherin gene is a member of the cadherin superfamily. The encoded protein is a calcium dependent cell-cell adhesionglycoprotein comprised of five extracellular cadherin repeats, a transmembrane region but, unlike the typical cadherinsuperfamily member, lacks

Limitations

This product is for research use only and is not approved for use in humans or in clinical diagnosis. Primary Antibodies are guaranteed for 1 year from date of receipt.

Customers Who Viewed This Item Also Viewed...

NB100-56583
Species: Hu, Rb, Rt
Applications: Flow, IHC,  IHC-P, KO, Simple Western, WB
NBP1-88650
Species: Hu
Applications: IHC,  IHC-P, KD, WB
AF632
Species: Hu
Applications: AgAct, Simple Western, WB
NBP2-01345
Species: Hu, Mu, Rt
Applications: Flow, ICC/IF, IHC,  IHC-P, WB
NB100-2176
Species: Hu, Mu, Rt
Applications: ChIP, ICC/IF, IHC,  IHC-P, IP, WB
NB200-106
Species: Mu, Rt
Applications: ELISA, ICC/IF, IHC, IHC-Fr,  IHC-P, WB
AF2699
Species: Mu
Applications: Simple Western, WB
AF2849
Species: Mu, Rt
Applications: WB
NBP2-02665
Species: Ca, Hu, Pm, Po, Pm, Rt
Applications: Flow, ICC/IF, IHC,  IHC-P, WB
MAB4364
Species: Rt
Applications: ICC, IHC, IP, KO, WB
NBP2-03644
Species: Hu, Mu, Rt
Applications: Flow, ICC/IF, IHC,  IHC-P, WB
NBP1-82455
Species: Hu
Applications: ICC/IF, IHC,  IHC-P, WB
AF748
Species: Hu, Mu
Applications: CyTOF-ready, Dual ISH-IHC, Flow, ICC, IHC, Simple Western, WB
H00001523-M01
Species: Hu, Mu, Rt
Applications: ELISA, ICC/IF, IHC,  IHC-P, IP, WB
NB100-74648
Species: Hu
Applications: ICC/IF, IHC,  IHC-P, IP, WB
MAB6495
Species: Hu
Applications: ICC, Simple Western, WB
DRP300
Species: Hu
Applications: ELISA
NBP2-44520
Species: Ca(-), Hu, Rt(-)
Applications: Flow-IC, Flow, ICC/IF, IF, IHC,  IHC-P, MI, WB
NB100-91662
Species: Hu, Mu, Rt
Applications: Flow, ICC/IF, IHC,  IHC-P, Simple Western, WB

Publications for Cadherin-13 Antibody (NBP3-44172) (0)

There are no publications for Cadherin-13 Antibody (NBP3-44172).
By submitting your publication information earn gift cards and discounts for future purchases.

Reviews for Cadherin-13 Antibody (NBP3-44172) (0)

There are no reviews for Cadherin-13 Antibody (NBP3-44172). By submitting a review you will receive an Amazon e-Gift Card or Novus Product Discount.
  • Review with no image -- $10/€7/£6/$10 CAD/¥70 Yuan/¥1110 Yen
  • Review with an image -- $25/€18/£15/$25 CAD/¥150 Yuan/¥2500 Yen

Product General Protocols

Find general support by application which include: protocols, troubleshooting, illustrated assays, videos and webinars.

Video Protocols

WB Video Protocol

FAQs for Cadherin-13 Antibody (NBP3-44172) (0)

There are no specific FAQs related to this product. Read our general customer & technical service FAQs.

Customers Who Bought This Also Bought

Contact Information

Product PDFs

Calculators

Concentration Calculator

The concentration calculator allows you to quickly calculate the volume, mass or concentration of your vial. Simply enter your mass, volume, or concentration values for your reagent and the calculator will determine the rest.

=
÷

Review this Product

Be the first to review our Cadherin-13 Antibody (CL15368) - Azide and BSA Free and receive a gift card or discount.

Bioinformatics

Gene Symbol CDH13