BRSK1 Antibody

Images

 
Western Blot: BRSK1 Antibody [NBP1-03229] - Western blot of BRSK1 in human brain tissue lysate with BRSK1 Antibody at (A) 0.5, (B) 1 and (C) 2 ug/ml.
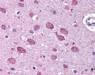
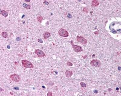
Immunohistochemistry-Paraffin: BRSK1 Antibody [NBP1-03229] - Staining of human brain, cortex. Immunohistochemistry of formalin-fixed, paraffin-embedded tissue after heat-induced antigen retrieval. Antibody concentration ...read more
Immunofluorescence: BRSK1 Antibody [NBP1-03229] - Immunofluorescence of BRSK1 in Human Brain cells with BRSK1 Antibody at 20 ug/ml.

Product Details

Summary
Product Discontinued
View other related BRSK1 Primary Antibodies

Order Details


    • Catalog Number
      NBP1-03229
    • Availability
      Product Discontinued

    Can't find what you are looking for? Use our Antibody Concierge Service & we will help you locate your antibody!

    Or feel free to contact us for alternative products.

BRSK1 Antibody Summary

Immunogen
A 28 amino acid synthetic peptide near the center of human BRSK1. The immunogen is located within amino acids 450 - 500 of BRSK1.
Specificity
28 amino acid peptide from near the center of human BRSK1.
Isotype
IgG
Clonality
Polyclonal
Host
Rabbit
Gene
BRSK1
Purity
Peptide affinity purified
Innovator's Reward
Test in a species/application not listed above to receive a full credit towards a future purchase.

Applications/Dilutions

Dilutions
  • ELISA
  • Immunocytochemistry/ Immunofluorescence
  • Immunohistochemistry 1:10-1:500
  • Immunohistochemistry-Paraffin 5 ug/ml
  • Western Blot 0.5 - 2 ug/ml

Packaging, Storage & Formulations

Storage
Store at 4C short term. Aliquot and store at -20C long term. Avoid freeze-thaw cycles.
Buffer
PBS
Preservative
0.02% Sodium Azide
Concentration
1.0 mg/ml
Purity
Peptide affinity purified

Alternate Names for BRSK1 Antibody

  • BR serine/threonine kinase 1
  • EC 2.7.11
  • EC 2.7.11.1
  • FLJ43009
  • KIAA1811BR serine/threonine-protein kinase 1
  • protein kinase SAD1A
  • SAD1 kinase
  • SAD1
  • Serine/threonine-protein kinase SAD-B

Background

BRSK1 is required for the polarization of forebrain neurons which endows axons and dendrites with distinct properties,possibly by locally regulating phosphorylation of microtubule-associated proteins . May be involved inthe regulation of G2/M arrest in response to

Limitations

This product is for research use only and is not approved for use in humans or in clinical diagnosis. Primary Antibodies are guaranteed for 1 year from date of receipt.

Customers Who Viewed This Item Also Viewed...

NBP1-77281
Species: Hu, Mu
Applications: ELISA, ICC/IF, IHC,  IHC-P, WB
NBP2-14835
Species: Hu, Mu
Applications: ICC/IF, IHC,  IHC-P, WB
AF2850
Species: Hu, Mu, Rt
Applications: ICC, IHC, Simple Western, WB
NBP2-22127
Species: Hu, Mu, Pm, Rt
Applications: ELISA, Flow, ICC/IF, IHC,  IHC-P, Simple Western, WB
AF2854
Species: Hu, Mu, Rt
Applications: IHC, WB
NBP2-71688
Species: Ca, Hu, Mu, Rt
Applications: CyTOF-ready, Flow, ICC/IF, IHC,  IHC-P, IP, WB
NB100-309
Species: Hu, Pm, Mu, Rt
Applications: ChIP, ELISA, Flow, ICC/IF, IHC,  IHC-P, IP, KD, PAGE, Single-Cell Western, WB
NB100-308
Species: Hu, Mu
Applications: Func, ICC/IF, IP, In vitro, KO, WB
NBP1-33506
Species: Hu, Mu
Applications: IHC,  IHC-P, WB
NBP2-45731
Species: Ca, Hu, Pm
Applications: IHC,  IHC-P, WB
AF3767
Species: Hu, Mu, Rt
Applications: IHC, WB
NB100-292
Species: Hu
Applications: ICC/IF, IHC,  IHC-P, IP, WB
NBP1-49938
Species: Hu, Mu
Applications: IHC,  IHC-P, IP, WB
H00008846-B01P
Species: Hu, Mu
Applications: ICC/IF, IHC,  IHC-P, WB
NBP1-33409
Species: Hu
Applications: ICC/IF, WB
NBP1-78028
Species: Hu
Applications: ELISA, ICC/IF, WB
NBP2-46234
Species: Hu, Mu, Rt
Applications: IHC,  IHC-P, WB
NBP1-03229
Species: Hu, Mu, Rt
Applications: WB, ELISA, ICC/IF, IHC

Publications for BRSK1 Antibody (NBP1-03229) (0)

There are no publications for BRSK1 Antibody (NBP1-03229).
By submitting your publication information earn gift cards and discounts for future purchases.

Reviews for BRSK1 Antibody (NBP1-03229) (0)

There are no reviews for BRSK1 Antibody (NBP1-03229). By submitting a review you will receive an Amazon e-Gift Card or Novus Product Discount.
  • Review with no image -- $10/€7/£6/$10 CAD/¥70 Yuan/¥1110 Yen
  • Review with an image -- $25/€18/£15/$25 CAD/¥150 Yuan/¥2500 Yen

Product General Protocols

Find general support by application which include: protocols, troubleshooting, illustrated assays, videos and webinars.

Video Protocols

WB Video Protocol
ICC/IF Video Protocol

FAQs for BRSK1 Antibody (NBP1-03229) (0)

There are no specific FAQs related to this product. Read our general customer & technical service FAQs.

Secondary Antibodies

 

Isotype Controls

Additional BRSK1 Products

Array NBP1-03229

Research Areas for BRSK1 Antibody (NBP1-03229)

Find related products by research area.

Blogs on BRSK1

There are no specific blogs for BRSK1, but you can read our latest blog posts.

Contact Information

Product PDFs

Calculators

Concentration Calculator

The concentration calculator allows you to quickly calculate the volume, mass or concentration of your vial. Simply enter your mass, volume, or concentration values for your reagent and the calculator will determine the rest.

=
÷

Review this Product

Be the first to review our BRSK1 Antibody and receive a gift card or discount.

Bioinformatics

Gene Symbol BRSK1
Entrez
Uniprot