Brg1 Antibody (CL13783) - Azide and BSA Free

Images

 
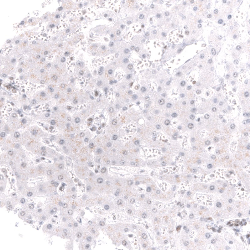
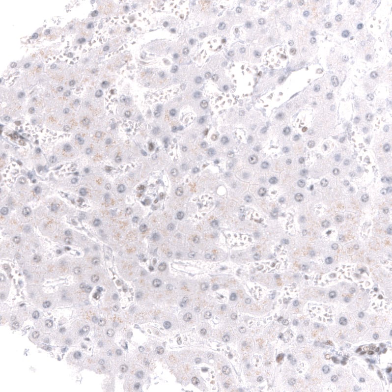
Orthogonal Strategies: Analysis in human testis and liver tissues using NBP3-43830 antibody. Corresponding Brg1 RNA-seq data are presented for the same tissues.
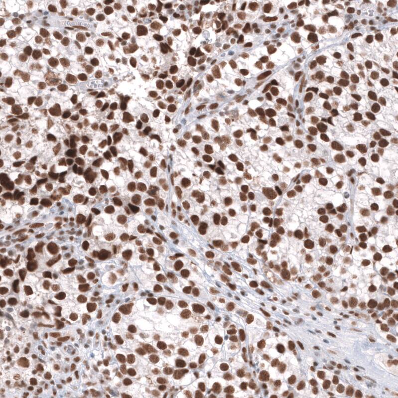
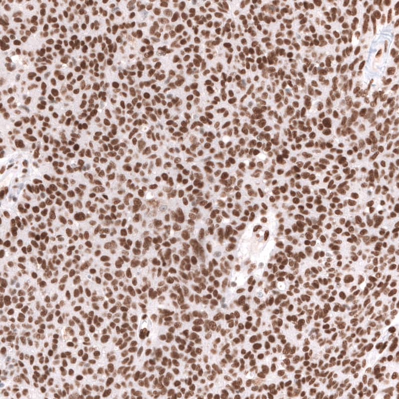
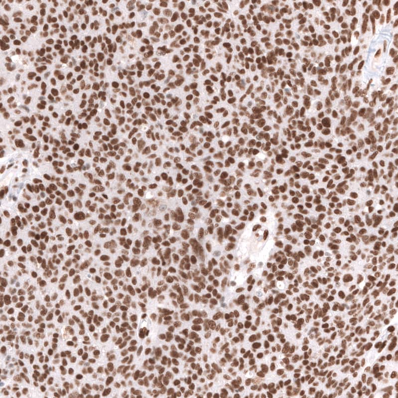
Staining of human endometrial cancer shows strong nuclear positivity in tumor cells.
Staining of human liver shows no positivity in hepatocytes as expected.
Staining of human ovarian cancer (high grade serous carcinoma) shows strong nuclear positivity in tumor cells.
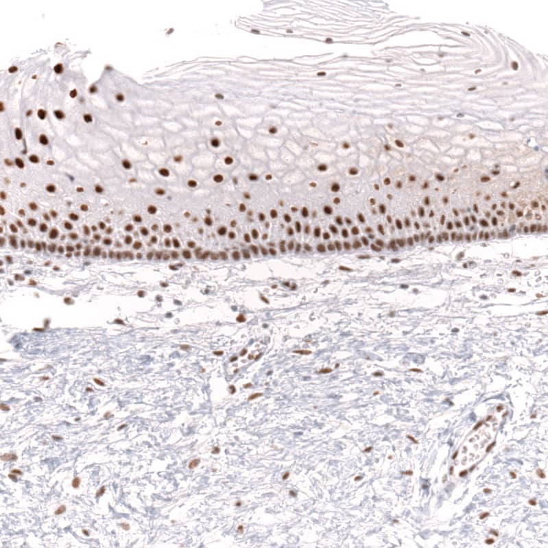
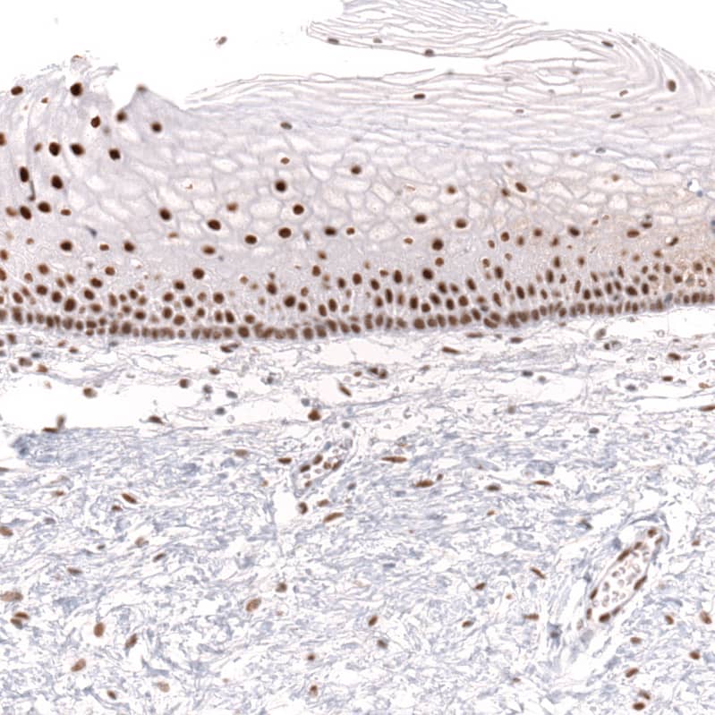
Staining of human uterine cervix shows strong nuclear positivity in squamous epithelial cells.
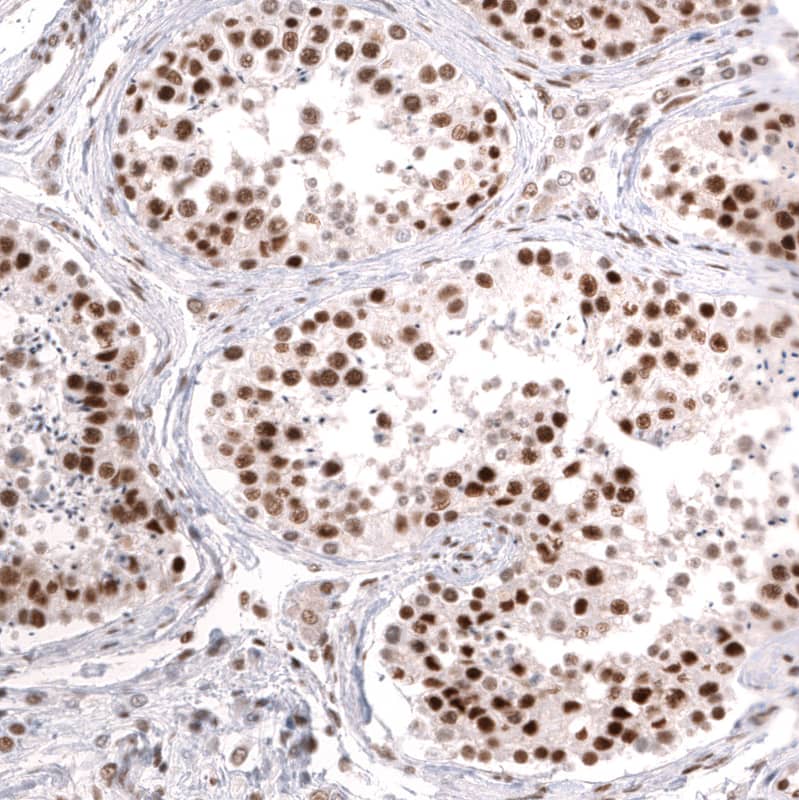
Staining of human testis shows strong nuclear positivity in cells in seminiferous ducts.
Staining of human small intestine shows strong nuclear positivity in glandular cells.
Staining of human tonsil shows moderate to strong nuclear positivity in lymphoid cells.
Staining of human testis cancer (seminoma) shows strong nuclear positivity in tumor cells.

Product Details

Summary
Reactivity HuSpecies Glossary
Applications IHC
Clone
CL13783
Clonality
Monoclonal
Host
Mouse
Conjugate
Unconjugated
Format
Azide and BSA Free
Concentration
LYOPH
Validated by:
       

Orthogonal Strategies

 

Order Details

Brg1 Antibody (CL13783) - Azide and BSA Free Summary

Description
Novus Biologicals Mouse Brg1 Antibody (CL13783) - Azide and BSA Free (NBP3-24576) is a monoclonal antibody validated for use in IHC. All Novus Biologicals antibodies are covered by our 100% guarantee.
Immunogen
This antibody was generated using a synthetic peptide of P51532, with the exact immunogen sequence remaining proprietary.
Isotype
IgG1
Clonality
Monoclonal
Host
Mouse
Gene
SMARCA4
Purity
Protein A purified
Innovator's Reward
Test in a species/application not listed above to receive a full credit towards a future purchase.

Applications/Dilutions

Dilutions
  • Immunohistochemistry-Paraffin 1:200 - 1:500
Application Notes
For IHC-Paraffin, we recommend using Heat-Induced Epitope Retrieval (HIER) with a pH level of 6. This optimized retrieval method ensures the best results for your experiments.

Packaging, Storage & Formulations

Storage
Store at 4C short term. Aliquot and store at -20C long term. Avoid freeze-thaw cycles.
Buffer
Lyophilized from a 0.2 um filtered solution in PBS with Trehalose
Preservative
No Preservative
Concentration
LYOPH
Purity
Protein A purified
Reconstitution Instructions
Centrifuge the vial of lyophilized antibody at 12,000 x g for 20 seconds. Reconstitute by adding sterile, distilled water to achieve a final antibody concentration of 1mg/ml.

Alternate Names for Brg1 Antibody (CL13783) - Azide and BSA Free

  • ATP-dependent helicase SMARCA4
  • BAF190
  • BAF190A
  • brahma protein-like 1
  • Brg1
  • BRG1-associated factor 190A
  • BRG1SWI/SNF-related matrix-associated actin-dependent regulator of chromatinsubfamily A member 4
  • BRM/SWI2-related gene 1
  • EC 3.6.1
  • EC 3.6.4.-
  • FLJ39786
  • global transcription activator homologous sequence
  • homeotic gene regulator
  • hSNF2b
  • Mitotic growth and transcription activator
  • nuclear protein GRB1
  • Protein brahma homolog 1
  • Protein BRG-1
  • RTPS2
  • SMARCA4
  • SNF2
  • SNF2B
  • SNF2-beta
  • SNF2L4
  • SNF2LB
  • SNF2-like 4
  • subfamily a, member 4
  • sucrose nonfermenting-like 4
  • SWI/SNF related, matrix associated, actin dependent regulator of chromatin
  • SWI2
  • transcription activator BRG1

Background

BRG1 is encoded by this gene is a member of the SWI/SNF family of proteins and is similar to the brahma protein of Drosophila. Members of this family have helicase and ATPase activities and are thought to regulate transcription of certain genes by altering the chromatin structure around those genes. The encoded protein is part of the large ATP-dependent chromatin remodeling complex SNF/SWI, which is required for transcriptional activation of genes normally repressed by chromatin. In addition, this protein can bind BRCA1, as well as regulate the expression of the tumorigenic protein CD44. Alternatively spliced transcripts have been found for this gene, but their full-length natures have not been determined.

Limitations

This product is for research use only and is not approved for use in humans or in clinical diagnosis. Primary Antibodies are guaranteed for 1 year from date of receipt.

Customers Who Viewed This Item Also Viewed...

NBP2-61879
Species: Hu, Mu
Applications: ELISA, Flow, IHC,  IHC-P, WB
NBP3-13725
Species: Hu, Mu, Rt
Applications: ICC/IF, IHC,  IHC-P, WB
NBP1-90014
Species: Hu, Mu, Rt
Applications: ICC/IF, IHC,  IHC-P, WB
NBP2-20415
Species: Hu, Mu, Rt
Applications: ChIP, ICC/IF, IHC,  IHC-P, IP, WB
NB100-55310
Species: Hu, Mu
Applications: IP, WB
NBP1-83077
Species: Hu
Applications: ICC/IF, IHC,  IHC-P, KD, WB
NB300-731
Species: Gp, Hu, Mu, Rb, Rt, Sh, Ye
Applications: B/N, ChIP, Flow, GS, ICC/IF, IHC,  IHC-P, IP, WB
NBP1-88932
Species: Hu, Mu
Applications: ICC/IF, IHC,  IHC-P, WB
H00008815-M01
Species: Hu
Applications: ELISA, ICC/IF, IHC,  IHC-P, S-ELISA, WB
NBP1-90017
Species: Hu
Applications: ICC/IF, IHC,  IHC-P, WB
NBP1-90012
Species: Hu, Mu, Rt
Applications: ChIP-EXO-SEQ, ICC/IF, IHC,  IHC-P, WB
NBP3-25399
Species: Hu, Mu, Rt
Applications: ICC/IF, IHC,  IHC-P, WB
NB100-616
Species: Hu, Mu, Md, Pm, Rt
Applications: ChIP, EM, Flow-IC, Flow, ICC/IF, IP, In vitro, KD, WB
MAB6495
Species: Hu
Applications: ICC, Simple Western, WB
NBP2-29463
Species: Pm, Hu, Pm, Mu
Applications: Flow, ICC/IF, IHC,  IHC-P, WB
NB500-171
Species: Hu, I, Mu, Rt, Xp, Ye
Applications: ChIP, IB, ICC/IF, IHC,  IHC-P, Single-Cell Western, WB
NB200-106
Species: Mu, Rt
Applications: ELISA, ICC/IF, IHC, IHC-Fr,  IHC-P, WB
NBP2-07996
Species: Hu
Applications: WB

Publications for Brg1 Antibody (NBP3-43830) (0)

There are no publications for Brg1 Antibody (NBP3-43830).
By submitting your publication information earn gift cards and discounts for future purchases.

Reviews for Brg1 Antibody (NBP3-43830) (0)

There are no reviews for Brg1 Antibody (NBP3-43830). By submitting a review you will receive an Amazon e-Gift Card or Novus Product Discount.
  • Review with no image -- $10/€7/£6/$10 CAD/¥70 Yuan/¥1110 Yen
  • Review with an image -- $25/€18/£15/$25 CAD/¥150 Yuan/¥2500 Yen

Product General Protocols

Find general support by application which include: protocols, troubleshooting, illustrated assays, videos and webinars.

FAQs for Brg1 Antibody (NBP3-43830) (0)

There are no specific FAQs related to this product. Read our general customer & technical service FAQs.

Secondary Antibodies

 

Isotype Controls

Additional Brg1 Products

Array NBP3-43830

Research Areas for Brg1 Antibody (NBP3-43830)

Find related products by research area.

Blogs on Brg1

There are no specific blogs for Brg1, but you can read our latest blog posts.

Customers Who Bought This Also Bought

Contact Information

Product PDFs

Calculators

Concentration Calculator

The concentration calculator allows you to quickly calculate the volume, mass or concentration of your vial. Simply enter your mass, volume, or concentration values for your reagent and the calculator will determine the rest.

=
÷

Review this Product

Be the first to review our Brg1 Antibody (CL13783) - Azide and BSA Free and receive a gift card or discount.

Bioinformatics

Gene Symbol SMARCA4